GI Flashcards

(109 cards)

1
Q
A

Candidiasis

irregular, longitudinal plaques with intervening normal mucosa

Typically upper 1/3 oesophagus

Immunocompromised (HIV, Transplant)

In older asymptomatic patients = Mucosal white plaques more uniform, rounded, and less well defined than candidiasis = Glycogenic Acanthosis

How well did you know this?
1
Not at all
2
3
4
5
Perfectly
2
Q

Immunocompromised, multiple small <1cm oesophageal ulcers with a surrounding halo of oedema?

A

Herpes ulcer

How well did you know this?
1
Not at all
2
3
4
5
Perfectly
3
Q

Singular large flat ulcer. 1cm in length in the oesophagus?

A

CMV or HIV

HIV more common to have massive ulcer (can be several cms)

How well did you know this?
1
Not at all
2
3
4
5
Perfectly
4
Q

Solitary or multiple shallow ulcers usually in mid/upper oesophagus at sites of narrowing e.g., at aortic arch indentation?

A

Drug induced

How well did you know this?
1
Not at all
2
3
4
5
Perfectly
5
Q

Mid oesophageal stricture, associated hiatal hernia and reflux?

A

Barretts

‘reticular muscosal pattern’

How well did you know this?
1
Not at all
2
3
4
5
Perfectly
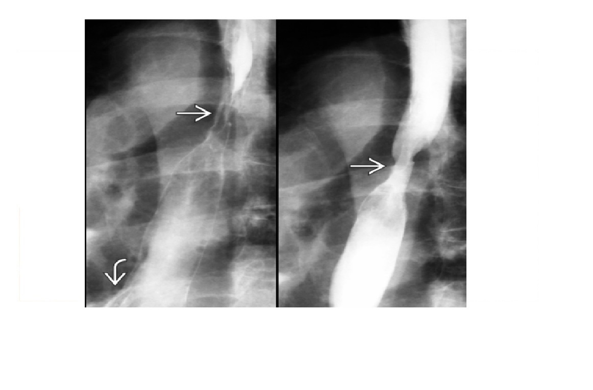
6
Q

Young male, dysphagia. Barium - Concentric, ring-like strictures of oesophagus

A

Eosinophilic oesophagitis

**Not transient - Permanent **

DDx
feline oesophagus
- folds1-2 mm thick and run horizontally around the entire circumference of the esophageal lumen.
- The findings are transient, seen following reflux and not during swallowing.
- Associated with GORD
- distal two-thirds of the thoracic esophagus

How well did you know this?
1
Not at all
2
3
4
5
Perfectly
7
Q

long stricture ± diffuse ulceration of lower and mid oesophagus.

A

Caustic

Stomach can be pulled into the chest as the oesophagus shortens and strictures

DDX Long stricture
-NG tube in too long or radiation - These are usually smooth

How well did you know this?
1
Not at all
2
3
4
5
Perfectly
8
Q

Features of oesophageal scleroderma?

A

-affects the Lower 2/3 (smooth muscle) with atony and peristalsis that begin caudally and moves cranially.
-Moderate dilatation of esophagus with fusiform stricture at lower end

Nb upper 1/3 to above aortic arch is normal (striated muscle)

NB - Jejunum - dilated but with preserved valvulae conniventes

DDx
Achalsia
- Grossly dilated whole oesophagus with smooth, beak-like tapering at lower end

Reflux Esophagitis (With Stricture)
-Longer tapered distal stricture
-Less luminal dilation
-Distinguished from scleroderma by normal peristalsis

Esophageal Carcinoma
-Abrupt proximal borders of strictured segment (rat tail appearance)
-Mucosal irregularity, shouldering, mass effect

Nb polymositits
- affects skeletal muscle so therefore affects the upper third of oesophagus, retention of barium in the valeeculae, regurg nasal reflux, failure of contrast to progress in upper third without gravity

How well did you know this?
1
Not at all
2
3
4
5
Perfectly
9
Q

Water density cyst in the posterior mediastinum ?

A

Oesophageal duplication cyst

Commonest site-** distal ileum**, duodenum, oesophagus

DDx
- Bronchogenic cyst - Cartilage, **subcarinal **
- Leiomyoma - solid oesophageal mass
- Oesophageal diverticulum - communicated directly
- Neurenteric cyst - associated vertebral abnormalities

How well did you know this?
1
Not at all
2
3
4
5
Perfectly
10
Q

Outpouching with rounded contour posteriorly and the neck is above the cricopharyngeus muscle

A

Zenker Diverticulum

In hypopharynx!!!

Site of weakness is the Killian dehiscence - between the inferior pharyngeal constrictor muscle and cricopharyngeal muscle

How well did you know this?
1
Not at all
2
3
4
5
Perfectly
11
Q

Dysphagia in elderly person. Previous TB. Barium-filled tented or triangular outpouching in the mid oesophagus ?

