components of the space of disse
reticular fibers
cell of Ito (fat storing, makes reticular fibers, stores lipids and vit E)
nerve ending


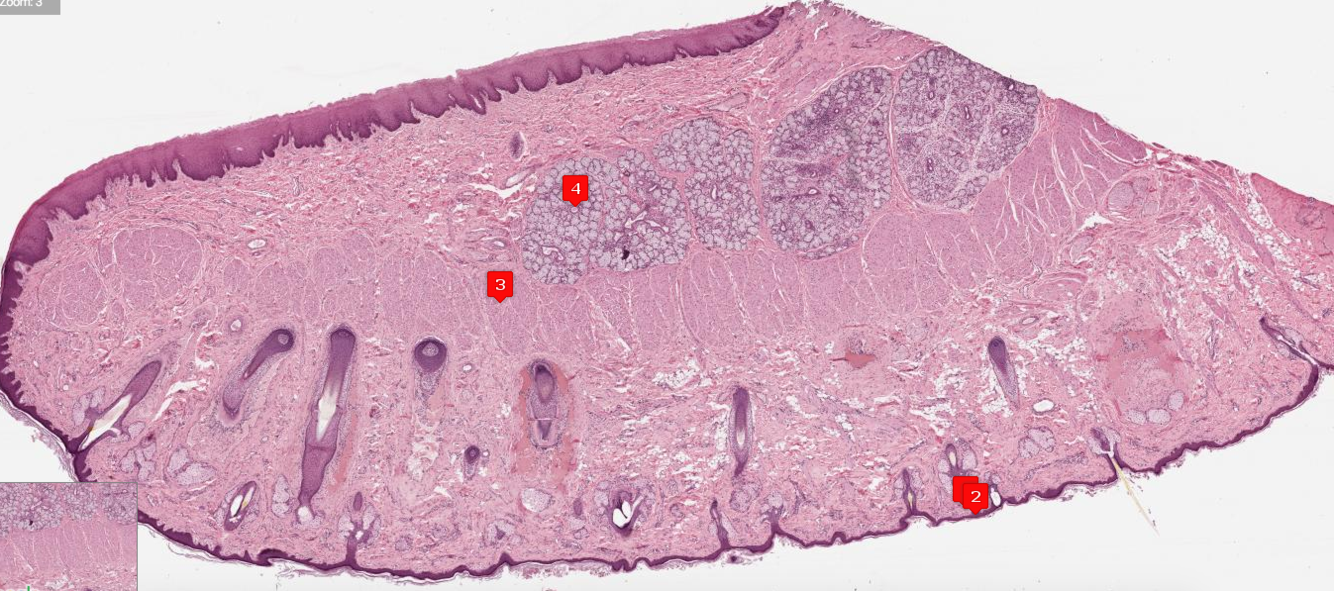
lip

·So blood is flowing toward the central vein (i.e. toward the black star shape), whereas the bile, which is begin formed in these bile canaliculi, here indicated sort of diagrammatically as this green stuff, flows toward the portal tract.
·
·And again, what’s omitted here is the fact that there are lymphatics in the portal tract
·
·So the secretion of bile into ducts is an exocrine function, and the secretion of albumin, lipoproteins, IgF1 in response to growth hormones – things like that into the blood are going to be the endocrine functions of the liver, and – as this points out – blood and bile flow in opposite directions in the lobules of the liver.

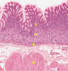
goblet cell

large bile duct in portal tract

These are glands. Specifically they are the glands of Von Ebner - They secrete their product into the troughs on the sides of the circumvallate papillae.
tongue

Duct of mucous gland.

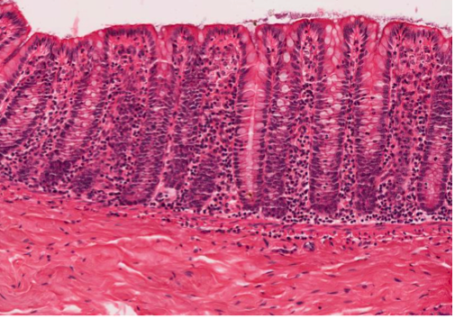
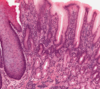
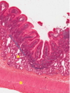
colon
Straight tubular glands (like test tubes in a rack). You don’t really find Paneth cells as a general feature. There’s a smooth surface epithelium

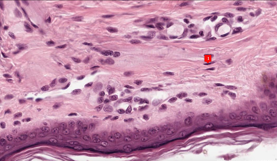
Loose Connective Tissue, Skin, Upper Lip
The marker is on a fibroblast. As you can see, the cell is beneath the epithelium and surrounded by a pink loose substance. What is this substance? Does the fibroblast produce it?
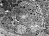
parotid gland
almost all serous acini
long intercalated ducts
myoepithelial cells
many plasma cells
excretory ducts go from simple columnar epithelim to pseudostratified to stratified columnar

