HAS Flashcards

(50 cards)

1
Q

Qual o exame padrão ouro para o Dx de HAS?

A

MAPA

(Monitorização Ambulatorial da PA)

How well did you know this?
1
Not at all
2
3
4
5
Perfectly
2
Q

Classificação da Retinopatia Hipertensiva

A

Classificação de Keith-Wagener-Barker (KWB)

I) Estreitamento arteriolar

II) Cruzamento patológico AV

III) Hemorragia e exsudato

IV) Papiledema

How well did you know this?
1
Not at all
2
3
4
5
Perfectly
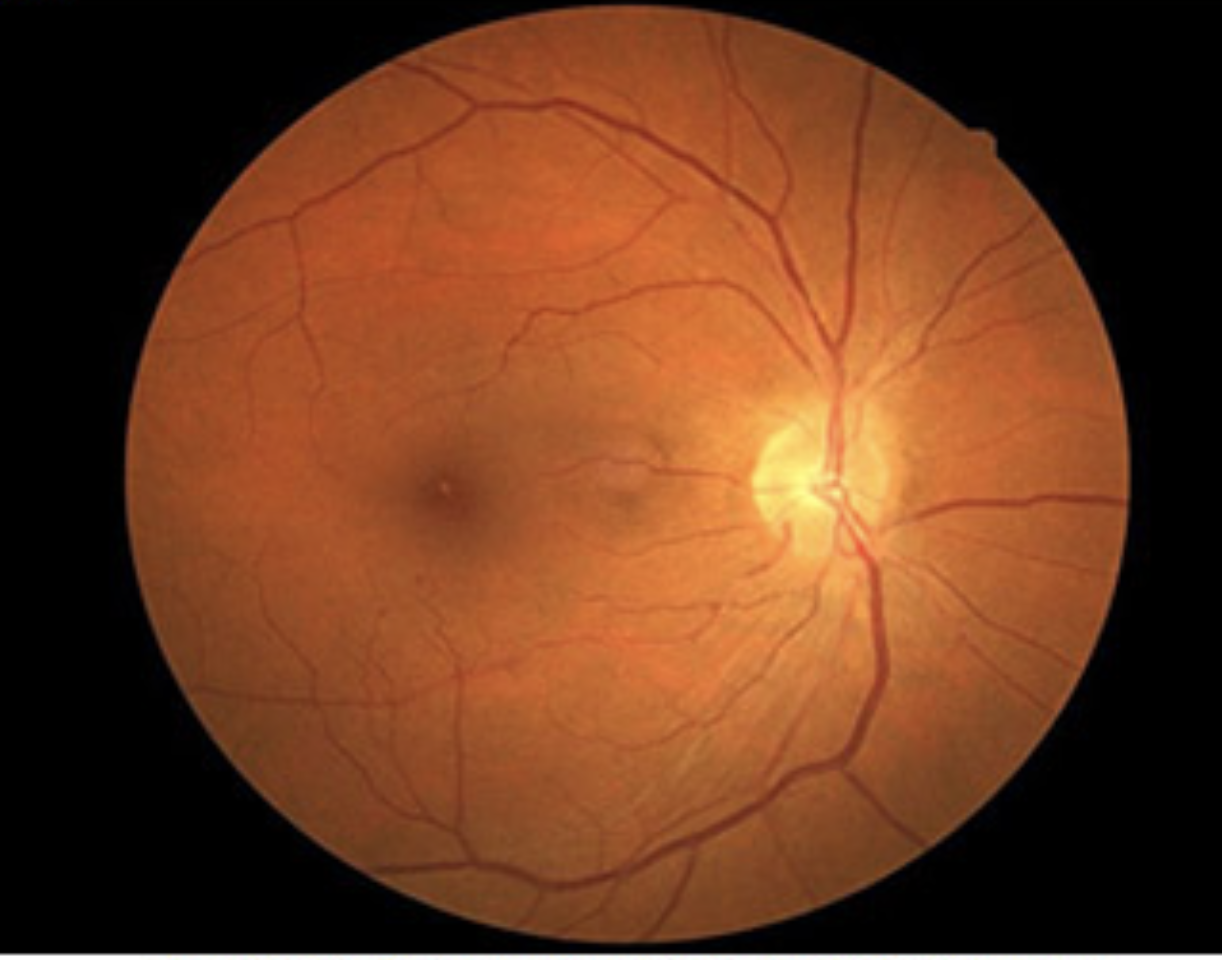
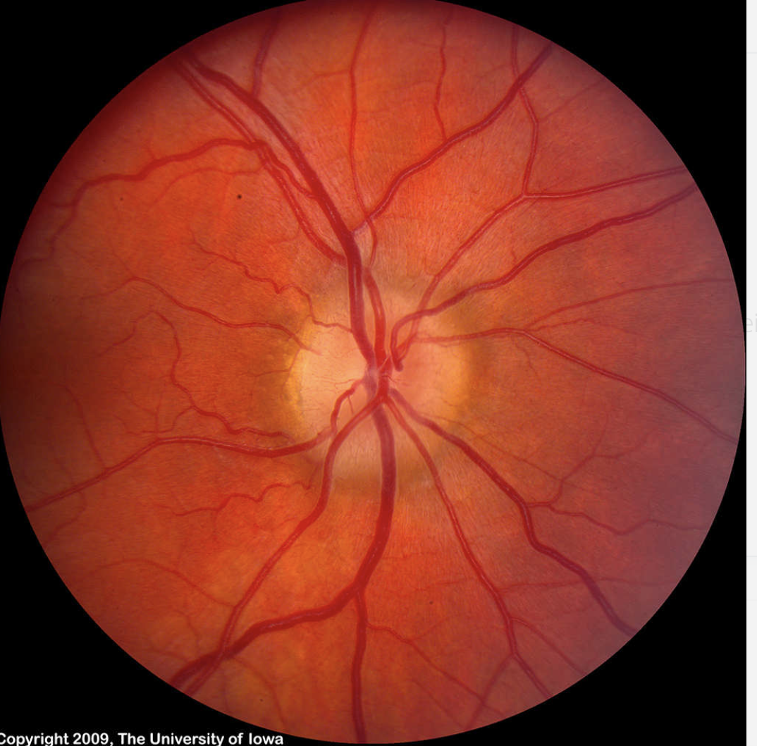
3
Q