A

Traction diverticulum

Acquired condition due to subcarinal or perihilar granulomatous lymph node pathology (TB, histo)

External force on oesophageal wall, such as mediastinal inflammation, that adheres and pulls on oesophageal wall

How well did you know this?
1
Not at all
2
3
4
5
Perfectly
12
Q

Small outpouching in the cervical oesophagus. Anterior and lateral direction?

A

Killian - Jamieson Diverticulum

How well did you know this?
1
Not at all
2
3
4
5
Perfectly
13
Q

Large saccular outpouching just above the diaphragm, right side?

A

Epiphrenic diverticulum

Can be mistaken for paraesophageal hernia - usually in on the left

associated with dysmotility disorders

How well did you know this?
1
Not at all
2
3
4
5
Perfectly
14
Q

Barium - multiple, tiny (1- to 4-mm depth), flask-like outpouchings in the oesophagus

A

Oesophageal pseudodiverticulosis

Barium trapped in dilated excretory ducts of submucosal glands

CHRONIC REFLUX* and Candida

How well did you know this?
1
Not at all
2
3
4
5
Perfectly
15
Q

Oesophageal web, iron deficiency anaemia, dysphagia, spoon shaped nails?

A

Plummer - Vinson syndrome

Webs are risk factor for hypopharyngeal and oesophageal Cancer

How well did you know this?
1
Not at all
2
3
4
5
Perfectly
16
Q

Anterior indentation of the oesophagus and posterior indentation of the trachea?

A

Pulmonary sling

Aberrant left pulmonary artery

How well did you know this?
1
Not at all
2
3
4
5
Perfectly
17
Q

Posterior indentation of the oesophagus and anterior indentation of the trachea?

A

Double aortic arch

classic “reverse S” indentation of the contrast column on frontal view produced by an upper indentation of the right-sided aortic arch and the lower indentation is by the left-sided aortic arch

How well did you know this?
1
Not at all
2
3
4
5
Perfectly
18
Q

Features of GIST tumour?

A

Well-circumscribed.

Hypervascular

submucosal mass extending exophytically from GI tract
Stomach (70%)

**Heterogenous - Central necrosis is key **

Remember
- assocaited NF-1
- Carneys triad
- Pulmonary condromas, Exrtra-adrenal paragangliomas, GIST

How well did you know this?
1
Not at all
2
3
4
5
Perfectly
19
Q

Features of Gastric lymphoma?

A

Diffuse wall thickening
can cross the pylorus
Rarely causes gastric outlet obstruction

can be primary MALT and secondary to systemic lymphoma (NHL)

How well did you know this?
1
Not at all
2
3
4
5
Perfectly
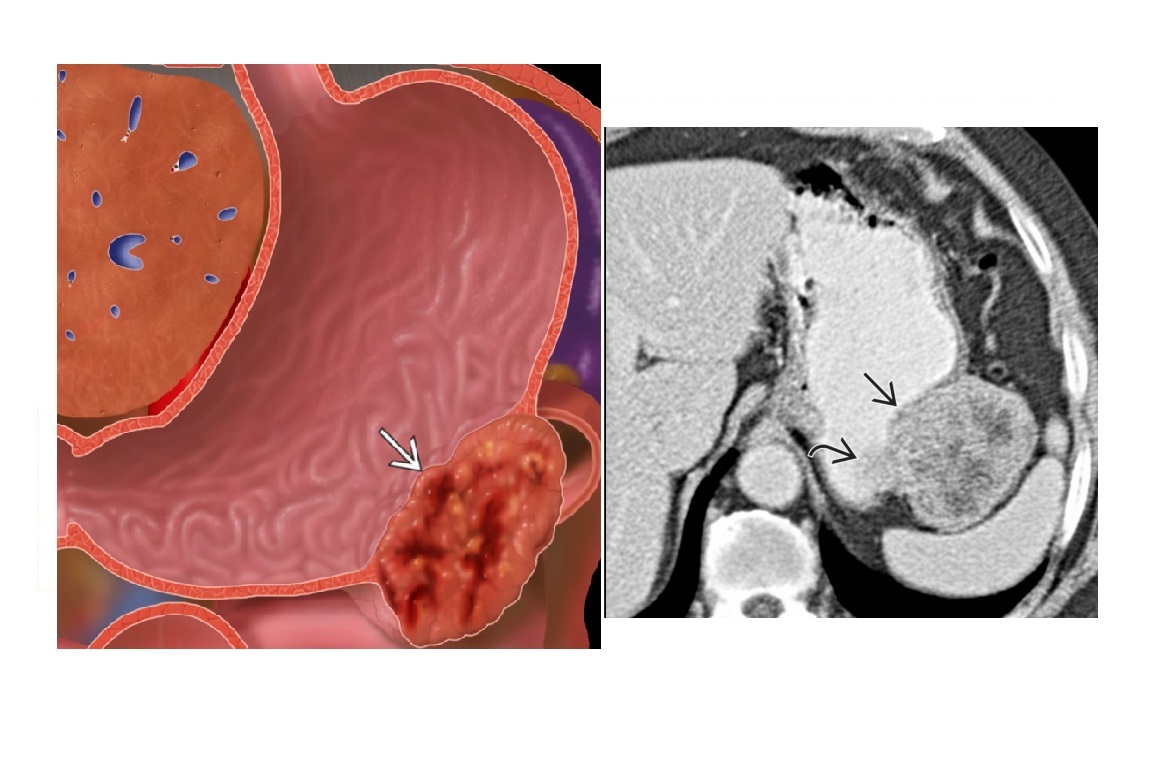
20
Q

