In patients with basilar joint arthritis of the thumb, treatment with trapeziectomy alone compared with trapeziectomy with ligament reconstruction and tendon interposition is most likely to result in which of the following?
A) Decreased complication rate
B) Increased risk for recurrent pain
C) Longer recovery time
D) Worse functional outcomes
The correct response is Option A.
Simple trapeziectomy was first described in 1947 and though it is only utilized by a small minority of hand surgeons in the United States as solitary treatment for basilar thumb arthritis, its efficacy has not been demonstrated to be inferior to the more commonly employed trapeziectomy with ligament reconstruction and tendon interposition. Meta-analysis has demonstrated that simple trapeziectomy is equally beneficial in terms of pain relief and function as trapeziectomy with ligament reconstruction and tendon interposition, but results in fewer complications.
A variety of reconstructive techniques have been employed in management of basilar thumb arthritis. Most commonly employed in the United States is the trapeziectomy with ligament reconstruction and tendon interposition utilizing the flexor carpi radialis tendon. Other described techniques include CMC joint implant arthroplasty, partial trapeziectomy with interposition arthroplasty, and thumb metacarpal extension osteotomy for early-stage arthritis. None of these techniques have demonstrated superiority over simple trapeziectomy, and synthetic implants have been associated with significant complications.
2018
A 53-year-old man comes to the office because of a 2-year history of increasing pain of the radial aspect of the right wrist. X-ray studies show scapholunate disruption and arthritis. Which of the following joints is most likely to be affected first by the arthritic degeneration in this patient?
A) Capitolunate
B) Radiolunate
C) Radioscaphoid
D) Radioulnar
E) Scaphotrapezio
The correct response is Option C.
This patient has early-stage scapholunate advanced collapse (SLAC) wrist. SLAC wrist is generally categorized by the Watson classification, which is a descriptive classification but also helps determine management options.
The Watson classification is as follows:
Stage I: Arthritis between scaphoid and radial styloid
Stage II: Arthritis between scaphoid and entire scaphoid facet of the radius
Stage III: Arthritis between capitate and lunate
While original Watson classification describes preservation of radiolunate joint in all stages of SLAC wrist, subsequent description by other surgeons of pancarpal arthritis (stage IV) observed rare cases in which the radiolunate joint is affected. The radioulnar joint is not affected by SLAC wrist.
2018
A 20-year-old woman comes to the office for evaluation of chronic pain of the right wrist, which is alleviated by nonsteroidal anti-inflammatory drugs (NSAIDs). Osteoid osteoma is suspected on x-ray. Which of the following imaging studies is most likely to confirm the suspected diagnosis?
A) Bone scan
B) CT scan
C) Laser fluorescence angiography
D) Magnetic resonance arthrography
E) Ultrasonography
The correct response is Option B.
Osteoid osteoma is a benign bone tumor that arises from osteoblasts; the principal symptom is focal pain at the site of the lesion.
Multiple studies suggest that CT is the best imaging technique for detection of this tumor. Specifically, CT is best at depicting the nidus, the radiolucent area typical of this tumor type. Within the radiolucent nidus, a central area of high attenuation is often seen, representing mineralized osteoid.
As ultrasound waves do not adequately penetrate bone, this intracortical lesion would not easily be detected by this technique.
Although magnetic resonance (MR) has been used to detect these lesions, it is not as sensitive at detecting the nidus as CT scanning. This is because the nidus, especially if it is small, will have signal similar to cortical bone on MR. Although an arthrogram may detect an intra-articular osteoid osteoma, this is a more unusual entity.
A bone scan may show the lesion, but it is nonspecific and will not confirm the diagnosis.
Laser fluorescence angiography has gained popularity for assessing the perfusion of soft tissues (skin, flaps, etc.), but this technique will not help assess bone or tissues of significant depth, nor can it reliably distinguish tumor from other tissue.
2018
A 19-year-old man comes to the office because of persistent left wrist pain after an ATV accident 4 months ago. Medical history includes cast treatment of a wrist fracture. X-ray study shows a proximal pole scaphoid fracture without arthritic changes or collapse. Which of the following is the most appropriate imaging for assessing the vascularity of the bone fragment in this patient?
A) Angiography
B) CT scan
C) MRI
D) Triple phase bone scan
E) Ultrasonography
The correct response is Option C.
The most appropriate imaging modality is MRI.
This patient has presented with a delayed proximal pole scaphoid fracture/nonunion, which was previously untreated. The primary blood supply to the scaphoid enters distally and travels proximally. As a result, perfusion to the proximal portion of the scaphoid occurs in a retrograde fashion. Fractures of the proximal pole of the scaphoid are located at the furthest distance from the blood supply, and these fragments are at risk for nonunion and avascular necrosis.
