A 30-year-old woman comes to the office because of pain and swelling of the right radial/distal forearm. The pain worsens with ulnar deviation of the wrist over a clasped thumb. Immobilization and a corticosteroid injection have failed, and surgical release is planned. Which of the following anatomic findings is most likely to have contributed to this patient’s condition?
A) Absent extensor pollicis brevis
B) Combined first and second compartments
C) Distal muscle belly on extensor pollicis brevis tendon
D) Multiple slips of abductor pollicis longus
E) Septum between abductor pollicis longus and extensor pollicis brevis
The correct response is Option E.
There is considerable variability in the anatomy of the first dorsal compartment of the wrist; this is particularly true when considering the presence or absence of a septum in the compartment. The significance of these variations is that they may predict failure of steroid injections to resolve de Quervain disease and must be considered when releasing the compartment surgically to ensure that a complete release of all tendons is performed.
While studies vary, based on methodology of imaging, cadaveric dissection, or surgical findings, there is consistency that septa are more common in patients presenting with de Quervain disease than in the general population.
Studies have shown no association between the number of APL slips and de Quervain disease.
2018
A 53-year-old woman comes to the office after undergoing fixation of a humerus fracture 17 months ago. Physical examination shows inability to extend the wrist, fingers, and thumb. This has been present since the time of injury, without any recovery of function. Tendon transfers are planned. Transfer of which of the following muscles is most appropriate for restoration of wrist extension?
A) Brachioradialis
B) Flexor carpi ulnaris
C) Flexor digitorum profundus
D) Palmaris longus
E) Pronator teres
The correct response is Option E.
The most appropriate muscle to transfer for restoration of wrist extension is the pronator teres.
The radial nerve can be injured as a result of humerus fracture and/or surgery as it crosses the spiral groove of the humerus. The resultant radial nerve palsy will cause inability to extend the wrist, fingers, and thumb.
Reinnervation of the muscle ideally should be completed within 12 to 18 months after injury to allow for recovery. In this patient, who has high radial nerve palsy after humerus fracture, the time following injury has been too long, so nerve repairs or nerve transfers are not a viable option, and tendon transfer is the procedure of choice.
Tendon transfer involves the use of a noncritical or expendable donor tendon to provide a missing function. The tendon to be transferred should have adequate strength and range of motion to provide the desired function. Ideally the tendon used should have synergistic action and allow for tenodesis to facilitate reeducation.
The pronator teres is a median nerve–innervated muscle that has adequate power and excursion to provide wrist extension. It is typically transferred to the extensor carpi radialis brevis (as opposed to the extensor carpi radialis longus) in these cases to provide for more centrally oriented wrist extension.
The brachioradialis is a radial nerve–innervated muscle and will not be functioning in this patient who has a high radial nerve palsy. In low radial nerve palsies, it can be used to restore thumb extension. The brachioradialis can also be used to restore finger or wrist extension, as well as finger or thumb flexion in the appropriate patient.
The flexor carpi ulnaris would have adequate power and excursion, but it is not synergistic and it would be difficult to learn to use a wrist flexor to power wrist extension, as it provides an opposite function. This is typically used to restore finger extension, as it would take advantage of the tenodesis effect.
The flexor digitorum profundus would be synergistic with wrist extension, but it does not have independent muscle bellies and its use would require sacrifice of important finger flexor activity.
The palmaris longus does not have sufficient power to provide for wrist extension. It can be used as a transfer for thumb extension.
2018
Which of the following Zone II four-strand flexor tendon repair configurations demonstrates the greatest overall fatigue strength and gap resistance in biomechanical testing?

The correct response is Option A.
Increasing the suture caliber has shown to increase the force in static testing and fatigue strength in dynamic testing. The use of 3-0 polyethylene terephthlate fiber suture increased the fatigue strength compared with 4-0 sutures by two to three times.
The placement of the suture dorsally has been shown to increase the strength of the repair by two to four times, and is more environmentally favored because of a decreased risk for interference with the synovial fluid.
It has been shown that locking loops improve force and gap resistance compared with grasping loops in flexor tendon repair. Statistically significant improvement was observed with the locking loop technique for ultimate and gap strength values using 2-0 core suture and ultimate strength values using 3-0 core suture.
2018
An 18-year-old female gymnast comes to the office because of the sudden onset of pain, swelling, and ecchymosis of the right ring finger that began 3 days ago while she was practicing hand-only climbing on a rock-wall. Physical examination shows tenderness over the palmar aspect of the finger at the proximal phalanx. Isolated flexion at the distal interphalangeal joint and flexion of the digit at the proximal interphalangeal joint while the remaining digits are held in hyperextension are intact. The patient can fully flex and extend the finger, and the proximal interphalangeal joint is stable to stress. X-ray study is shown. Which of the following is the most likely cause of the findings in this patient?