Features of gastric carcinoma?

A
  1. Intraluminal mass with no peristalsis through lesion (at fluoroscopy)
    - Antral mass causing outlet obstruction
  2. Ulcer -
    Width > depth, nodular edges
    obliteration of surrounding areae gastricae
  3. Infiltrative -
    Diffuse infiltration of gastric wall; non-peristaltic, non-distensible = **Linitis plastica (leather bottle) ***
    **Pseudoachalasia: Fundal carcinoma may destroy myenteric plexus
    Oesophageal obstruction, dilated lumen, diminished peristalsis; mistaken for primary achalasia - Pseudo the GE junction doesnt relax

Krukenberg tumor: Metastases to ovaries via peritoneal seeding
Early epigastric nodes

How well did you know this?
1
Not at all
2
3
4
5
Perfectly
21
Q

Grossly thickened, lobulated folds in gastric fundus and body with poor barium coating. low albumin ?

A

Menetriers disease

SPARES the antrum

Hyperplastic gastropathy/ protein-losing gastropathy
Imaging

CT - Massive thickening of mucosa and submucosa, giant, mass-like, tortuous folds resemble cerebral convolutions

DDx
Gastritis - thickened lobulated folds favour antrum
ZES - Multiple ulcers, pancreatic tumor (gastrinoma)

How well did you know this?
1
Not at all
2
3
4
5
Perfectly
22
Q

Types of gastric volvulus?

A
  1. Organoaxial
    - Greater curvature flips over the lesser.
    - Older people
    - Associated with paraesophageal hernia
  2. Mesenteroaxial
    - Twisting over the mesentery
    - ischaemia, obstruction
    - kids
How well did you know this?
1
Not at all
2
3
4
5
Perfectly
23
Q

Patterns of fold thickness on barium

A

Thin straight
Thick (>3mm) and straight - diffuse or segmental
Thick Nodular - diffuse or segmental

How well did you know this?
1
Not at all
2
3
4
5
Perfectly
24
Q

Thickened, irregular folds, Sand-like micronodules (1-2 mm) in the distal duodenum and proximal jejunum

A

Whipples disease

+ LOW density (near fat) mesenteric lymphadenopathy

Pseduo whipples
MAI infection in AIDS patient CD$ <100
Nodules in jejenum
+ Splenomegaly and retroperitoneal lymph nodes

