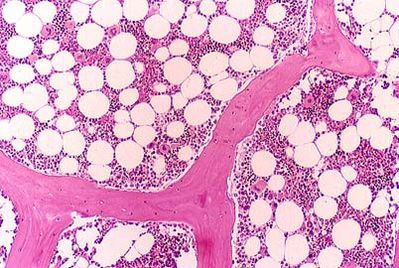
What is this?

Bone marrow
How does the spleen respond to haemorrhage and haemolytic anaemia, respectively?
What causes “nutmeg” liver?
Congestive hepatopathy, also known as chronic passive congestion of the liver, is liver dysfunction due to venous congestion, usually due to congestive heart failure. The gross pathological appearance of a liver affected by chronic passive congestion is “speckled” like a grated nutmeg kernel; the dark spots represent the dilated and congested hepatic venules and small hepatic veins. The paler areas are unaffected surrounding liver tissue. When severe and longstanding, hepatic congestion can lead to fibrosis; if congestion is due to right heart failure, it is called cardiac cirrhosis.[
What are some causes of uniform, firm splenomegaly?
Chronic stimulation, diffuse neoplasia, extramedullary haematoposeis
What are some causes of nodular, firm splenomegaly?
Nodular hyperplasia, non-vascular neoplasia/metaplasia, inflammation/abscesses
What is a leiomyosarcoma?