A) Avulsion of the flexor profundus tendon insertion
B) Dislocation of the proximal interphalangeal joint
C) Rupture of the A2 pulley
D) Stenosing tenosynovitis
E) Volar plate avulsion fracture

The correct response is Option C.
Stenosing tenosynovitis (trigger finger) typically results in pain over the metacarpophalangeal (MCP) joint associated with crepitation, clicking, or locking of the digit with altered motion during the flexion-extension arc.
Dislocation of the proximal interphalangeal (PIP) joint could account for the symptoms; however the imaging shows the joint to be congruent and the exam did not reveal any instability.
An injury originally identified in rock climbers, rupture of the A2 pulley has been increasingly recognized in other sports and activities. The forceful flexion of the flexor profundus and superficialis tendons with the PIP joint flexed 90 degrees and the distal interphalangeal (DIP) joint extended (the “crimp” position) placed loads exceeding the tolerance of the A2 across the palmar PIP joint, resulting in rupture of the underlying pulley. Treatment for an isolated pulley injury includes rest, ice, anti-inflammatory drugs, and external support through use of a ring splint.
Avulsion of the profundus tendon (jersey finger) typically presents with loss of flexion of the DIP joint. Pain may be present both at the avulsion site and over the retracted end of the tendon. This patient’s examination shows the profundus function to be intact.
Volar (palmar) plate avulsion injuries present with pain and swelling at the PIP joint, but the joint will often be painful to stress in hyperextension and potentially, if the injury extends dorsally into the collateral ligaments, it may exhibit instability. X-ray imaging often demonstrates a small bony avulsion fragment (absent in this patient) along the palmar PIP joint.
2018
A 62-year-old woman is evaluated for acute rupture of an extensor tendon after undergoing closed treatment of a nondisplaced distal radius fracture 6 months ago. The tendon most likely to be involved is located in which of the following extensor compartments?
A) First
B) Second
C) Third
D) Fourth
E) Fifth
The correct response is Option C.
Spontaneous rupture of the extensor pollicis longus (EPL) tendon is reported to occur in approximately 0.3 to 5% of nondisplaced or minimally displaced distal radius fractures, but it can also occur without trauma or in patients with inflammatory conditions such as rheumatoid arthritis. This is thought to arise from a loss of vascularity and atrophic changes in the compartment, and, because the tendon substance is usually degenerated, primary repair of the tendon is usually not possible. Tendon transfer using the extensor indicis proprius is the standard of care. Spontaneous rupture of other extensor tendons can occur in association with other conditions (e.g., rheumatoid arthritis), but would be exceedingly uncommon in the clinical scenario presented. The EPL passes through the third extensor compartment. Extensor tendon-compartment relationships include the following:
First - abductor pollicis longus, extensor pollicis brevis
Second - extensor carpi radialis longus, extensor carpi radialis brevis
Third - extensor pollicis longus
Fourth - extensor digitorum communis, extensor indicis proprius
Fifth - extensor digiti minimi
Sixth - extensor carpi ulnaris
2018
A 25-year-old man who is a graduate student comes to the office for evaluation of the right ring finger 4 weeks after sustaining an axial impact. A diagnosis of soft-tissue mallet finger is noted. Which of the following is the most appropriate treatment in this patient?
A) Arthrodesis
B) Orthosis
C) Pinning in extension
D) Tendon grafting
E) Terminal tendon repair
The correct response is Option B.
Most of these injuries even after a month will respond to splinting of the DIP joint in extension for 6 weeks. Any residual extension lag is largely an aesthetic concern and rarely will require further treatment. The operative treatment of soft-tissue mallet injury may lead to unacceptable complications while splinting may lead to skin irritation but little else.
The preferred treatment at 4 weeks is closed reduction and splinting. Surgical treatment may be considered for more chronic injury greater than 3 months. Pinning in extension may be appropriate for a small subgroup of patients with work-related inability to wear an orthosis (such as surgeons).
2017
A 60-year-old man sustained Zone II laceration to the left long finger, which severed both flexor tendons. A photograph is shown. Primary repair was performed with a 3-0 cruciate core suture within 2 weeks of injury. He is scheduled to undergo rehabilitation with active motion protocol. Compared with passive motion protocols, an active motion protocol is most likely to present which of the following risk factors and outcomes?
A) Equal risk of rupture and equal final range of motion
B) Higher risk of rupture and decreased final range of motion
C) Higher risk of rupture and increased final range of motion
D) Lower risk of rupture and decreased final range of motion
E) Lower risk of rupture and increased final range of motion

The correct response is Option C.
Many techniques for primary flexor tendon repair have been described. All methods involve a core suture to bear the load of the repair with or without an epitendinous suture. Multiple studies have shown that more strands crossing the repair site and/or larger diameter of each strand increases the strength of the repair. Two-strand repairs cannot withstand early active rehabilitation protocols; repairs of four strands or greater, including a cruciate repair as done in the patient above, can tolerate an early active motion rehabilitation protocol.