MRI (particularly with gadolinium enhancement) would be the best imaging study for evaluating the blood supply to the scaphoid fragment and looking for the presence of avascular necrosis. MRI can also provide anatomical information regarding the fracture. Direct intraoperative visualization of bleeding of the fragment has also been advocated in assessing vascularity.
Angiography can show blood flow patterns, but would not provide anatomic information.
CT scan is useful for detailed anatomic analysis of fractures and assessment of healing, but would be less helpful than MRI in determining avascular necrosis.
Bone scan shows the presence of inflammatory activity and can be used in identifying the presence of occult fractures (high sensitivity, albeit with low specificity), but has low resolution and would not be helpful in determining avascular necrosis.
Ultrasonography has been used in the diagnosis of acute fractures, but would not determine vascularity.
2018
A 40-year-old man comes to the office for evaluation of a nonhealing scaphoid fracture. History includes bone grafting for avascular necrosis of the proximal pole, but there is evidence of nonunion. Carpal collapse and humpback deformity are also noted. Reconstruction with a vascularized medial femoral condyle flap is scheduled. Which of the following arteries provides the blood supply to this flap?
A) Descending genicular artery
B) Lateral circumflex femoral artery
C) Medial circumflex femoral artery
D) Peroneal artery
E) Profunda femoris artery
The correct response is Option A.
The descending genicular artery supplies the medial femoral condyle flap. The descending genicular artery is a branch of the superficial femoral artery. This corticoperiosteal flap has been used with increasing frequency for small bony defects and the treatment of nonunion. A cutaneous component can also be harvested based on a saphenous artery branch.
The anterolateral thigh flap is based off the lateral femoral circumflex artery perforators. The gracilis muscle flap is based off vessels from the medial circumflex femoral artery; perforator flaps can also be designed based off this vascular system. The profunda femoris supplies the posterior thigh flap. The peroneal artery provides the vascular supply to the fibula flap.
2017
A 30-year-old woman comes to the office because of a mass of the dorsum of the wrist for the past 5 months. She reports that the mass occasionally gets larger and then gets smaller. Physical examination shows the mass is mildly tender and transilluminates. From which of the following articulations is this lesion most likely to arise?
A) Pisotriquetral
B) Radioscaphoid
C) Scapholunate
D) Scaphotrapezial
E) Thumb carpometacarpal (CMC)
The correct response is Option C.
The mass in question is most likely a dorsal ganglion cyst of the wrist. Sixty to 70% of ganglion cysts are found in the dorsal aspect of the wrist. Dorsal wrist ganglion cysts usually communicate with the joint by a stalk. This stalk usually originates at the scapholunate interval, but it can also rarely arise from other aspects of the dorsal wrist joint.
Thirteen to 20% of ganglia are found on the volar aspect of the wrist, and they usually arise from the radioscaphoid, scapholunate, scaphotrapezial, or metacarpotrapezial joint, in decreasing order of frequency.
Ganglia arising from the flexor tendon sheath of the hand account for approximately 10%.
2017
A 36-year-old man undergoes rehabilitation following scapholunate ligament repair. Initial range of motion in therapy is planned to allow wrist movement while minimizing the movement between the scaphoid and lunate bones. Which of the following wrist movements is most likely to achieve this goal?
A) Neutral wrist extension to neutral wrist flexion
B) Radial deviation in extension to radial deviation in flexion
C) Radial deviation in extension to ulnar deviation in flexion
D) Ulnar deviation in extension to radial deviation in flexion
E) Ulnar deviation in extension to ulnar deviation in flexion
The correct response is Option C.
The most appropriate motion is from radial deviation in extension to ulnar deviation in flexion.
The dart-thrower’s motion, moving from radial deviation in extension to ulnar deviation in flexion, minimizes the movement between the scaphoid and lunate.
Studies have shown that during movement in this axis, from radial deviation and extension to ulnar deviation and flexion, the bones of the proximal carpal row (scaphoid, lunate, triquetrum), remain practically stationary, and motion occurs primarily through the midcarpal joint. As a result, this is felt to be the primary mechanical axis of movement in the wrist. Rehabilitation with movement in the dart-thrower’s axis will limit movement between the bones of the proximal carpal row and allow wrist range of motion while minimizing stress on a scapholunate repair.
Simulation of radioscapholunate fusion results in preservation of the dart-thrower’s motion, confirming this concept.
The remaining motions listed result in greater intercarpal movement of the proximal row.
2017
A 65-year-old woman comes to the office because of pain at the base of the right thumb. Which of the following is the most appropriate plain x-ray study view for visualizing thumb basal joint subluxation?
