Resp Lectures Flashcards

(60 cards)

1
Q

What is COPD?

A
  • disease characterised progressive obstruction of airflow
  • Not fully reversible
  • Associated with abnormal inflammatory response of lungs to noxious particles of gas
How well did you know this?
1
Not at all
2
3
4
5
Perfectly
2
Q

COPD is associated with other cormorbidities like:

A
  • Ischaemic heart disease
  • Hypertension
  • Diabetes
  • Heart failure
  • cancer
How well did you know this?
1
Not at all
2
3
4
5
Perfectly
3
Q

What are the main risk factors of COPD?

A

Smoking

enviromental factors: •Climate, air pollution, urbanisation, social class and occupation (dust & silica) also play a role

alpha 1 antitrypsin deficiency

Infections

Low birth weight

How well did you know this?
1
Not at all
2
3
4
5
Perfectly
4
Q

Why is smoking a big rf for COPD?

A
  • Cigarettes – 90% of cases in developed countries
  • Increased neutrophil granulocytes à Releases elastases and proteases à emphysema
  • Inhibits activity of alpha 1 antitrypsin
  • Irritation from inhaling smoke à mucous gland hypertrophy
  • Affects lung surfactant à over distended lungs
  • Individual susceptibility and proportional to amount smoked
How well did you know this?
1
Not at all
2
3
4
5
Perfectly
5
Q

What is the diseases within COPD?

A

CHronic bronchitis

Emphysema

How well did you know this?
1
Not at all
2
3
4
5
Perfectly
6
Q

Pathophysiology of chronic bronchitis breifly?

A

•Increased number of mucous secreting goblet cells in bronchial mucosa due to smoke irritation

  • causes: narrowing of airway, hypertrophy (increase in the size of the mucous glands-bigger), hyperplasia (more mucous)
  • Ciliary dysfunction: Globlet cells also have damage/motility in cilia so mucous build up more
  • Air trapping: less oxygen getting in due to mucous block and less CO2 leaving body

•Hypersecretion à immobile cilia à mucous plugs à airflow obstruction à retention of CO2 and less O2 à hypoxia + acidosis à blue bloaters

  • could lead to hypoxemia and hypercepnia
  • risk of developing pneumonia because mucous plug might contain hemophilus influenza or moraxella which cause infection

-

How well did you know this?
1
Not at all
2
3
4
5
Perfectly
7
Q

Complications from chronic bronchitis?

A
  • could lead to hypoxemia and hypercepnia
  • risk of developing pneumonia because mucous plug might contain hemophilus influenza or moraxella which cause infection
How well did you know this?
1
Not at all
2
3
4
5
Perfectly
8
Q

Function of elastin?

A

Helps increase the recoil of the lungs

When you inhale it is a active process but when you exhale it is passive and so the lungs recoil and go back to its normal shape

How well did you know this?
1
Not at all
2
3
4
5
Perfectly
9
Q

What is the function of alpha 1 antityrpsin

What happens when you are deficient in it?

A

it is a protease inhibitor made in the liver.

it opposes elastase

•Alpha antitrypsin deficiency

  • Protein accumulates in liver meaning low levels in the lungs à cant inhibit neutrophil elastases à destruction of alveolar wall connective tissue
  • 2% of UK cases of emphysema
  • Usually causes COPD in < 40 y/o
How well did you know this?
1
Not at all
2
3
4
5
Perfectly
10
Q

Pathophysiology of emphysema?

A
  • structural issue
  • smoking and pollutants causes phagocytosis
  • this releases cytokines
  • cytokines activates neutrophils due to inflammation
  • neutophils starts release specifc protease elastase which breaks down elastin
  • macrophages to releases proteases and chemokines which attract neutrophils that release elastases, nicotine inhibits protease inhibitors (alpha 1 antitrypsin)
  • since you dnt have much alpha 1 antitrypsin to oppose elastase, elastase causes damage to the alveoli.
How well did you know this?
1
Not at all
2
3
4
5
Perfectly
11
Q

how does emphysema impact oxygen and co2?

