MSK Flashcards

(126 cards)

1
Q

Which fracture is associated with a peri lunate dislocation?

A

Scaphoid (60%)

Capitate subluxes dorsally

How well did you know this?
1
Not at all
2
3
4
5
Perfectly
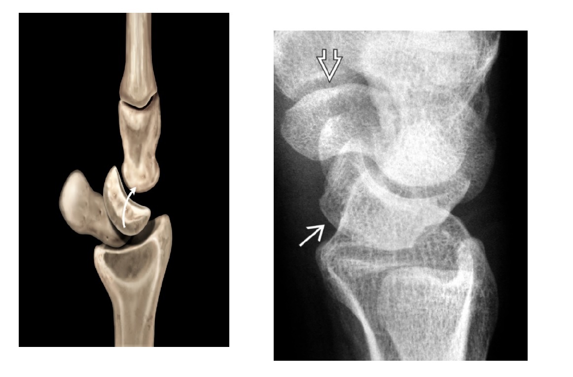
2
Q

What is midcarpal dislocation. what ligament is damaged? What associated fracture ?

A

capitate is dislocated dorsal and nudges the lunate volarly but it is not fully dislocated

Ligament = Triquetrolunate interosseous ligament

Associated with Triquetral fracture

How well did you know this?
1
Not at all
2
3
4
5
Perfectly
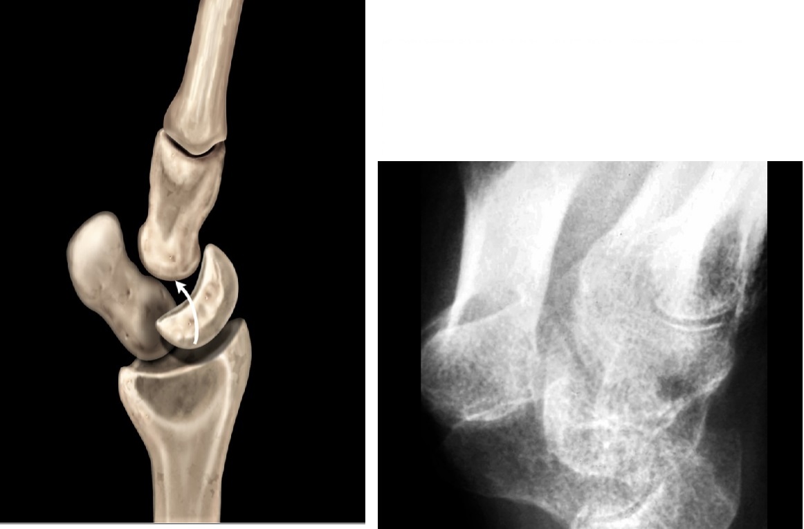
3
Q

What ligament is damaged in a lunate dislocation?

A

Lunate dislocated volar direction

Ligament damaged = Dorsal radio lunate ligament

How well did you know this?
1
Not at all
2
3
4
5
Perfectly
4
Q

What happens in DISI?

A

**Dorsal intercalated segmental instability **

Happens with SL ligament injury

WIDENING (>80) of the Scapholunate angle

The Lunate tilts DORSALLY and the scaphoid tilts volar

How well did you know this?
1
Not at all
2
3
4
5
Perfectly
5
Q

What happens in VISI?

A

Volar intercalated segmental instability

Rare, happens with lunotriquetral lug injury.

Lunate and Scaphoid tilt Volar

ACUTE scapholunate angle <30

How well did you know this?
1
Not at all
2
3
4
5
Perfectly
6
Q

What is bennetts fracture?

A

Fracture base of the first metacarpal

Pull of the abductor pollicus longus (APL tendon causes dorsolateral dislocation

Nb a comminuted # base of 1st metacarpal = ROLANDO

How well did you know this?
1
Not at all
2
3
4
5
Perfectly
7
Q

What is gamekeepers thumb?

A

Avulsion fracture of the base of the proximal first phalanx

Ulnar collateral ligament disruption

STENER lesion = when adductor tendon gets caught in the torn edges of the UCL = Surgery

How well did you know this?
1
Not at all
2
3
4
5
Perfectly
8
Q

Monteggia and Galeazi fracture?

A

MUGR

Monteggia - Fracture of the proximal ulna, anterior dislocation of the radial head

Galeazzi - Radial shaft fracture, with anterior dislocation of the ulna at DRUJ

How well did you know this?
1
Not at all
2
3
4
5
Perfectly
9
Q

What is cubital tunnel syndrome?

A

Swollen ulnar nerve within cubital tunnel retinaculum

Accessory muscle can cause = Anconeus epitrochlear

How well did you know this?
1
Not at all
2
3
4
5
Perfectly
10
Q

Where is hills sacs deformity?

A

Posto-lateral humeral head impaction fracture (anterior dislocation)

How well did you know this?
1
Not at all
2
3
4
5
Perfectly
11
Q

Where is stress and bisphosphate fractures at the femoral neck?

A

MEDIAL = stress fracture

LATERAL = Bisphosphonate

How well did you know this?
1
Not at all
2
3
4
5
Perfectly
12
Q

Segond fracture?

A

Lateral tibial plateau

Associated with ACL tear (75%) and internal rotation

MR SL = Medial Reverse Lateral Segond

How well did you know this?
1
Not at all
2
3
4
5
Perfectly
13
Q

Reverse Segond fracture?

A

Medial tibial plateau

Associated with PCL tear with external rotation. Associated with medial meniscus injury.

MR SL = Medial Reverse Lateral Segond

How well did you know this?
1
Not at all
2
3
4
5
Perfectly
14
Q

Arcuate sign ?