How well did you know this?
1
Not at all
2
3
4
5
Perfectly
25
Most common location for small bowel adenocarcnioma?
****Proximal small bowel usually, Duodenum. present with **SBO**!! **Increased incidence with coeliac disease ** Focal circumferential bowel wall thickening in the proximal small bowel DDx Small bowel lymphoma - immunosuppression - transplant, AIDS - usually **do not obstruct, lumen can be aneurysmal and not narrow ** Carcicnoid - distal small bowel - terminal ileum and appendix
26
Small bowel spiculated mesenteric mass with calcification. Solidary enhancing ileal lesion
Carcinoid Sunburst desmoplastic reaction in the mesentery Tethering of SB loops 90% arise in terminal ileum/appendix Hyper-vascular liver mets - Carcinoid syndrome **111I- Octreotide scans (1st - highest sensitivity) or 123I-MIBG (for 10% dont take up octreotide) for Dx and staging** Assocaited with MEN 1 or MEN 2a DDX Sclerosing mesenteritis - FAT HALO sign - Mass envelop vessels, but preservation of fat around vessels - usually jejunal small bowel mesentery Gastrointestinal Stromal Tumor (GIST) - Hypervascular tumor, not associated with desmoplastic effect on mesentery Small Bowel Carcinoma - More common in duodenum or jejunum than in ileum - Causes luminal obstruction - Mass and metastases are hypovascular
27
Features of desmoid tumour?
Small bowel mesentery or abdominal wall mass arising **at site of scarring from prior surgery** Associated with **Gardner syndrome or familial adenomatous polyposis (FAP)**, usually intraabdominal **Soft tissue mass** with well-defined or ill-defined margins variable, heterogeneous enhancement on CECT can infiltrate into bowel wall/adjacent structures, can cause SBO
28
Commonest cause of small bowel mets?
Melanoma
29
Key difference between direct and indirect hernia?
Direct - Medial to inferior epigastric artery - Defect in Hesselbacks triangle Indirect - most common - lateral to the inferior epigastric artery - Covered by internal spermatic fascia - failure of Processus vaginalis to close
30
Features of femoral hernia?
Old females Medial to femoral vein Posterior to the inguinal ligament Usually on the right
31
Which muscles does obturator hernia pass through?
Pectineus and obturator externus
32
What is a littre and amyand hernia?
Litrre - Hernia with a meckel diverticulum in it Amyand - hernia with an appendix in it
33
Commonest internal hernia type?
Paraduodenal Left side (75%) -Encapsulated cluster or sac-like mass of small bowel loops located between pancreatic body/tail and stomach to left of ligament of Treitz -Protrusion of small bowel through paraduodenal mesenteric fossa of Landzert - mass effect on stomach Right side - Clustered, encapsulated small bowel in right upper abdomen lateral/inferior to descending duodenum - rotrusion of small bowel through jejunal mesentericoparietal fossa of Waldeyer Tranmesenteric -Small bowel obstruction (SBO) in patient status post liver transplant or Roux-en-Y surgery with dilated bowel loops abnormally clustered at periphery of abdomen
34
Epiploic appendagitis and omental infarct?
Epiploic appendagitis - LLQ, adjacent to sigmoid colon - < 3cm - Shorter/acute Hx Omental infarction - RLQ - > 3cm - longer Hx
35
Round or oval, thin-walled, cystic mass near tip of cecum. Ca⁺⁺ curvilinear within wall
Appendix mucocele IF ruptures = Pseudomyxoma peritonei Loculated ascites; scalloped surface of liver and spleen
36
Diffuse ulcerating colitis, right lobe liver abscess. spares the terminal ileum. coned caecum ?
Entamoeba histolytica / Amebiasis nb other GI parasite infections 1. Ascariasis: Linear filling defect on small bowel follow-through (SBFT) Double-contrast sign representing Ascaris worm with barium ingestion 2. Giardiasis and cryptosporidiosis Thickened duodenal and jejunal folds on SBFT
37
DDx for stenois of terminal ileum and features?
Crohn disease Yersina gram-negative bacterium, radiographic similar to Crohn's. resolves quickly, without stricture TB -Asymmetric wall thickening of ileocecal valve and - Cecum and terminal ileum are usually contracted (**cone-shaped cecum)** - nb Crohn's not typical for caecum -Look for signs of peritonitis/ ascites & caseated nodes - ** large linear Ulcers with elevated margins ** - Fleischner/umbrella - narrowed TI and open ileocecal valve Carcinoid Mesenteric mass (± calcification)/ desmoplastic infiltration of SB mesentery
38
Infectious colitis that causes diffuse involvement of the whole colon?
CMV Escherichia coli (O157:H7) C-diff: 'accordion sign' Campylobacteriosis: Pancolitis ± small bowel three C's And an E
39
Infectious colitis affecting the right colon?
Salmonella/Typhoid fever - invariably in ileum Shigellosis Amebiasis: ± terminal ileum
40
Infectious colitis affecting the rectosigmoid colon?
Gonorrhoea chlamydia herpes syphilis
41
Infectious colitis affecting the left colon?
Schistosomiasis
42
Which part of bowel affecting in neutropenic colitis (typhlitis)
Caecum
43
Elderly lady with severe diarrhoea, electrolyze disturbance, irregular polypoid mass in the rectum?
