Genou Flashcards

(11 cards)

1
Q

Projections de base et complémentaires du genou?

A

Projections de base
• AP
• LAT
Projections complémentaires
• Tunnellaire
• Schuss/Rosenberg • Axialedelapatella

How well did you know this?
1
Not at all
2
3
4
5
Perfectly
2
Q

Rx du genou est indiqué pour?

A

• Enfant > 5 ans ou adulte qui répond aux critères d’ottawa

La majorité de fractures et processus dégénératifs sont bien visualisés avec R-X

How well did you know this?
1
Not at all
2
3
4
5
Perfectly
3
Q

Qu’est-ce que je vois dans ma projection lat du genou

A

Genou fléchi entre 20 ̊-30 ̊
• Position de la rotule (baja, alta).
• Articulation fémoro-rotulienne de profil
• Attaches tendineuses du système extenseur
• Os fabella
• Évaluation de l’espace supra- patellaire à la recherche d’épanchement

How well did you know this?
1
Not at all
2
3
4
5
Perfectly
4
Q

Qu’est-ce que je vois dans ma projection AP du genou

A

• La patella est surimposée au fémur
• Les espaces des compartiments interne et externe fémoro-tibiaux
sont égaux
• Léger valgus physiologique
• La tête fibulaire est surimposée au
tibia

How well did you know this?
1
Not at all
2
3
4
5
Perfectly
5
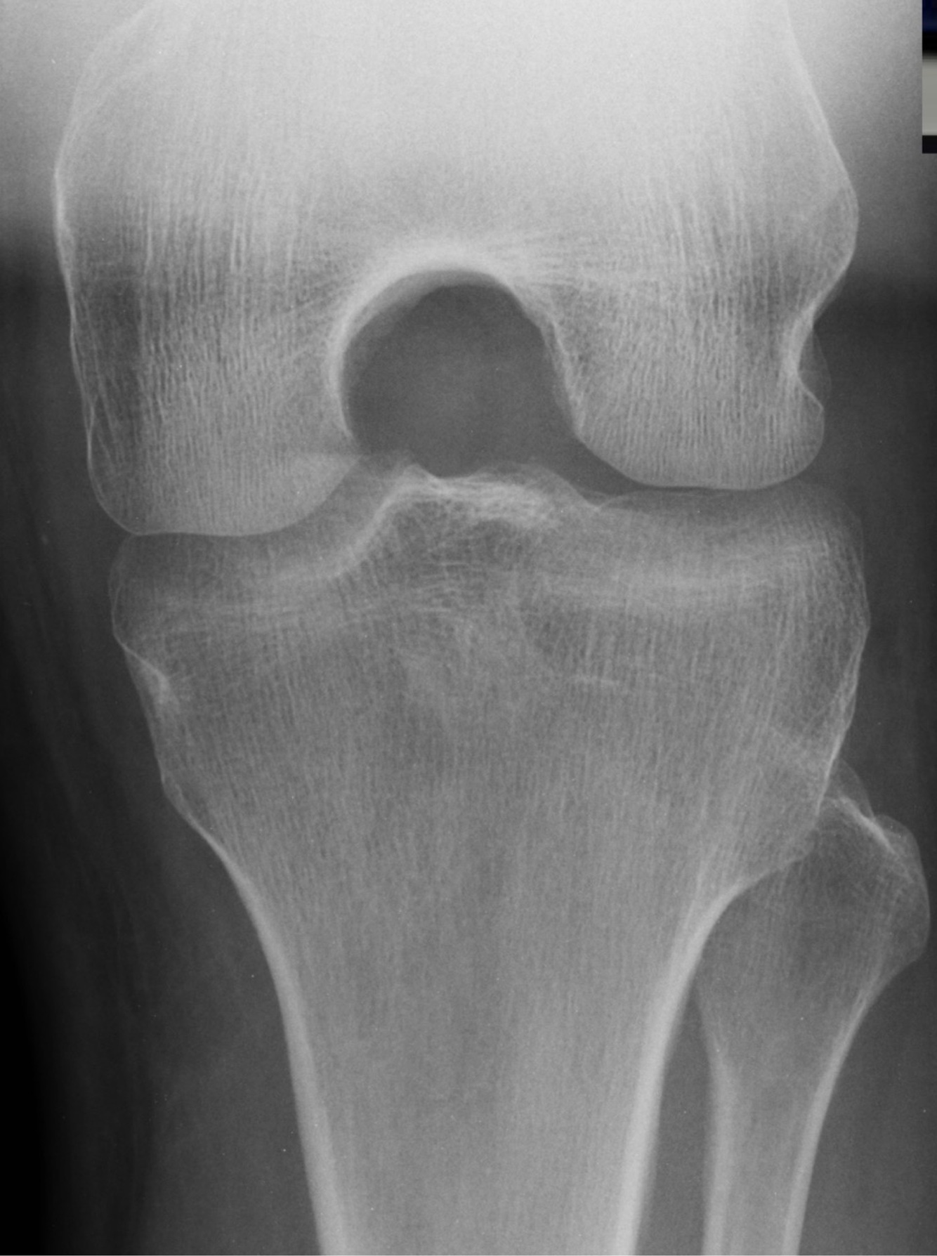
Q