Trumble and Seiler’s studies compare passive motion protocols and active motion protocols to each other for risk of rupture and incidence of deceased range of motion at final measurement. Both studies identified active motion protocols incurred a higher occurrence of rupture but a lower incidence of decreased range of motion compared with the passive protocols.
2017
A 54-year-old right-hand–dominant man comes to the office because of a 1-year inability to fully extend the right thumb after sustaining a laceration. Medical history includes no abnormalities.The patient reports being unable to grasp large objects. Hand and wrist x-ray studies show no abnormalities. An extensor pollicis longus (EPL) tendon injury is suspected. Exploration is planned. Which of the following additional interventions is the most appropriate next step in management?
A) Primary four-strand repair of the EPL tendon
B) Repair of the EPL tendon with a palmaris longus tendon interposition graft
C) Tenorrhaphy of the extensor pollicis brevis tendon and EPL tendon
D) Transfer of the extensor indicis proprius to the EPL tendon
E) Transfer of the palmaris longus tendon to the EPL tendon
The correct response is Option D.
Extensor indicis proprius (EIP) transfer is the most common procedure for the treatment of chronic ruptures of the extensor pollicis longus (EPL) tendon. The EPL tendon is prone to rupture from synovitis and friction at Listers tubercle. Since these are identified months after the original injury, primary repair is not possible secondary to retraction of the tendon and/or atrophy of the tendon ends. The EIP is the preferred tendon for the transfer because it has an appropriate direction and excursion compared with the EPL. This tendon transfer has demonstrated excellent outcomes in previous studies. Tenorrhaphy of the EPL to the extensor pollicis brevis tendon would not allow full thumb extension.
Given the chronicity of this injury, sufficient myostatic contracture has occurred to render tendon interposition grafting inferior to EIP tendon transfer.
2017
A 22-year-old man comes to the office because of injury to the right index finger flexor tendons in Zone II. During open repair, which of the following flexor tendon pulleys arise from volar plates?
A) A1, A2, and A3
B) A1, A3, and A4
C) A1, A3, and A5
D) A2 and A4
E) A4 and A5
The correct response is Option C.
The flexor tendons are bound within a fibro-osseous sheath, with pulleys essential to prevent bowstringing (and consequent poor force transfer). The pulley system includes both annual and cruciate pulleys. Pulleys A2 and A4 attach to bone. Pulleys A1, A3, and A5 are attached to the volar plates at their respective joints. The strength of pulleys, in order from strongest to weakest, are the A2, A1, and A4 pulleys. The pulleys attached to bone have a higher breaking strength compared with those attached to the volar plates.
2017
A 53-year-old woman comes to the office because of pain of the dorsum of the left wrist and thumb for the past 3 months. The patient reports that pain occurs with activity. Physical examination shows pain is increased with passive wrist ulnar deviation with the thumb held in the palm and during resisted extension of the thumb metacarpophalangeal (MCP) joint. Axial loading of the thumb does not reproduce pain. An x-ray study is shown. Which of the following is the most likely diagnosis in this patient?
A) Basal joint arthritis
B) de Quervain tenosynovitis
C) Intersection syndrome
D) Scaphotrapezial arthritis
E) Stenosing tenosynovitis

The correct response is Option B.
Pain in the dorsal radial aspect of the wrist can be caused by a variety of conditions; a thorough history and physical examination are key to elucidating the correct diagnosis. In the scenario presented, the patient has a positive Finkelstein test along with reproduction of the pain with resistance to the extensor pollicis brevis muscle. These are classic findings of de Quervain tenosynovitis. The patient’s physical examination points to the first dorsal compartment of the wrist as a source of pathology rather than basal joint or scaphotrapezial arthritis. Radiographs have not been shown to correlate with symptomatology in basilar joint arthritis. Intersection syndrome is a tendinopathy between the intersection of the tendons of the first and second dorsal compartments. The pain of intersection syndrome is generally found more proximally in the forearm and is also increased with resisted wrist extension. Digital flexor tenosynovitis or trigger finger is an inflammatory tendinopathy of the flexor pollicis longus tendon and pain is generally reproduced with resisted thumb flexion.
2017
A 50-year-old man who is a biathlete comes to the office because of weakness and pain when gripping or pinching with the left hand. Medical history includes a sprain to the left thumb with forced radial abduction 1 year ago. Physical examination shows a difference in stability of the right thumb and the left thumb during stress testing. Photographs are shown. Which of the following is the most appropriate treatment for this patient’s metacarpophalangeal (MCP) joint injury?
A) Direct repair of the collateral ligament
B) Graft reconstruction of the collateral ligament
C) Occupational therapy for strengthening of the adductor muscle
D) Placement of a short opponens splint for 6 weeks
E) Transfer of the extensor indicis proprius tendon to the adductor insertion

The correct response is Option B.
