GI System Flashcards

(37 cards)

1
Q

describe the 2 layers of the peritoneum

A
  • parietal peritoneum: lines the internal surface of abdominal wall
  • visceral peritoneum: clothes the abdominal organs
How well did you know this?
1
Not at all
2
3
4
5
Perfectly
2
Q

contrast the innervation of parietal peritoneum vs visceral peritoneum

A
  • parietal peritoneum: somatopleure
    • innervated by somatic afferents from the spinal nerves associated with the region of the abdominal wall where it is located; usually well localized
  • visceral peritoneum; splanchnopleure
    • innervated by visceral afferents which accompany autonomic nerves supplying the organ; pain poorly localized
How well did you know this?
1
Not at all
2
3
4
5
Perfectly
3
Q

describe ascites

A
  • abnormal fluid within peritoneal cavity between visceral and parietal layers
How well did you know this?
1
Not at all
2
3
4
5
Perfectly
4
Q

name the intraperitoneal organs (have a mesentery)

A
  • stomach
  • liver
  • duodenum 1st part
  • small intestine (jejunum, ileum)
  • spleen
  • cecum and appendix
  • transverse and sigmoid colon
How well did you know this?
1
Not at all
2
3
4
5
Perfectly
5
Q

describe primary retroperitoneal organs (posterior body wall behind peritoneum)

A
  • kidneys
  • ureters
  • aorta
  • IVC
  • sympathetic trunks
How well did you know this?
1
Not at all
2
3
4
5
Perfectly
6
Q

name secondary retroperitoneal organs

A
  • pancreas
  • duodenum 2nd, 3rd and 4th part
  • ascending colon
  • descending colon
  • rectum
How well did you know this?
1
Not at all
2
3
4
5
Perfectly
7
Q

which ligaments are formed from the ventral mesentery?

A
  • hepatogastric ligament
  • falciform ligament
How well did you know this?
1
Not at all
2
3
4
5
Perfectly
8
Q

name the ligaments of the greater omentum

A
  • gastrophernic ligament
  • gastrosplenic ligament
  • gastrocolic ligament: to the transverse colon and mesoclon
How well did you know this?
1
Not at all
2
3
4
5
Perfectly
9
Q

name the 2 ligaments of the lesser omentum

A
  • hepatogatric ligament contains gastric arteries
  • hepatoduodenal ligament contains portal triad
How well did you know this?
1
Not at all
2
3
4
5
Perfectly
10
Q

explain compression of hepatoduodenal ligament (aka Pringle maneuver)

A
  • clamping of this ligament prevents inflow of blood into the liver thereby reducing bleeding in the liver as a result of traumatic injury
How well did you know this?
1
Not at all
2
3
4
5
Perfectly
11
Q

perforation of a peptic ulcer of the stomach along its posterior wall will result in ______

A

perforation of a peptic ulcer of the stomach along its posterior wall will result in blood collecting in the lesser sac which could then communicate with the greater sac through the omental foramen

How well did you know this?
1
Not at all
2
3
4
5
Perfectly
12
Q

contrast the left paracolic gutter with the right paracolic gutter

A
  • the left paracolic gutter is narrower and partially obstructed by the phrenicolic ligament, therefore it is easier for infections to travel to the right subphrenic space
How well did you know this?
1
Not at all
2
3
4
5
Perfectly
13
Q

name the boundaries of the omental foramen (which is the communication between the lesser and greater sac)

A
  • anterior: hepatoduodenal ligament w/ the portal triad
  • inferior: duodenum (sup. part)
  • posterior: IVC
  • superior: caudate lobe of liver
How well did you know this?
1
Not at all
2
3
4
5
Perfectly
14
Q

describe the hepatorenal recess aka Pouch of Morrison

A

the lowest point in the peritoneal cavity where pathological fluid can collect and can be aspirated to test

How well did you know this?
1
Not at all
2
3
4
5
Perfectly
15
Q

name the spaces where fluid can collect in females

A
How well did you know this?
1
Not at all
2
3
4
5
Perfectly
16
Q

name the space where fluid can collect in males

17
Q

name the 4 sites of esophageal constriction

A
  1. junction of esophagus with pharnyx
  2. where esophagus is crossed by arch of aorta
  3. esophagus compressed by left main bronchus
  4. where it enters the stomach at lower esophageal sphincter
18
Q

