Head Trauma Flashcards

(60 cards)

1
Q

Physical exam for a patient presenting with head trauma would include ______

A

examination of the nose, scalp & cranium

How well did you know this?
1
Not at all
2
3
4
5
Perfectly
2
Q

When examining the nose, scalp and cranium of a patient who presents with head trauma, you are looking for _______ (3)

A
  1. lacerations
  2. hematoma
  3. deformity
How well did you know this?
1
Not at all
2
3
4
5
Perfectly
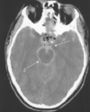
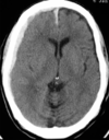
3
Q

What are the A-B-C-Ds in trauma?

A
  • Airway
  • Breathing
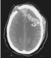
  • Circulation
  • Disability (GCS)
How well did you know this?
1
Not at all
2
3
4
5
Perfectly
4
Q

What are the GCS scores that correlate with a severe TBI? Moderate? Mild?

A
  • 3-8
  • 9-13
  • 14-15
How well did you know this?
1
Not at all
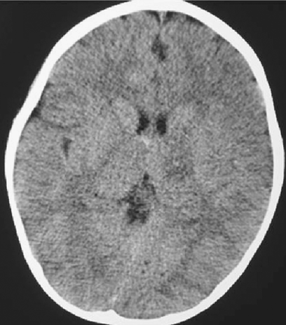
2
3
4
5
Perfectly
5
Q

4 Limitations of GCS

A
  1. confounded by drugs, alcohol
  2. intended to measure deterioration overtime, not a snapshot
  3. does not distinguish between different injuries
  4. measures behavior, not underlying pathophysiology
How well did you know this?
1
Not at all
2
3
4
5
Perfectly
6
Q

Types of brain herniation (4)

A
  1. uncal transtentorial (MC)
  2. central transtentorial
  3. upward transtentorial
  4. cerebellotonsillarr
How well did you know this?
1
Not at all
2
3
4
5
Perfectly
7
Q

Sx/s of increrased cranial pressure (8)

A
  1. severe headache
  2. vision change
  3. numbness
  4. focal weakness
  5. AMS
  6. hypertension
  7. bradycardia
  8. agonal breathing
How well did you know this?
1
Not at all
2
3
4
5
Perfectly
8
Q

What would you suspect in a patient who presents with ipsilateral fixed & dilated pupil?

A

uncal herniattion (unopposed sympathetic tone)

How well did you know this?
1
Not at all
2
3
4
5
Perfectly
9
Q

Which herniation syndrome can lead to sudden death?

A

cerebellotonsillar

(also demonstrates pinpoint pupils & flaccid paralysis)

How well did you know this?
1
Not at all
2
3
4
5
Perfectly
10
Q

Which herniation syndrome presents with myosis, conjugate downward gaze & absence of vertical eye movement?

A

upward transtentorial

How well did you know this?
1
Not at all
2
3
4
5
Perfectly
11
Q

Which herniation syndrome presents with bilateral myosis, b/l babinski sign and increased muscle tone?

A

central transtentorial

How well did you know this?
1
Not at all
2
3
4
5
Perfectly
12
Q

What 4 signs would you expect in a patient who has an impending herniation?

A
  1. motor posturing
  2. hemiparesis
  3. progressive neuro deterioration
  4. pupil changes
How well did you know this?
1
Not at all
2
3
4
5
Perfectly
13
Q

categories of skull fx (3)

A
  1. location (basilar)
  2. open/closed
  3. pattern (compression/linear)
How well did you know this?
1
Not at all
2
3
4
5
Perfectly
14
Q

complications of skull fx (5)

A
  1. dural lacerations
  2. infection
  3. hearing loss
  4. vertigo
  5. CN dysfunction
How well did you know this?
1
Not at all
2
3
4
5
Perfectly
15
Q

What makes a basilar fx unique?

A
  1. does not have localizing sx
  2. causes battle sign and/or raccoon eyes
How well did you know this?
1
Not at all
2
3
4
5
Perfectly
16
Q

What must you AVOID if a cribriform plate fx is suspected

A

placing an NG tube

How well did you know this?
1
Not at all
2
3
4
5
Perfectly
17
Q

How do you manage skull fx (4)

A
  1. CT
  2. admit
  3. abx
  4. surgery (neuro or otolaryngologist consult)
How well did you know this?
1
Not at all
2
3
4
5
Perfectly
18
Q

What is the difference in the causes of brain contusion vs. diffuse axonal injury (concussion)?

A
  • contusion is due to an impact & acceleration/deceleration
  • concussion is due to a shearing of axons
How well did you know this?
1
Not at all
2
3
4
5
Perfectly
19
Q

Appearance of diffuse axonal injury on CT

A

blurring of the white and gray matter

How well did you know this?
1
Not at all
2
3
4
5
Perfectly
20
Q

____ is the most important cause of persistent disability after brain injury

A

diffuse axonal injury

How well did you know this?
1
Not at all
2
3
4
5
Perfectly
21
Q

Cerebral contusions are often associated with ________.