A
  • Low PaO2 and normal/ increased PaCO2
  • Increased alveolar ventilation to correct hypoxia à pink puffers
  • Overtime PaCO2 increases when the patient fails to maintain respiratory effort à stimulation of respiration à long term insensitivity to CO2, dependent on hypoxemia to drive ventilation à blue bloaters
  • Ventilation in response to CO2
  • expiratory airflow limitation – alveoli collapse during expiration àair trapping à increased TLC + decreased FVC and FEV1
How well did you know this?
1
Not at all
2
3
4
5
Perfectly
12
Q

How is emphysema classified?

A

Classified according to site of damage

  • Centriacinar – most common, seen in smokers, upper lobe
  • Panacinar – associated w/ alpha 1 antitrypsin deficiency, rare, lower lobe
  • Irregular- patchy damage independent of the structure of the acini
  • Paraseptal –peripheries, risk of bursting à pneumothorax
How well did you know this?
1
Not at all
2
3
4
5
Perfectly
13
Q

Complications from emphysema?

A
  • damage to the alveoli
  • airways will narrow and wont be able to keep open due to the lack of elastin
  • start to lose sA from alveoli and blows up- Destruction of septa between alveoli creating distended bullae – deceased SA
  • Enlarged air spaces distal to terminal bronchiolesalso build up of Co2 leads to hypoxia and hypercepnia

• loss of elastic recoil in lungs – hold more air (elastases > anti elastases)

How well did you know this?
1
Not at all
2
3
4
5
Perfectly
14
Q

What are the different types of emphysema?

A

centriacinar- dilated pockets of air in the proximal airway

panacinar- distal airways

Distal acinar-distal alveoli can cause spontaneous pneumothorax

How well did you know this?
1
Not at all
2
3
4
5
Perfectly
15
Q

Epidemiology of COPD?

A

Approximately 3 million people in the UK are diagnosed with COPD and a suspected 2 million more may be undiagnosed.

How well did you know this?
1
Not at all
2
3
4
5
Perfectly
16
Q

Clinical features of COPD?

A

Chronic productive cough and dyspnea are the hallmarks of COPD.

Symptoms:

  • Chronic cough: usually productive
  • Sputum production
  • Breathlessness: usually on exertion in early stages
  • Frequent episodes of ‘bronchitis’: usually in the winter
  • Wheeze
  • Pursed lip breathing: (prevents alveolar collapse by increasing the positive end expiratory pressure)
  • Bronchial sounds
How well did you know this?
1
Not at all
2
3
4
5
Perfectly
17
Q

Investigations for COPD?

A

Bedside

  • Observations: including pulse oximetry
  • Body mass index (BMI)
  • Sputum culture (if purulent)
  • Arterial blood gas (if hypoxia or hypercapnia is suspected): needed in acute exacerbations or work-up for long-term oxygen therapy
  • ECG (if cor pulmonale suspected)

Bloods

  • Full blood count: important to assess for anaemia and polycythaemia
  • Alpha-1 antitrypsin levels

Imaging

Chest x-ray (CXR):

Hyperexpanded

Flattened hemidiaphragms

Hypodense

Saber-sheath trachea

CT scan: consider performing if

Symptoms disproportionate to spirometric assessment

Alternative diagnosis suspected (e.g. bronchiectasis, fibrosis)

Lung cancer suspected or to investigate abnormalities on chest x-ray

Echocardiogram: if cor pulmonale suspected.

How well did you know this?
1
Not at all
2
3
4
5
Perfectly
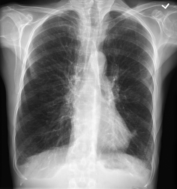
18
Q

What does this scan show?

A

CXR demonstrating COPD with hyperinflation

How well did you know this?
1
Not at all
2
3
4
5
Perfectly
19
Q

Management for COPD patients?

