What’s pattern of inheritance and gene of Peutz-Jeghers syndrome?
Peutz- Jeghers
What’s prognosis for Peutz- Jeghers syndrome?
Peutz-Jeghers syndrome
Prognosis:
Characteristics/clinical features of Peutz - Jeghers syndrome
Peutz - Jeghers syndrome - characteristics:
*hamartomatous - focal malformations that consist of genetic mutations
Management of Peutz Jeghers syndrome
Conservative, unless complications develop
Examples:
DIagnosis of Peutz- Jeghers syndrome
2 out of 3 of the following:
*genetic testing can be performing -> looking for mutation in the STK11/LKB1 gene
A pattern of inheritance of Multiple Endocrine Neoplasia (MEN)
Autosomal dominant
MEN I
MEN type I
3 P’s
MEN1 gene
Most common presentation = hypercalcaemia
MEN II a
MEN II a
Cancers involved
2 P’s
RET oncogene
MEN II b
MEN IIb
Cancers:
1 P
Features: Marfanoid body habitus, Neuromas
Mutation: RET oncogene
What’s Multiple Endocrine Neoplasia (MEN) in general?
MEN
What’s polygenic inheritance?
Polygenic Inheritance
Examples of human polygenic inheritance are height, skin color, eye color and weight.
What’s a variable expression (genetics)?
Variable expressivity
Example: individuals with the same allele for a gene involved in e.g. body height might have large variance (some are taller than others) -> prediction of the phenotype from a particular genotype alone difficult
What’s the clinical example of variable expression (disease)?
Neurofibromatosis
What’s an incomplete penetrance and its examples?
* clinical example (disease)
Incomplete or reduced penetrance
Example of an autosomal dominant condition showing incomplete penetrance is familial breast cancer due to mutations in the BRCA1 gene.
What’s anisocytosis?
Anisocytosis - variation in size
What’s poikilocytosis?
Poikilocytosis - variation in shape
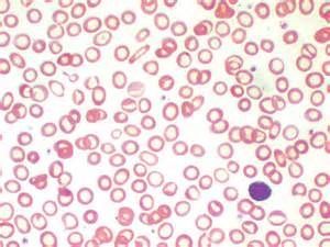
What’s that?
*comment on the appearance

Hypochromic microcytic anaemia
Red flags for iron deficiency anaemia
The commonest causes of the iron deficiency
* red flags e.g. rectal bleeding
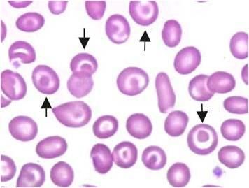
What’s that?
*comment on appearance

Appearance:
This is thalassemia
Genetic problem in alpha thalassemia
Alpha-thalassaemia
Overview
Beta- thalassemia major
Beta thalassemia major
Features and clinical presentation of beta thalassemia major
Features
Management of beta- thalassemia major
Beta - thalassemia major