Injuries to the ulnar collateral ligament (UCL) of the thumb metacarpophalangeal joint (skier’s thumb Injury) can be successfully treated with 4 weeks of immobilization provided that the injury results in either no instability, or limited (<30 to 35-degree laxity under load, or <10 to 15-degree difference from the contralateral UCL under load) instability. The photographs provided show 40 to 45 degrees of laxity, which differs substantially from the contralateral (<10 degrees) thumb. Treatment of this injury requires operative intervention. Incomplete injuries, or injuries with only mild symptomatic laxity, may benefit from occupational therapy. The adductor muscle provides a stabilizing force across the metacarpophalangeal joint and has been a target for treating mild injuries that result in some degree of instability. This would be insufficient for treating this complete rupture. In a similar fashion to strengthening the adductor muscle, addition of another force directed at providing ulnar adduction at the metacarpophalangeal joint has been proposed. As in the case of adductor strengthening, however, this would be inadequate to treat the complete rupture apparent in the clinical photos. When encountered acutely, unstable, complete ruptures of the ulnar collateral ligament of the thumb metacarpophalangeal joint are optimally treated with operative repair. Four to six weeks following the injury, direct repair may be difficult if not impossible. In this patient, the presentation for treatment occurs one year after the initial injury, making repair of the UCL extremely unlikely. On operative exploration in this patient, only a shortened stump of UCL remained attached to the metacarpal head. Chronic unstable injuries of the thumb metacarpophalangeal (MCP) joint ulnar collateral ligament (UCL) may be symptomatic via weakened grip and pinch as well as pain. Treatment in this setting will be dictated by patient needs and by the status of the joint. Patients requiring mobility and lacking arthritic degeneration at the MCP joint are candidates for UCL reconstruction. Reconstruction will typically be accomplished by use of a tendon graft, either palmaris or plantaris, placed through bone tunnels and secured through one of multiple methods (interference screws, periosteal sutures, bone anchors). Given this patient’s presentation one year out from the initial injury, reconstruction is the best option.

A 60-year-old woman presents with weakness and inability to fully extend the right dominant thumb at the interphalangeal joint. History includes a Colles fracture of the right wrist 6 months ago. Management of the fracture included cast immobilization. On physical examination, the patient’s thumb is at 30 degrees of flexion. Finger metacarpophalangeal joint active extension is normal. The patient cannot extend or lift the thumb with her hand flattened on a table. With the thumb adducted, she can extend it to neutral. All thumb joints are supple and have full range of passive motion. Which of the following is the most likely cause of this patient’s inability to extend the thumb?
A) Intersection syndrome
B) Radial nerve palsy
C) Rupture of the extensor pollicis longus
D) Saddle deformity of the basal joint
E) Trigger thumb with locking
The correct response is Option C.
Extensor pollicis longus (EPL) rupture is most commonly caused by late effects of distal radius fractures. Devascularization is the most likely cause leading to attritional rupture. Rupture can present 2 weeks to 11 months after fracture; the average is 7 weeks. This patient can extend her thumb when it is adducted because of connections of the intrinsics with the dorsal apparatus. Tendon transfer of the extensor indicis proprius to distal EPL stump is the first-line treatment.
Other causes of EPL rupture include synovitis from rheumatoid arthritis and lupus causing friction at Lister’s tubercle, steroid injections, excessive abnormal wrist motion, bony spurs following distal radius and scaphoid fractures, scaphoid nonunion, misplaced external fixator pin, and subluxation of the distal ulna.
A trigger thumb would more likely have pain and tenderness on physical examination along the volar flexor sheath. A locked thumb would not have passive extensibility or active extension with adduction.
Saddle deformity is seen on physical examination in advanced osteoarthritis of the basal joint. Interphalangeal joint flexion of the thumb is caused by zigzag longitudinal collapse with hyperextension of the metacarpophalangeal joint.
Intersection syndrome is characterized by pain and tenderness along the radial side of the forearm where the abductor pollicis longus and extensor pollicis brevis muscles intersect.
Radial nerve palsy would not only affect the thumb interphalangeal joint.
2016
A 19-year-old college baseball player comes for evaluation 4 weeks after he jammed and dislocated the long finger of his dominant right hand while sliding into home plate. His coach reduced the dislocation on the field. The patient says he has noticed increasing pain at the site of the injury in the past two days. Physical examination shows edema of the proximal interphalangeal (PIP) joint of the long finger. Lateral stress shows angulation of 30 degrees. X-ray study shows a congruous joint with radial side widening of 1 mm. Which of the following is the most appropriate management?
