heart Flashcards

(110 cards)

1
Q

acyanotic congenital heart disease

A

-Left-to-Right Shunt Lesions:

-Atrial Septal Defect (ASD)
-Ventricular Septal Defect (VSD)
-Atrioventricular Septal Defect (AV Canal)
-Patent Ductus Arteriosus (PDA)

-Qp:Qs > 1

How well did you know this?
1
Not at all
2
3
4
5
Perfectly
2
Q

ASD- atrial septal defect

A

-opening in the atrial septum permitting free communication of blood between the atria
-Seen in 10% of all CHD
-assoc with fetal alcohol syndrome

-3 major types:
-Secundum ASD – at the Fossa Ovalis, most common.
-Primum ASD – lower in position & is a form of ASVD, MV cleft -> 25% of down syndrome
-Sinus Venosus ASD – high in the atrial septum, associated w/partial anomalous venous return & the least common

How well did you know this?
1
Not at all
2
3
4
5
Perfectly
3
Q

ASD- SS

A

-Rarely presents with signs of CHF
-Most asymptomatic -> may have easy fatigability or mild growth failure.
-Cyanosis does not occur unless pulmonary HTN present
-Hyperactive precordium, RV heave, fixed widely split S2
-2-3/6 systolic ejection murmur @ LSB
-Mid-diastolic murmur heard over LLSB
-Systolic murmur is caused by increased FLOW across the pulmonary valve, NOT THE ASD
-Diastolic murmur is caused by increased flow across the tricuspid valve & this suggest high flow Qp:Qs is 2:1

-paradoxical embolism- DVT clot goes to brain instead of lungs

How well did you know this?
1
Not at all
2
3
4
5
Perfectly
4
Q

ASD: tx

A

-Surgical or catherization lab closure for secundum ASD w/ a Qp:Qs ratio >2:1.
-Closure is performed electively between ages 2-5 yrs to avoid late complications (wait for it to close on its own)
-amplatzer is used
-Surgical correction is done earlier in children w/ CHF or significant Pulm HTN
-Once pulmonary HTN w/ shunt reversal occurs this is considered too late.
-Mortality is < 1%.

-endocarditis prophylaxis NOT required for ASD

How well did you know this?
1
Not at all
2
3
4
5
Perfectly
5
Q

VSD- ventricular septal defect

A

-abnormal opening in ventricular septum
-allows free communication between RV and LV
-25% of CHD
-fetal alcohol syndrome and down syndrome
-pulmonary artery is the determinant of flow
-left to right shunt occurs secondary to pulmonary vascular resistance being < systemic vascular resistance -> NOT the higher pressure in LV
-leads to elevated RV & pulmonary pressures/volume -> hypertrophy of LA & LV
-if the pulmonary HTN develops the blood switch to R->L shunt -> eisenmenger!
-holosystolic murmur at the LLSB

-4 types:
-Perimembranous (or membranous) – MC
-Infundibular (subpulmonary or supracristal VSD) – involves the RV outflow tract.
-Muscular VSD – can be single or multiple.
-AVSD – inlet VSD, almost always involves AV valvular abnormalities

-fatigue, failure to thrive,

How well did you know this?
1
Not at all
2
3
4
5
Perfectly
6
Q

VSD- SS

A

-Small - moderate VSD, 3-6mm, are usually asymptomatic and 50% will close spontaneously by 2yo

-Moderate – large VSD, almost always have symptoms and will require surgical repair

-2-3/6 harsh holosystolic murmur heard along LLSB, more prominent with small VSD, maybe absent with a very Large VSD.
-Prominent P2, Diastolic murmur.
-CHF, FTT, Respiratory infections, exercise intolerance hyperactive precordium
-Symptoms develop 1-6mo

How well did you know this?
1
Not at all
2
3
4
5
Perfectly
7
Q

VSD- tx

A

-Small VSD - no surgical intervention, no physical restrictions, just reassurance -> periodic follow-up and endocarditis prophylaxis.
-Symptomatic VSD - Medical treatment initially with afterload reducers & diuretics

-Indications for Surgical Closure:
-Large VSD w/ medically uncontrolled symptomatology & continued FTT.
-Ages 6-12 mo w/ large VSD & Pulm. HTN
-Age > 24 mo w/ Qp:Qs ratio > 2:1.
-Supracristal VSD of any size, secondary to risk of developing AV insufficiency

-larger the VSD -> aortic annulus -> incompetency of aortic valve -> aortic insufficiency

How well did you know this?
1
Not at all
2
3
4
5
Perfectly
8
Q

atrioventricular septal defect- AVSD

A

-results from incomplete fusion of endocardial cushions, which form lower portion of atrial septum, membranous portion of ventricular septum and septal leaflets of triscupid and mitral valves.
-account for 4% OF ALL CHD
-downs syndrome (trisomy 21), seen in 20-25%

-COMPLETE FORM
-Low primum ASD continuous with a posterior VSD.
-Cleft in both septal leaflets of TV/MV.
-Results in a large L to R shunt at both levels.
-TR/MR, Pulm HTN w/ increase in PVR.