McKittrick-Wheelock syndrome Villous adenoma
44
Which stage of rectal cancer would require neo-adjuvant chemoradiotherapy prior to surgery?
T3 - tumour breaks into the perirectal fat/ involves the muscularis propria T4 - Spread beyond the mesorectal fascia MRI to stage- T2 weighted imaging, no contrast!! **Muscularis propria is outer wall of rectum and is low on T2** Mesorectal fascia is also low. Spread is to internal ilaic anal cancer - upper third/ above the denate line = mesorectal and internal iliac lymph nodes - - lower third = superficial inguinal and external iliacs
45
AVMs in the liver and lungs with massive dilated hepatic artery?
Hereditary haemorrhagic telangectasia
46
Features of pyogenic hepatic abscess?
Pyogenic -Singular - Klebsiella -Multiple - E.coli -'Double targe sign' -Confluent complex cystic lesions Candida - Bulls eye Amoebic - 'extra hepatic extension' - if left lobe needs emergently drained as can rupture into the pericardium -transient hepatic attenuation difference (THAD) due to thrombophlebitis of portal vein and hyperemia of abscess capsule - enhancing capsule and hypodense halo of edema Hydatid - 'water lily, sandstorm' - Large, well-defined, cystic liver mass with numerous peripheral daughter cysts - Echinococcus Schistosomiasis is - 'Tortoise shell' - Septations hyperdense
47
Features of Haemangioma?
US - Hyperechoic with acoustic enhancement CT - Hypodense (isodense to blood) MRI - T1 low and T2 High (++ light bulb) Enhancement - Peripheral nodular arterial enhancement (supplied by hepatic artery) slow, progressive, centripetal enhancement isodense to vessels > 10cm = Giant incomplete centripetal filling of lesion (scar does not enhance) **Haemangioma vs mets** - delayed imaging and T2 haemangioma is brighter than the spleen - So bright can cause T2 shine through on DWI
48
Features of FNH ?
Female predominant . 2nd most common benign lesion after haemangioma US - 'spoke wheel' ? Centrifugal enhancement CT/ MRI - Homogenously arterial enhancement except for central scar. - blends in imperceptibly on the portal venous-phase - delayed enhancement of central scar MRI -'Stealth lesion' - Isointense on t1/t2 to liver parenchyma **Nb central scar can by hyperintense on T2 - retains gadoxetate ** ***Sulfur colloid hot**** Nb Small haemangioma can mimic and have rapid filling - peripheral enhanced areas though stay isodense to blood vessels
49
Features of hepatic adenoma?
Female (OCP) or Man (steroids) **Solitary Multiple = Von Gierke Can't reliably differentiate from HCC on imaging. Heterogeneous Hyper vascular mass +/- foci of fat or haemorrhage Nb Signal drop out as fat Propensity to bleed - RUQ pain is often the presentation **Doesnt retain Gad like FNH as no functioning bile ductules**
50
Features of HCC?
Liver cirrhosis AFP elevated (90%) Often invade the hepatic and portal vein Arterial hyperenhancement and washout in venous or delayed phases on CT or MR Heterogenous MR/CT depending on the degree of fatty change, fibrosis, necrosis
51
Features of fibrolamellar HCC?
Young and non-cirrhotic Normal AFP May Ca2+ **'Central scar' ** = Doent enhance scar is T1/T2 dark **Gallium avid** (FNH is colloid sulfur) Heterogeneously enhancing, large, lobulated mass with hypointense central scar and radial septa
52
Features of Hepatic angiomyolipoma?
Well-circumscribed, mostly (sometimes variable amount) fatty mass US hyperechoic CT gross fat MRI T1 and T2 hyperintense associated with tuberous sclerosis Well-circumscribed, mostly (sometimes variable amount) fatty mass in liver
53
Features of hepatic angiosarcoma?
Very rare Thorotrast associated with haemochromatosis and NF patients
54
Features of cholangiocarcinoma?
Elderly, male, Painless jaundice 'Capsular retraction' Delayed enhancement Peripheral biliary dilatation Encasement of the portal or hepatic veins but NO tumour thrombus Klatskin tumour - is cholangiocarcinoma at the bifurcation of the right and left hepatic ducts.
55
Features of biliary cystadenoma (Mucinous cystic neoplasm) of liver
Solitary large, well-defined, unilocular or multiloculated hepatic cyst CANT differentiate from biliary cystadenocarcinoma
56
Features of haemochromatosis on MRI ?
Liver that is hyperdense on NECT and markedly hypointense on T2WI or in-phase GRE MR **Drop out of signal in the IN phase** (non india ink T.E 4.6ms) Hepatosteastosis **Drop out in the OUT of phase (india ink TE 2.3ms)
57
Primary versus secondary haemochromatosis?
Low signal on T1 and T2 loss of signal on the in phase Increased density on CT Primary - Genetic, increased absoprtion of iron - Liver and pancreas invloved - Spleen is SPARED Secondary - Acquired, Chronic illness, multiple transfusions - Liver and SPLEEN - pancreas is spared
58
Features of steatosis?
CT hypodense -NECT : 40HU or less -Portal venous: if less than 100 HU and 25HU less than the spleen MRI two standard deviations difference between the in and out of phase imaging **Drop out on the OUT of phase (india ink TE 2.3ms on 1.5T) ** US Hyperechoic (brighter than the right kidney)