A) Bett view
B) Brewerton view
C) Eaton stress view
D) Roberts view
E) Standard lateral view of the thumb
The correct response is Option C.
The Eaton stress view is done with the radial borders of the thumb distal phalanges pressed together. It is a posteroanterior view and assesses laxity of the basal joint as demonstrated by subluxation of the thumb metacarpal on the trapezium.
The Brewerton view is taken with the fingers flat on the x-ray plate with the metacarpophalangeal joints flexed 65 degrees beam angled from a point 15 degrees to the ulnar side of the hand. It shows the metacarpal head and is useful for demonstrating degenerative disease or occult fractures.
Bett (or Gedda) view is characterized as a true lateral view of the trapeziometacarpal joint, perpendicular to the plane of the hand. It is performed as a posteroanterior view, with the hand pronated 30 degrees and the axis of the imaging tube angled 25 degrees distally. The view isolates the trapeziometacarpal joint and is useful for evaluating metacarpal base fractures (Bennett’s fracture).
Roberts view is done with the wrist hyper-pronated and the dorsum of the thumb flat on the plate with an AP view. It is used to evaluate degeneration of the trapeziometacarpal joint but does not show subluxation as the stress view does.
2017
A 23-year-old man comes for evaluation because of pain and swelling of the left wrist 6 hours after he fell onto his outstretched left hand. On physical examination, he has tenderness to palpation in the anatomical snuffbox. An occult fracture is suspected. In addition to standard x-ray study views of the wrist, which of the following x-ray views is the most appropriate to confirm the diagnosis?
A) Anteroposterior view with neutral alignment and the beam angled at neutral
B) Clenched fist view with the wrist at neutral and the beam angled at 30 degrees distal to proximal
C) Lateral view with the wrist flexed 30 degrees and the beam angled 45 degrees distal to proximal
D) Oblique view with radial deviation and the beam angled at neutral
E) Posteroanterior view with ulnar deviation and the beam angled 20 degrees distal to proximal
The correct response is Option E.
The scaphoid oblique view is a posteroanterior (PA) view with the wrist in ulnar deviation and the beam angled 20 degrees distal to proximal. This view often will show scaphoid fractures not seen on standard PA, oblique, or lateral views. The other views would not extend the scaphoid and the scaphoid would not be seen as clearly.
2016
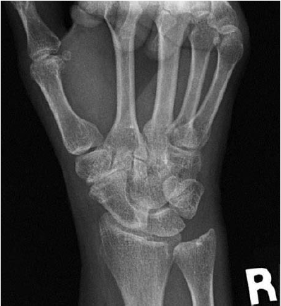
A 59-year-old woman comes for evaluation because of a 7-month history of pain over the radial aspect of the right wrist that is aggravated with forceful gripping. She denies any history of trauma to the hand or wrist. On physical examination, there is tenderness to palpation over the right anatomic snuffbox and thenar eminence. Axial load and shifting of the basal joint does not result in crepitance or pain. Resisted thumb extension at the metacarpophalangeal joint level is not painful. An x-ray study of the wrist is shown. Which of the following is the most appropriate operative management?
A) Arthrodesis of the scaphotrapeziotrapezoid joint
B) Arthrodesis of the trapeziometacarpal joint
C) Hemi-resection of the distal trapezium and tendon interposition
D) Release of the first dorsal compartment
E) Release of the second dorsal compartment

The correct response is Option A.
Scaphotrapeziotrapezoid (STT) arthritis can often be misdiagnosed on initial presentation as basal joint arthritis. The keys to differentiating the two sites of pain include physical examination, which shows tenderness more proximal than the basal joint and absence of pain with a grind maneuver, coupled with imaging showing osteoarthritic degeneration at the STT rather than the trapeziometacarpal level. Treatment for the arthritic pain can consist of resection arthroplasty or arthrodesis. Both techniques can provide good relief of symptoms. Resection arthroplasty often is used when the scapho-trapezoid articulation is relatively preserved. Regardless of technique chosen, the surgeon should address both the scapho-trapezial and the scapho-trapezoid joints during the procedure.
Release of the first dorsal compartment would address de Quervain tenosynovitis, which could present with pain over the anatomic snuffbox. On examination, however, the patient would typically demonstrate pain with the “resisted Hitchhiker” maneuver (resisted extensor pollicis brevis function at the metacarpophalangeal level). Given the negative findings on examination and the STT arthritis noted on imaging, this patient would not likely respond to treatment directed at the first dorsal compartment.
