*

Dermoid Tumor
-dermoid mesh

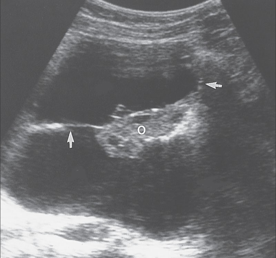
Dermoid Cyst
-tip of the iceburg

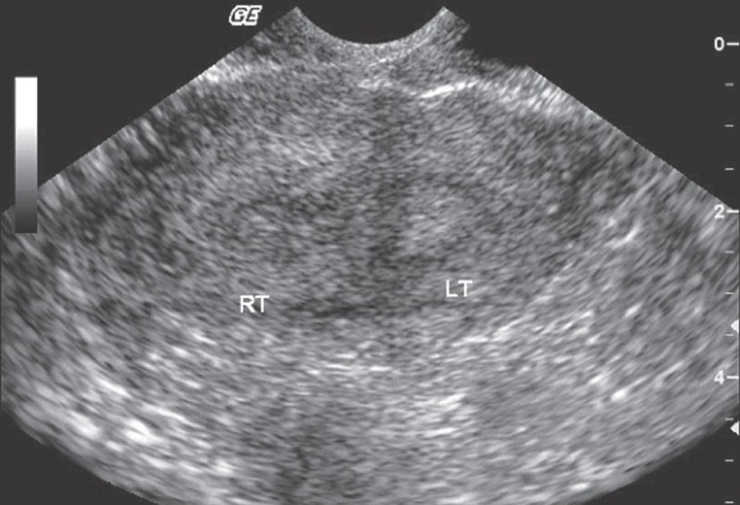
Testes
*

Dermoid Tumor
-dermoid mesh

Dermoid Cyst
-tip of the iceburg

Testes
*

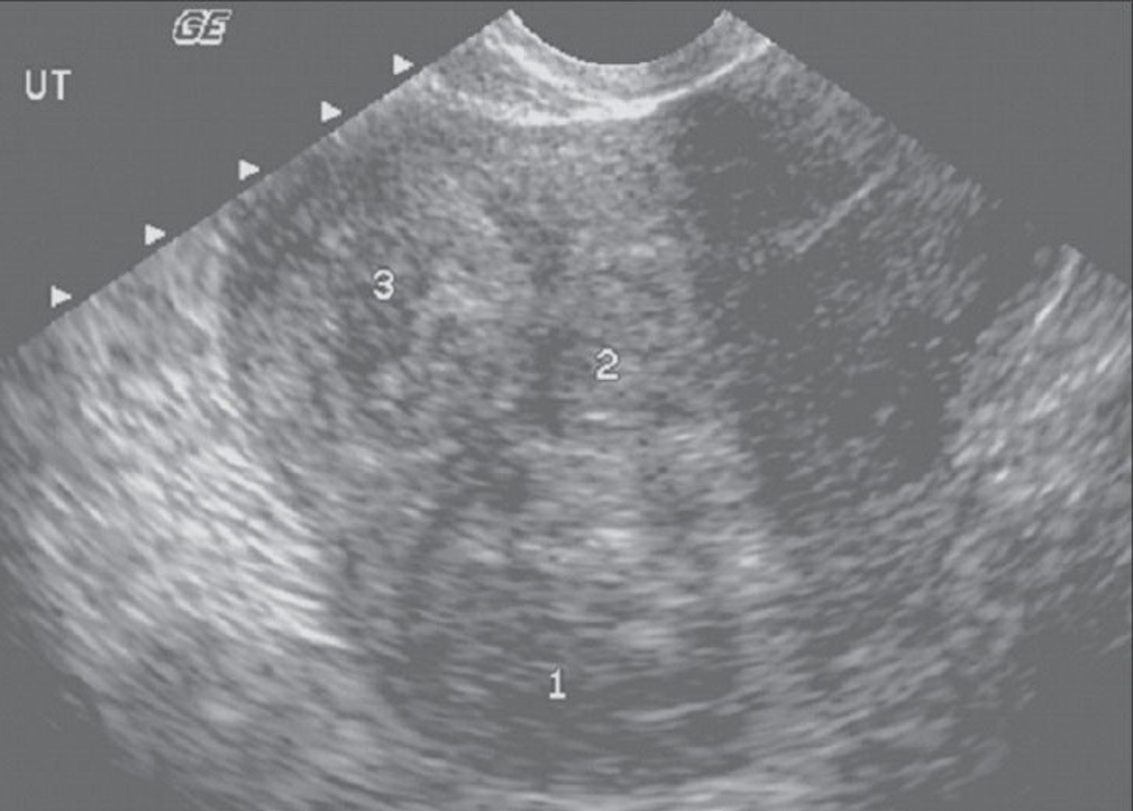