A

All patients with COPD should be offered education, smoking cessation, vaccinations(influenza vaccine and pneumococcal), pulmonary rehabilitation (if indicated) and pharmacotherapy (e.g. inhalers).

How well did you know this?
1
Not at all
2
3
4
5
Perfectly
20
Q

Drugs for COPD

A

Beta-receptor agonists: bind to beta receptors of the sympathetic nervous system. Causes relaxation of airway smooth muscle and subsequent bronchodilation. May be short or long-acting.

Muscarinic receptor antagonists: these drugs prevent the activation of muscarinic receptors by acetylcholine. This prevents airway smooth muscle contraction and causes bronchodilation. Can be short or long-acting.

Corticosteroids: inhaled corticosteroids work by reducing inflammation within the lungs. They are thought to reduce the number of exacerbations, improve the efficacy of bronchodilators and decrease dyspnoea in stable COPD.

How well did you know this?
1
Not at all
2
3
4
5
Perfectly
21
Q

Inhaler types for COPD?

A
  • Short-acting beta-agonists (SABA): Salbutamol
  • Long-acting beta-agonists (LABA): Salmeterol
  • Short-acting muscarinic antagonists (SAMA): Ipratropium
  • Long-acting muscarinic antagonists (LAMA): Umeclidinium / tiotropium
  • Inhaled corticosteroid (ICS): Beclomethasone
  • LABA-ICS: Seretide (salmeterol/fluticasone)
  • LABA-LAMA: Ultibro (indacaterol/glycopyrronium)
  • LABA-LAMA-ICS: Trimbow (formoterol/glycopyrronium/beclometasone
How well did you know this?
1
Not at all
2
3
4
5
Perfectly
22
Q

What is Pulmonary embolism?

A

acute/chronic occlusion of pulmonary arteries. Clot breaks off and travels to the lungs (emboli).

Occlusion maybe due to a blood clot, fat, air or tumour

How well did you know this?
1
Not at all
2
3
4
5
Perfectly
23
Q

What is deep vein thrombosis?

A

acute/chronic occlusion of deep vein(s). Commonly affects the lower limbs through the formation of a clot forms (thrombus).

How well did you know this?
1
Not at all
2
3
4
5
Perfectly
24
Q

Venous thromboembolism (VTE) is a term that encompasses two conditions:

A

Pulmonary embolism

Deep vein thrombosis

How well did you know this?
1
Not at all
2
3
4
5
Perfectly
25
What is incidence like with PE?
increases with age–doubles everydecade after 20 years
26
What is the aetiology of PE?
The typical cause of PE is an emboli that arises from a DVT. The DVT itself may be provoked or unprovoked based on the same risk factors of PE (it is also a thromboembolic disease). A history of unilateral leg swelling that precedes the onset of chest pain and dyspnoea is classical for the diagnosis of PE.
27
What are the major risk factors of PE?
* DVT * Previous VTE * Active cancer * Recent surgery (e.g. within last 2-3 months) * Significant immobility (e.g. hospitalisation, bed-rest) * Lower limb trauma/fracture * Pregnancy (+ 6 weeks postpartum)
28
What are additional risk factors to PE?
* Combined oral contraceptive pill * Long-distance sedentary travel (e.g. long-haul flights) * Thrombophilia * Obesity * Others
29
Due to the high risk of VTE in patients admitted to secondary care (i.e. hospital), a ____ \_\_\_\_ \_\_\_\_\_\_\_\_\_should be completed on admission. This assesses whether a patient is suitable to receive prophylactic blood thinning medication (e.g. low molecular weight heparin) to reduce the risk of VTE.
VTE risk assessment
30
What is VIrchow triad?
3 factors that are critically important in the development of venous thrombosis: a triad of venous stasis, endothelial injury, and a hypercoagulable state.
31
Staisis of venous circulation What is meant by this What are the conditons that lead to this
We want our blood to flow in our veins. THey do this by **valves**. So if valves are damaged or stop working properly then blood starts to gather and clot. Conditons that lead to stasis of venous circulation: * Varicose veins * Surgery (especially hip or knees) * Obstruction: late pregncancy, obesity * Heart failure * Atrial fibrillation * Muscle weakness, leg injuryor trauma
32
Hypercoagulability What is meant by this What are the conditons that lead to this
high coagulation (rocess of a liquid, especially blood, changing to a solid or semi-solid state) of the blood Conditons that cause this: * Cancer * Severe illness (sepsis) * Dehyrdation * Birth control (oestrogen) * Postpartum Period
33
Endothelial Damage What is meant by this What are the conditons that lead to this
Damage to the endothelium Conditons that lead to this are: * IV drug usuage * indwelling device * medication * trauma or injury to the vessel (surgeyr)
34
What is the pathophysilogy of PE?
The predominant theory for development of VTE is Virchow’s triad. This describes a triad of venous stasis, endothelial injury, and a hypercoagulable state. These are the three broad categories that contribute to the development of blood clots.
35
Natural history of PE
Occlusion of one or more of the pulmonary arteries leads to absence of perfusion to that area of the lung. There is said to be a ventilation/perfusion (V/Q) mismatch because ventilation is unaffected (i.e. the area of lung receives oxygen but not blood). This V/Q mismatch may lead to hypoxia. The area of lung may undergo infarction (death from abnormal blood supply), but is usually prevented by the bronchial circulation. The V/Q mismatch can lead to elevated pulmonary **arterial pressure, alveolar collapse, worsening hypoxaemia and reduction in cardiac output.** The sudden increase in pulmonary arterial pressure may rise to a level the right ventricle cannot overcome. This can lead to **hypotension, syncope and in more serious circumstances shock** and/or death due to acute right ventricular failure.
36
PE clinical features
* Dyspnoea * Pleuritic pain * Cough * Leg swelling * Leg pain * Haemoptysis * Palpitations * Wheezing * Angina-like pain
37
Scoring system for PE?
PE: scoring system * WELLS–likelihood of PE * GENEVA–likelihood of PE * PERC-likelihood of PE * PESI-severity of PE
38
Investigaions for PE
If Wells shows likely PE * CTPA * Parenteral anticoagulanttherapy * Proximal deep vein legUSS If Wells shows unlikely PE * D-dimer→positive?→CTPA,Parenteralanticoagulant therapy * D-dimer has highsensitivity (90%) but lowspecificity (can be raisedin many systemicillnesses) * CXR * V/Q scan
39
Management of PE
nitially = ABCDE-O2, fluids,ionotropes * Risk assess-PE severity * Give LMWH unless renalimpairment, risk ofbleeding,haemodynamically unstable * Warfarin, NOAC and LMWHcontinuous * Thrombolysis * Embolectom
40
What is Bronchiectasis?
permanent, irreversible dilation of airways (chronic and obstructive) Bronchiectasis is a long-term condition where the airways of the lungs become abnormally widened, leading to a build-up of excess mucus that can make the lungs more vulnerable to infection. The most common symptoms of bronchiectasis include: a persistent cough that usually brings up phlegm (sputum) breathlessness and chest pain