A

Avulsion of the proximal fibula

Associated with PCL tear

How well did you know this?
1
Not at all
2
3
4
5
Perfectly
15
Q

What is classic association with patellar tendon tear (alta)?

A

SLE (elderly, trauma, RA)

bilateral patellar rupture = chronic steroids

How well did you know this?
1
Not at all
2
3
4
5
Perfectly
16
Q

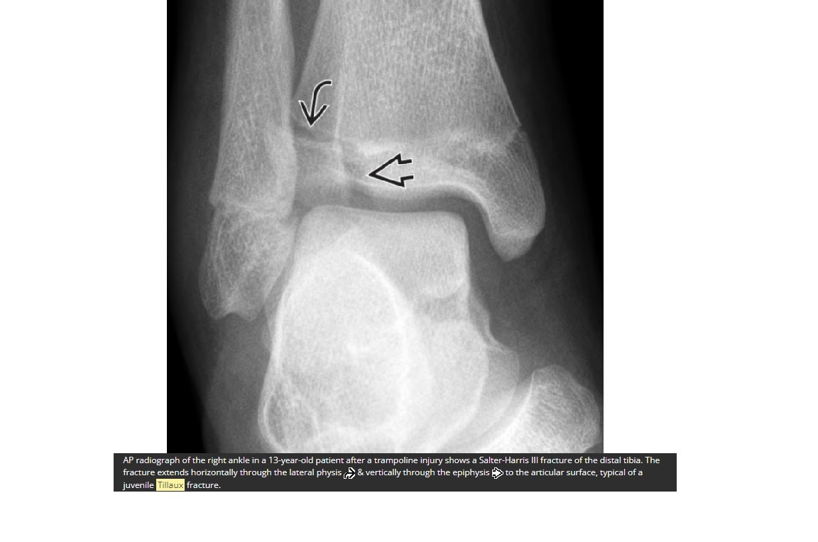
What is tillaux fracture?

A

Salter-Harris 3 = through the anterolateral distal tibial epiphysis

How well did you know this?
1
Not at all
2
3
4
5
Perfectly
17
Q

What is triplane fracture?

A

Salter-harris 4 =Vertical component through the epiphysis , horizontal component through the physis , oblique through metaphysis

How well did you know this?
1
Not at all
2
3
4
5
Perfectly
18
Q

What is Maisonneuve fracture?

A

Medial tibial malleolus with disruption of the distal tibiofibular syndesmosis.

most X ray and look at the proximal fibula = # proximal fibular

How well did you know this?
1
Not at all
2
3
4
5
Perfectly
19
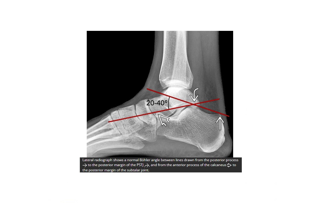
Q

What is bohlers line?

A

line drawn between the anterior and posterior borders of the calcaneus

< 20 ? fracture

How well did you know this?
1
Not at all
2
3
4
5
Perfectly
20
Q

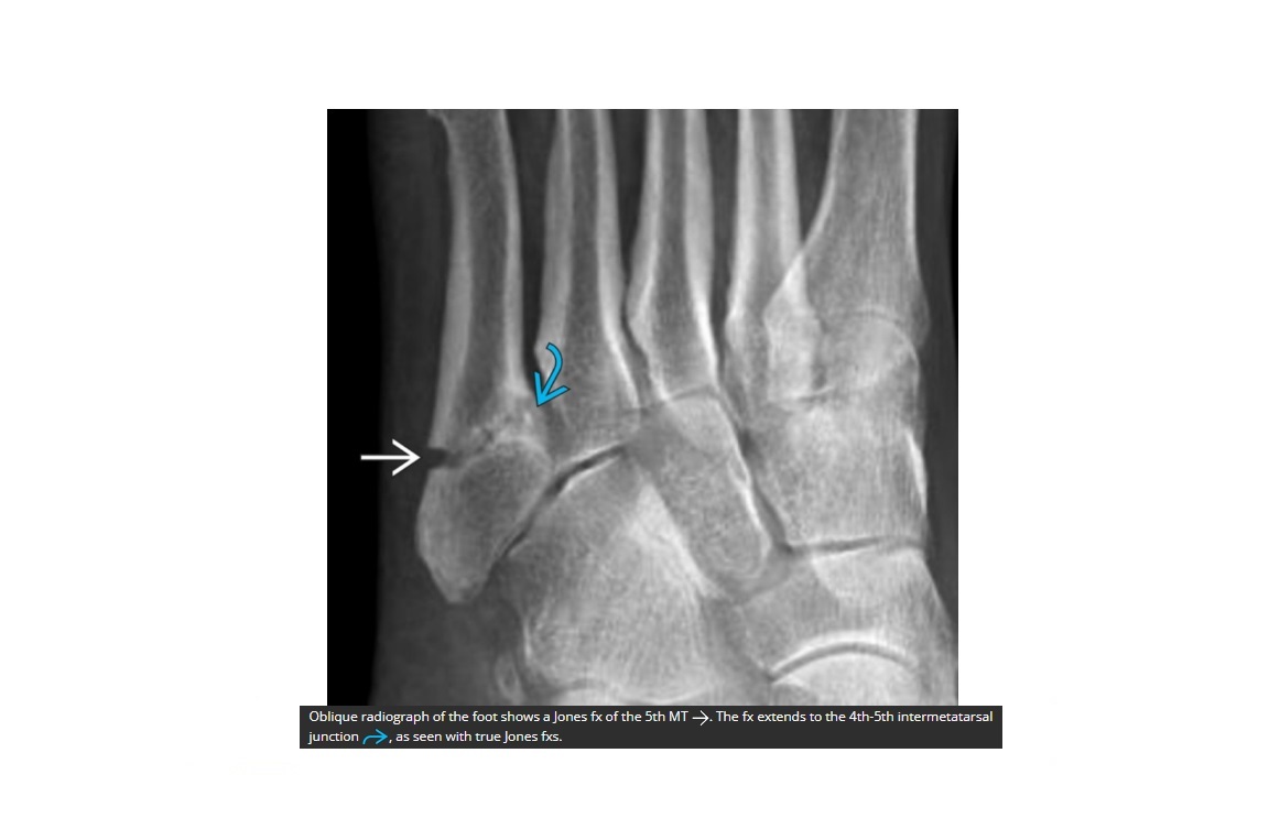
Jones Fracture?

