What are the factors associated with poor outcome in calcaneus fractures
age > 60
obesity
manual labor
workers comp
smokers
bilateral calcaneal fxs
vasculopathies
men
What are the factors that increase risk of requiring subtalar fusion
<!--StartFragment-->
Workers comp
Heavy labour
Bohler’s <20
<!--EndFragment-->
what is the most frequent tarsal fracture
calcaneus

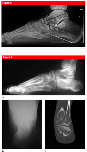
What are the typical radiographic measurements of a calcaneus fracture

What is the sander’s classification of calcaneus fractures

What are indications for non-surgical treatment of a calcaenus fracture
<!--StartFragment-->
Cast immobilization with NWB for 10-12 weeks
Early ROM once swelling decreases, can start partial WB at 6 weeks if going well
<!--EndFragment-->
What are options of surgical fixation of calcaneus fractures

What are the common complications with calcaneus ORIF?
<!--EndFragment-->
<!--EndFragment-->
What deformity can you get with calcaneal malunion?

What is the classification system for calcaneus malunion
Stevenson and saunders

What are associated with subtalar dislocations
<!--StartFragment-->
<!--EndFragment-->
What are the blocks to reduction of a subtalar dislocation
<!--StartFragment-->
medial dislocation - reduction blocked by
peroneal tendons
extensor digitorum brevis
talonavicular joint capsule
lateral dislocation - reduction blocked by
posterior tibialis tendon
flexor hallucis longus
flexor digitorum longus
<!--EndFragment-->
What is the treatment of a subtalar dislocation?
Closed reduction
Open if unable to get closed
Cast/NWB for 4-6 weeks
What is the long term risk of OA for subtalar dislocation
<!--StartFragment-->
ankle joint 89% (31% symptomatic)
subtalar joint 89% (63% symptomatic)
midfoot 72% (15% symptomatic)
<!--EndFragment-->
What is the blood supply to the talus

What is the best view to assess the talar neck
canale view

What is the hawkins classification

What are the approaches and fixation generally used for a talar neck fracture

What is Hawkin’s sign

What are complications associated with talar neck fractures?

What is the option for exposure if there is comminution of the talar body
Medial malleolus osteotomy

What is your landmark to determine talar neck or talar body
lateral process
What is your approach to lateral process fractures

What is your approach to a posterior process fracture
