Primitive gut tube has __ parts which develop into GI tract & organs
3
What are the 3 parts of which delove into GI tract and organs
Foregut
Midgut
Hindgut
• Foregut develops into:
• Midgut develops into:
• 2 nd part duodenum to ¾ transverse colo
• Hindgut develops into:
• ¾ transverse colon to superior rectum
Name the colours
Orange: Foregut
Purple: Midgut
Green: Hindgut
What does the Lower GI tract consist of?
• Jejunum to anus
Function of the small intestine
Function of large intestine
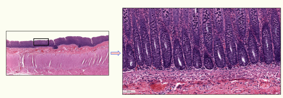
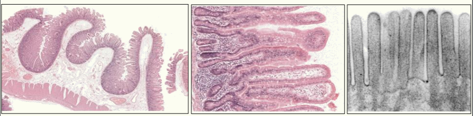
Histology of Small Intestine
What are the key microanatomical features of mucosa:
Properties of circular folds
• Increase surface area and slow chyme flow
Properties of Villi and Microvilli
Properties of Intestinal glands
Small Intestine

Small intestine

Histology of Small Intestine
Micrograph of circular folds
Micrograph of villi
Electron micrograph of microvilli
Histology of Large Intestine
What are the key microanatomical features:
Large Intestine

Histology of Large Intestine
What is this?

Section through wall of colon
Name a congential anomalies
Hirschsprung’s Disease.
Meckel’s diverticulum
Omphalocele- Abdominal Wall Defects
Gastroschisis-Abdominal Wall Defects
What is Hirschsprung’s Disease?
This disorder is characterized by the absence of particular nerve cells (ganglions) in a segment of the bowel in an infant. The absence of ganglion cells causes the muscles in the bowels to lose their ability to move stool through the intestine (peristalsis).
• Enteric nervous system has ______ and ________ plexuses
myenteric
submucosal
What does aganglionosis mean
The state of being without ganglia; for example, absence of ganglion cells from the myenteric plexus as a characteristic of congenital megacolon.
What does Hirschsprung’s Disease involve?
• HD involves agangliosis of both plexuses in distal colon & rectum
SO the absent/damage to the ganglia here means that the nerves are not funcitonal = muscle atrophy/wastage