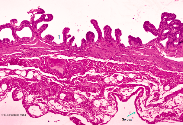
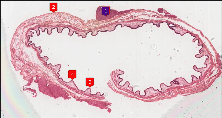
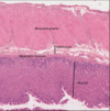
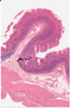
·gall bladder - no muscularis mucosa, submucosa, crypts
From the liver, bile obviously goes through those bile ductules into larger bile ducts that are found in the portal tracts out eventually to the gallbladder. Students confuse the gallbladder with the intestine, or the small intestine. So I’ve put some of the things that are not here, compared to the small intestine.
·
·There’s not going to be a muscularis mucosa, which you saw in intestine. There’s not going to be a separate submucosa, there’s not going to be crypts, although sometimes there’ll be downgrowths (1) called Aschoff sinuses that are abnormal. And the surface has folds, but these are not really villi.
·
·And, in addition, if you think about – you’ve seen the abdominal cavity, right? So you know the gallbladder’s smack up against the liver. The side that’s against the liver doesn’t have a mesothelium – it just has an adventitia, but the part that faces the abdominal cavity has a mesothelium out here, and this layer is called the serosa. Again, the complex folds on the surface are not villi. Make sure when you look at the gallbladder that you can distinguish it from the small intestine.
liver efferent blood flow
central veins (terminal hepatic venules)
sublobular veins
hepatic veins
IVC


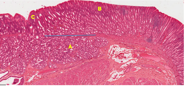
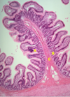
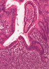
This one’s a little confusing – this is your pyloric stomach. Here’s your muscularis mucosa [line] which comes across and gets interrupted. Down here (A) we have glands below the muscularis mucosa, and I already told you there are only two places in the GI tract where you have submucosal glands: the esophagus and the duodenum.
This is the gastroduodenal junction: you have surface mucus cells (C) but over here you’re going to have a simple columnar epith with goblet cells here (B). [Note, I think he pointed to the wrong ones because later in the lecture he says that the intestine has the goblet cells, so the correction has been applied here].
The submucosal glands in the duodenum are the glands of Brunner.
tissue?

The tissue is skeletal muscle. The structure is the orbicularis oris facial muscle.

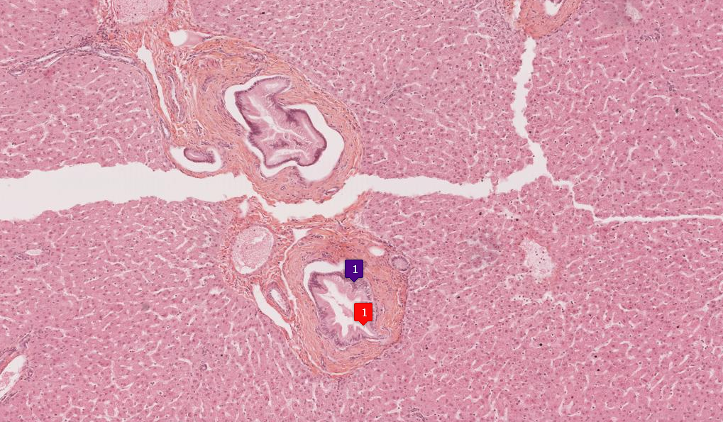
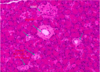
2: bile duct
3: hepatic arteriole
4/7: portal venule
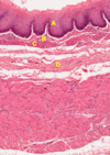
wall of gut - order of layers inside to outside
epithelium*
lamina propria* (loose CT)
mucularis mucosa* (small layer of muscle)
submucosa (dense irregular CT)
muscularis externa
serosa/adventitia (if retroperitoneal)
* mucosa

endocrine functions of the liver?
secretion into the blood of proteins like albumin and other plasma proteins and vldl particls
stores glucose, aa, vit a
·So the endocrine functions, secretion into the blood, including storing glycogen and secreting it as glucose (see arrows), making albumin, fibrinogen, prothrombin – again, all kinds of interesting things, including IgF1.
·
·And also stores vitamin A, especially in those lipid droplets in the perisinusoidal cells


submucosa
organ?

gallbladder

Yes, the lamina propria is located in between the epithelium and the muscularis mucosa.
How do you know it’s ileum?
Peyer’s patches
ECL cell products
histimine (stim acid)
exocrine function of the liver
bile acids are
·Ok so the exocrine function of the liver is to obviously secrete into the bile ducts, and I will leave the different problems with transport into the bile duct for the pathologists, but realize that it’s very important to get rid of, bilirubin, for example – and it gets conjugated; if you can’t get conjugated, you’re in trouble – problems with glucuronyltransferase.
·
·But many other things go into the bile, as waste products, and that’s one of them. And that is the exocrine function of the liver. So the liver is both an endocrine function – it secretes into the blood, and also secretes into the bile, and that’s its exocrine function.
sinusoidal capillaries
what we call sinusoidal capillaries that are found at either side of hepatocytes (2).
