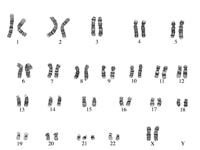
Beskriv karyotypen på billedet

Karyotypen viser en kvinde med et ekstra kromosom nr. 21 (trisomi 21/Downs syndrom). Skrives 47, XX,+ 21
Beskriv hvad der forstås ved meiotisk non-disjunktion
Ved meiotisk non-disjunction kan der ske to mulige fejl:
Nævn karakteristika for personer med downs
Forklar hvilken type arvegang, der er tale om på billedet

Sygdommen er recessiv da syge børn har raske forældre. Da det kun er mænd som har sygdommen og da det i alle tilfælde er kvinder, der giver sygdommen videre til deres børn er det sandsynligt at der er tale om en X-bunden recessiv monogen sygdom
Beskriv fænotyperne for nummer 1 og 2 i første generation og redegør for deres genotyper

X-kromosom med normal allel: X
X-kromosom med defekt allel: X
Mandens fænotype er rask og han må derfor have genotypen: XY
Kvinden er rask, men da én af hendes sønner har sygdommen må hun være bærer af sygdommen og hun har derfor genotypen XX
Parret, der udgøres af nummer 1 og 2 i tredje generation, planlægger at få endnu et barn. Forklar hvad risikoen er for at et kommende barn arver sygdommen

Parret har en søn med sygdommen og kvinden må derfor være bærer og have genotypen XX. Manden er rask og har genotypen XY.
Ud fra krydsningsskemaet kan man se, at der er 50% risiko for at barnet har sygdommen, hvis det er en søn. Ingen døtre vil få sygdommen (men statistisk set vil 50% af døtrene være bærere af sygdommen)
Forklar hvad følgende ord og begreber betyder:
Beskriv hvad man forstår ved en prænatal undersøgelse.
Det er undersøgelser der foretages i graviditeten.
Beskriv hvad en prænatal undersøgelse kan bruges til
Man ønsker at få en viden om, hvorvidt fosteret ser ud til at udvikle sig, som det skal Hvis det ikke er tilfældet kan yderligere undersøgelser fastslå evt. kromosomfejl og man kan få mulighed for at afbryde svangerskabet, hvis fosteret findes unormalt.
Giv et eksempel på en prænatal undersøgelse
Beskriv hvordan man udtager en fostervandsprøve
Man bruger en kanyle man stikker igennem moderens bugvæg og ind i amnionhulen, hvor man udtager en prøve af væsken. Der gøres under ultralydsvejledning, så man undgår at ramme fosteret.
Beskriv hvad kan man undersøge i en fostervandsprøve
Man dyrker fostercellerne i væsken, og kan efterfølgende karyotype fosteret, dvs. man kan afgøre kønnet og se om kromosomernes antal eller struktur afviger fra det normale