Quelle est ce type de projection?

A

Projection tunellaire

• Projection PA ou AP
• Genou fléchi à 30-40 ̊
• Permet de mieux visualiser la fosse intercondylienne et les 2 épines tibiales
• La surface articulaire tibiale est légèrement plus visible
• Permet de détecter des lésions ostéochondrales

How well did you know this?
1
Not at all
2
3
4
5
Perfectly
6
Q

Si je veux une vue de plus pour voir l’intégrité des espaces des compartiments interne et externe femoro-tibiaux ?

A

Projection de Schuss (Rosenberg)

How well did you know this?
1
Not at all
2
3
4
5
Perfectly
7
Q

Qui suis-je?

• Flexion du genou à 45 ̊ la plus fréquente (60-90 degrés peuvent être faits)
• Évaluation des surfaces des condyles fémoraux et de la patella
• Évaluation si presence de subluxation patellaire (alignement)

A

Projection axiale de la patella

How well did you know this?
1
Not at all
2
3
4
5
Perfectly
8
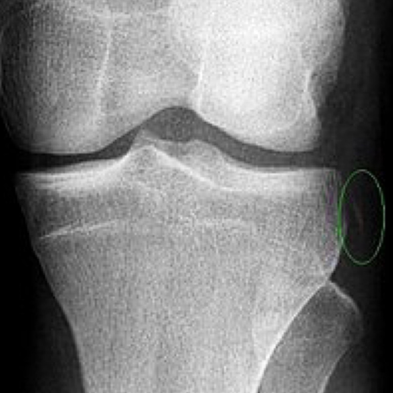
Q

Qui suis-je?

A

Fracture de Segond 🦓
• Fracture avulsive en latéral du tibia sous le plateau tibial
• Hautement associée avec une déchirure du LCA, des ménisques, des structures postérieures du genou et de la capsule LAT
• Stress en varus et rotation tibiale INT

How well did you know this?
1
Not at all
2
3
4
5
Perfectly
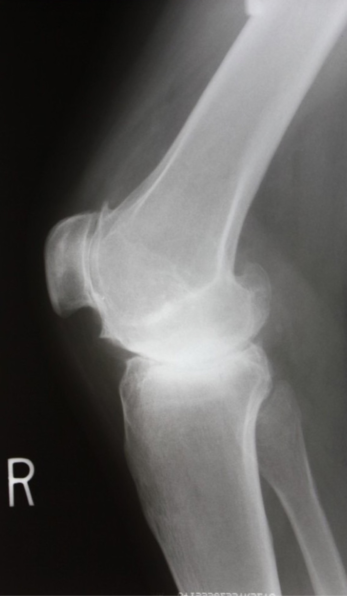
9
Q

Dx?

A
How well did you know this?
1
Not at all
2
3
4
5
Perfectly
10
Q

Type de vue?

A

Tunellaire

How well did you know this?
1
Not at all
2
3
4
5
Perfectly
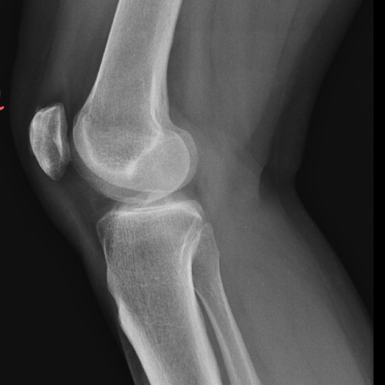
11
Q

Dx?

A
How well did you know this?
1
Not at all
2
3
4
5
Perfectly