A

subarachnoid hemorrhage

How well did you know this?
1
Not at all
2
3
4
5
Perfectly
22
Q

contusions of the temporal lobe often present with ______ (2)

A
  1. aggression
  2. delirium
How well did you know this?
1
Not at all
2
3
4
5
Perfectly
23
Q

When do you order serial CTs?

A

brain contusion with mental mental status change & coagulopathy

How well did you know this?
1
Not at all
2
3
4
5
Perfectly
24
Q

Traumatic subarachnoid hemorrhage is due to disruption of the ______ and ______.

A
  • parenchyma
  • subarachnoid vessels
How well did you know this?
1
Not at all
2
3
4
5
Perfectly
25
subarachnoid hemorrhage may lead to \_\_\_\_\_\_
increase ICP → blocking CSF outflow from 3rd & 4th ventricles
26
Subarachnoid hemorrhage sx (3)
1. blood in CSF 2. photophobia 3. meningeal signs
27
\_\_\_\_\_\_\_\_\_ is the most common CT abnormality in TBI patients (moderate-severe)
subarachnoid hemorrhage
28
Best time to image for SAH?
8 hours post-injury (otherwise you may miss it)
29
IF you suspect SAH and they develop an altered level of consciousness or neuro findings, \_\_\_\_\_\_\_\_.
monitor via ICP in critical care setting
30
Epideral hematoma is located \_\_\_\_\_\_\_-
between the skull and dura mater
31
epideral hematoma is caused by \_\_\_\_\_\_.
blunt force to the side of the head ***_(middle meningeal artery)_***
32
\_\_\_\_\_\_\_\_\_ usually have a lucid period before deterioration
epidural hematoma
33
Epidural hematomas are ______ -shaped on CT ; subdural hematomas are \_\_\_\_\_\_- shaped.
* biconvex (football shaped) mass in temporal region * crescent (cross suture lines)
34
Epidural hematomas typically do NOT have underlying brain parenchyma injury, but typically the injury leads to \_\_\_\_\_\_\_\_.
brain herniation (w/in hours due to rapid expansion; if evacuation occurs before neuro deficits → good outcome)
35
epidural hematoma w/mass effect (slight midline shift)
36
Subdural hematoma forms ______ (location)
between the dura mater and arachnoid (venous origin)
37
Subdural hematomas usually occur via \_\_\_\_\_\_\_\_
acceleration-decceleration injury → tearing of bringing dural veins
38
Structure damaged with subdural hematoma
bridging veins (mostly patients w/underlying parenchymal damage)
39
Benign falls can cause ______ in elderly and children \< 2 y.o.
subdural hematoma | (no recollection of injury)
40
subacute subdural hematomas are _______ on CT; chronic are ______ on CT.
* isodense (difficult to ID) * hypodense (dark)
41
\_\_\_\_\_\_\_ (acute/subacute) subdural hematomas more likely require surgical repair
acute | (***_all_*** require neurosurgery eval)
42
subdural hematoma R fronto temporal
43
Penetrating trauma \> 8 GCS and reactive pupils mortality? \< 5 GCS mortality?
* 25% * 100% (as bullet passes through brain can create cavity 3-4 x larger than diameter)
44
Penetrating trauma to the brain treatment (3)
1. intubate 2. abx (vancomycin or ceftriaxone) 3. surgery
45
Mild traumatic brain injury (mTBI) s/sx (9)
1. N/V 2. balance issues 3. dizzy 4. diplopia 5. photophobia 6. phonophobia 7. confusion 8. behavior changes 9. sleep difficulty
46
mTBI w/amnesia indicates
more serious injury
47
What is included in the concussion specific neuro exam (5)?
1. awareness/alertness 2. cognition 3. C-spine 4. oculomotor 5. balance
48
mTBI leading to significant brain injury are evident by ______ (amt of time).
4 hours
49
mTBI home instructions (3)
1. avoid reading, texting, tv 2. monitored by friend/family 24 hrs 3. return if: HA, AMS, N/V
50
most mTBI symptoms resolve w/in _____ (time frame)
7-10 days
51
mTBI should be referred to ______ (2) if symptoms persist
1. neuro 2. sports med (specialist in head injuries)
52
Postconcussive syndrome is when _____ becomes chronic.
symptoms of mTBI
53
post-concussion syndrome should be referred to \_\_\_\_\_\_\_.
1. neuropsych 2. mTBI clinic
54
\_\_\_\_\_ (#) recurrent concussions pose a risk for long-term sequale.
3 or more
55
Second impact before the brain has healed leads to loss of _______ → \_\_\_\_\_\_→ \_\_\_\_\_\_\_.
auto-regulation → ion imbalance → rapid cerebral edema
56
Signs of intracranial HTN on CT (3)
1. compressed lateral ventricles 2. attenuation of the sulci & gyri 3. poor white/gray matter distinction
57
Indication for poor outcomes of TBI in the Er (4)
1. SBP \<90 mmHg 2. PaO2 \< 60 mmHg 3. fever 4. hyperglycemia
58
patients in the ER w/GCS\<8 require
intubation
59
CPP = ______ - \_\_\_\_\_\_
MAP - ICP | (cerebral perfusion pressure)
60
\_\_\_\_\_\_\_ (2) can lower ICP
mannitol & hypertonic saline