Second dorsal compartment tenosynovitis can present with distal forearm and wrist pain. The location of the pain is typically more proximal in the forearm and localized to the intersection between the muscle bellies of the first compartment tendons and the radial wrist extensors. This patient’s pain is localized to the STT region rather than the second dorsal compartment.
Hemiresection of the distal trapezium and tendon interposition has been used successfully in the management of trapezio-metacarpal arthritis (basal joint arthritis). In this patient, the location of the pain, absence of pain with a “grinding” type maneuver, and the imaging showing preservation of the basal joint argue against directing treatment at the basal joint itself.
For the same reasons that hemiresection of the distal trapezium is a poor choice for this patient, arthrodesis of the basal joint addresses the wrong site of arthritis. X-ray study and physical examination both indicate STT arthritis as the etiology of the patient’s pain.
2016
A 20-year-old man is evaluated after falling on his outstretched hand. Physical examination shows tenderness of the snuffbox. X-ray studies of the wrist show no fracture. Which of the following is the most appropriate initial step in management?
A) Application of a sugar-tong splint
B) Application of a thumb spica splint
C) Application of a volar wrist splint
D) Application of an ulnar gutter splint
E) No treatment is necessary
The correct response is Option B.
The patient described may have a scaphoid fracture that is not apparent on initial x-ray studies. Prudent management involves placement of a thumb spica splint until definitive diagnosis can be made. Repeating x-ray studies in 2 weeks or obtaining further radiologic studies, such as CT scans, can make the definitive diagnosis. Casting would be suboptimal in an acute injury such as this because soft-tissue swelling can cause constriction. Surgical exploration is not warranted at this time. A wrist-control, sugar-tong, or ulnar gutter splint would not adequately immobilize the scaphoid, and therefore, would not be adequate management.
Acute scaphoid fractures can often be missed on initial x-ray studies, with reported sensitivities ranging from 84 to 98%. When clinical suspicion of a scaphoid fracture is high and plain films are negative, the traditional recommendation is for these patients to be immobilized in a thumb spica splint or cast with repeat x-ray studies after about 2 weeks.
Even on the repeated x-ray study after 10 to 14 days propagated by many clinicians in cases of occult fracture, a scaphoid fracture is often missed since the additional sensitivity is low, although in a case of sclerosis, an x-ray study could confirm the suspected diagnosis. Further studies that may confirm the diagnosis include CT scan, MRI, and bone scan.
2015
A 24-year-old man comes to the office because of a scaphoid wrist nonunion with apex dorsal angulation and proximal pole avascular necrosis. A free tissue transfer from the lower extremity is planned. A branch of which of the following arteries supplies the most appropriate flap for this patient?
A) Dorsalis pedis
B) Genicular
C) Lateral femoral circumflex
D) Medial sural
E) Peroneal
The correct response is Option B.
The descending genicular artery is the arterial pedicle for the medial femoral condyle free vascularized osseous corticoperiosteal free flap, or free vascularized bone graft. Scaphoid nonunions with a humpback deformity, carpal collapse, and proximal pole osteonecrosis are difficult to treat. Vascularized bone grafts have been shown to have nearly 2× the union rate of traditional nonvascularized bone grafts. Vascularized corticocancellous bone has the potential to revascularize necrotic bone and can provide structural support for fractures with loss of height of the scaphoid. Studies have shown superior union rates for the medial femoral condyle vascularized bone graft versus pedicled grafts from the distal radius. Anatomical studies show no clinical loss of stability of the femur after flap harvest.
The peroneal artery is the blood supply of the fibular osseous or osteocutaneous free flap. It is generally reserved for head and neck reconstruction and larger defects of the extremities.
The descending branch of the lateral femoral circumflex artery supplies the anterolateral thigh free flap. The dorsalis pedis artery supplies the dorsalis pedis fasciocutaneous flap. The medial sural artery and its perforators supply the medial gastrocnemius muscle, and musculocutaneous and fasciocutaneous flaps. All of these flaps are used for soft-tissue defects alone and are not appropriate for reconstruction of bony defects.
2015
A 39-year-old man comes to the office 3 months after falling 10 feet from a ladder because of persistent radial-sided wrist pain, swelling, decreased grip strength, and a painful clicking in the wrist with moderate activity. Physical examination shows diffuse tenderness of the radial wrist and a painful “clunk” when palpating the scaphoid during radial deviation of the wrist. Initial x-ray studies showed no fracture or dislocation. Recent standard x-ray studies of the wrist show no fracture and normal carpal bone alignment. Which of the following is the most likely diagnosis?
A) de Quervain tenosynovitis
B) Dynamic scapholunate instability
C) Flexor carpi radialis tendinitis
D) Kienböck disease
E) Occult scaphoid fracture
The correct response is Option B.
