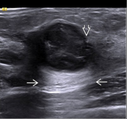
What is the most likely histopathologic diagnosis for the finding shown?

High grade IDC (poorly differentiated)
Ultrasound shows an oval heterogeneous hypoechoic mass with overall indistinct margins (though portions are circumscribed) and posterior acoustic enhancement
Invasive tumors with increased through transmission (i.e., posterior acoustic enhancement) are 10-24x more likely to be high grade than invasive tumors without this feature.
The exact cause of this feature remains unclear; however, theories propose that it may be related to the high cellular content, organization of the tumor cells, &/or lack of a desmoplastic reaction (due to its rapid growth). Invasive lobular carcinomas are usually well differentiated (grade 1) in general and usually associated with posterior shadowing.
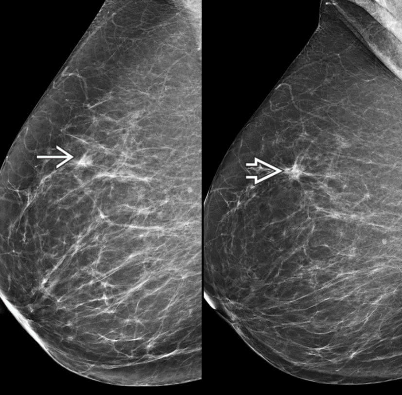
What IDC breast cancer type has the best prognosis?
Tubular carcinomaw
A tubular carcinoma is a special type of well-differentiated invasive ductal carcinoma (IDC) composed of well-differentiated tubular structures with open lumina lined by a single layer of epithelial cells. It presents as a small, spiculated mass on mammography and may be stable for years. The 5-year survival is 95-98%.


Tubular IDC
low grade, low metastatic potential, excellent prognosis
Mammo: Irregular spiculated mass, architectural distortion, asymmetry
US: Irregular, spiculated mass with indistinct margins

Medullary or tubular IDC?

More likely medullar bacause it is mass forming. Tubular is spiculated
peanut m&m
types of circumscribed IDC
papillary, medullary mucinous
https://radiopaedia.org/articles/well-defined-breast-cancers-differential?lang=us
types of circumscribed IDC
peanut m&m
papillary, medullary, mucinous
https://radiopaedia.org/articles/well-defined-breast-cancers-differential?lang=us
women under 30 with biopsy proven IDC, next step?
breast MRI to look for extent of disease