what is the gold standard imaging for urinary tract stones and explain why.
what would you look for
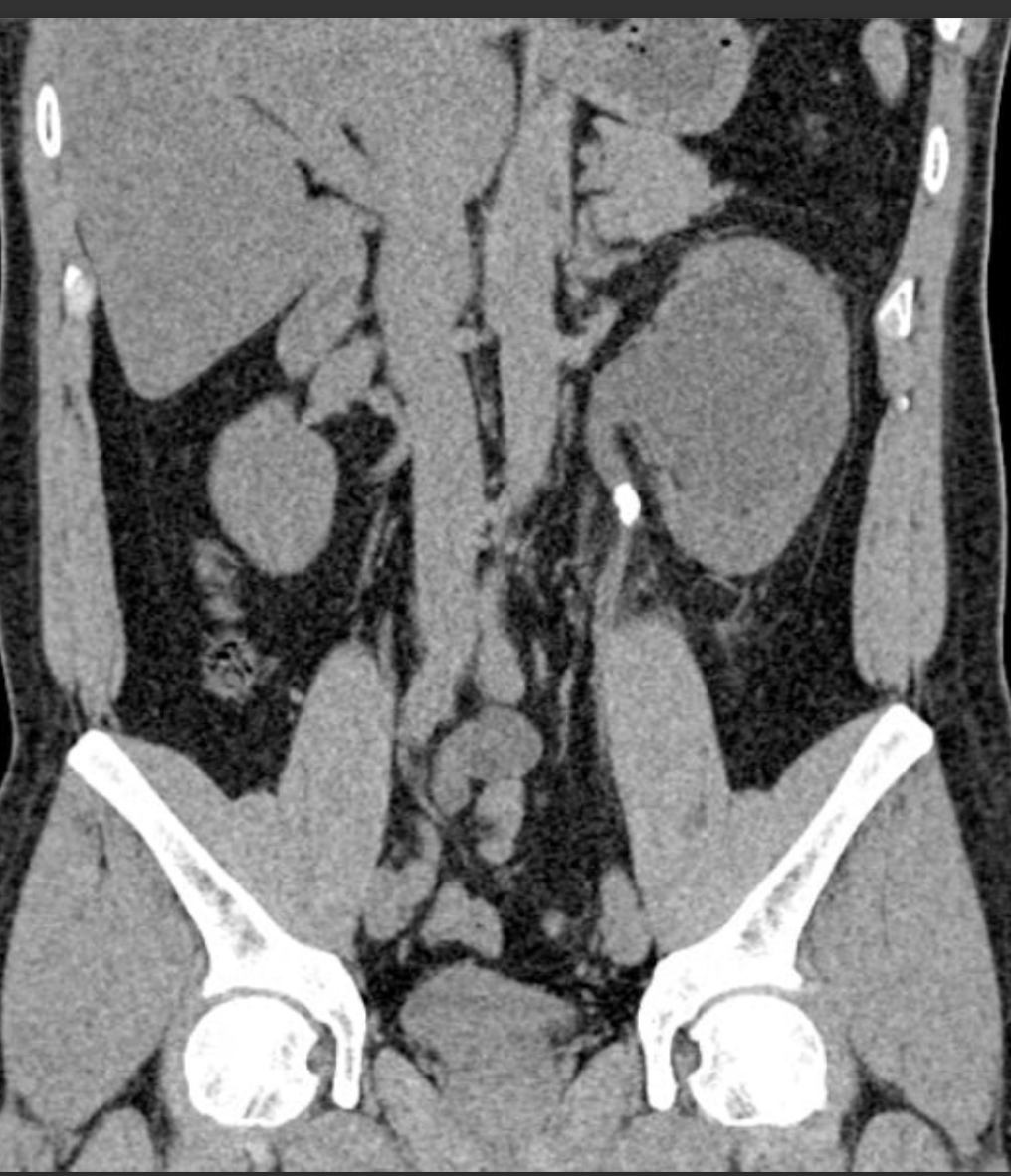
Non Contrast CT scan
Can see exactly where it’s blocked and other organs involved
Can also see if there’s hydronephrosis (swelling of the kidney due to back pressure)
You can also see peinephric fat stranding

what is the summary of the clinical manifestation of ureteric colic
Svere colicky abdominal pain
Renal angle tenderness radiating to the groin including penile tip/lower urinary tract symptoms

what are the 3 locations where ureteric stones are likely to be found
Plevoureteric junction
Sacroiliacl joint over the common illiac arteries
Vesicoureteric junction
what size of stone can pass by themselves and what requires management
Stones smaller than 5mm can pass by themselves
Larger ones need management like:
why is Non-Contrast CT considered the best image modelaity of choice for stones and why aren’t X-rays or USS considered