-INCOMPLETE FORM
-Any one of the components may be present.
-MC is primum ASD, cleft in the MV & small VSD.
-Hemodynamics are dependent on the lesions.

How well did you know this?
1
Not at all
2
3
4
5
Perfectly
9
Q

atrioventricular septal defect- SS

A

-Incomplete AVSD maybe indistinguishable from ASD - usually asymptomatic.
-CHF in infancy.
-Recurrent pulmonary infections.
-Failure to thrive.
-Exercise intolerance, easy fatigability.
-Late cyanosis from pulmonary vascular disease w/ R to L shunt -> cyanosis is indicative of blood not going through pulmonary circulation!
-Hyperactive precordium
-Normal or accentuated 1st hrt sound
-Wide, fixed splitting of S2
-Pulmonary systolic ejection murmur w/thrill
-Holosystolic murmur @ apex w/radiation to axilla
-Mid-diastolic rumbling murmur @ LSB
-Marked cardiac enlargement on CX-Ray

How well did you know this?
1
Not at all
2
3
4
5
Perfectly
10
Q

atrioventricular septal defect tx

A

-Surgery is always required.
-Treat congestive symptoms.
-Pulmonary banding maybe required in premature infants or infants < 5 kg.
-Correction is done during infancy to avoid irreversible pulmonary vascular disease.
-Mortality low w/incomplete 1-2% & as high as 5% with complete AVSD.

How well did you know this?
1
Not at all
2
3
4
5
Perfectly
11
Q

patent ductus arteriosus (PDA)

A

-Persistence of the normal fetal vessel that joins the PA to the Aorta.
-Normally closes in the 1st wk of life.
-10% of all CHD, seen in 10% of other congenital hrt lesions and can often play a critical role in some lesions.
-Female : Male ratio of 2:1
-Often associated w/ coarctation & VSD
-dx- pulse and BP differentials in lower and upper extremities
-TORCH infection PDA assoc with -> rubella

How well did you know this?
1
Not at all
2
3
4
5
Perfectly
12
Q

eisenmenger syndrome =

A

pulmonary HTN due to congenital heart defect
-once you get here its too late

How well did you know this?
1
Not at all
2
3
4
5
Perfectly
13
Q

PDA- hemodynamics

A

-As a result of higher aortic pressure, blood shunts L to R through the ductus from Aorta to PA.
-Extent of the shunt depends on size of the ductus & PVR:SVR.
-Small PDA, pressures in PA, RV, RA are normal
-Large PDA, PA pressures are equal to systemic pressures. In extreme cases 70% of CO is shunted through the ductus to pulmonary circulation.
-Leads to increased pulmonary vascular disease.

How well did you know this?
1
Not at all
2
3
4
5
Perfectly
14
Q

PDA- SS

A

-Small PDA’s are usually asymptomatic
-Large PDA’s can result in symptoms of CHF, growth restriction, FTT.
-Bounding arterial pulses
-Widened pulse pressure
-Enlarged heart, prominent apical impulse
-Classic continuous machinary systolic murmur
-Mid-diastolic murmur at the apex

-doppler echo - confirms

How well did you know this?
1
Not at all
2
3
4
5
Perfectly
15
Q

PDA- tx

A

-Indomethacin, inhibitor of prostaglandin synthesis can be used in premature infants -> if it doesnt close -> surgery
-PDA requires surgical or catheter closure.
-Closure is required treatment heart failure & to prevent pulmonary vascular disease.
-Usually done by ligation & division or intra vascular coil.
-Mortality is < 1%

How well did you know this?
1
Not at all
2
3
4
5
Perfectly
16
Q

obstructive heart lesions

A

-Pulmonary Stenosis.
-Aortic Stenosis.
-Coarctation of the Aorta.

How well did you know this?
1
Not at all
2
3
4
5
Perfectly
17
Q

pulmonary stenosis

A

-pulmonary valve or subpulmonary ventricular outflow tract
-7-10% of all CHD.
-Most cases are isolated lesions
-Maybe biscuspid or fusion of 2 or more leaflets.
-Can present w/or w/o an intact ventricular septum
-obstruction of pulmonary flow -> decrease valve SA, decrease flow from left side, decrease opening
-compensate with RV hypertrophy
-associated with Noonan’s syndrome, secondary to valve dysplasia (high hairline, triangular face, transparent wrinkled skin, prominent nasolabial folds)

How well did you know this?
1
Not at all
2
3
4
5
Perfectly
18
Q

pulmonary stenosis hemodynamics

A

-RV pressure hypertrophy -> RV failure.
-RV pressures maybe > systemic pressure.
-Post-stenotic dilation of main PA.
-W/intact septum & severe stenosis -> R-L shunt through PFO -> cyanosis.
-Cyanosis is indicative of Critical PS.

How well did you know this?
1
Not at all
2
3
4
5
Perfectly
19
Q

pulmonary stenosis - SS

A

-Depends on the severity of obstruction.
-Asymptomatic w/ mild PS < 30mmHg.
-Mod-severe: 30-60mmHg, > 60mmHg.
-Prominent jugular a-wave, RV lift.
-Split 2nd heart sound w/ a delay.
-Ejection click, followed by systolic murmur.
-Heart failure & cyanosis seen in severe cases
-higher the pressure in the ventricle the higher the resistance through the valve

How well did you know this?
1
Not at all
2
3
4
5
Perfectly
20
Q

pulmonary stenosis tx

A

-Mild PS no intervention required, close follow-up.
-Mod-severe – require relieve of stenosis.
-Balloon valvuloplasty, treatment of choice.
-Surgical valvotomy is also a consideration

-if critical keep the PFO open with prostaglandin E -> surgery

How well did you know this?
1
Not at all
2
3
4
5
Perfectly
21
Q

aortic stenosis

A

-at or near aortic valve
-causes systolic pressure gradient of > 10mmHg
-7% of CHD
-supravalvular stenosis is found in williams syndrome

-3 Types
-Valvular – MC
-Subvalvular(subaortic) – involves the left outflow tract.
-Supravalvular – involves the ascending aorta -> least common.

How well did you know this?
1
Not at all
2
3
4
5
Perfectly
22
Q

aortic stenosis hemodynamics

A

-Pressure hypertrophy of LV and LA
-staged based on valvular SA and pressures:
-Mild AS- 0-25mmHG
-Moderate AS- 25-50mmHg
-Severe AS- 50-75mmHg
-Critical AS- > 75mmHg

How well did you know this?
1
Not at all
2
3
4
5
Perfectly
23
Q

aortic stenosis: SS

A

-Mild AS may present with exercise intolerance, easy fatigabiltity, but usually asymptomatic.
-Moderate AS – Chest pain, dypsnea on exertion, dizziness & syncope.
-Severe AS – Weak pulses, left HF, Sudden Death.
-LV thrust at the Apex.
-Systolic thrill @ rt base/suprasternal notch.
-Ejection click, 3-4/6 systolic murmur @ RSB/LSB w/ radiation to the carotids.

How well did you know this?
1
Not at all
2
3
4
5
Perfectly
24
Q

aortic stenosis tx

A

-surgery does not offer a cure
-reserved for pts with sx and resting gradient of 60-80mmHg
-subaortic stenosis- reserved for gradients of 40-50mmHg bc rapidly progressive
-Balloon valvuloplasty- standard of tx for children
-Aortic insufficiency & re-stenosis is likely after surgery and may require valve replacement.
-Activity should not be restricted in Mild AS.
-Mod-severe AS -> no competitive sports

