What is the blood supply to the lunate?

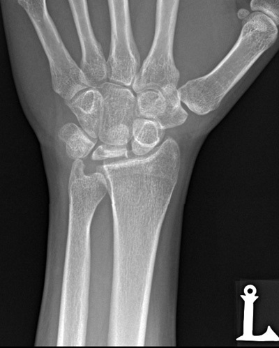
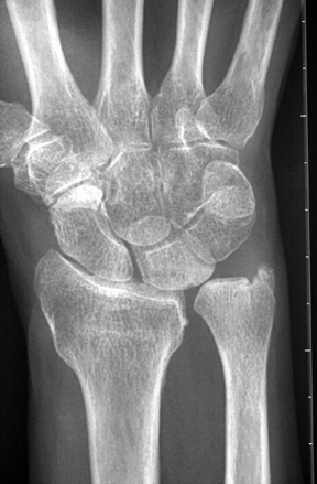
Diagnosis? Etiology?

Keinbochs
Diagnosis? Classification

Keinboch’s - Litchman Classification

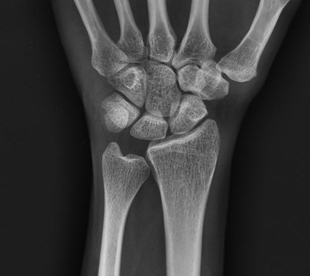
Imaging to help define collapse of lunate
<!--StartFragment-->
<!--EndFragment-->
options in the treament

What are the components of the TFCC

What are the primary stabilizers of the DRUJ
Presentation of TFCC tears

What is the most sensitive test for TFCC tear
foveal sign

Palmar Classficiation of TFCC tears

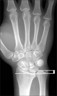
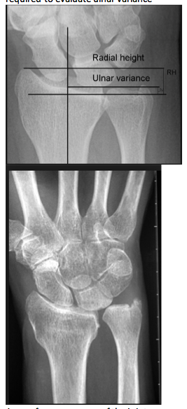
How is the load distribution in the wrist affected by ulnar variance?
<!--StartFragment-->
<!--EndFragment-->
What conditions are associated with the pathological finding of this XR? What would you expect to find on physical exam?

Ulnar Positive Variance

What conditions are associated with the pathological finding of this XR?

Ulnar Negative Variance
How does position of the forearm affect ulnar variance?
A pronated grip view is the best to determine your ulnar varience
Pathophysiology of altered ulnar variance
<!--StartFragment-->
<!--EndFragment-->
Landmarks for wrist scope portals

Indications for wrist arthroscopy
<!--StartFragment-->
<!--EndFragment-->
Complications associated with wrist arthroscopy
<!--StartFragment-->
overall complication rate is 1-2%
<!--EndFragment-->
What are the common wrist extensor tendons that get injured during wrist athroscopy
most commonly EPL and EDM due to improper portal placement
What portals do you need to be most concerned about neurovascular injury?

Differential for DRUJ pain
<!--StartFragment-->
DRUJ instability or arthritis
TFCC tear
LT ligament tear
pisotriquetral arthritis
ECU tendonitis or instability
Ulnocarpal impaction
<!--EndFragment-->
History and physical for a patient with ulnar sided wrist pain?

Radiographic work-up for ulnar sided wrist pain

Patient with ulnar sided wrist pain. Young. Failed non-op. Options for treatment?

Ulnocarpal Abutment
