How common is bowel cancer?
The 4th most common cancer in the UK
What are the 3 differential reasons for dysphagia? Which is the most likely to suggest malignancy?
Extramluminal - outside the lumen, compression from the lung and heart
Luminal - in the wall of the lumen, more likely to be malignant
Intraluminal - something stuck in the tube e.g. foreign bodies

What are the red-flags for dysphagia?
ALARM
What is the usual type of cancer of malignancies in the oesophagus?
Squamous cell carcinoma
Why can the lower third of the oesophagus develop adenocarcinoma, despite the oesophagus normally being stratified squamous epithelium?
Barret’s oesophagus from GORD
Metaplasia from stratified squamous cells → columnar epithelium
Adenocarcinoma can therefore develop
What are the risk factors for oesphageal carcinoma?
How does oesphageal carcinoma typically present?
Progressive Dysphagia
Food gets stuck but liquids can flow round the tumour
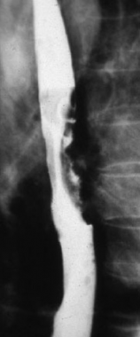
How would you investigate dysphagia?
Barrium swallow
See narrowing of the oesphagus from tumour
Also take biopsy

What are the red flags for gastric cancer?
What are some of the common non-cancerous causes of epigastric pain?

Which area of the stomach is most prone to gastric cancer?
The cardia or the antrum
What is the typical type of cancer in gastric cancer?
Adenocarcinoma
What are some of the risk factors for gastric cancer?
What is the prognosis of gastric cancer?
Generally poor
Descibe Gastric Lymphoma
What kind of cancer are Gastrointestinal stromal tumours (GISTs)?
What are some of the red flag symptoms associated with jaundice?
Is the main type of cancer in the liver?
Secondary metastasis from lung, breast, skin, renal, prostate
All metastasise to the liver due to the portal venous system
Primary malignancy, Hepatocellular carcinoma is rare
How does cancer spread to the liver?
How does the presentation of pancreatic cancer change dependent on whereabouts in the pancreas the tumour is?
Give some risk factors for developing pancreatic cancer
What are the 3 key symptoms of lower GI malignancy?
What general symtpoms might a patient with obstruction in the lower bowel present with?
What diameter of the bowel is abnormal and would warrant further investigation?
Abnormal if: