General mix Flashcards

(62 cards)

1
Q

is myocardial infarction pain gradual or sudden in nature

A

gradual in nature

  • example of sudden would be a pneumothorax
How well did you know this?
1
Not at all
2
3
4
5
Perfectly
2
Q

how to determine if there is left bundle branch block

A

V1 negative - W

V6 positive- M

How well did you know this?
1
Not at all
2
3
4
5
Perfectly
3
Q

how to determine if there is right bundle branch block

A

V1- M

V6- W

How well did you know this?
1
Not at all
2
3
4
5
Perfectly
4
Q

right axis deviation

A

IIII largest

How well did you know this?
1
Not at all
2
3
4
5
Perfectly
5
Q

left axis deviation

A

aVL largest

How well did you know this?
1
Not at all
2
3
4
5
Perfectly
6
Q

example of Trifascicular block

A

Prolonged PR interval + RBBB + left axis deviation

How well did you know this?
1
Not at all
2
3
4
5
Perfectly
7
Q

describe

A

saddle shaped

  • most sensitive for pericarditis
How well did you know this?
1
Not at all
2
3
4
5
Perfectly
8
Q

describe

A

PR depression

  • most specific for pericarditis
How well did you know this?
1
Not at all
2
3
4
5
Perfectly
9
Q

investigation for aortic stenosis

A

transthoracic echocardiogram

  • may show left ventricular hypertrophy
How well did you know this?
1
Not at all
2
3
4
5
Perfectly
10
Q

investigation for endocarditis

A

transosophogeal echocardiogram- better image of vegetation of valve

How well did you know this?
1
Not at all
2
3
4
5
Perfectly
11
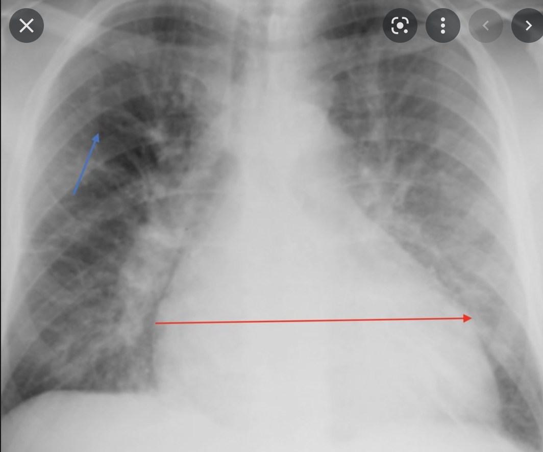
Q

signs of pulmonary oedema of x-ray

A
  • Bat wing sign
  • Kerley B lines
How well did you know this?
1
Not at all
2
3
4
5
Perfectly
12
Q

infective endocarditis antibiotics: Initial blind therapy

A

Native valve

  • amoxicillin, consider adding low-dose gentamicin

If penicillin allergic, MRSA or severe sepsis

  • vancomycin + low-dose gentamicin
How well did you know this?
1
Not at all
2
3
4
5
Perfectly
13
Q

Native valve endocarditis caused by staphylococci

A

Flucloxacillin

How well did you know this?
1
Not at all
2
3
4
5
Perfectly
14
Q

Endocarditis caused by fully-sensitive streptococci (e.g. viridans)

A

Benzylpenicillin

How well did you know this?
1
Not at all
2
3
4
5
Perfectly
15
Q

PCOS

A
  • Multiple ovarian cysts
  • Infertility
  • Infrequent periods
  • Hyperandrogenism
    • Hirtuism
    • Acne
  • Insulin resistance
  • OBESITY
How well did you know this?
1
Not at all
2
3
4
5
Perfectly
16
Q

PCOS test finding

A

Hormonal blood tests typically show:

  • Raised luteinising hormone
  • Raised LH to FSH ratio (high LH compared with FSH)
  • Raised testosterone
  • Raised insulin
  • Normal or raised oestrogen levels

TOM TIP: The key thing to remember for your exams is the raised LH, and the raised LH:FSH ratio.

How well did you know this?
1
Not at all
2
3
4
5
Perfectly
17
Q

management of PCOS

A
  • weight loss
  • reduce risk of endometrial cancer
    • mirena coil
    • COCP
  • treat other symptoms normally e.g. for acne
How well did you know this?
1
Not at all
2
3
4
5
Perfectly
18
Q

chicken pox virus

A

varicella-zoster virus

How well did you know this?
1
Not at all
2
3
4
5
Perfectly
19
Q

HIV is what sort of virus

A

retrograde ssRNA

How well did you know this?
1
Not at all
2
3
4
5
Perfectly
20
Q

scabies manageemnt

A
  1. permethrin
  2. second line malathion
How well did you know this?
1
Not at all
2
3
4
5
Perfectly
21
Q

croup symptoms

A

barking cough- viral

How well did you know this?
1
Not at all
2
3
4
5
Perfectly
22
Q

epliglottis is

A

bacteria

  • a severe sore throat.
  • difficulty and pain when swallowing.
  • leaning forwards.
  • stridor
  • drooling
How well did you know this?
1
Not at all
2
3
4
5
Perfectly
23
Q

risks for GA: common

A
  • sore throat
  • PONV
How well did you know this?
1
Not at all
2
3
4
5
Perfectly
24
Q