A) Buddy taping of the long finger to the index finger
B) Immobilization in a dorsal extension block splint at 30 degrees
C) Immobilization with a volar short arm splint
D) Kirschner wire fixation of the PIP joint for 3 weeks
E) Open repair of the radial collateral ligament
The correct response is Option E.
The goal of treatment is to restore normal finger function; prevent pain, stiffness, and traumatic arthritis; and to restore activities of daily living. This patient has a complete tear of the radial collateral ligament of the proximal interphalangeal (PIP) joint of the long finger. Widening of the joint space indicates probable interposition of ligament fibers. Angulation greater than 20 degrees is associated with poor prognosis. Complete tears with subluxation and interposition require surgical repair.Most collateral ligament ruptures occur at the proximal attachment to the middle phalanx.
Partial tears can be treated with nonsurgical and conservative methods. Splinting, buddy taping, extension block placement, and temporary fixation with a Kirschner wire would be incorrect.
2016
A 24-year-old woman comes for evaluation 6 days after sustaining a jamming injury to the long finger of the left hand with resultant central slip disruption and acute boutonnière injury. X-ray studies are negative for fracture or dislocation. Treatment with splint immobilization is planned. Which of the following is the most appropriate position of the finger for application of the splint?
A) Distal interphalangeal (DIP) joint extended, proximal interphalangeal (PIP) joint extended
B) DIP extended, PIP free
C) DIP flexed, PIP flexed
D) DIP flexed, PIP free
E) DIP free, PIP extended
The correct response is Option E.
The most appropriate position for splint immobilization of an injury leading to a boutonnière deformity is with the distal interphalangeal (DIP) joint free and the proximal interphalangeal (PIP) joint extended.
The patient sustained a central slip disruption of the long finger of the left hand, resulting in an acute boutonnière deformity. Patients with boutonnière deformity have flexion at the PIP joint and hyperextension at the DIP joint. There is tearing of the extensor tendon from its insertion at the base of the middle phalanx, resulting in decreased ability to extend the finger at the PIP joint. As a result, the lateral bands fall volar to the axis of rotation at the PIP joint, changing their force from extension to flexion at the PIP joint. The extensor force of the lateral bands is then directed toward the terminal tendon at the DIP joint, resulting in hyperextension of the DIP joint.
Splint immobilization of the PIP joint in extension and the DIP joint free to flex permits healing of the central slip back to the middle phalanx. Flexion of the DIP joint through movement will tend to cause the lateral bands to migrate dorsally again, reversing the effect of the boutonnière deformity. When the lateral bands move dorsal to the axis of rotation at the PIP joint, their extensor force is restored and the DIP hyperextension resolves.
Splint immobilization of both joints in extension will not encourage the dorsal migration of the lateral bands. Splint immobilization with the DIP joint in extension and the PIP joint free is recommended in zone 1 extensor tendon injuries (i.e., mallet finger).
2016
A 47-year-old man undergoes repair of a laceration to the extensor tendon of the long finger at the dorsum of the left hand. He wishes to restore function of the hand as quickly as possible. Which of the following is the most appropriate course of splint immobilization?
A) Continuous extension splint immobilization for 4 weeks
B) Continuous extension splint immobilization for 6 weeks
C) Dynamic extension splint immobilization for 6 weeks
D) Relative motion extension splint immobilization for 6 weeks
E) No immobilization
The correct response is Option D.
The most appropriate treatment is relative motion extension splint immobilization for 6 weeks.
The relative motion extension splint allows immediate controlled active motion. Placing the injured tendon in 15 to 20 degrees less motion than the adjacent tendons results in significantly less force. A splint is fashioned placing the repaired extensor tendon of the long finger in 15 to 20 degrees more metacarpophalangeal extension than the neighboring extensor tendons. Full interphalangeal joint range of motion is permitted. The finger splint is worn with a wrist component for the first 3 weeks (which may not be necessary). The finger component is used for only 3 additional weeks. This allows for earlier recovery of motion and return to work.
Without immobilization, the repair is at increased risk for rupture and failure. Extensor tendon injuries have typically been treated with continuous extension splint immobilization for 4 to 6 weeks. Although this would be a reasonable option, use of the relative motion extension splint allows immediate movement and decreases the stiffness that may result from immobilization. This may be preferred in children or noncompliant patients.
Dynamic extension splinting is a possibility and may be useful in patients who have an extensor pollicis longus injury or in patients in whom all six finger extensors are severed. Relative motion splinting is not an option in these cases.
2016
A 42-year-old woman comes to the emergency department after sustaining a deep laceration to the dorsal aspect of the right forearm with broken glass. She reports pain on attempted extension of the middle and ring fingers of the right hand. On physical examination, the patient cannot extend her fingers beyond the neutral position with her right hand held flat on a table. She is able to extend all digits completely at the interphalangeal joints in all positions of the hand. Which of the following is the most likely cause of these findings?