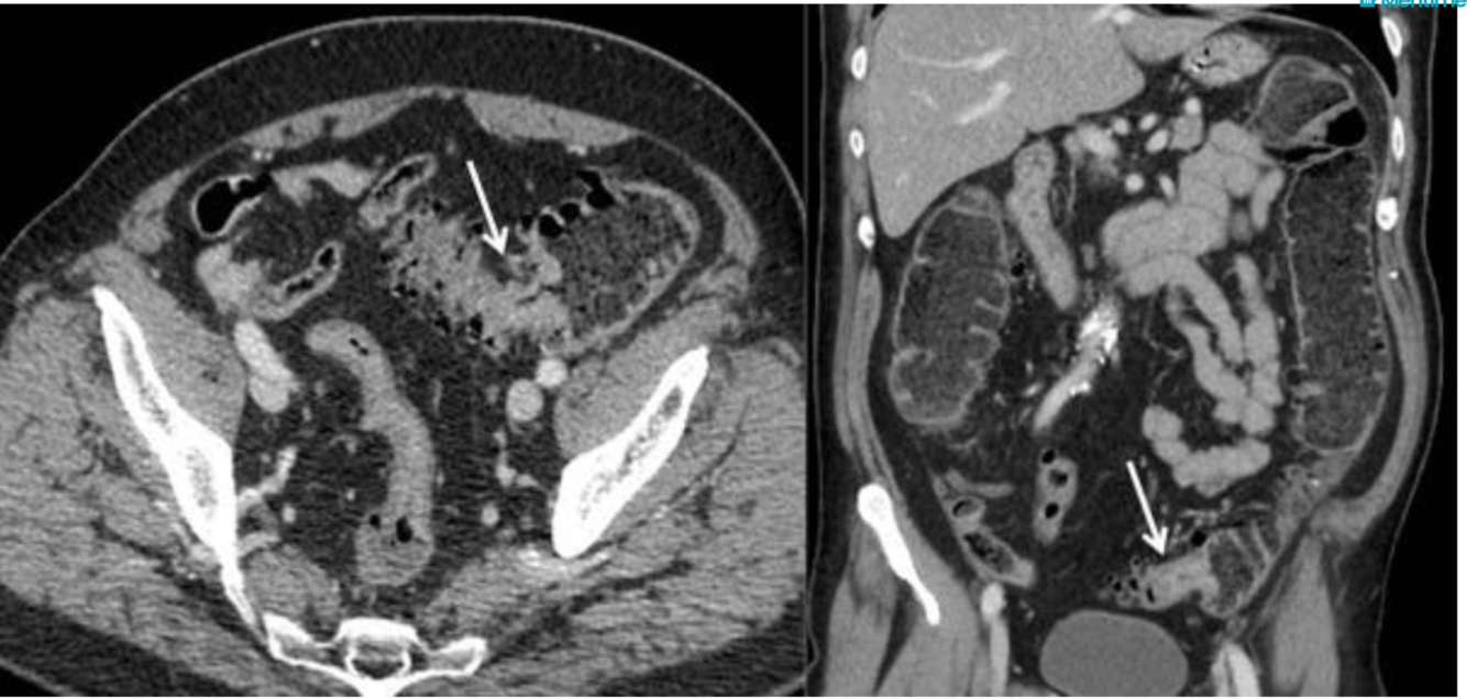
what does this image show?

Large bowel bostruction at arrows with dialtation proximal to site of obstruction
what are the causes of bowel obstruction?
Small bowel: adhesions and hernia
Large: cancer, diverticular and volvulus
Can also seperate into Intraluminal, mural and extramural

what are the clinical manifestation of bowel obstruction
Symptoms:
Signs:

what imaging modality is best for bowel obstruction?
what about x-rays?
NC- CT:
AX -rays:
what are the causes of portal hypertension
Pre-hepatic
Hepatic
Post-hepatic

what is portal hypertension
This occurs when pressure is above 12mmHg (normal is 6mmHg).
Blood back up in the systemic veins and leading to decreased flow to the liver
Decreased liver function and detoxifying capacity
what are the 3 main sites of anastomoses in the portal-systemic venous network
Oesophageal – Between the oesophageal branch of the left gastric vein and the oesophageal tributaries to the azygous system.
Rectal – Between the superior rectal vein and the inferior rectal veins.
Retroperitoneal – Between the portal tributaries of the mesenteric veins and the retroperitoneal veins.
Paraumbilical – Between the portal veins of the liver and the veins of the anterior abdominal wall.

what are the features of portal hypertension. Give clincial vignette
Ascites
Bleeding at varices
Caput Medusae
Diminished Liver function
Enlarged spleen

if you suspect portal hypertension, what imaging can you order and justify
USS (doppler) to look for liver cirrhosis/nodules and flow in portal vein
CT/MRI (with contrast for vessels) to see:
Fibroscan for cirrhosis and liver fibrosis