Bicornate Uterus
*

Bicornate Uterus

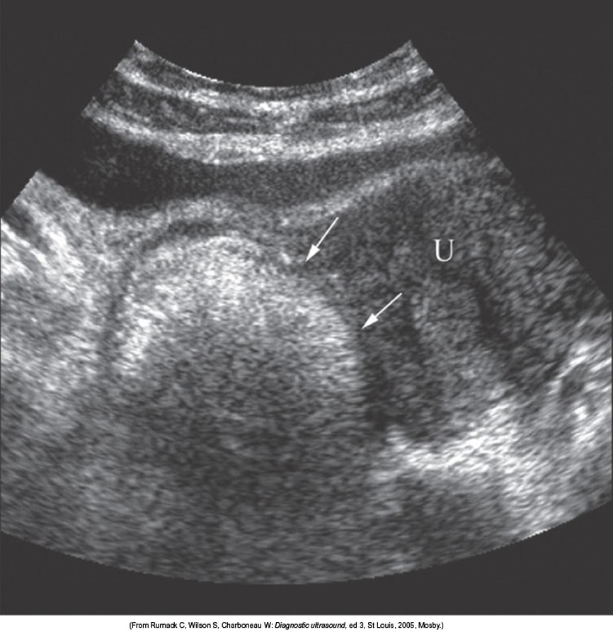
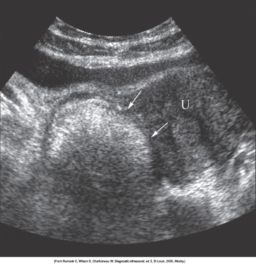
Uterus w/ Fibroids
*

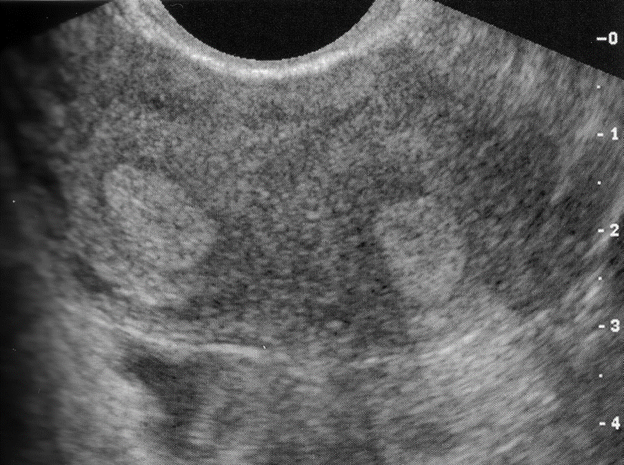
submucosal fibroids
*

Uterine Polyp
*

Uterine Polyp
(on a stalk)