59
Budd-Chiara vs Veno-occlusive vs passive congestion?
Budd-chiara Acute - Ascites, pain, narrowed and thrombosed IVC and hepatic veins - 'Flip - flop' - early arterial central caudate lobe and central and relatively less enhancement peripherally. on portal venous phase this is the opposite. -** Reversed flow portal vein (hepatofugal)** Chronic - Large regenerative nodules on dysmorphic liver - enhancing, hyperdense, central scar - caudate lobe hypertrophy and peripheral atrophy - Total obliteration of IVC/hepatic - Collateral veins Causes Budd-Chairi - Thrombosis of hepatic veins = OCP, thrombocytosis, pregnancy - Non-thrombotic causes = right atrial myoxma, mechanical compression by tumour, constrictive pericarditis Veno-occlusive - Occlusion of small hepatic venules - **Jamaican bush tea and Stem cell transplant** - Main IVC and hepatic veins are patent, but portal waveforms abnormal Passive congestion - CCF or constrictive pericarditis - enlarged hepatic veins and IVC - Increased portal vein pulsatility
60
Differences between HIV cholangiopathy and PSC?
The intrahepatic duct appearances are difficult to tell apart PSC - Extrahepatic stricture's rarely >5mm - Has saccular deformities of the ducts HIV - Focal strictures of the extrahepatic duct > 2cm and associated with **papillary stenosis**
61
which type of choledochal cyst is the most common and which type is caroli's disease?
Type 1 - Focal dilatation of the CBD Type 5 is Caroli's - Intrahepatic only Type 2 and 3 are very rare - 2 = diverticulum of the CBD - 3 = Choledochocele (into duodenum) Type 4 is both intra and extrahepatic - associated with medullary sponge kidney
62
Features of Carolis disease?
Intrahepatic only Carolis disease - 'Central dot sign' - portal vein branch within dilated intrahepatic duct - associated with medullary sponge kidney, - ADPRD
63
Focal (typically fundal) or diffuse GB wall thickening with intramural cystic spaces containing echogenic foci and comet-tail artifacts
Adenomymatosis - Crystals are intraluminal (within rokitansky-aschoff sinuses) Cholesteroloisis - Cholesterol is within the substance of the LAMINIA PROPRIA and associated with polyps Can be focal, segmental or diffuse Focal most common @ fundus. Cant be differentiated from GB cancer.
64
What is shwachman-diamond syndrome and how is it related to the pancreas ?
2nd most common cause of pancreatic insufficiency in children Lipomatous pseudohypertrophy Short stature (metaphyseal chondroplasia) Diarrhea and eczema
65
Chronic pancreatitis duct dilatation vs pancreatic malignancy duct dilatation?
CP - dilatation is irregular - Duct is <50% of the AP gland diameter Cancer - Dilatation is uniform - Duct is >50% of the AP gland diameter
66
Features of Serous cystadenoma?
Grandma (older) Heterogenous mixed density made up of multiple cysts Pancreatic head Doesnt communicate with the pancreatic duct (IPMNs do) 20% -** classic central scar +/- Ca2+ ** **Can be younger patients with VHL**
67
Features of Mucinous cystic neoplasm?
Mother (50s) Pre-malignant Body and tail No communication with the pancreatic duct (IPMN) Unilocular + thick spetations Cyctic components >2cm can have elavated CEA levels (transform to mucinous cystadenocarcinoma) **Peripheral calcification**
68
Difference between side branch and main branch IPMN?
Side branch - small cystic mass, typically head or uncinate process - < 3cm, benign - duct can be enlarged if large amounts of mucin are produced Main branch - **Diffuse dilatation of the main duct ** excessive mucin production and accumulation - atrophy of the gland and Ca2+ (DDx chronic pancreatitis) - higher malignancy risk - resection - dilatation of the papilla, with bulging of the papilla into the duodenal lumen, secreting thick mucin = seen on ERCP
69
Features of solid pseudopapillary tumor?
Daughter (30s) Usually, Asian or black Large at presentation - solid and cystic, heterogenous predilection for the tail 'Thick capsule'
70
Polyposis syndromes?
FAP - Hundreds or thousands of polyps may carpet colon. - Hepatoblastomas - desmoid tumours Gardner - Multiple osteomas including - skull, mandible - poor dentation -fibromatoses - desmoid tumours of mesentery and anterior abdominal wall Turcot -** medulloblastomas + GBM** - Thus Hx diarrhoea and seizures Cowdens - aka multiple hamartoma syndrome - **Fibrocystic disease of the breast - Breast cancer ** (occurs in up to 50%) - dysplastic cerebellar gangliocytoma Peutz-jeghers - multiple hamartomatous polyps (predominantly the small intestine) - mucocutaneous melanin pigmentation involving the mouth, fingers and toes - increased risk of many cancers (upper GI, ovary, thyorid, testes, pancreas and breast) Hereditary non-polyposis colorectal cancer (HNPCC) / Lynch - 40s/50s with colorectal cancer - 5 times more common than (FAP - It is the most common hereditary cause of endometrial cancer Also Cronklite-canada syndrome - hamartous polpys in the stomach and colon, - alopecia or nail atrophy
71
Conditions linked to ductal pancreatic adenocarcinoma ?
