Esophagectomy - gross differential

Grading of Dysplasia in Barrett Mucosa


eosinophilic esophagitis
[Pediatric]
● Be more numerous (usually >15 per high power field)
● Be grouped into microabscesses (clusters of >4 eosinophils)
● Show degranulation of contents
● And be clustered at the surface of the epithelium
Barrett’s esophagus
● Basal cell hyperplasia (an increase over the normal three-cells-deep layer).
● Elongated vascular papillae (into the upper third of the epithelium).
● Balloon cell change of epithelium (excess clear glycogen in the cytoplasm).
● Intraepithelial neutrophils or eosinophils.
● Erosions, fibrinopurulent exudate, granulation tissue.
● Columnar cell mucosa or glands.
● Squamous debris which has been sloughed from the epithelium.
Dx

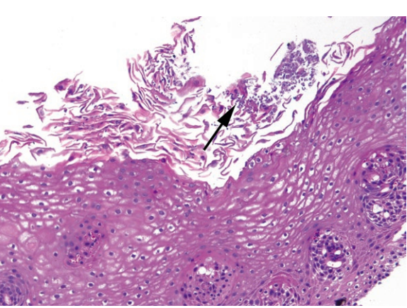
Candida. Tiny purple yeasts and pseudohyphae (arrow) are seen among the squamous debris at the surface of the epithelium. This is an H&E stain; the yeasts are magenta on PAS stain. Note that sometimes there is not a significant neutrophilic response.
Dx

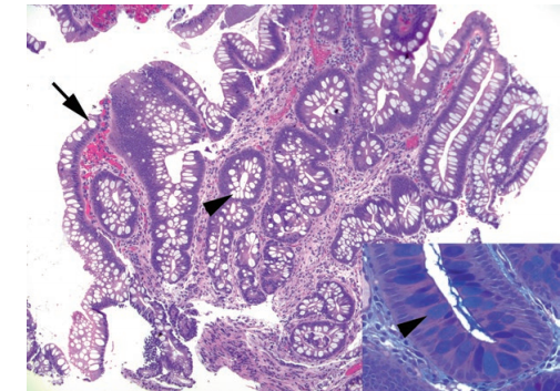
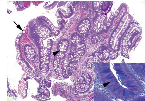
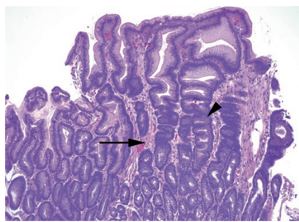
Goblet cells in Barrett’s esophagus. The presence of columnar epithelium with goblet cells indicates Barrett’s esophagus. Goblet cells are round cells that appear clear on H&E stain and are typically flanked by the purplish absorptive-type cells. Back-to-back mucinous cells resembling a row of teeth are more likely to be gastric foveolar epithelium. Goblet cells may be present at the surface (arrow) or in deep glands (arrowhead). Inset: A PAS/AB stain confirms the goblet cells, which stain indigo blue (arrowhead).

Markers for Adenocarcinomas of the Tubular GI Tract


ID

Localization of anatomic regions within the stomach:
(1) the gastroesophageal junction,
(2) the cardia,
(3) the fundus and body,
(4) the antrum
(5) the pylorus

found at the borders of the stomach—the cardia, antrum, and pyloric regions): the glands are loosely packed and mucinous and occupy about half of the epithelial thickness (meaning the other half are the pits from the surface)
Antral mucosa
(found in the digestive regions of the stomach—the fundus and body): the glands are tightly packed, contain granular parietal (pink, acid-secreting) and chief (purple, enzyme-secreting) cells, and occupy three fourths of the mucosal thickness
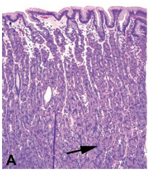
Oxyntic mucosa
An overlap zone where features of both antral and oxyntic are present
Transitional mucosa
What kind of mucosa is this?

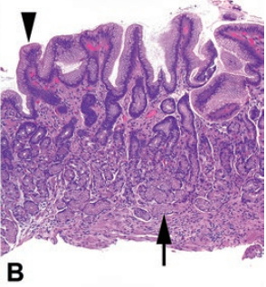
Oxyntic mucosa is relatively thick, with most of the mucosa occupied by secretory cells (arrow), the parietal and chief cells. The surface is composed of mucinous foveolar epithelium.
What kind of mucosa is this?

Antral mucosa is thinner, and the glands are mucinous instead of secretory (arrow). However, the surface is still composed of foveolar epithelium (arrowhead).
ID

Chemical gastritis, antrum. In chemical gastritis, the lamina propria shows very little inflammation, unlike in H. pylori gastritis. The lamina propria is pale and sometimes edematous such that the dark reactive nuclei of the glands stand out sharply in contrast. The corkscrew profile of the hyperplastic glands is a second classic feature (arrowhead), as is the presence of thin strands of smooth muscle between the glands (arrow)