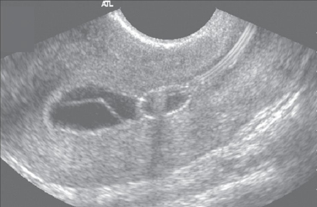
Uterine Synechia

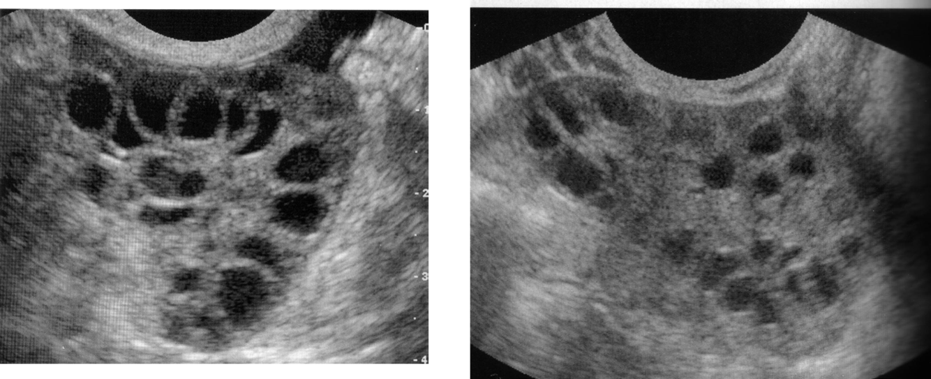
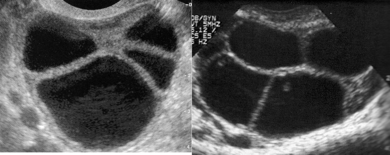
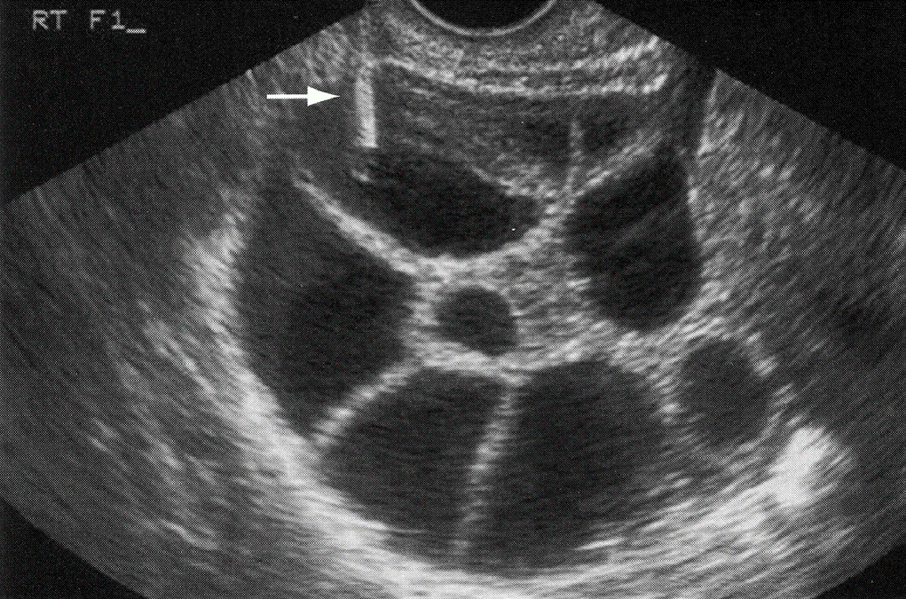
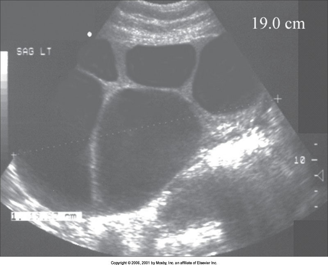
Follicles

Polycystic Ovarian Syndrome“string of pearls”
ovarian volume > 10 cm3


peritoneal inclusion cysts

endometriosis
assess thickness and echogenicity pattern
increased thickness 2-3 mm –> 12-14 mm

measuring endometrium

Ovarian Stimulation

Oocyte retrieval

US guided embryo transfer

Ovarian Hyperstimulation Syndrome

A

interstitial/ cornual