-AVR is standard for adults

How well did you know this?
1
Not at all
2
3
4
5
Perfectly
25
coarctation of the aorta
-narrowing of the aorta at varying points -anywhere from transverse arch to the iliac bifurcation -before the PDA and after subclavian -98% of coarctations are juxtaductal (@ PDA) -Male: Female ratio 3:1. -7 % of all CHD -assoc with bicuspid aortic valve, seen in >70%!!!! -seen in turners syndrome
26
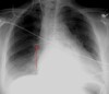
coarctation of aorta dx
-post ductal MC -initial test- BP -doppler echo- confirmatory -imaging: -scalloping of inferior border of ribs due to enlargement of intercostal arteries for collateral supply -"3" sign -red arrows point to rib notching caused by the dilated intercostal arteries -yellow arrow points to the aortic knob -blue arrow to the actual coarctation -green arrow to the post-stenotic dilation of the descending aorta
27
coarctation of aorta hemodynamics
-Obstruction of left ventricular outflow -> increases systemic peripheral resistance -> pressure hypertrophy of the LV
28
coarctation of aorta- SS
-diminution or absence of femoral pulses. -Higher BP - upper extremities > lower extremities. -90% have systolic HTN of the upper extremities -tinnitus, epistaxis, HA -Pulse discrepancy between rt & lt arms. -With severe coarc -> LE hypoperfusion, acidosis, HF, and shock! -Differential cyanosis if ductus is still open -2/6 systolic ejection murmur @ LSB -murmur on the back -Cardiomegaly, rib notching on X-ray
29
coarctation of the aorta tx
-With severe coarctation maintaining the ductus with prostaglandin E is essential!!! -Surgical intervention, to prevent LV dysfunction. -balloon Angioplasty is used by some centers -> adults -Re-coarctation can occur, balloon angioplasty is the procedure of choice.
30
Examination of a 3-hr old infant reveals dysmorphic features and cyanosis. Both the occiput and facial profile are flat, and the fontanelle is abnormally enlarged. The space between the great and second toe is wide, and there is a palmar crease extending across the left palm. Room air oximetry reveals a saturation 70%. Of the following, the MOST likely lesion to be found on echocardiography would be Atrioventricular septal defect Coarctation of the aorta Hypoplastic left heart Total anomalous pulmonary venous return Truncus arteriosus
-AVSD assoc with down syndrome -AVSD- cyanosis -down syndrome- Flat occiput and facial profile, Wide space between the first and second toes: "Sandal gap" deformity, Single palmar crease, Enlarged fontanelle: delayed suture closure
31
truncus arteriosus
cyanosis -part of the spectrum of conotruncal defects -aorta and pulmonary trunk are combined -22q11.2 deletion syndrome (DiGeorge syndrome)
32
After a few days of poor feeding and tachypnea, a 3-week-old presents with hypotension, poor central and peripheral pulses, and severe metabolic acidosis. A gallop is audible, and the heart appears enlarged on chest radiography. Hepatomegaly is marked. Of the following, the BEST intervention to produce a sustained improvement is 100% Oxygen administration Dopamine infusion Gamma globulin infusion Phenylephrine infusion Prostaglandin E infusion
hepatojugular reflex -coarctation of the aorta Prostaglandin E1 (PGE1): To reopen or maintain ductal patency, restoring systemic perfusion.
33
A term infant is born with a large ventricular septal defect. At what age is the infant most likely to first demonstrate clinical findings of CHF? 2 days 2 weeks 2 months 6 months 12 months
-2 months
34
adult congenital heart disease etiology
-US: 1,000,000 adults with congenital heart disease. -20,000 more patients reach adolescents yearly. -Cardiologists must: -Have detailed knowledge of congenital disease, both repaired and unrepaired. -Clearly define each patients surgical and corrective procedures.
35
surgical shunts in CHD
36
surgical procedures in heart disease
37
adult congenital heart disease: types
-Atrial Septal Defect. -Coarctation of Aorta. -Tetralogy of Fallot. -Transposition of Great Arteries. -Common Ventricle/Fontan Procedure. -Ebstien’s Anomaly. -Eisenmenger Syndrome. -Pregnancy.
38
atrial septal defect: adult
-1/1500 live births. -Secundum 75% -Primum 15% -Sinus Venosus 10% -Cor Sinus (rare) -Secundum: -MC Atrial congenital heart defect (6-10%). -Right axis deviation from RV and RA enlargement -Primum -Associated with other endocardial cushion defects (cleft AV valves, inlet type VSD). -Left axis deviation is hallmark -Sinus Venosus: -Large, associated with anomalous pulmonary venous drainage (usually R superior PV). -Coronary sinus (rare): -Associated with unroofed coronary sinus