Hipertenso com este achado

O que representa na classificação de KWB?

A

PAPILEDEMA

Grau IV na classificação de Keith-Wagener-Barker

How well did you know this?
1
Not at all
2
3
4
5
Perfectly
4
Q

Hipertenso com este achado no FO

O que representa? Que classe KWB?

A

Estreitamento arteriolar

Grau I na classificação de Keith-Wagener-Barker

How well did you know this?
1
Not at all
2
3
4
5
Perfectly
5
Q

Hipertenso com este achado no FO: o que é?

Que grau?

A

Cruzamento arteriovenoso patológico

Grau II na classificação de Keith-Wagener-Barker

How well did you know this?
1
Not at all
2
3
4
5
Perfectly
6
Q

Hipertenso com este achado no FO

O que representa? Que classe KWB?

A

Hemorragia em chama de vela

Classe III na classificação de Keith-Wagener-Barker

(junto com os exsudatos algodonosos)

How well did you know this?
1
Not at all
2
3
4
5
Perfectly
7
Q

Como é a nefropatia hipertensiva benigna?

A

Arteriolosclerose hialina

  • Hipertrofia da cama média
  • Caráter crônico
How well did you know this?
1
Not at all
2
3
4
5
Perfectly
8
Q

Como é a nefropatia hipertensiva maligna?

