Explica la producción, flujo y drenaje del humor acuoso.
El humor acuoso se produce en los cuerpos ciliares, fluye a través de la pupila hasta el ángulo iridocorneal y tiene dos mecanismo de absorción.
-
Explique cómo realiza la valoración del disco óptico y la excavación en una fudoscopia.
Diagnóstico:
Lampara hendidura: Espacio entre la luz y la córnea conservado.
Campimetría - seguimiento y dx número 1.
Pruebas cuantitativas del estado de grosor de las fibras del NO - HRT, OCT
Agudeza visual (no funciona para el glaucoma)
Campo visual central en casos avanzados
Medir la tensión ocular: Lámpara de hendidura.
Gonioscopia
Paquimetría: Medir el grosor de la córnea
Fondo de ojo: cambios morfológicos del nervio optico.
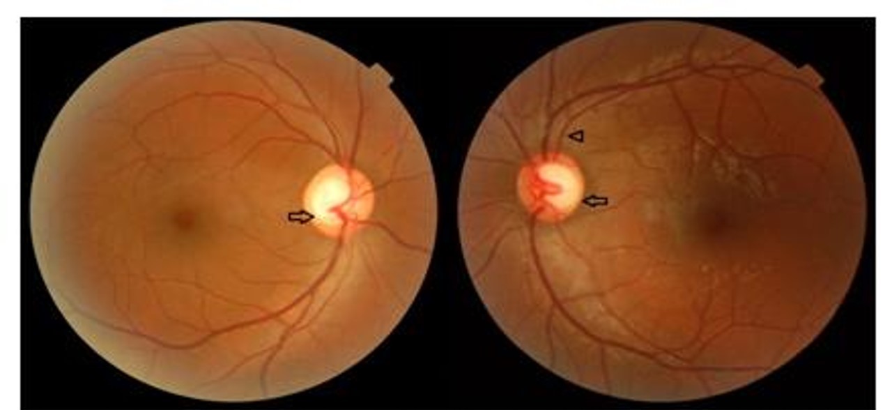
Describa los hallazgos en esta imagen de FO.

Papila glaucomatosa con disminución del anillo neurorretiniano en la zona temporal y desplazamiento nasal de los vasos. excavación de 0.7 aprox.
Explique la clasificación general de glaucoma.

¿Cuál es la forma más común de glaucoma?
El glaucoma de ángulo abierto. Corresponde al 90% de todos los casos de glaucoma.
¿Qué tipo de glaucoma se caracteriza porque su curso suele ser agudo y muy sintomático?
El glaucoma de ángulo cerrado.
Por medio de qué mecanismo los corticoides tópicos generan glaucoma de ángulo abierto?
Alteran la producción de miocilina en la malla trabecular.
Mencione FR para el desarrollo de glaucoma de ángulo abierto
¿Qué efecto tienen los glucocorticoides tópicos y sistémicos en la fisiopatología del glaucoma?
Los tópicos oftálmicos son de alto riesgo. Reducen la absorción de HA en la malla trabecular.
Los sistémicos producen acumulación de particulas en el LEC que bloquea los canales trabeculares.
En general los glucocorticoides producen reducción de la absorción de HA.
¿Qué efecto tienen los anticolinérgicos en el HA?
Producen un aumento en la PIO
Ejemplos: Tropicamida y ciclopentolanto.
¿Que efecto tiene la succinilcolina en la PIO?
La eleva en 5 - 10 mmHg
V o F. La hipermetropia tiene mayor riesgo de inducir glaucoma que la miopia.
V. Aunque ambos ojos tienen riesgo aunque tiene mayor riesgo el ojo que tiene una longitud axial.
Una pupila dilatada genera apertura o cierre del ángulo iridocorneal?
Genera cierre y los medicamentos que inducen esto como los anticolinérgicos y los simpaticomiméticos pueden precipitar el desarrollo de un GAC.
F o V. Los Antidepresivos triciclicos y los ISRS pueden producir glaucoma de angulo cerrado.
Verdadero. El mecanismo es por aumento en niveles de serotonina que produce midriasis.
Explique el principio de Imbertifck
Para una esfera ideal, seca y de paredes finas la presión en su interior es igual a la fuerza necesaria para aplanar su superficie. Sirve para medir la PIO.
¿Qué hallazgos son comunes en la campimetria de un paciente con glaucoma de ángulo abierto?
Escotomas arciformes y defectos periféricos. Puede encontrarse un escalón nasal bilateral en casos raros.
Para que sirve la graduación de shaffer y cuáles son sus valores?
Valoración de estado funcional del ángulo, su grado y riesgo de cierre

Menciona FR para GAC
Mujer
Mayor de 40 años
Asiáticos y esquimales
Síntomas de cierre irregular intermitente
HF de GAC
HC de GAC en ojo contralateral
Midriásis farmacológica
DM?
Paciente femenina de 46 años, 80 kg de peso, diabética controlada con dieta, quien consulta a urgencias por cuadro de 7 horas de evolución consistente en pérdda repentida de la visión en OI asociada a ojo rojo y dolor ocular que describe de intensidad 8/10 en la EVA. Asocia sensación de nauseas y un episodio emético de contenido alimentario. Al EF se encuentra presencia inyección conjuntival con pupila midriática media arrefléxica y edema corneal. El FO se realiza sin dilatación, con dificultad debido a dolor ocular, no se observan alteraciones en el polo posterior ni en el disco óptico. ¿Qué diagnóstico es probable en esta paciente y qué conducta médica tomaria?
Mencione los criterios diagnósticos para un ataque agudo de GAC
Más de uno de los siguientes síntomas:
Mas dos de los siguientes signos:
Mencione esquema de dósis de Acetazolamida en GAC
Acetazolamida. Iniciar bolo de 500 mg y continuar a 250 mg cada 8 a 12 horas.