A

Fracture base of 5th metatarsal

**1.5cm distal to the tuberosity @ metaphysis-diaphysis junction

How well did you know this?
1
Not at all
2
3
4
5
Perfectly
21
Q

What is the most common fracture of the base of 5th metatarsal?

A

Avulsion

Peroneus brevis

How well did you know this?
1
Not at all
2
3
4
5
Perfectly
22
Q

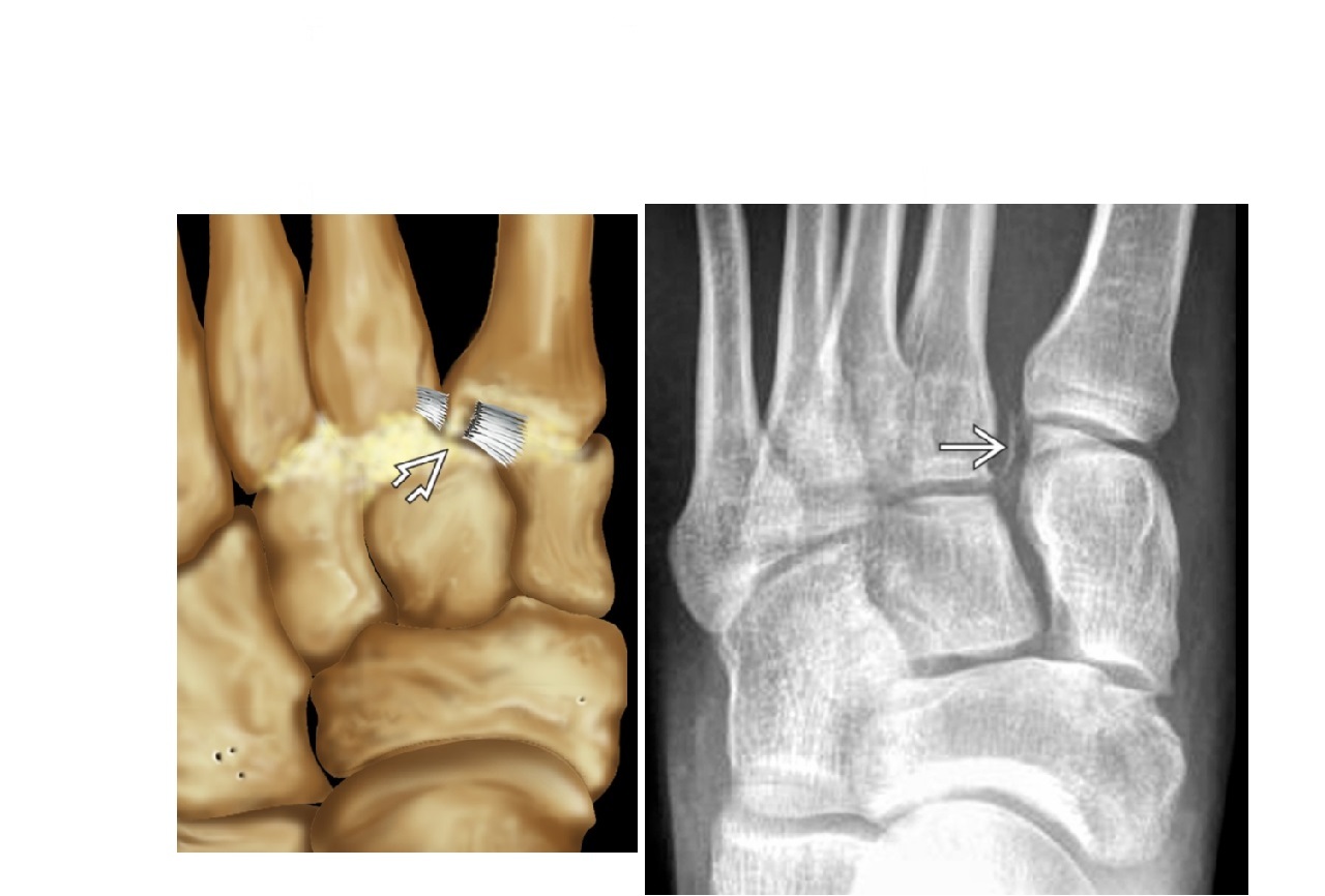
Patterns of Lis francs fracture/dislocations?

A

Homolateral = all tarsal move lateral

Divergent = 1st MT goes medial and 2-5th goes lateral

Fleck sign = in-between the 1st and 2nd MT = avulsion of the LF ligament

LF ligament connects the medial (1st) cuneiform to the 2nd metatarsal base on plantar aspect

How well did you know this?
1
Not at all
2
3
4
5
Perfectly
23
Q

Common Lytic bone lesion? FEGNOMASHIC

A

Fibrous dysplasia
Enchondroma/ Eosinophilic granuloma
GCT/Geode
Non-ossifying fibroma
Oestoblastoma
Mets/myeloma
ABC
SBC
Hyperparathyroidsim (brown tumour)
Infection/infarction
Chondroblastoma/chondromyxoid fibroma

How well did you know this?
1
Not at all
2
3
4
5
Perfectly
24
Q

Commonest location of enchondroma ?