This patient has dynamic scapholunate instability. These injuries can be difficult to diagnose and require a high index of suspicion. A normal x-ray study at 12 weeks in the setting of these clinical findings suggests there is a disruption of the scapholunate interosseous ligament (SLIL) that is symptomatic only with mechanical loading.
The SLIL is the primary stabilizer of the scapholunate joint, but it is surrounded by multiple secondary stabilizers consisting of the extrinsic wrist ligaments. Normal kinematic motion of the proximal carpal row is controlled by the tough interosseous ligaments. The dorsal component of the SLIL is the primary restraint to distraction, torsion, and translational forces. Disruption of the dorsal SLIL alone will result in changes in wrist mechanics, but the presence of the intact secondary stabilizing ligaments will prevent changes seen on a normal static x-ray study, such as scapholunate dissociation or an increased scapholunate angle.
Stress view x-ray studies, such as the clenched-pencil view, should be obtained when dynamic instability is suspected in the setting of a normal static x-ray study series. These results can be compared with the contralateral normal side. Non-contrast MRI is an advanced imaging modality averaging 71% sensitivity, 88% specificity, and 84% accuracy for SLIL tears. There is improved accuracy with 3.0T MRI machines. Wrist arthroscopy is the gold standard for diagnosis and can be combined with therapeutic procedures such as debridement or thermal shrinkage.
An occult scaphoid fracture should be visible at 12 weeks following the injury. Bone resorption at the fracture site makes the fracture line generally visible within 14 days. If suspicion remains for an occult scaphoid fracture at 2 weeks, additional imaging such as MRI or CT scan is indicated. At 3 months following the injury, any fracture present should be visible and treated as a non-union of the scaphoid.
De Quervain tenosynovitis is defined as tendinitis of the first dorsal extensor compartment. This condition generally presents with pain and tenderness over the radial styloid with a positive Finkelstein test. Tenderness of the carpal bones and carpal bone instability such as a painful “clunk” would not be present. The condition is most associated with repetitive use and not acute trauma.
Kienböck disease involves collapse of the lunate due to vascular insufficiency and avascular necrosis. Etiology is unknown but may involve a combination of anatomic factors and trauma. Early symptoms are similar to a wrist sprain but involve more global wrist pain, loss of dorsiflexion, and tenderness of the dorsal wrist over the lunate. Early stage I disease can have normal x-ray studies but will often show signs of a lunate fracture. Later stage disease shows sclerosis and ultimately fracture or collapse of the lunate.
Flexor carpi radialis (FCR) tendinitis is not a common diagnosis. It presents with wrist pain, crepitus, and point tenderness over the FCR at the wrist flexion crease with flexion and radial deviation. Although it is a cause of radial-sided wrist pain, findings of carpal bone instability on examination are not present.
2015
A 23-year-old man comes for evaluation after falling from a ladder onto the left wrist. A scaphoid fracture is suspected. Initial anterior-posterior, lateral, oblique, and scaphoid-view x-ray studies show no definitive fracture. Which of the following additional imaging studies is most sensitive and specific for detecting the suspected fracture?
A) Arthrography
B) Bone scan
C) CT scan
D) MRI
E) Ultrasonography
The correct response is Option D.
The imaging study that is most sensitive and specific for detecting an acute scaphoid fracture is MRI. Many authors have written about the best secondary imaging study for scaphoid fractures not evident on standard x-ray studies. MRI is the best test considering both sensitivity and specificity, followed by CT scan. The majority of the published data shows bone scan to be the most sensitive but less specific than MRI or CT scan. Ultrasonography is used for evaluation of long bone fractures but is not yet indicated for evaluation of carpal bone fractures.
2014
A 63-year-old man comes to the office because of pain of the right wrist and posttraumatic arthritis after a long-standing scapholunate tear that was untreated. Salvage reconstruction with proximal row carpectomy is planned. Which of the following articular surfaces should be intact in order to perform the procedure?
A) Capitolunate
B) Lunotriquetral
C) Radioscaphoid
D) Scaphotrapezial
E) Trapeziotrapezoid
The correct response is Option A.
The capitolunate articulation should be intact in order to perform proximal row carpectomy.
The patient described has a chronic scapholunate tear, which if left untreated, can lead to the consequences of scapholunate advanced collapse (SLAC) wrist. With ongoing progression, degenerative wrist arthritis and pain result.
Arthritis occurs in a predictable sequence, initially at the radioscaphoid joint, followed by the scaphocapitate joint and the capitolunate joint. The radiolunate joint is typically spared until advanced stages.
