
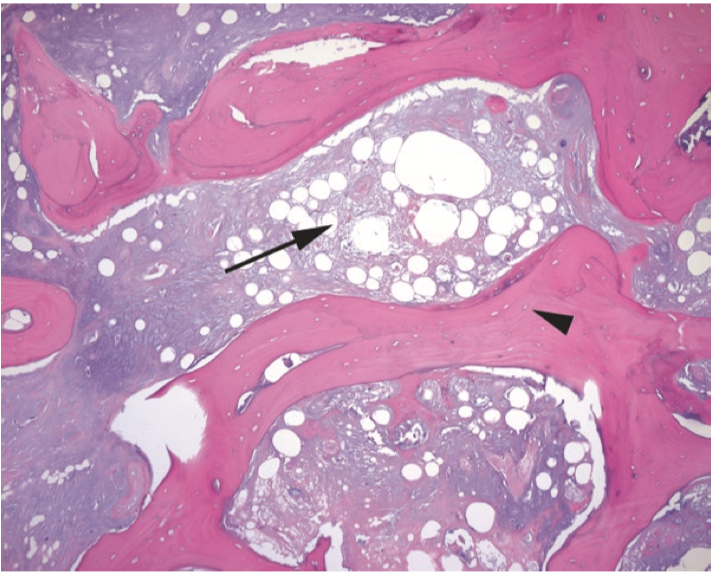
Osteonecrosis. The necrotic marrow is the most eye-catching feature (arrow), showing fat necrosis and an absence of marrow elements. On close examination, the osteocytes within lacunae are also dead or missing (arrowhead).

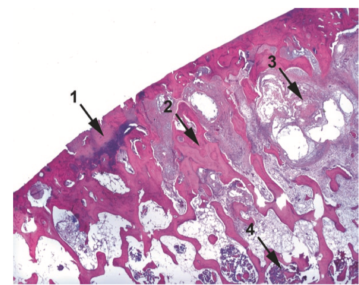
Osteoarthritis. Features include (1) eroded cartilage, in this case nearly absent, and irregular mineralization of the cartilage, seen here as a dark purple stain; (2) thickening of the subchondral bony trabeculae; (3) myxoid degeneration of the subchondral bone, forming cyst-like spaces; and (4) some residual hematopoietic marrow.