risks for GA: significant

A
  • aspiration
  • dental injury
  • malignant hyperthermia
  • accidental awareness
How well did you know this?
1
Not at all
2
3
4
5
Perfectly
25
Osgood-Schlatter disease
is **caused by the constant pulling of the tendon in the knee**. It's seen in growing children and teens. This is an age where the bones are typically growing faster than the muscles and tendons. As a result, the muscles and tendons tend to become tight.
26
what is erythema infectiosum
fifth disease
27
fifth disease
slapped cheeked- parvovirus * lace rash on face * general illness
28
viral wheeze management in children
salbutamol and prednisolone
29
where are anal fissures most common
* **posterior midline** of the anal canal.
30
management of anal fissure
* soften stool * high fibre * laxative * Topical glyceryl trinitrate (GTN) is first-line treatment for a chronic anal fissure
31
Sign of PE on ECG
* Sinus tachy * RBBB * Right axis deviation
32
where does the anaesthetic get injected for epidural
epidural space- outside the dura mater * An epidural involves inserting a small tube (catheter) into the ***epidural space*** in the lower back. This is **outside** the ***dura mater***, separate from the ***spinal cord*** and ***CSF***. ***Local anaesthetic*** medications are infused through the catheter into the ***epidural space***, where they diffuse to the surrounding tissues and spinal nerve roots, where they have an analgesic effect. This offers good pain relief during labour. ***Levobupivacaine*** is often used, with or without ***fentanyl***.
33
germ cell tumours- most common
* **Seminomas** * Remain localised- very good prognosis * **Non-seminomatous GCTs** (metastasise early) * Yolk sac tumours * Choriocarcinoma * teratoma
34
**Non germ cell tumours (NSGCT)**
A * Usually benign * Comprise * Leydig cell tumour * Sertoli cell tumours
35
criteria for inpatient admission- stones
* Post-obstructive acute kidney injury- renal impairment * Uncontrollable pain from simple analgesics * Evidence of an infected stone(s) * Large stones (\>5mm)
36
definitive management of renal stones
* **Extracorporeal shock with** **lithotripsy** * \<2mm * **Percutaneous nephrolithotomy** * for larger stones e.g. staghorn
37
adverse reaction to dialysis
* septicaemia * endocarditis * thrombosis * AV fistula steal syndrome- causing ischaemic limb
38
risk factor for ectopic pregnancy
previous pelvic surgery PID intrauterine contraceptive device
39
FeverPAIN score
* Fever * Pus on tonsils * Attends rapidly * Inflamed tonsils * No cough \>4 consider abx
40
fungi which causes skin rash
**Trichophyton rubrum** * Terbinafine- topical * itraconazole
41
CGA
comprehensive geriatric assessment * problem list * medication rveiew * nutritional status * functional capacity- ADR * social * home environemnt * mental health
42
MUST
BMI %weight loss effective acute illness
43
UTI in pregnancy
Cephalexin safe throughout * nitro- safe in first * tri- safe in third
44
kawasaki
* aspirin * do an echocardiogram
45
features of insulinoma
* Hypoglycaemia: typically early in morning or just before meal, e.g. diplopia, weakness etc * rapid weight gain may be seen * high insulin, raised proinsulin:insulin ratio * high C-peptide diagnosis: 72 hour fast
46
Blood test findings in acromegaly
* high IGF-1 * GH will not be suppressed after glucose
47
low cortisol can be split up into
* Primary cortisol insufficiency- Addisons → damage to the adrenal gland * Secondary cortisol insufficiency - Damage directly to the pituitary (not enough ATCH)
48
Ottawa rules
49
where does lumbar puncture go through
L3/L4 ## Footnote inserted through the dura mater and arachnoid mater into a region called the subarachnoid space i.e. deeper than an epidural. This is done to take a sample of the cerebrospinal fluid (that fills that space) for disgnostic purposes, i.e. to test it to find out what is wrong with a patient.
50
Bronchiolitis- auscultation
fine inspiratory crackles [***_respiratory syncytial virus_***](https://scholar.google.co.uk/scholar?q=respiratory+syncytial+virus&hl=en&as_sdt=0&as_vis=1&oi=scholart)
51
fine inspiratory crackles
pulmonary fibrosis
52
coarse inspiratory crackles
bronchiectasis coarse crackles and green phlegm * Moxella catarrhalis * Haemophalis influenza * Strep pneumonia
53
diff between pneumonia and bronchitis
will not show up on x-ray
54
management of bacterial bronchitis (although usually viral)
* first choice- doxycycline, * second choice amoxicillin *
55
***Chlamydia psittaci***
***atypical pneumonia- parrott***
56
lyme disease treatment
doxyxycline * bulls eye rash- ticks
57
Contraindication to lumbar puncture
raised intracranial pressure e.g. reducing GCS
58
Suspected meningitis in the community- give
benzylpenicillin
59
Empyema classic symptom
swing fever, complication of pneumonia
60
heard failure on x-ray
Empyema – swing fever, complication of pneumonia Heart failure on x-ray * Cardiomegaly * Alveolar oedema * Kerley B
61
antibodies for hashimotos
ant-Thyroid peroxidase
62
antibodies in graves
anti TSH receptor