HNPCC BRCA Ataxia-telangiectasia Peutz-jeghers Periampullary - Garnders syndrome
72
Hypervascular solid pancreatic tumors?
Islet cell/Neuroendocrine associated with MEN -1 and VH L Functional - insulinoma - most common (75%), solid, small, benign - Gastrionoma - associated with MEN. malignant ~ 50%. Causes increased gastric acid/ulcer Zollinger-Ellison Non-functional - usually malignant (80%) - large and metastatic at time of diagnosis - Ca2+
73
Features of intrasplenic splenuculus?
Hx trauma Follows spleen o MRI (low on t1 and high T2 relative to liver) Restricts diffusion 'tiger stripped mass on arterial phase' Nb can use sulfur colloid or heat-treated RBC nuclear test to prove it is spleen
74
Blunt trauma versus penetrating trauma which organs are injured?
Blunt - pancreas > liver > spleen > colon > kidney Penetrating - Liver > pancreas > small bowel > kidney > colon > spleen
75
Features of coeliac ?
Iron def anaemia associated with idiopathic pulmonary hemosiderosis Increased risk if bowel wall lymphoma Fold reverseal (jejunum like the ileum, **ileum like the jejunum**. -Moulage sign - smooth tubular appearance of the jejunum **-Dilatation without fold thickness** **Cavitary lymph nodes (low density) - Fat-fluid levels** Splenic atrophy DDX **Lymphoma - Thickened ,nodular folds**
76
Commonest anal fistula?
inter-sphincteric (75%) Doesn't cross the external sphincter, stays medial to it
77
AAST grades for spleen
see image
78
AAST grades for liver
see image
79
AAST grades for kidneys
see image
80
AAST grades for pancreas?
Surgery if the duct is disrupted grade I: haematoma with minor contusion or superficial laceration without duct injury grade II: major contusion or laceration without duct injury **grade III: distal transection or deep parenchymal injury with duct injury** grade IV: proximal transection or deep parenchymal injury involving the ampulla (and/or intrapancreatic common bile duct) grade V: massive disruption of the pancreatic head ("shattered pancreas")
81
Commonest met in the spleen?
Melanoma mets
82
Deafferentation between Benign and malignant ulcers?
Benign - Hamptons line - Deep > wide - Protrusion beyond the stomach Malignant - Wide > deep - Carmen meniscus sign
83
Liner streaks in gastric mucosa primarily affecting the antrum?
Erosive (haemorrhagic) gastritis complete erosions show a spot of barium surrounded by radiolucent ring of oedema (target lesion)
84
Suitable technique for intussusception reduction?
3 attempts for max three mins 120mmhg (bursting pressure colon is 200)
85
Fistula in crohns ?
most commonly ileoceacal
86
Gallbaldder polyp vs GB malignancy
see image
87
appearances of Regenerative and dysplastic nodules?
Regenerative nodules (iron) - Typically, isodense on NECT unless have iron = **siderotic regenerative nodules with are HYPERDENSE ** - Typically, low on T1 and T2 - Do not enhance Dysplastic (fat, glycoproteins) - show early arterial uptake but the **contrast DOESNT wash out on delayed phase (unlike HCC)** - **T1 bright**, T2 isointense/low Differentiate from HCC - increased T2 signal - restricted diffusion - Arterial enhancement and WASHOUT on multiphase postcontrast imaging
88
Curvilinear soft tissue between pancreas and duodenum, often with cystic degeneration within groove or medial wall of duodenum?
Groove pancreatitis
89
Sausage-like enlargement of pancreas (with smooth contour). Hypoattenuating halo or capsule around pancreas Narrowing pancreatic duct Lack of calcifications and fluid collections
Autoimmune pancreatitis Vs chronic Ductal dilatation and Ca2+
90
Bilroth I, bilroth II and roux-en-y
Billroth 1 (B1) procedure (antrectomy with gastroduodenostomy) Billroth 2 (B2) procedure (distal gastrectomy with gastrojejunostomy) Variable length of duodenum and jejunum form proximal or afferent loop Roux-en-Y - post distal gastrectomy with gastrojejunostomy and jejunojejunostomy.
91
what is afferent loop syndrome?
An uncommon complication post Billroth 2. The most common cause is obstruction (adhesions, tumor, intestinal hernia) of the afferent. The acute form may have a closed loop obstruction. The result of this afferent obstruction is the build up of biliary, pancreatic, and intestinal secretions resulting in afferent limb dilation. The back pressure from all this back up dilates the gallbladder, and causes pancreatitis. A much less common cause is if the stomach preferentially drains into the afferent loop
92
what is dumping syndrome?
Loss of pyloric sphincter allows rapid emptying of hyperosmotic gastric contents into jejunum Symptoms: Nausea, urgent diarrhea, lightheadedness immediately after eating Imaging: Nonspecific; may show dilation and hyperperistalsis of jejunum seen classically with Billroth 2 and early in the post op period after Roux-en Y
93
what is Whipples procedure and normal findings post op?
