Wrist Flashcards

(18 cards)

1
Q

What are the essential wrist projections?

A

PA
Lateral
PA oblique

How well did you know this?
1
Not at all
2
3
4
5
Perfectly
2
Q

What should the patients position be for a PA/Lateral/Oblique wrist?

A

seat the patient at the end of the radiographic table

align the shoulder, elbow, and wrist in same plane

How well did you know this?
1
Not at all
2
3
4
5
Perfectly
3
Q

What should the axilla be in contact with for the patients position for a PA wrist image?

A

the axilla should be in contact with the table

How well did you know this?
1
Not at all
2
3
4
5
Perfectly
4
Q

What should the part position be for a PA wrist?

A

wrist joint placed in center of IR and elbow flexed 90 degrees

flex digits slightly to place wrist closer to IR

How well did you know this?
1
Not at all
2
3
4
5
Perfectly
5
Q

Where should the central ray be for a PA/lateral/oblique wrist?

A

perpendicular to midcarpal area

How well did you know this?
1
Not at all
2
3
4
5
Perfectly
6
Q

What should the collimation be for a PA wrist?

A

radiation field 2.5 inches proximal and distal to wrist joint and 1 inch on the sides

How well did you know this?
1
Not at all
2
3
4
5
Perfectly
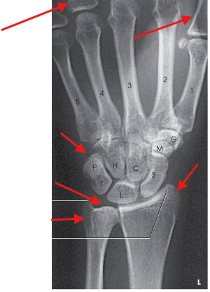
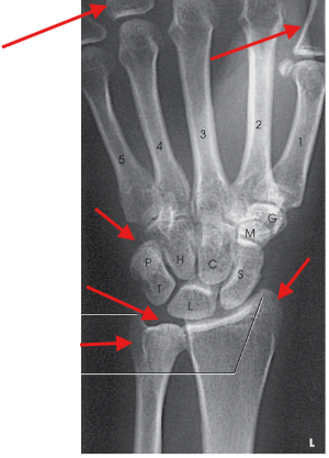
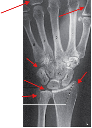
7
Q

-
-
-
-

A

Distal radius and ulna, carpals, and proximal half of metacarpals

no excessive flexion of digits to overlap and obscure metacarpals

no rotation in carpals, metacarpals, radius, and ulna

open radioulnar joint space

How well did you know this?
1
Not at all
2
3
4
5
Perfectly
8
Q

For a lateral and oblique wrist, what plane should the upper extremity be in?

A

the entire upper extremity should be in the same plane

How well did you know this?
1
Not at all
2
3
4
5
Perfectly
9
Q

What angle should the elbow be flexed in for a lateral and oblique wrist?

A

elbow flexed 90 degrees

How well did you know this?
1
Not at all
2
3
4
5
Perfectly
10
Q

What surface should the forearm and wrist be resting on for a lateral wrist?

A

on the medial surface

lateromedial projection

How well did you know this?
1
Not at all
2
3
4
5
Perfectly
11
Q

In reference to the IR, what should the radial and ulnar styloid position be like for a lateral wrist?

A

They should be superimposed and perpendicular to IR

How well did you know this?
1
Not at all
2
3
4
5
Perfectly
12
Q

Where should the central ray be for a lateral wrist?

A

perpendicular to the wrist joint (radiocarpal joint

How well did you know this?
1
Not at all
2
3
4
5
Perfectly
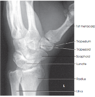
13
Q

What are the structures shown in a lateral wrist image

A

distal radius and ulna, carpals, and proximal half of metacarpals

How well did you know this?
1
Not at all
2
3
4
5
Perfectly
14
Q

What is the evaluation criteria for a lateral wrist?

A

superimposed distal radius and ulna

superimposed metacarpals

bony trabecular detail and surrounding soft tissues

How well did you know this?
1
Not at all
2
3
4
5
Perfectly
15
Q

What angle should the the wrist be for a PA oblique wrist image?

A

45 degree angle with IR

How well did you know this?
1
Not at all
2
3
4
5
Perfectly
16
Q

Where should the central ray enter for a PA oblique wrist?

A

perpendicular to midcarpal area, just distal to radius

17
Q

What are the structures shown in a PA oblique wrist image?

A

distal radius and ulna, carpals, and proximal half of metacarpals (lateral metacarpals)

18
Q

-
-
-
-
-

A

45 degree rotation of anatomy

slight overlap of the distal radius and ulna

slight interosseous space between third, fourth, and fifth metacarpal bodies

trapezium and distal half of the scaphoid without superimposition