Hand Flashcards

(20 cards)

1
Q

What are the essential projections for a hand x-ray?

A

PA, fan lateral, and PA oblique

How well did you know this?
1
Not at all
2
3
4
5
Perfectly
2
Q

What should the patients position be for a hand x-ray? (lateral, fan lateral, and PA oblique)

A

seat the patient at the end of the radiographic table

adjust the patient’s height so that the forearm is resting on the table

How well did you know this?
1
Not at all
2
3
4
5
Perfectly
3
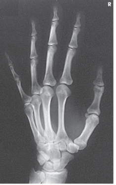
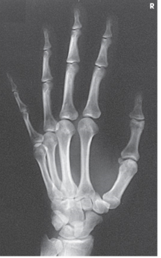
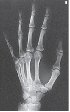
Q

What should the part position be like for a PA hand?

Hint: think forearm and digits

A

palmar surface on IR

forearm on table

extend and separate digits to prevent soft tissue overlap

center third MCP joint to IR

How well did you know this?
1
Not at all
2
3
4
5
Perfectly
4
Q

Where should the central ray enter for a PA hand?

A

perpendicular to third MCP joint

How well did you know this?
1
Not at all
2
3
4
5
Perfectly
5
Q

what should the collimation be like for a hand x-ray?

A

1 inch on all sides including 1 inch proximal to the ulnar styloid

How well did you know this?
1
Not at all
2
3
4
5
Perfectly
6
Q

-

A

anatomy from fingertips to distal radius and ulna

slightly separate digits with no sift tissue overlap

How well did you know this?
1
Not at all
2
3
4
5
Perfectly
7
Q

Evaluation criteria - What should be visible on the metacarpal and phalangeal bodies?

A

equal concavity of the metacarpal and phalangeal bodies

equal amount of soft tissue on both sides of the phalanges

equal distance between the metacarpal heads

How well did you know this?
1
Not at all
2
3
4
5
Perfectly
8
Q

evaluation criteria - what should be visible in the center of each distal phalanx?

A

the nail

How well did you know this?
1
Not at all
2
3
4
5
Perfectly
9
Q

evaluation criteria - What joint spaces should be visible in a PA hand image and what does it indicate?

A

MCP and IP joints. It indicates that the hand is flat on the IR

How well did you know this?
1
Not at all
2
3
4
5
Perfectly
10
Q

part position - what part should be on the table besides the hand?

A

the forearm

How well did you know this?
1
Not at all
2
3
4
5
Perfectly
11
Q

part position - what angle should the palm and MCP joints be in for a PA oblique hand?

A

45 degree angle

How well did you know this?
1
Not at all
2
3
4
5
Perfectly
12
Q

Where should the the central ray be for a PA oblique hand?

A

perpendicular to third MCP joint

How well did you know this?
1
Not at all
2
3
4
5
Perfectly
13
Q

What structures should be shown in a PA oblique hand?

A

anatomy from fingertips to distal radius and ulna

digits separated slightly with no overlap of their soft tissues

45 degree rotation of anatomy

How well did you know this?
1
Not at all
2
3
4
5
Perfectly
14
Q

Evaluation - What does the 45 degree rotation of anatomy do in a PA oblique hand

think metacarpal bodies 2-5 and fourth and fifth

A

it decreases the amounts of separation between metacarpal bodies 2-5

it causes the partial superimposition of the third fourth, and fifth metacarpal bases and heads

How well did you know this?
1
Not at all
2
3
4
5
Perfectly
15
Q

eval criteria - Why is it important to have the digits parallel in a PA oblique hand?

A

so that you get open IP joint spaces

How well did you know this?
1
Not at all
2
3
4
5
Perfectly
16
Q

What should the part position be like for a fan lateral hand image?

A

forearm on table with elbow flexed 90 degrees and hand resting on medial surface

17
Q

part position - what should happen to the palm of the hand and the radial and ulnar styloid processes when the hand is in a fan lateral position?

A

the ulnar and radial styloid processes should be superimposed and perpendicular to IR

the palm of the hand should be perpendicular to the IR

18
Q

Where should the central ray enter for a fan lateral hand?

A

perpendicular to the second MCP point

19
Q

what are the structures shown in a fan lateral position?

A

anatomy from fingertips to distal radius and ulna

20
Q

eval - what should happen to the distal radius and ulna in a fan lateral hand position?

A

they should be superimposed