A) Extrinsic extensor tendons are cut completely with intact intrinsic muscles
B) Extrinsic extensor tendons can extend the digits despite the laceration injury
C) Juncturae tendinum are extending the digits
D) The patient has an accessory extensor tendon
E) The patient has partial extensor tendon lacerations only
The correct response is Option A.
Extension of the interphalangeal joints (IP) and extension of the metacarpophalangeal joints (MCP) to the neutral position after an injury to the forearm extensor tendons is possible through the action of the lumbricals and dorsal interossei (intrinsic hand muscles). The extrinsic extensor tendons alone are responsible for extending the metacarpophalnageal joints beyond neutral.
The role of the juncturae tendinum is to limit the independent extension of the ulnar three digits. The juncturae tendinum will allow for some finger extension with an isolated single tendon injury at the wrist or dorsal hand but would not maintain extension in all fingers.
No meaningful accessory extensor tendon exists.
A patient with partial extrinsic tendon lacerations may present with pain on attempted extension but extension beyond neutral would be intact.
2016
A 35-year-old woman is evaluated 2 months after repair of volar lacerations to the dominant ring and long fingers at Zone III in both digits. Physical examination shows both fingers have no active flexion. There is normal passive motion and normal sensation at the fingertips of the affected digits. Surgical exploration shows transsection of the tendons at both levels and 2-cm segmental tendon loss, but no tendon sheath scarring. Which of the following is the most appropriate management?
A) One-stage tendon grafting
B) Primary tendon repair
C) Primary tendon repair with z-lengthening
D) Superficialis to profundus tendon transfer
E) Two-stage tendon grafting
The correct response is Option A.
Several conditions must be met for single-stage tendon grafting to be successful. These include a hand and finger that have good passive motion, a well-healed wound with minimal scarring, and a digit that has intact nerves and arteries. This is a Boyes grade 1 injury.
If the grade of injury is greater than 1, two-stage grafting should be considered with implantation of a silicone rod and additional treatment to manage the other conditions to increase motion and function, such as joint release or reconstruction for loss of motion, nerve repair/reconstruction, and pulley reconstruction.
A primary repair is not going to be possible in this instance. Two-stage tendon grafting should be considered but a single stage graft can have excellent results with only one procedure. A tendon transfer is not appropriate for this situation.
2016

A 35-year-old man has clawing of all four fingers of the right hand 2 years after repair of a forearm laceration that injured the median and ulnar nerves. Photographs are shown. Both nerves were repaired shortly after the injury. All fingers have full passive range of motion. An extensor carpi radialis longus transfer is planned to correct the clawing of all four fingers. Which of the following donor sites is most likely to provide sufficient tendon graft for this procedure?
A) Abductor digiti quinti
B) Extensor digitorum longus
C) Flexor digitorum superficialis of the long finger
D) Palmaris brevis
E) Pronator teres
The correct response is Option B.
The Brand transfer uses the extensor carpi radialis longus or brevis as a donor motor to correct clawing of the fingers. It can be used to correct ulnar (ring and small finger) clawing or clawing of all four fingers. In either case, a tendon graft is needed to bridge the gap between the native distal limit of the extensor carpi radialis longus or brevis (on the index or long finger metacarpal base, respectively) to the transfer insertion on the lateral band at the proximal phalanx level. The transfer can be passed through the interosseous membrane in the forearm and then through the carpal tunnel or the intermetacarpal spaces in the hand. The transfer must pass volar to the deep transverse metacarpal ligament to have the correct vector of pull.
The extensor digitorum longus provides four tendon slips distally, each with its own paratenon, but has one tendon coming off the muscle proximally. A photograph is shown. There is minimal donor site morbidity in the foot due to the retained function of the extensor digitorum brevis.
Palmaris brevus has no tendon and cannot be used as a graft donor.
Abductor digiti quinti can be used as a donor muscle for thumb opposition transfer, most commonly in children. It has a very short tendon and cannot be used for anti-claw transfers. In addition, due to this patient’s injury, the abductor digiti quinti is likely denervated and would not be functional for a transfer.
Flexor digitorum superficialis (FDS) of the long finger can be used for anti-claw transfers. The tendon can be split along the plane of Camper’s chiasm to create two distal slips for insertion. It is well suited as an anti-claw transfer in patients with isolated ulnar nerve palsy. The FDS tendon cannot be split into four slips for insertion, as would be needed in this patient, and the power of one FDS muscle is insufficient to correct clawing in four fingers. In addition, the FDS resides superficial to the median nerve. In a patient who sustained a forearm laceration with injury to the median nerve, the overlying FDS is also likely to have been injured.
Pronator teres is the most common donor motor to restore wrist extension in patients with radial nerve palsy. It has a very short tendon and is not used for anti-claw transfers.
