Pied Flashcards

(7 cards)

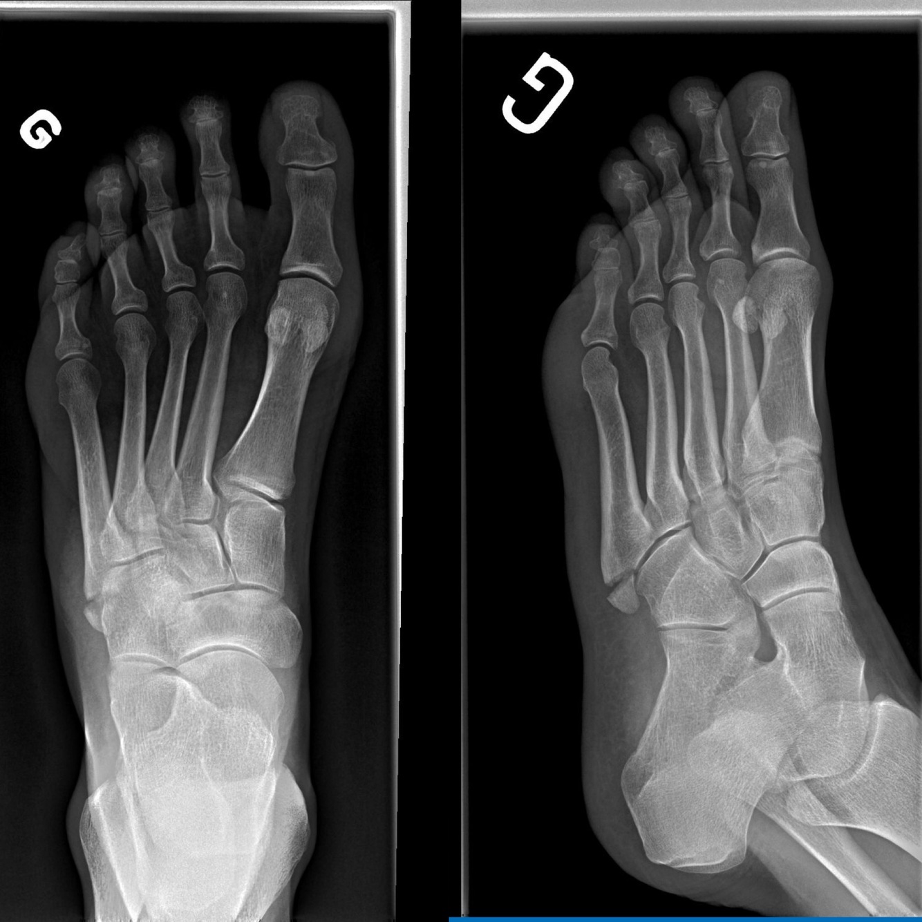
1
Q

Projections de base du pied

A

• Dorso-planaire (AP)
• Oblique
• LAT

How well did you know this?
1
Not at all
2
3
4
5
Perfectly
2
Q

Projection complémentaire du pied

A

• Orteils
• En charge
• Axial

How well did you know this?
1
Not at all
2
3
4
5
Perfectly
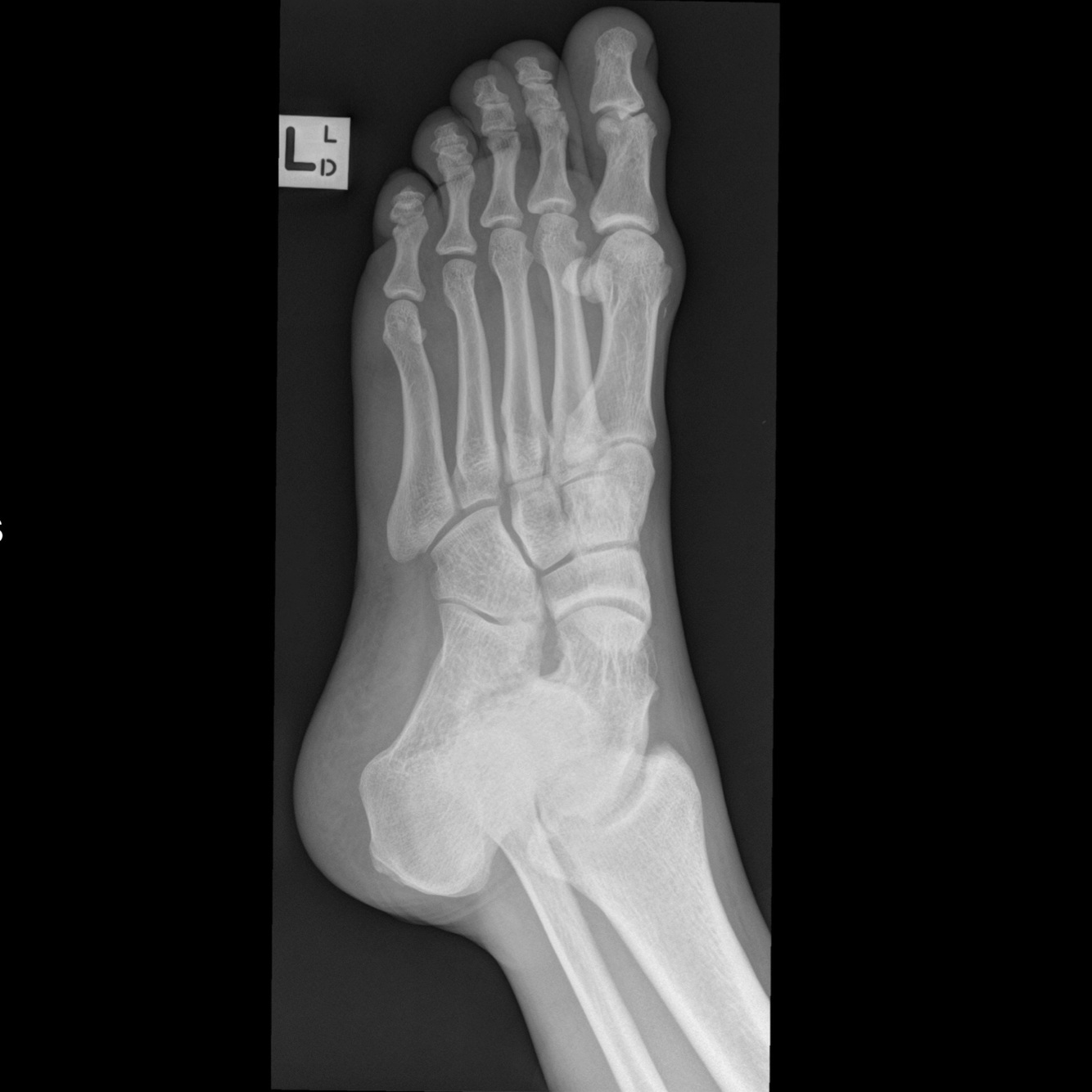
3
Q

Quelle vue Si je veux voir :

• Articulations de Chopart et de
Lisfranc
• Hallux valgus
• Le rebord médial du 2ième méta est
en ligne avec le rebord médial du
2ième cunéiforme
• Métatarsiens en vue planaire
• Sésamoides

A

projection dorso-planaire

How well did you know this?
1
Not at all
2
3
4
5
Perfectly
4
Q

Quelle vue?
Évalue quoi ?

A

Projection oblique
Évaluation de:
• Utile pour les luxations et subluxation médio-
tarsiennes, pour enlever certaines surimpositions (ex les os sésamoïdes) et visualiser la base du 5ième métatarsien
• Le bord interne du 3ième méta est aligné avec le bord interne du 3ième cunéiforme
• Le bord interne du 4ième méta est aligné avec le bord interne du cuboïde
• Doit toujours être demandée post trauma (critère Ottawa +)

How well did you know this?
1
Not at all
2
3
4
5
Perfectly
5
Q

Pourquoi demander une projection en charge du pied?