name the branches of the celiac trunk

A
  • left gastric (anastomoses with right gastric at lesser curvature)
  • splenic (largest a.)
    • left gastro-omental (anastomose with RGO to supply greater curv)
    • short gastric (supplies fundus)
  • common hepatic a.
    • proper hepatic
      • gastroduodenal
        • right gastro-omental (anastomose with LGO to supply greater curv)
    • right gastric (anastomoses w/ left gastric at lesser curv)
19
Q

describe perforated ulcers

A
  • sudden and severe pain in the abdomen
  • board-like rigidity of the abdomen
  • abnormal finding of “free air” under the diaphragm
  • if ulcer has perforated into a surrounding vessel then excessive bleeding may cause hemodynamic compromise
20
Q

describe peptic ulcers

A
  • ulcers occur most commonly in the first part of the duodenum, called the duodenal bulb
  • flow of acid through the pyloric valve is directed toward the posterior wall of the bulb
  • deep ulceration can invade the gastroduodenal artery or its branches (posterior superior pancreaticoduodenal artery)
  • anterior duodenal ulcers = peritoneal cavity = peritonitis
21
Q

describe stomach perforations and where contents can leak

A
  • posterior perforation:
    • contents into lesser sac (omental bursa) can lead to spilling of gastric contents inducing peritonitis –> pancreatitis
      • if turns to the left, lesser sac
      • if turns to the right, from lesser sac to hepatorenal recess
  • anterior perforation: contents into the greater sac
22
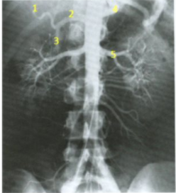
Q

name the arteries

A
  1. proper hepatic
  2. common hepatic
  3. gastroduodenal (1st branch off common hepatic)
  4. splenic
23
Q

describe the 1st part of the duodenum

A

superior: located at L1 vertebra, proximal part called the duodenal bulb, is suspended by a mesentery

24
Q

describe the 2nd part of the duodenum

A
  • descending: located along the right side of L1-L3 vertebra
    • contains the hepatopancreatic duct
    • major and minor duodenal papilla and the accessory pancreatic duct
25
describe the 3rd part of the duodenum
* horizontal: against aorta and vena cava, superior mesenteric vessels run anterior to it
26
describe the 4th part of the duodenum
* ascending: ascends along the left side of the aorta to the level of L2 at the inf. border of the pancreas * **anchored to diaphragm by ligament of Treitz**
27
describe the blood supply/venous draining/lymph drainage of the small intestine
* **superior mesenteric artery** supplies the small intestine * veins correspond to the arteries and these veins drain into the **superior mesenteric vein** * lymphatic channels from small intestine drain into **superior mesenteric nodes**
28
describe the innervation of the appendix
* the appendix is innvervated by T10, as is the periumbilical region * the referred pain to this area initially carried by visceral afferent fibers from appendix to DRG * when appendix becomes inflammed, it makes contact with the body wall (right iliac fossa)
29
describe a psoas test
* **used to diagnose appendicitis** * when the patient actively flexes their thigh at the hip, an inflammed appendix can make contact with the body wall
30
contrast small bowel vs large bowel obstruction
* small bowel = centrally located * "stacks of coins" appearance; plica semilunaris * large bowel = peripherally located * presence of haustra
31
describe importance of pectinate line
* above pectinate line = endodermal origin = visceral afferents * below pectinate line = ectodermal origin = somatic afferents
32
contrast internal vs external hemorrhoids
* internal hemorrhoidal veins = **painless since it travels with visceral afferents** * external hemorrhoidal veins = **painful since it travels with somatic afferents**
33
describe the venous drainage of the rectum
* the internal rectal plexus drains in both directions at the level of the pectinate line * _superior to pectinate line_ the int. venous plexus drains into the sup. rectal vein * _inferior to pectinate line_, the int. venous plexus drains into the inf. rectal veins
34
describe the portal and caval rectal anastomosis and lymph drainage
* lymphatics: * above pect. line = internal ilac nodes * below pect. line = superficial horizontal inguinal nodes * portal hypertension: * the portocaval anastomosis among the superior middle and inf. retal veins become varicosed
35
describe divertuculosis
* outpouching of colonic mucosa and submucosa that herniate through muscular layer * generally found in the sigmoid colon * may erode into colonic vessels causing bleeding * can lead to **diverticulitis** * obstruction of the diverticulum leading to infxn; if rupture occurs, it may lead to peritonitis/fistula formation
36
describe sigmoid volvulus
* sigmoid volvulus is a twisting of the sigmoid colon around its mesentery causing obstruction of the colon * "coffee bean" appearance
37
name arteries of the large intestine
the marginal artery (of Drummond) is an artery that **anastomoses the inferior mesenteric artery with the superior mesenteric artery**