A

Hands/feet

Intramedullary and metaphysis

If pain think pathological fracture

DDx Brown tumor (hyperparathyroidism), sarcoid, intraosseous ganglion, metastatic disease.

Maffuci - multiple enchondroma + haemangioma
Olliers - multiple enchondroma only -affect the metaphysis

Cartilaginous rest - radiolucent streaks

How well did you know this?
1
Not at all
2
3
4
5
Perfectly
25
What is bizarre parosteal osteochondromatous proliferation (BPOP) aka Nora’s lesion?
Exostosis post trauma of the periosteum of the phalanges
26
Chondrosarcomas may be secondary to what lesions?
Osteochondromas and enchondromas Chondrosarcomas occur in the pelvis, femur and humerus. Most well differentiated, low grade **Paraneoplastic hyperglycaemia** Lobular growth High 2 signal ring and arcs/chondroid matrix islands on CT Soft tissue extension **endosteal scalloping. ** if no mineralized matrix = aggressive/high grade How to tell enchondroms from chondrosarcoma ? Endosteal scalloping more than 2/3 cortex
27
Pedunculated lesion arising from surface of bone with continuity of normal cortex and marrow
Osteochondroma points away from the joint Metaphysis/metaphyseal equivalents (rarely diaphysis) Multiple = Trevor's - epiphysis locations and single lower limb Diaphyseal aclasia/Multiple Hereditary Exostoses - Metaphysis region of tubular bones of extremities Cap > 2.5cm ??? chondrosarcomatous transformation ng. avian spur points towards the joint
28
Name three most common malignant tumours?
Myeloma Osteosarcoma Chondrosarcoma
29
What are the main types of oestosarcomas?
Intramedullary (85%) Parosteal Periosteal Telangiectatic
30
What are features of intramedullary osteosarcoma
Femur (40%) and proximal tibia commonest sites (15%) **Aggressive periosteal reaction ** - Sunburst - Codman triangle - Lamellated (onion skin) **High grade = Met to the lung ** Reverse zoning phenomenon - dense mature matrix in the centre, less peripherally Nb ewings Sarcoma - not likely ot have reverse zoning and not sunburst, more lamellated. cortex can be intact
31
What are key features of a telangiectatic oestosarcoma?
**Distal Femur** Haemorrhagic and necrotic components Fluid-fluid levels Thus, heterogenous on T1 and T2 ***Purely lytic** but with aggressive features Solid components enhance DDx ABC ---Expansile lytic lesion arising in metaphysis ---No tumour nodularity and enhancement - Thin peripheral and septal enhancement GCT ---Mildly expansile metaphyseal lesion with extension to joint line ---Can be very aggressive and have soft tissue extension
32
What are key features of a parosteal sarcoma?
Big +++ **Posterior distal femur (metaphysis) ** Marrow extensions (50%) Early adult and middle age ***string sign** Lucnet cleft between bone and mass. This is not present in Periosteal sarcoma Low grade
33
What are the key features of a periosteal sarcoma?
Diaphyseal Likes **medial distal femur ** Large enhancing soft tissue component Usually, no marrow extension Nb Intermediate grade ie worse prognosis than parosteal but better than conventional
34
20, lytic lesion eccentric, sclerotically marginated, lobular, expansile lesion extending from the metaphysis to the epiphysis with internal septations ?
chondromyxoid fibroma **look for internal septations** Eccentric DDx GCT - very similar, *similar location (eccentric, originates in metaphysis, extends to subarticular region)* -**rarely has sclerotic margin** DDx ABC -Fluid/fluid levels MRI and thin walled DDx Non-ossifying fibroma -Cortex based rather than eccentric intramedullary
35
multicentric lesions involving the anterior tibial cortex. mixed sclerotic and lytic components.
Adamantinoma Low-grade, malignant lesion most frequently arising in tibial cortex ***Cortically based lesion in anterior tibia**
36
What is 'triple sign' in synovial sarcoma?
Heterogeneous signal (combination of low, intermediate, and high) T2 signal from: Solid mass haemorrhage + necrosis ***calcification (1/3).*** Bowl of grapes sign = multiloculated appearance of mass with internal septa Heterogenous enhancement of the solid components. little to no perilesional oedema Classic history - **paediatric patient with a multi-cystic appearing mass with well-defined margins around the knee joint** NOT in joint ie DOESNT arise from the synovium. Close to joint
37
what are the features of a well differentiated liposarcoma?
*>75% fat content *thickened septa *small soft tissue nodularity commonly located in the retroperitoneum if develops a clear cut separate nodular dominant focus > 1 cm = de-differentiated if < 20 = Myxoid liposarcoma often shows a classic myxoid background (T2/STIR-bright) with some nodular soft tissue and adipose tissue components. Don't confuse for cyst!!!
38
Young male with nocutrnal pain that improves with aspirin, which bone lesion?
Osteoid osteoma **nidus > 2cm = osteoblastoma ** = Posterior elements Nb** Osteoblastoma can have have soft tissue expansion/involvement** **Double density bone scan**
39
“Dripping candle wax” is a buzzword for what bone lesion?
Melorheostosis Bone within a bone - 'Dripping candle wax' = irregular continous cortical hyperostosis along margins of femur Fibrosis of overlying skin (dermatomal pattern) - Flexion contractures Can cross joints
40
A Shepherd’s Crook Deformity is most typical for what lesion?
