Radiology Flashcards

(43 cards)

1
Q

Chest radiograph summary

A
  • Introduction
    • patient identification
    • date of radiograph
    • old radiographs
  • Comment on quality of film
    • Rotation
    • Inspiration
    • Projection
    • Exposure
  • ABCDE
  • Review areas and silhouette signs
How well did you know this?
1
Not at all
2
3
4
5
Perfectly
2
Q

rotation on X-ray

A

central trachea and equal distance between medial end of clavicle and midline

How well did you know this?
1
Not at all
2
3
4
5
Perfectly
3
Q

projection on CXR

A
  • Usually PA not AP (heart may look magnified)
How well did you know this?
1
Not at all
2
3
4
5
Perfectly
4
Q

Exposure

A

can you see vertebrae behind heart

How well did you know this?
1
Not at all
2
3
4
5
Perfectly
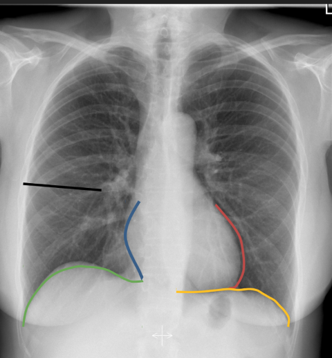
5
Q

ABCDE approach to CXRAY

A

Airway

Breathing

Circulation

Diaphragm

Everything else

How well did you know this?
1
Not at all
2
3
4
5
Perfectly
5
Q

ABCDE approach to CXRAY

A

Airway

breathing

circulation

diaphragm

How well did you know this?
1
Not at all
2
3
4
5
Perfectly
6
Q

Airway

A

tracheal central?

How well did you know this?
1
Not at all
2
3
4
5
Perfectly
7
Q

breathing

A
  • Lung fields (opacification)
    • Upper
    • Middle
    • Lower
    • Costophrenic angles
    • Compare left lung to right lung
How well did you know this?
1
Not at all
2
3
4
5
Perfectly
8
Q

circulation

A
  • Aortic knuckles
  • L and right hilar region
  • Heart size
    • Cardiothoracic ratio
    • Cardio phrenic angle
How well did you know this?
1
Not at all
2
3
4
5
Perfectly
9
Q

Diaphragm

A

compare both sides

  • Tented?
  • Flattened?
    • Pneumoperitoneum?
      • Gas in stomach normal
How well did you know this?
1
Not at all
2
3
4
5
Perfectly
10
Q

Everything else for CXRAY

A

bones

soft tissue

How well did you know this?
1
Not at all
2
3
4
5
Perfectly
11
Q

review areas for CXRAY

A
  • Apices
    • Mass
    • Pneumothorax
  • Hilar
    • Unilateral- cancer
    • Bilateral- sarcoidosis
  • Heart
    • Look through the heart to the lungs
  • Lung hidden by diaphragm
    • Look through the heart
How well did you know this?
1
Not at all
2
3
4
5
Perfectly
12
Q

silhouette signs

A

if you lose a key silhouette sign the atelectasis or consolidation is in a specific place

How well did you know this?
1
Not at all
2
3
4
5
Perfectly
13
Q

lost left hemidiaphragm

A

atelectasis or consolidation in the left lower lung (LLL)

How well did you know this?
1
Not at all
2
3
4
5
Perfectly
14
Q

lost right hemidiaphragm

A

atelectasis or consolidation in the RLL

How well did you know this?
1
Not at all
2
3
4
5
Perfectly
15
Q

lost right heart border

A

atelectasis or consolidation in the rright middle lobe

How well did you know this?
1
Not at all
2
3
4
5
Perfectly
16
Q

lost left heart border

A

atelectasis or consolidation in the lingula

How well did you know this?
1
Not at all
2
3
4
5
Perfectly
17
Q

lost upper border of the horizontal fissure

A

right upper longer

18
Q

diagnose

A

C - lung metastases

  • ‘Canon ball mets’
  • Older patients
  • Primary sites: bowel, renal cell, pancreatic and breast cancer
19
Q

diagnose

A

C- right pneumothorax

20
Q

diagnosed

A

B- bilateral hilar lymphadenopathy

e.g. sarcoidosis

21
Q

diagnosed

A

C- right upper lobe collapse

  • Atelectasis- mediastinum pulled towards collapse
22
Q

diagnose

23
Q

diagnose

A

B- pneumoperitoneum

24
diagnose
C- right pleural effusion
25
Abdominal radiograph summary
* **Introduction** * patient and identification * date of radiograph * previous radiograph * **Comment on quality of film** * Supine or erect (AP) * erect may distinguish an air fluid level * Exposure- diaphragm → pubic symphysis in frame * Penetration- soft tissue differences * **BBC** * bowel gas pattern * bones * calcified artefacts * **Review areas** * lung bases
26
general approach
* follow the bowel up from the rectum looking for air * liver on right and spleen on left * split abdomen into 4 * look for the course of the ureters
27
BBC
* Bowel gas pattern * Bones * Calcified artefacts * E.g. renal calculi/phleboliths
28
large bowel vs small bowel
29
diagnose
B- Small bowel obstruction * Plica circularis * Central
30
diagnose
* C- sigmoid volvulus * Coffee bean sign
31
diagnose
* E- Perforation * Rigler sign – when bowel wall becomes very defined
32
Musculoskeletal approach
* Introduction * Patient identification * date of radiograph * Body part (side) * Are there x2 views (lateral and AP) * comparison to previous imaging * ABCS * alignment * bone texture * cortices * soft tissue *
33
A- MSK xray
* Alignment of bones and joint spaces- dislocation
34
B- MSK XRAY
bone texture e.g. osteoporosis
35
C-MSK XRAY
Cortices * any breaks int he cortex - trace finger around looking for ‘step’
36
S- MSK XRAY
soft tissue- joint effusion or soft tissue swelling
37
RA XRAY
38
example of disruption of normal bone texture/trabeculae
39
example of disruption of the cortex
40
pelvic x-ray joint space/aligment
41
example of cortex on pelvic x-ray
remember: **SHENTONS LINE$**
42
diagnose