Proximal row carpectomy is a salvage wrist procedure that can be used in some cases of SLAC wrist. The proximal carpal bones of the wrist (scaphoid, lunate, and triquetral) are removed, and the capitate head is allowed to rest in the lunate fossa of the radius. In order for this procedure to be successful, the capitolunate joint should be free of arthritis. The patient should have preservation of cartilage on the capitate head and the lunate fossa of the radius, as this forms the new articulation of the wrist.
2014
A 40-year-old woman is evaluated in the emergency department after she fell on her outstretched hand while playing tennis. Examination shows tenderness of the wrist. After the scaphoid, which of the following carpal bones is most likely fractured in this patient?
A) Capitate
B) Hamate
C) Lunate
D) Pisiform
E) Triquetral
The correct response is Option E.
The triquetral is the second most commonly fractured carpal bone. Most triquetral fractures are dorsal ridge fractures that appear as avulsion fractures on lateral view wrist x-ray studies.
The most common carpal bone fracture incidences in order of frequency are scaphoid, triquetral, trapezium, lunate, and hamate.
2014
A 71-year-old woman elects to undergo surgery for basal thumb osteoarthritis. In addition to carpal tunnel syndrome and presence of pathology at the scaphotrapeziotrapezoid (STT) joint, assessment for which of the following additional concomitant conditions is most appropriate during the operative planning for this patient?
A) Lunotriquetral dissociation
B) Radioscaphoid arthritis
C) Scapholunate dissociation
D) Thumb interphalangeal arthritis
E) Thumb metacarpophalangeal hyperextension
The correct response is Option E.
Operative planning for surgical treatment of basal thumb osteoarthritis requires not only careful history, physical examination, and radiographic examination of the basal thumb joint, but also the scaphotrapeziotrapezoid (STT) joint, the carpal tunnel, and the thumb metacarpophalangeal (MP) joint. Persistent arthritic symptoms following treatment of the basal thumb joint are often due to unrecognized STT arthritis, and many patients will have carpal tunnel syndrome concomitant with basal thumb arthritis; thus, it is important to evaluate for these pathologies to avoid persistent symptoms following surgery. The MP joint must be evaluated for collapse, or hyperextension, particularly with pinch prior to operative treatment. Failure to correct MP hyperextension, particularly that beyond 30 degrees, may lead to persistent pain and progressive collapse of the thumb.
The scapholunate, lunotriquetral, thumb interphalangeal, and radioscaphoid joints are not associated with basal thumb arthritis or its treatment.
2019
A 47-year-old woman comes to the office after sustaining an injury to the left wrist after falling on her outstretched hand. Examination shows pain of the radial aspect of the left wrist and anatomical snuffbox. Scaphoid fracture is suspected. When obtaining posterior-anterior x-ray studies, which of the following is the optimal positioning of the wrist for evaluation of the entire scaphoid?
A) Wrist in 20 degrees of radial deviation, 20 degrees of wrist extension
B) Wrist in 20 degrees of radial deviation, 20 degrees of wrist flexion
C) Wrist in 20 degrees of ulnar deviation, 20 degrees of wrist extension
D) Wrist in 20 degrees of ulnar deviation, 20 degrees of wrist flexion
E) Wrist in neutral radial/ulnar position, neutral flexion/extension
The correct response is Option C.
Scaphoid fractures are the most common carpal fracture and frequently occur after a fall onto an extended and radially deviated wrist. Initial workup often involves plain x-ray studies, which have a sensitivity of approximately 85%. The optimal position of the wrist when imaging scaphoid fractures includes ulnar deviation and wrist extension, which allows for evaluation of the long axis of the scaphoid. CT scan or MRI may be used as additional imaging if plain x-ray studies do not demonstrate a fracture, yet there is high clinical suspicion.
2019
A 24-year-old man is scheduled to undergo reconstruction for avascular necrosis of the proximal pole of the scaphoid with a free osteochondral bone flap. Which of the following arteries is the most commonly encountered vascular pedicle for the medial femoral condyle free bone flap?
A) Anterior tibial recurrent
B) Descending genicular
C) Popliteal
D) Saphenous
E) Superficial femoral
The correct response is Option B.
The medial femoral condyle free bone (corticocancellous) flap has been shown to be an excellent option for treatment of complicated degenerative bone pathology in the wrist, particularly scaphoid avascular necrosis. The Mayo group has also shown improved outcomes for scaphoid nonunion with humpback deformity compared with pedicled flaps from the distal radius. The same group has shown more consistent presence of supply from the medial superior genicular artery, which can be used in cases where the descending genicular artery is insufficient, although the pedicle length of the medial superior genicular artery is generally shorter. More recent anatomic analysis has shown this vessel can supply flaps up to 11 cm in length.