Polyostotic fibrous dysplasia Fibrous dysplasia = long, expansile lesion with mixed density ranging from lytic to ***ground glass** . 'long lesion in a long bone'. Typically medullary, with expansion, Monostotic is most common FD 2 conditions assocated with polyostotic FD 1. McCune- Albright - Cafe-au-lait, precocious puberty 2.Mazarbrauds + intramuscular Myxomas in adults Monostotic is most common FD
41
Difference between a simple bone cyst and anuerysmal ?
ABC - Eccentric in location - More pronounced Fluid-fluid levels - More expansile - Can be 2o = giant cell tumor, chondroblastoma, and osteoblastoma SBC - Centered in medulla - Classic HUMERUS and long bones - Fallen fragment sign - Present with pathological fracture Nb in small bones, phalanx, metacarapls - appear identical
42
Chondroblastomas are most common in which age group and in which location?
Epiphyseal regions long bone (or epiphyseal equivalent - Patella, calcaneus, trochanters, tuberosities, tarsal and carpal bones) Males < 20 ***Lytic lesion -eccentric - arising epiphysis or apophysis. -skeletally immature patient - +/- internal Ca2+ ** -***Extensive perilesional edema and enhancement in marrow MRI** Not a child or adolescent adult clear cell chrondrosarcoma
43
Non-ossifying fibromas are most common in what age group and in which location?
children/adolescences Distal tibia and femur in a **metadiaphyseal**, ***Cortical** well defined,** sclerotic margins** , can also **have internal septations ** If <2-3 cm in size this may be termed a fibrous cortical defect. **NOF may also heal and become completely sclerotic** DDX ABC - MRI 'fluid - fluid' levels. GCT Doesnt typical extent to the epiphysis (like GCT) GCT non -sclerotic margin Growth plates closed chondromyxoid fibroma - both sclerotic margins and internal septations -eccentric intramedullary
44
differential considerations for vertebra plana?
Mnemonic is MELT. Metastasis/Myeloma, Eosinophilic granuloma, Lymphoma, Trauma/Tuberculosis.
45
What are features of GCT?
-Physis closed. -Non-sclerotic margins -originated in epiphysis and extends to metaphysis. -Abuts articular surface -Eccentric -'Soap bubble' If in spine = **sacrum** Fluid-fluid level on MRI DDx +Chondroblastoma - Skeletal immature usually - originates in epiphysis rather than metaphysis - chondroid matrx - Sclerotic margin common + periosteal reaction -Extensive regional edema +Chondrosarcoma +ABC
46
old lady with sudden medial knee pain after raising from chair?
SONK types of stress fracture of the medial condyle of femur
47
High risk locations for stress fractures to progress to complete/displaced fractures?
Compressive side =less risk Tensile side = more risk Tensile side - femoral neck (lateral) - transverse patellar fractures - anterior tibial midshaft fracture 5th metatarsal talus navicular sesamoid great toe fracture
48
Osteomalacia vs rickets?
Rickets = Child: growth plates (physes) wide, frayed, and cupped Osteomalacia = Adult: Looser zones (late finding), smudgy and ill defined trabeculae
49
Osteochondrosis?
Kohlers = Navicular Frieberg = 2nd Metatarsal Severs = Calcanael apophysis Blount = proximal medial tibial epiphysis = 'Bow leg' Perthes = Femoral head (4-8) Scheuermann disease = Vertebral apophyses. multiple wedged vertebrae and thoracic kyphosis Preiser = scaphoid Kienbock = Lunate (20-40, associated with negative ulnar variance) Panners = Capitellum (5-10, throwers)
50
Tenosynovitis extensor compartments?
RA = 6th (extensor carpi ulnaris) De Quervans = 1st compartment- (extensor pollicis brevis and abductor pollicis longus) Intersection syndrome = 1st and 2nd extensor compartments cross over - extensor pollicis brevis and abductor pollicis longus with extensor carpi radialis brevis and longus. multi flexor tendons = RA
51
Main finger tumors - Glomus, GCT of tendon sheath and fibroma, what are the features?
Glomus - T1 dark, ~T2 bright, avid enhancement extrinsic erosion of underlying phalanx GCT of tendon sheath - T1 and T2 dark, blooming artifact **GCT of tendon is form of PVNS ** Fibroma - T1 and T2 dark, no blooming Subungual exostosis - bony outgrowth with cortical and medullary continuity from the parent bone. Can arise following trauma. Adolescences
52
what accessory muscle can cause cubital tunnel syndrome ?
Anconeus epitrochlearis
53
What is type 4 SLAP tear and why is it important ?
when extends to the biceps anchor = surgical Mx
54
What happens in quadrilateral space syndrome?
compression of the axillary nerve and wasting of the teres minor muscle
55
where does baker cyst occur?
Between the semimembranosus and medial head of gastro
56
which fracture most suugestive of ACL injury ?
segond #
57
What can cause an acute flat foot deformity?
Posterior tibial tendon injury
58
Scar, synovitis in anterolateral recess of ankle?
anterolateral impingement syndrome after inversion injuries/ anterior talofibular ligament meniscoid mass - low on T1 and T2
59
Tear to the talocalcaneal ligament and inferior extensor retinaculum of the foot.
Sinus tarsi syndrome obliteration of sinus tarsi fat associated with RA and flat foot/PTT tear
60
Normal marrow conversion ?
see image
61
Marrow signal on MRI ?
see image
62
Pattern of marrow reconversion?
**low T1 signal red marrow **which remains **reasonably bright (less signal drop out than yellow marrow) on STIR** or other fat saturated sequences. ***High T1 signal fatty yellow marrow*** The pattern of marrow reconversion is the exact reverse of the initial conversion, so beginning at the ends of the long bones and spreading to the diaphysis.
63
widening interpedicular distance?
see image
64
In FAI which type has femoral retroversion and acetabular retroversion?
Femoral Retroversion = CAM Acetabular retroversion = Pincer
65
shoulder positions for US?
see image
66
patterns of sacroiliitis
Bilateral and symmetrical - AS - IBD Bilateral and asymmetrical - Gout - Reiters - Psoriatic osteitis condensans - female, bilateral, symmetric, triangle-shaped sclerosis of ilium at sacroiliac joint Unilateral - infection - rarely SAPHO
67
causes of anterior vertebral scalloping?
AAA TB Lymphadenopathy Developmental motor delay
68
causes of posterior vertebral scalloping?
SATAN Syringomyelia/Dural ectasia Acromegaly Tumours - (ependymoma, lipoma , dermoid, neurofibroma) Achondroplasia NF - 1 also Connective tissue disease - marfans, ehler danlos Mucopolysacchardoses - hurlers, murquio - VERTEBAL BEAKING
69
Downs syndrome MSK feautres?
Atlanta-axial subluxation metaphyseal flaring flattening acetabular roof hypotelorism
70
Commonest skeletal/Spinal abnormality of NF-1?
--**Scoliosis** (from plexiform neurofibromas) --Posterior vertebral scalloping --Dural ectasia -- Lateral thoracic mengiocele -- Foraminal narrowing, Hypoplastic pedicles and posterior elements (remodelling from mengiocele) -- Intramedullary or extramedullary intradural NF's
71
features of Haemophilia arthopathy?
Dense hemarthrosis **Epiphyseal overgrowth** Erosions & joint space narrowing **Hypertrophied synovium due to haemosiderin (GRE blooming ++) and low on all signals Widened intercondylar notch** Rare pseduotumour = Large expansile or lytic bubbly lesion with mass effect on adjacent tissues/scalloping on bone
72
What is the features of nail-patella syndrome?
**Bilateral iliac 'horns'** absent/hypoplastic patella's Broad horizontal acetabulum
73
Features of pagets?
Osseous expansion Thickening of cortex Coarse trabecular pattern Skull - osteoporosis circumpripta (lytic phase) Skull - sclerotic phase - Enlargement of skull: widening of diploic space, involvement of inner and outer tables 'tom o shanter' sign Brown = well defined cortical lesion with no periosteal reaction Also in lytic phase - blade of grass or flame shaped lucent bone lesion
74
Features of osteopetrosis ?
Diffusely dense bones (marble bone)
75
Features of Pigmented villonodular synovitis (PVNS)?
Joint effusion Low signal T1/T2 **haemorrhagic proliferation of the synovium in a frond-like villonodular fashion **gives rise to the classic low signal 'feathery' sea-anenome-like finding Blooming artefact MRI because of haemosiderin scalloping of the pre-patellar fat pad and **erosions of adjacent bone** DDx Haemophilia - as blood products in joint too widening of the intercondylar notch due to pannus formation
76
Features of lipoma Aerborescans
kids chronic inflammation of the synovium leading to extensive fatty infiltration of the synovium high on T1 and T2 but suppress on fat-saturated sequences. **Post-contrast the synovium itself will enhance. ** Treatment is by synovectomy.
77
Permeative bone destruction differential?
myeloma, lymphoma and ewings, eosinophilic granuloma
78
Features of SAPHO
Synovitis: anterior chest wall, unilateral sacroiliitis Acne: hydradenitis suppurativa, acne conglobata Pustulosis: palmoplantar pustulosis (50%) Hyperostosis: enthesopathy, sclerosis Osteitis: inflammatory changes, pain **Sternoclavicular hyperostosis** Nuclear medicine bone scan, bilateral uptake in the sternoclavicular joints and manubrium is called a** ‘bull’s head’ sign** Unilateral sacroiliitis may also occur
79
Causes of lytic bone mets?
MR LT Melanoma Renal Lung Thyroid
80
Causes of sclerotic mets?
**Prostate (most common) Breast (mixed lytic and sclerotic)** Transitional Cell Carcinoma Lymphoma Mucinous adenocarcinomas (colon, gastric, ovary) Medulloblastoma Neuroblastoma Carcinoid
81
Absent thumb, Hypoplastic radius, VSD?
Holt-Oram syndrome
82
Features of DISH?
ossification of patellar ligament spur formation in the appendicular skeleton (olecranon, calcaneum, patellar ligament) frequently present enthesopathy of the iliac crest, ischial tuberosities, and greater trochanters **whiskering of iliac crest** **flowing ossification of at least 4 vertebral bodies with normal disk spaces and sacroiliac joints**
83
PONGS diseases with normal mineralisation?
Psoriartic arthritis Osteomyelitis Neuropathic Gout Sarcoidosis
84
Sudden osteoporosis and loss of subchondral cortex, preserved joint space?
Transient osteoporosis Joint effusion increase uptake on bone scan
85
Features of gauchers?
**Erlenmeyer flask** - Metaphyseal flaring **H shaped vertebrae** Osteonecrosis/AVN- femoral and humeral heads -serpiginous sclerotic areas or a bone-within-bone appearance Hepatosplenomegaly is common and co-existent with thrombocytopaenia and anaemia secondary to bone marrow failure **diffuse marrow replacement with low signal T1** 100 times more common in Ashkenazi Jews DDX sickle cell - no splenomegaly, rather small calcifoed spleen - Hx acute bone crisis - posterior mediastinal mass (extramedullary haematopoiesis)
86
MSK Features of Rheumatoid arthritis?
Synovitis/soft tissue swelling Periarticular oestopenia **Marginal erosions ** Uniform joint space narrowing Deformity late stage **No bone proliferation ** Proximal distribution in hands -MCP, and PIPJ- typically first - Carpals, Radiocarpal, Hip -concentric loss of joint space, osteoarthritis (OA) = superior loss of joint space -acetabular protrusion Shoudler girdle -erosion of the distal clavicle -marginal erosions of the humeral head: the superolateral aspect -"high-riding shoulder" = subacromial-subdeltoid bursitis - high incidence of rotator cuff tear Spine -erosion of the dens - atlantoaxial subluxation - atlantoaxial impaction (cranial settling): cephalad migration of C2 - erosion and fusion of uncovertebral (apophyseal joints) and facet joints DDx Amyloid arthropathy can be similar distribution and pattern of erosions. However amyloid classically preserves joint space, unusual for periarticular osteopenia and LARGE and excessive subchondral cyst formation
87
Extra-articular manifestations of RA
Respiratory -Caplan's - + Pneumoconiosis (upper lobes) - RA ILD (lower lobes) can be UIP or NSIP pattern - Pleural effusions - Pulmonary nodules (can cavitate (necrobiotic lung nodules) Cardiology - Pericarditis - Premature coronary artery disease Hematological - Anemia of chronic disease -Felty syndrome: syndrome characterized by the triad of rheumatoid arthritis, splenomegaly, and neutropenia Cutaneous involvement Rheumatoid nodules: usually seen in pressure areas (e.g. elbows, occiput, lumbosacral)
88
Features of Psoriatic arthritis?
**Distal - Favours DIPJ and IPJ>MCP ** **Mixed - Erosive changes and bone proliferation ** Sausage digit (dactylitis) Pencil in cup **No osteoporosis - NORMAL bone density** Outside hands- -Ivory phalanx -Altanoaxial subluxation -Spondyloarthropathy - **Bulky paravertebral ossification, asymmetric with skips** **Sacroiliitis: bilateral but asymmetric** DDx Reiters - Same appearance of bilateral but asymmetric sacroiliitis - Same bulky paravertebral ossification
89
Feautres of Ankylosing spodylitis ?
Thin vertical syndesmophytes with concomitant bilateral sacroiliitis 'Bamboo spine' 'Shiny corners' Joints widen first before narrows Enthesopathy - calcified tendon insertion sites 'Dagger sign' - spinous process fusion Early features are far more subtle and require a higher index of suspicion, which include, MRI- -Enthesopathy - high signal on MRI at tendon insertion sites -Romanus lesions - triangular shaped oedema at the corners of vertebral bodies -Andersson lesions - bony oedema in the vertebral bodies adjacent to the disks. -Oedema in the sacroiliac joints. **Sequences = T1 fat sat and STIR, coronal SIJs and sagittal spine** T1 fat sat - useful for visualisation of bony erosions and new bone formation T1 fat sat post contrast - useful for detecting bone marrow abnormalities (but so is STIR, so contrast is not an absolute requirement for imaging ankylosing spondylitis). STIR - useful for detecting bone marrow abnormalities in the SIJs and spine T2 fat sat - useful for detecting oedema Extra-articular -Upper lobe predominant ILD, fibrobullous disease -aortic root dilatation, aortic regurgitation, pericarditis DDx - IBD associated arthritis - - Axial - Identical appearance of sacroiliitis and spondylitis to AS - IBD enthesopathy often calcaenus
90
Features of CPPD?
Overlaps with OA but atypical Joints -Patellofemoral and not medial/lateral compartment Wrist: radiocarpal joint Hand: MCP joints, particularly 2nd and 3rd Chondrocalcinosis (not invariably present) **Hook osteophytes of metacarpal heads** Subchondral cysts common, may be large ****Scapholunate advanced collapse wrist SLAC*****- Degenerate SL ligament Disorders assoicated with CPPD - 4 Hs - hypothyroidism - haemochromatosis - hyperparathyroidism - hypomagneseia DDx Haemochromatosis -Younger males, similar distribution to CPPD - Both 'hooked' oestophytes - of the **radial aspect of the 2nd and 3rd MCP**
91
Features of Gout?
Typically men >40 Spares joint space (until late) **Juxta-articular erosions (punched out) with Overhanging edges** Soft tissue tophi
92
Features of Hyperparathyroidism ?
**'Subperiosteal bone resorption' radial 2nd and 3rd fingers ** **Terminal tuft erosions/resportion = Acro osteolysis ** Brown tumour: expansile, nonaggressive lytic lesion with geographic Non sclerotic margins Superior and inferior rib notching Rugger jersey spine/osteosclerosis is associated with secondary hyperparathyroidism chondrocalcinosis and CPPD 1° hyperparathyroidism (HPTH): parathyroid adenoma (75-85%) 2° HPTH: chronic kidney disease most common Nb Renal osetodystrophy is 2° HPTH and oestomalacia
93
Types of vertebral oestophytes?
AS = flowing syndesmophytes DISH = diffuse paraverterbal ossifcations of ALL > 4 levels (spares the disc space) Focal, bulky, lateral = Psoraitic arthritis (or reiters)
94
Features of JIA?
Before 16 Proximal Premature closure of the physis large effusions erosions Cartilage destruction & joint space narrowing (JSN) **End-stage ankylosis Carpus most frequent site of fusion** Widened intercondylar notch DDx Haemophilia TB Psoriatic arthropathy
95
Feautres of SLE arthopathy?
**Nonerosive, reducible deformity of digits** Osteoporosis, high rate of osteonecrosis (ON) DDx Jacouds - similar apperance but Post rheumatic fever
96
DDx for Ivory vertebrae
see picture
97
DDx Atlanto-axial subluxation?
see picture
98
Upper and lower limb myotomes
see picture
99
upper and lower limb dermatomes ?
100
Disc buldges
see picture
101
Osteoporotic vs metastatic vertebral body fracture
see picture
102
TB vs Staph discitis?
see picture