A

Arteriolosclerose hiperplásica da arteríola aferente glomerular

  • Lesão aguda
  • Aspecto em bulbo de cebola
How well did you know this?
1
Not at all
2
3
4
5
Perfectly
9
Q

Quais são os estágios de HAS segundo a Diretriz Brasileira de Hipertensão?

A
  • Ótima
  • PA normal
  • Pré-HAS
  • HAS estágio 1
  • HAS estágio 2
  • HAS estágio 3
How well did you know this?
1
Not at all
2
3
4
5
Perfectly
10
Q

Diretriz Brasileira de Hipertensão: PA normal

A

< 130 x 85 mmHg

How well did you know this?
1
Not at all
2
3
4
5
Perfectly
11
Q

Diretriz Brasileira de Hipertensão: Pré-HAS

A

< 140 x < 90 mmHg

How well did you know this?
1
Not at all
2
3
4
5
Perfectly
12
Q

Diretriz Brasileira de Hipertensão:

HAS estágio 1, 2 e 3

A

ESTÁGIO 1: PAS ≥ 140 / PAD ≥ 90

ESTÁGIO 2: PAS ≥ 160 / PAD ≥ 100

ESTÁGIO 3: PAS ≥ 180 / PAD ≥ 110

How well did you know this?
1
Not at all
2
3
4
5
Perfectly
13
Q

Como definir diagnóstico de HAS?

A

Média de 2 medidas em, pelo menos, 2 consultas:
≥140 x 90 mmHg

How well did you know this?
1
Not at all
2
3
4
5
Perfectly
14
Q

Como fazer o diagnóstico de HAS pela medida isolada?

A

Paciente assintomático, mas que na hora de aferir estiver com PA ≥180x110 mmHg e/ou
LOA.

How well did you know this?
1
Not at all
2
3
4
5
Perfectly
15
Q

Valores da MAPA

A
  • ≥130 x 80 mmHg (24 horas)
  • ≥135 x 85 mmHg (vigília)
  • ≥120 x 70 mmHg (sono)
How well did you know this?
1
Not at all
2
3
4
5
Perfectly
16
Q

Valores da MRPA

A

≥130 x 80 mmHg

How well did you know this?
1
Not at all
2
3
4
5
Perfectly
17
Q

Manifestação clínica: cardíaca

A
  • Coronariopatia.
  • Cardiopatia hipertensiva: HVE, insuficiência cardíaca.
How well did you know this?
1
Not at all
2
3
4
5
Perfectly
18
Q

Manifestação clínica: cerebral

A
  • Doença cerebrovascular.
  • Demência (vascular por microinfartos).
How well did you know this?
1
Not at all
2
3
4
5
Perfectly
19
Q

Quais são os exames a serem solicitados na primeira consulta?

A
  • Análise de urina
  • Potássio
  • Creatinina plasmática
  • Glicemia de jejum e HbA1c
  • Colesterol total, HDL, triglicerídeos
  • Ácido úrico
  • ECG
How well did you know this?
1
Not at all
2
3
4
5
Perfectly
20
Q

Qual a PA alvo no tratamento?

A

Geral: <140 x 90

Alto risco CV: <130 x 80

How well did you know this?
1
Not at all
2
3
4
5
Perfectly
21
Q

Quais são os pacientes com alto risco?

A
  • Doença renal crônica
  • Especialmente de MMII.
  • Diabetes
  • Doença CV: AVE, ICC, coronariopatia
  • Risco de doença CV em 10 anos >10%
22
Q

Qual a estratégia de tratamento no paciente com PA normal?

A

Reavaliar em 1 ano.

23
Q

Qual a estratégia de tratamento no paciente com pré-HAS?

A

Tratamento não farmacológico.

24
Q

Qual a estratégia de tratamento no paciente com HAS estágio I?

A

Início com 1 droga (monoterapia).

Obs.: tratamento não farmacológico por 3-6 meses se baixo risco CV.

