
A Endovascular embolization
B Recombinant activated Factor VII
C Intravenous heparin infusion
D craniotomy for hematoma evacuation
E. Observation only
C Intravenous heparin infusion
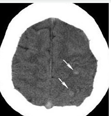
The scenano depicted above is indicative of intracerebral hemorrhage from cerebral sinus thrombosis, making anticoagulation with continuous intravenous heparin infusion the most appropriate answer. Small hernorrhages are evident on CT (white arrows). as well as a hyperdense superior sagittal sinus. Likely representing sinus thrombosis. The diagnosis of sinus thrombosis is reinforced by the clinical history of recent childbirth; cerebral sinus trombones is more likely in patients with a hypercoagulate state, such as the peripartum period (within 16 days of childbirth). Intracerebral hemorrhage often secondarily occurs in patients with cerebral sinus thrombosis due to venous hypertension. Treatment goals for a patient with sinus thrombosis are prevention of further thrombosis and recanalization of the occluded sinus. Initial treatment should be administration of anticoagulation with a continuous intravenous heparin infusion.

B. Glial Neoplasm
Proton magnetic resonance (MR) spectroscopy is a well-established technique for studying the chemical composition of structures. Hence, it provides a potential noninvasive method of analyzing the metabolite content of normal and diseased brain. A typical MR spectroscopy plots the relative concentration of a given metabolite versus the effect that the metabolite has on the rotational frequency of protons within the sample (measured in parts per million [ppm]). Several standard peaks are measured by MR spectroscopy of the brain in routine clinical J:lractice: N-acetylaspartate (NAA) is a marker for neuronal viability, creatine is generally used as an internal marker or reference, and choline is involved in the synthesis of phospholipids and is a marker of cellular turnover. The presence of additional peaks can be a helpful differential feature in certain disease states: glutamine and glutamate are astrocyte markers and may be altered in the setting of neuronal damage, myoinositol is an astrocyte marker elevated in Alzheimer disease, and lipids and lactate are elevated in inflammatoy processes and in necrotic tissue.

A. Occlusive Hyperemia
B. Reperfusion syndrome
C. Hemorrhagic conversion
D. Cerebral Edema
E. Normal perfusion pressure breakthrough
D. Cerebral Edema
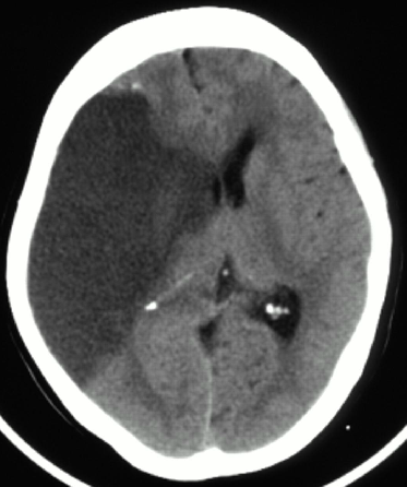
The most likely cause of acute deterioration 2 days after a completed large territory stroke is cerebral edema. The CT demonstrates a large right MCA infarct associated with mass effect and midline shift from cerebral edema. No sign of hemorrhage is present on the CT scan. The patient presented outside the window for intravenous recombinant tissue plasminogen activator (tPA) or endovascular therapy. Therefore, hemorrhagic conversion and reperfusion are unlikely causes of his mental status change
A. 4 ml/kg/hr
B. 10 ml/kg/hr
C. 2 ml/kg/hr
D. 20 ml/kg/hr
E. 1 ml/kg/hr
A. 4 ml/kg/hr
The appropriate maintenance IVF rate for a hospitalized infant from 3 days to 3 months old is 4 mll kglhour. 2 ml/kg/hour may be appropriate on the first day of life, but not after three days of life. The other rates are not appropriate for infants under standard circumstances.
A. male sex
B. orthostatic intolerance
C. age > 60 years
D. surgical urgency
E. neoplastic disease
B. orthostatic intolerance
Orthostatic intolerance and other historical risk factors for coronary ischemia are important indicators that a more thorough pre-operative workup for coronary ischemia should be completed, often in consultation with a cardiologist. Screening studies may include, in addition to a 12 lead electrocardiogram, echocardiography, stress or pharmacological-stress echocardiography, coronary angiography or other imaging, etc.
When performing a medical history, the neurosurgeon should “seek to identify serious cardiac conditions such as prior angina, recent or past myocardial infarction, congestive heart failure, and symptomatic arrhythmias and also determine whether the patient has a prior history of pacemaker or implantable