A

Utile pour mettre en évidence une atteinte de Lisfranc subtile

How well did you know this?
1
Not at all
2
3
4
5
Perfectly
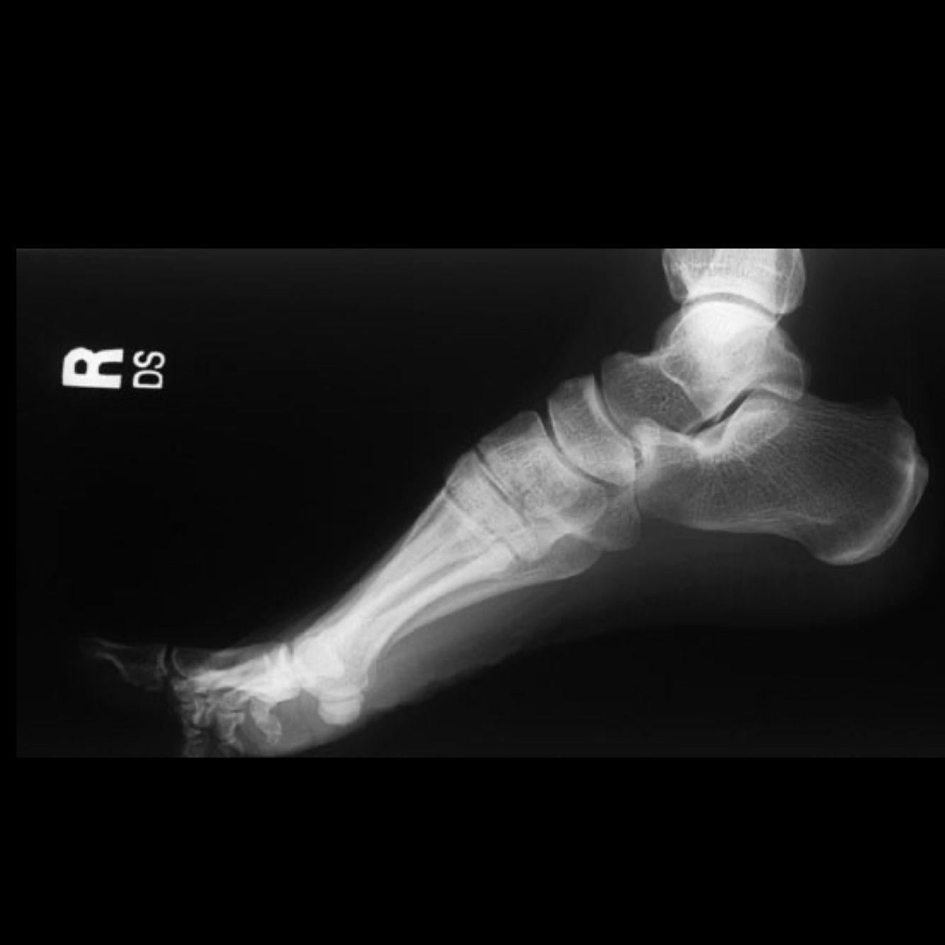
6
Q

Quelle vue?
Évaluation de?

A

Projection latérale
Évaluation de:
• Arrière-pied et mi-pied • Sinus du tarse
• Angle de Boehler