The (superficial) femoral and popliteal arteries are larger, regional vessels, with the superficial femoral artery being the immediate source vessel for the descending genicular artery. The popliteal artery is the source vessel for the medial superior genicular artery. The anterior tibial recurrent artery is distal and lateral, lying over the lateral aspect of the tibial plateau, and does not supply the medial femoral condyle. The saphenous artery has been described as a branch of the superficial femoral supplying the skin paddle overlying the medial femoral condyle but does not supply the bone.
2019
A 32-year-old man presents following a motor vehicle collision in which he sustained a dorsal perilunate dislocation of the nondominant left hand. He was treated with open reduction and internal fixation including ligament repair with suture anchors and Kirschner-wires two days after the injury. Which of the following is the expected long-term outcome for this patient?
A) Chronic pain and grip strength less than 50% of the normal side
B) Evidence of moderate post-traumatic arthritis and 80% of grip strength compared to the opposite side
C) Normal x-ray appearance with greater than 80% of motion compared with the opposite side
D) Normal x-ray appearance with poor wrist motion and poor grip strength
E) Severe post-traumatic arthritis requiring total wrist fusion
The correct response is Option B.
Peri-lunate dislocations (PLD) and peri-lunate fracture dislocations (PLFD) are considered complex, high-energy injuries with potentially difficult recovery for many patients. In terms of outcomes research, long-term data are considered to be follow-up greater than 10 years. The long-term data are retrospective but consistent across many studies.
The treatment of choice for PLD and PLFD is open reduction and internal fixation. Studies looking at closed reduction and casting or percutaneous pin fixation have shown inferior outcomes, and open treatment is recommend by most authors.
All studies agree that there will be the presence of moderate or even severe post-traumatic arthritic changes on x-ray in most patients (50 to 100%), which can be various degrees of SLAC, SNAC, or avascular necrosis. However, the data also show that the presence of radiographic arthritis does not necessarily correlate with functional outcomes. On average, patients will achieve 65 to 70% of wrist flexion-extension arc and 80% grip strength compared with the unaffected side.
Although some patients may develop severe complications of a PLD or PLFD such as advanced SLAC or SNAC or ulnar translation of the carpus, it is a rare finding. Most studies show outcomes in the good and fair range according to the Mayo wrist score and other outcome measures. Patients with the most severe arthritis usually do correspond to the worst symptoms and may require salvage procedures such as proximal row carpectomy or limited wrist fusion.
Persistent, chronic pain is a rare finding with long-term outcomes of perilunate injuries. Pain with heavy activity only is the most commonly reported outcome, although many patients are largely pain free.
Patients can have near normal looking x-rays after PLD or PLFD; however, this is rare. One would not expect >80% of wrist motion after an injury of this magnitude even with normal x-rays. Also, patients with minimal arthritic changes tend to show better functional outcomes.
2019
A 23-year-old man who works in an office undergoes evaluation of the left nondominant wrist after sustaining an injury from a fall 2 days ago. CT scan shows a nondisplaced distal scaphoid tubercle fracture. Examination reveals no other abnormalities. Which of the following is the most appropriate next step in management?
A) Autologous bone grafting and internal fixation plus immobilization for 3 to 6 months
B) Cast immobilization for 6 to 8 weeks
C) Compression screw fixation plus immobilization for 6 to 12 weeks
D) Physical therapy for 6 weeks
E) Observation until the wrist is nontender
The correct response is Option B.
Nondisplaced scaphoid fractures may not be apparent on plain radiographs and are better visualized on CT scan. Although the treatment options for nondisplaced scaphoid wrist fractures may include immobilization alone or surgical fixation, nondisplaced distal pole and tubercle fractures are felt to be more stable and can be treated with immobilization alone for 6 to 12 weeks. In addition, these fractures often have small fragments that are not as amenable to compression screw fixation.
Observation and physical therapy allow mobilization of the wrist and are not recommended because of the potential for delayed healing or nonunion.
Compression screw fixation is not generally necessary and is sometimes not possible for tubercle fractures, but it is a common treatment for scaphoid wrist fractures.
Autologous bone grafting and internal fixation is generally reserved for scaphoid nonunions.
2019
When considering dislocations of the thumb carpometacarpal (CMC) joint, which of the following is most correct regarding which vector of dislocation would occur with injury to the stabilizing ligament?

The correct response is Option B.
The CMCJ is very important for hand function and plays a key role in pinch and grasp. The increased range of motion inherent to the thumb CMCJ is attributed to the anatomy of the joint. The biconcave saddle shaped articular surface of the CMCJ also provides some inherent stability. Motion allowed by the joint includes flexion, extension, adduction, abduction, circumduction. Stabilizing ligaments and joint capsule further reinforce the joint, thus thumb CMCJ dislocations are rare injuries. These injuries account for less than 1% of hand injuries.