2016

A 38-year-old woman comes for evaluation 7 weeks after undergoing a Zone II flexor tendon repair of the left long finger. She reports feeling a “pop” at home and is now unable to flex the finger at the proximal or distal interphalangeal joints. On examination today, the finger is swollen with moderate stiffness. Flexor tendon rupture is suspected. During operative exploration, ruptures of the flexor digitorum superficialis (FDS) and flexor digitorum profundus tendons are noted. There is a 1.5-cm gap of the profundus tendon and scarring at the A2 pulley. Which of the following is the most appropriate next step in management?
A) Excision of the flexor tendons with implantation of a passive silicone rod prosthesis
B) Fractional lengthening of the tendon in the forearm and revision of primary repair
C) Single-stage reconstruction with implantation of an active silicone rod prosthesis
D) Single-stage tendon reconstruction with palmaris graft
E) Tendon transfer from the ring finger FDS
The correct response is Option A.
Flexor tendon reconstruction in Zone II was originally described by Bassett and Carroll in 1963 and refined by Hunter in 1971. In the first stage, a Dacron-reinforced silicone rod is implanted after excision of the native tendons. It is secured distally to the flexor digitorum profundus stump or directly to the distal phalanx. Proximally, the rod is placed adjacent to the motor tendon but not secured. At this time, pulley reconstruction with tendon or retinacular grafts can be performed as indicated. This allows formation of a pseudosheath around the rod. Once the soft tissue has healed and the patient has regained maximum passive range of motion through therapy, the second-stage tendon grafting is performed. The most commonly reported time frame is 3 months but depends on soft-tissue stability.
The most important management decision is to determine if primary repair is possible. If not, one must then decide between single-stage and two-stage tendon reconstruction. The criteria for single-stage reconstruction include a finger with adequate passive motion of all joints, soft tissues with minimal scarring, functional tendon sheath and pulley system, a neurovascularly intact digit, and a compliant patient. If these criteria are not met, the patient should be treated with a staged reconstruction.
In this patient, primary repair is not likely with a gap >1 cm 7 weeks after the initial repair. Myostatic contraction of the proximal stump would be expected. In addition, this patient’s digit has significant internal scarring and poor passive motion— all factors that preclude a single-stage repair. Fractional lengthening might be considered to allow primary repair if the tendon sheath was better quality.
If a single-stage repair were indicated, one may consider a flexor digitorum superficialis transfer from an adjacent digit as a motor for the transfer. This requires only one tendon anastomosis, and studies have shown decreased adhesion formation with intrasynovial tendon grafts. However, tensioning of the transfer can be more difficult than traditional tendon grafting.
Patients who are unable to tolerate a second-stage procedure can be considered for the implantation of an active silicone rod prosthesis. This device is designed to have both a distal anastomosis to the bone and a proximal anastomosis to the motor muscle-tendon unit with integrated sutures or a loop. This would require meeting the criteria for single-stage reconstruction. Active implants were originally designed for use in two-stage reconstruction, but no studies exist that compare active with passive silicone rods or show any benefit versus a passive implant in a staged reconstruction.
2016
A 28-year-old woman is brought to the emergency department after sustaining an injury to the arm during a motor vehicle collision. A photograph is shown. Physical examination shows inability to extend the index or long fingers, and a rent in the dorsal wrist capsule. Which of the following extensor zones is most likely involved?
A) II
B) III
C) IV
D) V
E) VI

The correct response is Option E.
The patient described sustained a dorsal wrist injury involving extensors of the wrist and fingers, with the injury at the base of the hand and over the carpus. Typically this is considered zones VI and VII. The other zones represent the following areas with some common conditions listed for each zone. Knowing and reporting zones of injury are helpful not just for descriptive purposes, but also for communicating with other doctors and therapists. Common therapy protocols are based on which zone or zones are involved in the injury.
2016

A 24-year-old male figure skater comes to the emergency department because of dorsal metacarpophalangeal dislocation of the right thumb. The emergency department staff is unable to reduce the dislocation. Which of the following structures is most likely preventing reduction in this patient’s injury?
A) Extensor pollicis longus tendon
B) Flexor pollicis brevis tendon
C) Opponens pollicis
D) Sesamoid bone
E) Ulnar neurovascular bundle
The correct response is Option D.
The thumb metacarpophalangeal (MCP) sesamoid bone(s) may be associated with an irreducible dorsal dislocation.
Dorsal dislocation of the thumb at the MCP joint typically occurs with forced hyperextension with resultant volar plate and collateral ligament rupture. Irreducibility usually occurs through interposition of the volar plate in the joint. Extensor expansion interposition, collateral ligaments, bony fragments, sesamoids, and flexor pollicis longus entrapment have also been associated with irreducibility. In these circumstances, open reduction is often necessary.
The ulnar neurovascular bundle, extensor pollicis longus, opponens pollicis, and flexor pollicis brevis are not typically associated with an irreducible dislocation.