103
Dashboard injury?
see picture
104
Hyperextension injury to the knee?
see picture anterior aspect of the tibial plateau and femoral condyles
105
Pivot shift injury?
see pic
106
Clip injury
see picture
107
Patellar dislocation injury pattern?
see pic
108
Head injury NICE
see picture
109
DDx for Erlenmeyer flask deformity?
see picture
110
Bone lesions <30 and >30
see picture
111
Osteopoikilosis, osteopathia striata, pyknodysostosis?
**Osteopoikilosis** Metaphyseal or epiphyseal foci of dense lamellar bone that resemble bone islands **Pyknodysostosis ** Severe sclerosis involving entire skeleton but **medullary space is preserved** - short stature - small mandibular size and beaking of the nose -Wormian bones -acro-osteolysis with sclerosis (-acro-osteolysis with sclerosis) **osteopathia striata** Striated intramedullary densities, often metaphyseal 'stalks of celery'
112
Osteomyelitis features on MRI ?
High T2 and low T1 bone marrow changes presence of an ulcer with adjacent inflammatory changes Fluid collections
113
contents of popliteal fossa and borders ?
Medial to lateral Popliteal artery Popliteal vein Tibial nerve Common peroneal nerve Superomedial border: semimembranosus Superolateral border: biceps femoris Inferomedial border: medial head of gastrocnemius Inferolateral border: lateral head of gastrocnemius and plantaris
114
differential diagnosis for periosteal reactions in the presence of an arthropathy?
Psoriatic arthropathy Juvenile rheumatoid arthritis Reiter syndrome Infective arthropathy
115
Describe the menisci?
Both menisci are C shaped and are attached at both ends to the intercondylar area of the tibia. The medial meniscus is also fixed to the medial collateral ligament and the joint capsule. As a consequence of this injuries to the medial collateral ligament are often accompanied by a tear of the medial meniscus. The lateral meniscus is smaller and does not have any extra attachments, rendering it fairly mobile.
116
Myositis ossifcans calcifcation pattern?
It begins as amorphous calcification and then develops a **sharper cortical margin** after approximately 2 months. Periosteal reaction may or may not be present but crucially there is **no erosion of the underlying cortex**, a fact which discriminates it from malignant fibrous histiocytoma. string sign Unlike a parosteal osteosarcoma, this plane will extend along the whole length of the mass completely separating it from the bone. Parosteal osteosarcoma may have scalloping
117
Contents of the lumbar plexus?
‘I (twice) Get Lucky On Fridays’: Iliohypogastric nerve Ilioinguinal nerve Genitofemoral nerve Lateral femoral cutaneous nerve Obturator nerve Femoral nerve
118
biconcave vertebrae?
see picture
119
Features of acromegaly?
**Enlargement of the paranasal sinuses – 75% Posterior vertebral scalloping – 30%** Widening of the terminal tufts Heel pad thickness >25mm Premature osteoarthritis Enlargement and erosion of the sella Hyperostosis of the inner table of the skull
120
Normal prevertebral soft tissues in cervical spine xray?
<7mm at C2 <5mm at C3+4 <22mm at C6 (14mm in children) Note in children, normal variables on cervical xray -pseudo–Jefferson fracture = 6 mm of displacement of the lateral masses relative to the dens -C2–3 space and, to a lesser extent, the C3–4 space have a normal physiologic displacement -abscence of lordosis
121
problem with the development of the ulnar side of the distal end of the radius. The distal radioulnar joint subluxes and the ulna displaces dorsally. proximal carpus is V-shaped
Madelung deformity growth failure of the distal radius, by comparison the ulna appears lengthened (Positive ulnar variance). appearance is of a V-shape to the radioulnarcarpal joint with angles of <120 considered characteristic. Mnemonic = DIGIT D = Dysplastic - Ollier disease, osteochondromatosis, achondroplasia, mucopolysaccharidoses, diaphyseal aclasis I = Idiopathic G = Genetic - Autosomal dominant. 50% of patients have bilateral deformities. **Most common association is Turner syndrome** I = Infection T = Post-Traumatic
122
Features of multiple myeloma
1) Plasmacytoma - solitary lytic lesion - spine, pelvis , skull 2) Myelomatosis - Diffuse skeletal involvement - oestolytic lesions with discrete margins 3) Diffuse skeleteal oestopenia - no lytic , predominantly in the spine (this type can have multiple compression fractures) 4) Scelorsng myeloma - with sclerotic bony lesions , associated with POEMS syndrome Myeloma has poor uptake on bone isotope scans
123
Features of hypertrophic osteoarthopathy
Periosteal reaction, usually along shafts of tubular bones in extremities Generally symmetrical Location Tibia, fibula, radius, ulna are most frequent Less common in phalanges 3-phase bone scan Typically linear symmetric ↑ uptake along margins of long bones: parallel track sign, tram line sign, or double stripe sign
124
types of osteogensis imperfecta?
Almost alwas type 1 or 4 Type 1 most common - Blue sclera - normal stature - Hearing impairment Type 4 -small stature -usually normal hearing
125
Calcaneonavicular vs talocalcaneal coalitions
see picture
126
MRI grading of stress fracture
Grade 1 – Periosteal oedema on STIR, no marrow change Grade 2 – Periosteal oedema on STIR + marrow change on T2-weighted only Grade 3 – Periosteal oedema on STIR plus marrow changes on T2-weighted and T1-weighted Grade 4 – Visible fracture line