There are five major stabilizing ligaments to the CMCJ: anterior (volar) oblique, ulnar collateral, intermetacarpal, dorsoradial, and dorsal (posterior) oblique. These ligaments are critical stabilizers during motion. The volar oblique ligament and dorsoradial ligaments are considered to be the most important resistive forces in dislocation in cadaver studies. Reports of traumatic thumb CMCJ dislocation have been in a dorsal vector. The volar oblique ligament was originally thought to be the critical resistive ligament; however, recent literature has supported the dorsal complex (includes the dorsoradial and posterior oblique ligaments) are the most critical for restraint of the joint, thus are injured in dorsal dislocations. Timely recognition is important for these injuries as immediate reduction and casting or splinting for 4 to 6 weeks may be adequate to prevent recurrence. However, these injuries are often missed on radiologic examination or may be persistently unstable. Closed reduction and Kirschner wire fixation may be adequate for treatment in persistently unstable injuries. Some authors advocate for open reduction and ligament reconstruction. Delayed treatment especially beyond three weeks will likely require open reduction and ligament reconstruction. These injuries are often missed on x-ray examination as they can be subtle especially in the setting of more obvious trauma. Inadequate treatment puts these patients at increased risk for subsequent posttraumatic osteoarthritis given the joint malalignment.
The radiocarpal and dorsal intercarpal ligaments are wrist stabilizer not thumb CMCJ stabilizers.
2019
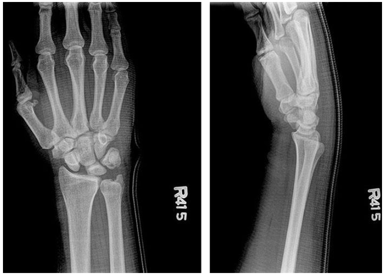
A 36-year-old man comes to the office because of a 2-week history of pain of the right wrist after a fall on his outstretched hand. X-ray studies are shown. If this injury is left untreated, which of the following joint surfaces is most likely to develop arthritis first?
A) Capitolunate
B) Lunotriquetral
C) Radiolunate
D) Radioscaphoid
E) Scaphocapitate

The correct response is Option D.
The most likely joint surface to develop arthritis is the radioscaphoid joint. This patient shows evidence of scapholunate ligament tear. There is evidence of widening of the scapholunate interval and increase in the scapholunate angle.
The scapholunate angle is calculated by measuring the angle between a line drawn perpendicular to the distal surface of the lunate and along the axis of the scaphoid on the lateral view. The normal scapholunate angle varies from 30 to 60 degrees. A tear in the scapholunate ligament results in volar flexion of the scaphoid bone and dorsiflexion of the lunate, with a resultant increase in the angle.
If a scapholunate ligament tear is left untreated, a degenerative pattern of changes result. This is known as scapholunate advanced collapse (SLAC) wrist. Over time there is separation of the scaphoid and lunate bones and descent of the capitate into the intervening space.
With scapholunate ligament tears, arthritis occurs in a predictable sequence. This initially begins in the radioscaphoid joint, followed by the scaphocapitate joint and the capitolunate joint. The radiolunate joint is typically spared until advanced stages. The lunotriquetral ligament is intact and arthritis does not occur in this area with SLAC wrist.
2019
A 50-year-old woman with type 2 diabetes mellitus is scheduled to undergo ligament reconstruction tendon interposition (LRTI) surgery for trapeziometacarpal joint arthritis. The procedure is expected to last 90 minutes. Which of the following is the most appropriate antibiotic prophylaxis for this patient?
A) Oral antibiotics for 3 days following surgery
B) Single dose intravenous antibiotic within 1 hour of surgery
C) Single dose intravenous antibiotic within 1 hour of surgery and oral antibiotics for 24 hours following surgery
D) Single dose intravenous antibiotic within 1 hour of surgery and oral antibiotics for 3 days following surgery
E) No antibiotic prophylaxis is indicated
The correct response is Option E.
Multidrug resistant bacterial infections continue to rise and antimicrobial overuse is the leading cause for antibiotic resistance. There is growing evidence that prophylactic antibiotic use is not necessary for clean plastic surgery cases, aside from breast surgery cases. Despite consensus guidelines, the use of prophylactic antibiotics for elective Hand Surgery cases continues to increase. Level I evidence exists that demonstrates prophylactic antibiotics are not necessary for clean Hand Surgery cases lasting less than 2 hours. Although there has been concern regarding diabetes and surgical infection risk, this has not been demonstrated in larger studies with multivariate analyses.
2020