41
What disease can lead to bronchiectasis and how?
CF/TB ## Footnote The defective gene and its protein causes the body to produce thick sticky mucous that clogs the lungs and leads to chronic life threatening lung infections with dilation and destruction of airways (bronchiectasis). Eventually it gets so thick that its consistently inflamed and infections that you cant clear ot so you get into chronic progressive pulmonary disease and respiratory failure
42
Pathophysiology of Bronchiectasis?
Chronic inflammation causes destruction of airway elastic tissue and ciliated epithelial cells * Mucociliary stasis and increased mucous production * Fibroblasts try to repair damage, deposits collagen, stiffens airways
43
SIgns and symptoms of Bronchiectasis?
ns and symptoms:•Purulent sputum, haemoptysis, suppuration,SoB, clubbing, crackles, wheeze
44
Investigations for Bronchiectasis?
•PFT= obstructive pattern→decreased FEV1/ FVC ratio Imaging: * HRCT/CT is better than CXR * Dilation of bronchi and bronchioles
45
Management for Bronchiectasis?
•Clear mucus-percussion or postural drainage•Treat cause-Ab
46
Epidemiology of Lung cancer
3rdmost common malignancy in the UKand isthe leading cause of cancer relateddeath * Itismorecommonaspeople get older ( around45% get diagnosed with lung cancer are aged 75years and older) * Higherinmoredeprived areas, in terms ofethnicity and gender group more common inwhite males
47
Aetiology of Lung Cancer
* Smoking! (80%),including passive smoking•Increased risk in high pollution areas * Family history * Occupation; exposure to asbestosis ( carcinogenic building material,increases the risk of mesothelioma as well as other cancersieadenocarcinoma of the lung) * Exposure to radon gas-increased risk to lung cancer * Other comorbidities-pulmonary fibrosis, COPD, HIV infection * Increasing age * Previous history of malignanciesiehead and neck cancer
48
How is lung cancer categorised?
Small-cell (SCLC) Non-small cell lung cancer (NSCLC): 85% of cancers * Adenocarcinoma * Squamous cell carcinoma * Large cell
49
Pathology of lung cancer-Nonsmall cell types adenocarcinoma
* Likely to become the common cell type in the UK in future(most common in US) * Cancer of mucus secreting cells * Appears more common in non smokers compared tosquamous cell carcinoma * Asbestos and Smoking are risk factors * Often causes peripheral lesions in Chest X ray/CT * Metastases common-pleura, lymph nodes, brain, bone,adrenal gland
50
Pathology of lungcancer;small cell
* Arises from neuroendocrinecells APUD cells * ‘salt and pepper’ like appearance * Often secretes polypeptidehormones * Often arises centrally andmetastasizes early * Have a fast doubling time, aggressivecancer * Difficult to treat and associated withparaneoplasticsyndromes (SiADH,LambertEaton, Carcinoid, Cushing’s,SVC syndrome) Considered separately due its fast doubling time, aggressive nature and early metastasis
51
Pathology of lung cancer; Nonsmall cell types squamous cell carinoma
* Remains the common type in Europe, main risk factor issmoking * Arises from epithelial cells, associated with the productionofkeratin (‘keratin pearls’) * Occasionally cavitates with central necrosis * Causes obstructive lesions of the bronchus with postobstructiveinfection * Paraneoplastic (‘hypercalcemia’) * Local spread common-metastases relatively late
52
Pathology of lung cancer; Non small cell types
* Often poorly differentiated * Metastasize early These are undifferentiated neoplasms accounting for around 5% of lung cancers. They tend to metastasise early.
53
ClinicalManifestationsof Lung Cancer signs
54
Symptoms of lung cancer?
55
Lung Cancer Treatment
56
Causes of acute resp failure minutes to hours
COVID-19related complications * Asthma (acute exacerbation) * Obstruction•Pulmonary oedema * Acute epiglottitis * Pulmonary trauma * Inhalation injury (toxic fumes include chlorine, smoke, Carbonmonoxide, hydrogensulfide)•Acute allergy
57
Causes chronic resp failure
▪COPD ▪Muscular dystrophy ▪Motorneuronedisease
58
Non Resp causes of resp failure
- hypovolemia - shock - drug overdose - neuromuscular disorders
59
What is the difference between type 1 and type 2 respiratory failure?
Respiratory failure is divided into type I and type II. Type I respiratory failure involves low oxygen, and normal or low carbon dioxide levels. Type II respiratory failure involves low oxygen, with high carbon dioxide
60
What is CPAP?
(continuous positiveairway pressure) * Type of NIV * CPAP works by providing a positive pressure of air throughthe mask and intothe airway, which helps to keep theairway open. * Helps to prevent breathing difficulties,increase the level ofoxygen in the lungs and removescarbon dioxide out ofthelungs. * Used in obstructive sleep apnoea