25
Qual a estratégia de tratamento no paciente com HAS estágio ≥ II?
Início com 2 drogas (associação).
26
Como é feito o tratamento não farmacológico?
* Restrição sódica (<1-1,5 g de sódio). * Dieta DASH (K, Ca, vegetais, frutas). * Perda de peso. * Moderação do consumo etílico. * Exercício regular.
27
Quais são os medicamentos de primeira linha?
* Tiazídico * Bloqueador do canal de cálcio (BCC) * IECA (pril) * BRA-II (sartan)
28
Pode associar IECA com BRA-II?
**NÃO** Não oferece benefícios ao paciente, e pode expor o paciente a efeitos colaterais importantes.
29
Quais são os medicamentos de segunda linha?
* Betabloqueador * Clonidina * Metildopa * Hidralazina * Alisquireno * Alfabloqueador * Espironolactona
30
Quando suspeitar de HAS secundária?
* Idade <30 anos ou >55 anos * Grave * Resistente – não consegue controlar com os medicamentos de primeira linha. * LOA desproporcional
31
Definição de crise hipertensiva
**PA ≥ 180 x 120 mmHg.**
32
Quais são as causas de HAS secundária?
* Doença renal parenquimatosa. * Renovascular (estenose a. renal). * Hiperaldosteronismo primário. * Feocromocitoma. * Apneia obstrutiva do sono.
33
Qual o mecanismo responsável pelo processo que acarreta insuficiência renal crônica?
Isquemia
34
**DIU tiazídicos** * Indicações * Drogas
**Indicações:** * Negro. * Idoso. * Osteoporose. **Drogas:** * HCTZ * Clortalidona * Indapamida
35
Drogas: DIU de alça
Furosemida
36
Drogas: DIU poupadores de potássio
Espironolactona
37
**BCC** * Indicações * Drogas
**Indicações:** * Negro * Doença arterial periférica * Idoso **Drogas:** * Anlodipino * Nifedipino * Verapamil * Diltiazem
38
**IECA** * Indicações * Drogas
**Indicações:** * Jovens; brancos * Doença renal crônica * Diabetes * Insuficiência cardíaca * Gota **Drogas:** * Captopril * Enalapril
39
**BRA-II** * Indicações * Drogas
**Indicações:** * Jovens; brancos * Doença renal crônica * Diabetes * Insuficiência cardíaca **Drogas:** * Losartana * Valsartana
40
**Doença renal parenquimatosa** * Achados * Diagnóstico
* Insuficiência renal, edema (indicativo de hipervolemia) * USG renal, TFG
41
**Renovascular (estenose a. renal)** * Achados * Diagnóstico
* Sopro abdome, hipocalemia, alcalose * angioTC, angiografia renal
42
**Hiperaldosteronismo primário** * Achados * Diagnóstico
* Hipocalemia, alcalose * Excesso de aldosterona, redução de renina
43
**Feocromocitoma** * Achados * Diagnóstico
* Crises adrenérgicas * Metanefrinas e catecolaminas
44
**Apneia obstrutiva do sono** * Achados * Diagnóstico
* Ronco, sonolência * Polissonografia
45
O que é a **hipertensão do avental branco?**
**Não** tem hipertensão arterial, mas parece ter por causa da forma com que encara a consulta médica.
46
O que é a **HAS mascarada?**
É o oposto da HAS do jaleco branco. **Não parece, mas tem.**
47
Efeitos adversos: **IECA / BRA-II**
* IRA, HiperK * Tosse crônica por aumento de bradicinina (IECA) * Não usar em gestantes devido ao efeito teratogênico.
48
Efeitos adversos: **Tiazídicos**
**4 Hipo:** * hipovolemia, * hiponatremia, * hipocalemia, * hipomagnesemia. **3 hiper**: * hiperuricemia * hiperglicemia * hiperlipidemia.
49
Efeitos adversos: **BCC**
* Edema de MMII. * Não utilizar em casos de ICC.
50
Qual a droga indicada em gestantes?
**Metildopa**