pancreaticoduodenectomy) involves surgical removal of pancreatic head, gastric antrum, proximal duodenum, and gallbladder 3 anastomoses created: Hepaticojejunostomy pancreaticojejunostomy gastrojejunostomy (classic) or duodenojejunostomy (pylorus sparing) Normal findings immediately after Whipple procedure -Small free fluid, edema, and fat stranding in surgical bed with reactive subcentimeter lymph nodes in mesentery -Mild biliary dilatation and pancreatic duct dilatation due to anastomotic edema -Pancreatic duct stent (thin, linear radiodensity) often placed during surgery (traversing pancreaticojejunostomy) to ↓ risk of pancreatic fistula
94
Cause of hypervascular liver Mets?
renal cell carcinoma (RCC) thyroid carcinoma neuroendocrine tumors (carcinoid, islet cell tumors, pheochromocytoma) melanoma Choriocarcinoma (MRCT) Hypo vascular Colon Lung Breast Gastric
95
Which structures/organs are in the anterior pararenal space?
pancreas 2/3rd part of dudoenum anterior and descending colon
96
CI to buscopan?
cardiac disease/arrhythmia MG angle-closure glaucoma paralytic ileus pyloric stenosis prostatic enlargement
97
Causes of splenic cysts?
Post -traumatic pseudocyst (80%) ** - no epithelial lining thus false cyst - mural calcification True cysts (20%) - majority are parasitic/hydatid - nonparasitic = are congenital epidermoid cyst DDX - Lymphoma Homogeneously enlarged spleen, multiple tiny hypodense nodules, or discrete hypodense mass(es) - Hemangiomas may be hypervascular on arterial-phase CECT - lymphangiomas may be multiloculated with septations
98
Lobulated, hypodense masses with thick walls, septa and curvilinear calcification in the peritoneum. Displaces and distorts surrounding viscera?
Pseudomyxoma peritonei Low-attenuation masses (usually < 20 HU) scattered throughout peritoneum 'scalloped appearance' of liver and spleen Dominant cystic or solid mass often present in right lower quadrant (in expected location of appendix) Mucin-producing neoplasm of appendix causes appendiceal distention and subsequent perforation with diffuse intraperitoneal spread of mucinous implants DDx Peritoneal carcinomatous - discrete tumour Implants are solid -Rarely may cause "scalloping" TB peritonitis - Ascites and omental/mesenteric fat stranding with symmetric, smooth enhancement and thickening of peritoneal lining -can be loculated - look for including low-attenuation mesenteric nodes and thickening of cecum and terminal ileum
99
Tortuous and prominent hepatic arterial branches and early filling if dilated hepatic veins and IVC. Arterial phase, mosaic attenuation of the liver with multiple enhancing foci?
HHT
100
liver transplant and hepatic artery stenosis?
Direct signs - found at the stenosis itself and they include elevated PSV and spectral broadening (immediate post stenotic) Indirect signs -tardus parvus (downstream) - with time to peak (systolic acceleration) > 70 msec. -The RI downstream will be low (< 0.5) because the liver is starved for blood. The RI upstream will be elevated (> 0.7) because that blood needs to overcome the area of stenosis - elevated peak (more) and end diastolic velocity Normal RI is 0.5-0.7
101
Greater vs lesser omentum
Greater -hangs from gretaer curvature of the stomach and descends towards to attach anterosuperior transverse colon - gastrophrenic ligament = extends to left dome of the diaphragm - Gastrocolic = extends to transverse colon (main attachment) - Gastrosplenic = to spleen very mobile structure
102
Primary Lymphatic drainage
Spleen = Pancreaticosplenic nodes Pre-aortic nodes - 3 groups coeliac, Superior and inferior mesenteric - efferent lymphatics drain into the intestinal trunk , which in turn drains into cisterna chlyi
103
Anatomical relations of each part of the colon
see chart
104
cause of widening of the presacral space
see chart
105
appendix location ?
The distribution of positions is as follows: **Ascending retrocaecal (64%) Subcaecal (32%)** Transverse retrocaecal (2%) Ascending preileal (1%) Ascending retroileal (0.5%)
106
Retroperitoneal structures?
SAD PUCKER Suprarenal (Adrenal) glands Aorta and IVS Duodenum (apart from 1st part) Pancreas (apart from the tail) Ureters Colon (ascending and descending parts) Kidneys E(O)esophagus Rectum
107
Sigmoid vs caecal volvulus?
see picture
108
MEN 1 and MEN 2
see picture
109
CT enterography features of active Crohn’s disease
**mucosal hyperenhancement **- most sensitive indicator but seen in other bowel diseases most specific sign for chrons - **Prominence of the vasa recta adjacent to the inflamed loop of bowel (comb sign) along with increased mesenteric fat attenuation** wall thickening (thickness >3 mm) CT enterography to depict extra-enteric disease/complications including -obstruction -sinus tract -fistula and abscess formation long-standing/inactive features include -submucosal fat deposition -pseudosacculation -surrounding fibro-fatty proliferation -fibrotic strictures MR enterography and enteroclysis - MR enteroclysis was superior to MR enterography in demonstrating mucosal abnormalities. -MR enteroclysis better bowel distension but not necessarily better diagnostics -MR enterography is more acceptable to the patient than MR enteroclysis