How well did you know this?
1
Not at all
2
3
4
5
Perfectly
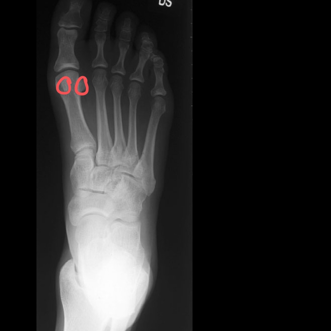
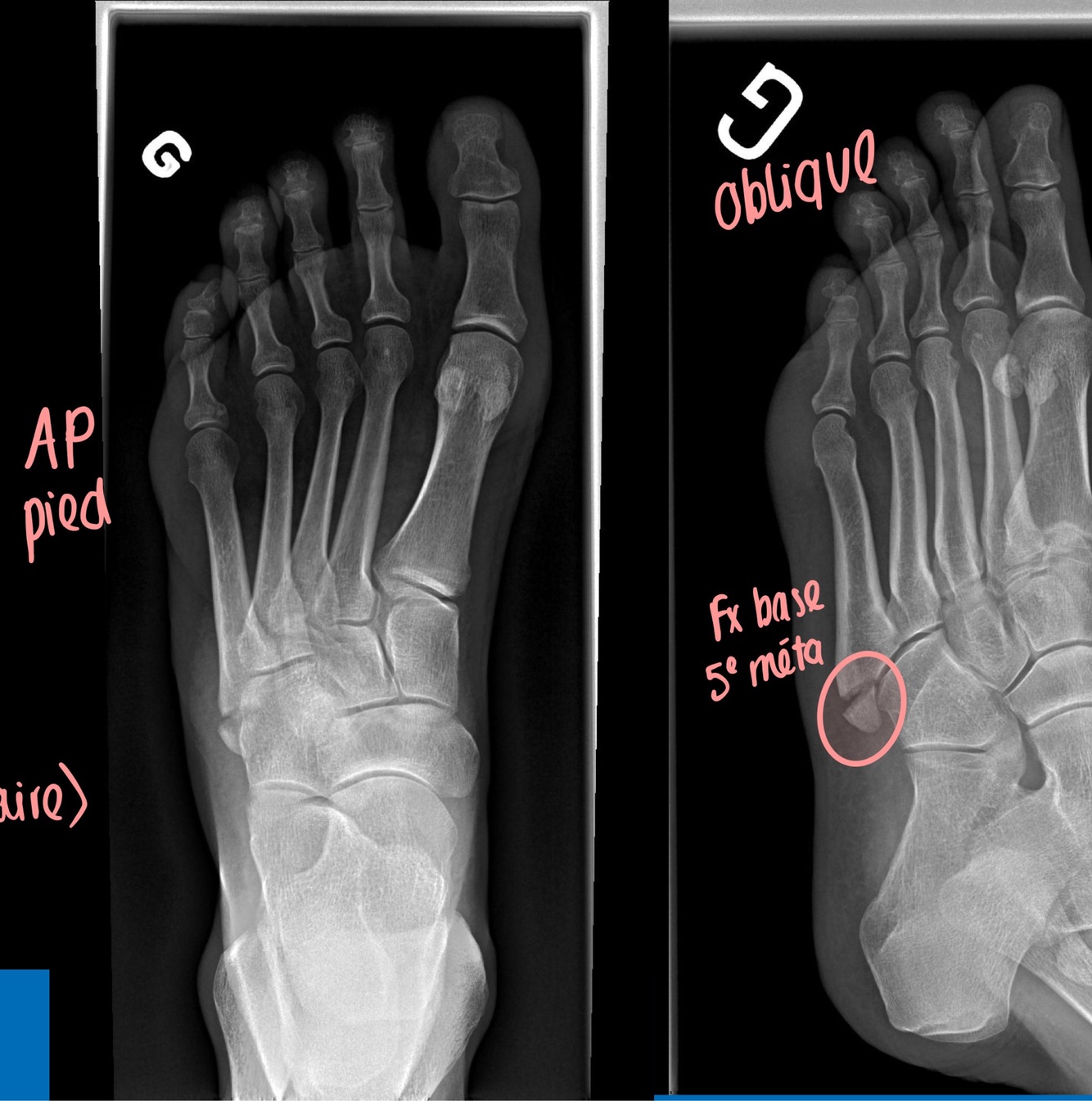
7
Q

Dx?
Et vue?

A

Entorse en éversion avec avulsion (court fibulaire)

How well did you know this?
1
Not at all
2
3
4
5
Perfectly