2016
A 34-year-old machinist undergoes repair of the flexor tendon of the index finger as the result of a work-related injury. Which of the following is the main rationale for performing early motion exercises after surgical repair?
A) Decrease adhesions
B) Decrease postoperative pain
C) Improve strength of repair
D) Increase synovial fluid flow
E) Prevent rupture
The correct response is Option A.
The main rationale for performing early motion exercises is to decrease adhesion formation. During the early phases of tendon healing, large amounts of collagen are deposited and form early scarring. Although this scarring is crucial for the healing of the repaired tendon, scarring will also occur in the tendon sheath and, if allowed to progress, can lead to stiffness in the involved digit. Early passive- and active-motion protocols assist in breaking apart early scarring of the tendon to the surrounding sheath.
Early motion has not shown to increase the final strength of the repair and is more likely to cause rupture. Although synovial fluid flow might be increased with tendon excursion, it does not improve outcomes. Postoperative pain is likely increased with therapy.
2015
A 21-year-old man comes to the office after injuring the right long finger while playing football. On physical examination, the patient is unable to flex the distal phalanx. Hollowness is noted along the volar aspect of the finger, with pain in the palm upon palpation. X-ray studies show no abnormalities. Which of the following is the latest at which primary repair is expected?
A) 1 day
B) 1 week
C) 1 month
D) 2 months
E) 3 months
The correct response is Option B.
Rupture of the flexor digitorum profundus (FDP) tendon from its distal attachment is commonly known as jersey finger. The injury is often overlooked by players and trainers and misdiagnosed as a sprained finger, but it requires more urgent management than these minor injuries. Jersey finger occurs when a flexed distal interphalangeal (DIP) joint is suddenly and forcefully hyperextended, leading to rupture of the FDP tendon at its insertion on the distal phalanx.
FDP injuries can be classified based upon the degree of tendon retraction, as described in Leddy and Packer’s grading scheme:
Type I injuries involve retraction of the profundus tendon all the way to the palm, with associated injuries to the vincula longus and vinculum brevis. Injuries to the vincula disrupt the blood supply to the tendon, necessitating surgical repair within 7 days to avoid necrosis of the tendon and a permanent contracture deformity.
Type II injuries involve retraction of the tendon to the proximal interphalangeal (PIP) joint. The tendon stump is held in place by the vincula longus, which are often intact. An avulsion fracture sometimes occurs with type II injuries, and often becomes trapped in the A2 pulley. Without an observable bony fragment on x-ray study, it is impossible to determine the degree of retraction; thus, all type II injuries should be surgically repaired within 7 days.
Type III injuries involve a large avulsion fragment that is often intraarticular. The bony fragment prevents retraction past the A4 pulley and holds the tendon in near-anatomic position, obviating the need for urgent repair. Type III injuries are amenable to repair within 2 to 3 months.
Type IV injuries are type III lesions with the addition of an avulsion of the FDP tendon from the fracture fragment. Type IV injuries are rare but require urgent repair because of the disruption to the tendon’s blood supply.
2015
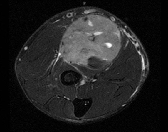
A 45-year-old man has a mass in the left volar forearm. An MRI is shown. Oncologic resection will involve removing all muscles of the anterior forearm compartment. Which of the following techniques is most appropriate to reconstruct finger flexion postoperatively?
A) Flexor digitorum profundus to superficialis transfer
B) Flexor pronator slide
C) Free gracilis innervated by a median nerve branch
D) Oberlin-Mackinnon nerve transfer
E) Pedicled latissimus dorsi muscle flap transfer

The correct response is Option C.
A free gracilis muscle would provide a good strength and excursion match to the native finger flexors it would replace. Vascular and nerve connections could be performed in the distal upper arm, outside of the zone of resection. While individual finger flexion would not be restored, the patient would be able to make a composite fist after this surgery.
The flexor digitorum profundus to superficialis transfer is used to treat flexor spastic contracture, typically with palmar hygiene issues, in a patient who still has some voluntary motor control. It requires the presence of flexor digitorum profundus and superficialis muscles, both of which would be removed as part of the anterior forearm compartment muscles.
The Oberlin-Mackinnon nerve transfer transfers branches of the median nerve and ulnar nerve to the brachialis and biceps muscles, respectively. It is used to restore elbow flexion and would not provide finger flexion.
A flexor pronator slide detaches the muscles originating from the medial epicondyle of the humerus and advances them distally. It is used to treat contractures of the fingers, often in patients with mild to moderate Volkmann contracture. In this patient, the flexor muscles have been resected, so this procedure is not possible.
A latissimus dorsi muscle provides broad soft-tissue coverage for wounds and can also provide a strong flexion force. It cannot reach beyond the distal elbow. It can restore elbow flexion but cannot be used as a pedicled transfer to restore finger flexion.
2015