Simms Reading Assignments Flashcards

(12 cards)

1
Q
A

keratoconus

How well did you know this?
1
Not at all
2
3
4
5
Perfectly
2
Q

_______(2 diz) are the leading causes of corneal transplantation

A
  1. Fuchs dystrophy
  2. Pseudophakia bulbous keratopathy

(corneal edema → vision loss)

How well did you know this?
1
Not at all
2
3
4
5
Perfectly
3
Q

Mutations in the ______ gene lead to juvenile and adult primary open angle glaucoma.

A

myocilin (MYOC)

How well did you know this?
1
Not at all
2
3
4
5
Perfectly
4
Q

Weber syndrome (secondary open angle glaucoma)

A

increase in episcleral venous pressure (due to vascular malformations)

How well did you know this?
1
Not at all
2
3
4
5
Perfectly
5
Q

Panophthalmitis involves ______ (3 structures) and extends into the orbit.

A
  1. choroid
  2. scleris
  3. retina
How well did you know this?
1
Not at all
2
3
4
5
Perfectly
6
Q

________ mutation is common in juvenile glaucoma

A

OPTN

How well did you know this?
1
Not at all
2
3
4
5
Perfectly
7
Q
A

uveal melanoma

How well did you know this?
1
Not at all
2
3
4
5
Perfectly
8
Q
A

melanoma with ruptured Bruch’s membrane

How well did you know this?
1
Not at all
2
3
4
5
Perfectly
9
Q
A

ruptured Bruch’s membrane & retinal detachment

How well did you know this?
1
Not at all
2
3
4
5
Perfectly
10
Q
A

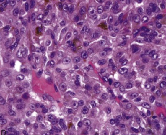
epithelioid melanoma cells (spherical)

How well did you know this?
1
Not at all
2
3
4
5
Perfectly
11
Q

Retinopathy of prematurity

A

full term babies that do not have vascularization of the temporal portion of the retina

(retinal tissue distal to this → ischemic)

How well did you know this?
1
Not at all
2
3
4
5
Perfectly
12
Q

Salmon patches, seafan, sunburst lesions and iridescent spots are indicative of ______.

A

sickle cell retinopathy

How well did you know this?
1
Not at all
2
3
4
5
Perfectly