39
ASD- clinical: adult
-Majority repaired in childhood but may present in adolescence/adulthood. -Asymptomatic: Murmur, abnormal ECG/CXR -Symptomatic: -Dyspnea/CHF. -CVA/emboli. -Atrial Fibrillation.
40
auscultation in ASD: adult
-Increased flow across PV -> systolic ejection murmur and fixed splitting of S2 (in part due to delayed right bundle conduction) -Increased flow across TV produces a diastolic rumble at the mid to lower right sternal border -Older pt loses pulm ejection murmur as shunt becomes bidirectional. -signs of pulm HTN/ CHF may predominate.
41
dyspnea =
heart disease
42
ASD- therapy: adult
-Percutaneous Closure: -Only for secundum (contraindicated in others). -Adequate superior/inferior rim around ASD. -No R-L shunting. -Surgical Closure. -Good prognosis: -Closure age < 25, PA pressure <40. -If >25 or PA>40, decreased survival due to CHF, stroke, and afib.
43
coarctation of aorta: adult
-Narrowing in proximal descending aorta. -May be long/tubular but MC discrete ridge -after PDA (closed) -Natural hx: poor prognosis if unrepaired. -Aortic Aneurysm/dissection -saccular (berry) aneurysms -CHF -Premature CAD -claudication -HTN due to decrease blood to kidneys -> RAS
44
coarctation of aorta: clinical: adult
-Most repaired, but adult presentation may be: -HTN. -Murmur (continuous or systolic murmur heard in back or SEM/ejection click of bicuspid AV). -Weak/delayed LE pulses. -Rib notching (3-9) on CXR pathognomonic -> posterior intercostals
45
coarctation repair: adult
-Surgical correction -1) Patch aortoplasty with removal of segment and end to end anastomosis or subclavian flap repair. -2) bypass tube grafting around segment. -Despite surgery -> morbidity/mortality -> average age 38. -70% of repaired patients still go on to develop HTN, pathology not well understood. -Recurrence in 8-54% of repairs -> can undergo repeat surgery or balloon angioplasty. -Aortic Aneurysm/rupture may occur despite successful repair and correction of HTN (freq around anastomosis site on patch repair) -survival after the repair decreases over time -> CAD
46
coarctation follow up: adult
-Every 1-2 years: -Document arm/leg BP. -Screen/treat CAD risk factors. -HTN: rest, provoked by exercise or seen on ambulatory monitoring. -ECHO/doppler to eval recurrent. -MRI for aneurysm!!
47
tetralogy of fallot
-4 features: -VSD -Overriding Aorta. -Pulmonic Stenosis. -RV hypertrophy -Variability correlates with degree of RVOT obstruction and size/anatomy of PA -MC cyanotic heart disease -40yo 95% mortality -assoc- chromosome 22 deletion and digeorge -mild- L -> R -severe- R -> L (if RVOT is higher pressure than LV -> VSD) -dx- echo
48
tetrology of fallot sx
-mild may be asymptomatic on initial exam -Mild-severe cyanosis depends on severity of the RVOTO! -Mild obstruction → left-to-right shunt via VSD → little or mild cyanosis -Severe obstruction → right-to-left shunt via VSD → severe cyanosis -Tet spells: intermittent hypercyanotic, hypoxic episodes -peak incidence at 2–4 mo -Assoc w/ stress (crying, feeding, defecation) -Caused by increase in PVR or decrease in SVR → intermittent worsening of RVOTO and ↑ right-to-left shunting -Spells occur suddenly -potentially lethal -Untreated children tend to squat: squatting → ↑ SVR → ↓ right-to-left shunt → ↑ blood flow to pulmonary circulation → ↓ hypoxemia → relief of symptoms -Harsh systolic ejection murmur @ LUSB -Single S2 -Possible RV heave and systolic thrill -CHF symptoms
49
TOF dx
-echo- confirmatory -usually dx during gestation -boot shaped heart -Right axis deviation on ECG
50
tetralogy: surgical tx
-within 1st year of life -Complete Repair: -Severe RVOTO: PGE1 infusion until surgery -Takedown of prior shunt (if done) -Patch VSD -Resection of subpulmonic obstruction. -Transannular patch around pulm valve annulus (usually leads to severe PI). -Systemic – Pulmonary Shunt: -this is done if ^ surgery wasnt possible at first -Blalock-Taussig- palliative- connects subclavian artery to pulmonary artery with a graft -> f/u for pulm artery stenosis and Pulm HTN!! -Waterston (RPA). -Potts (LPA). -Prior pulmonary valve atresia or anomalous LAD may have had prosthetic or homograft conduit ± valve placed between RV and PA. -Conduits can undergo endothelial overgrowth and obstruction of “pseudo RVOT” – can Rx with balloon angioplasty or operative conduit replacement -Acute hypoxia (tet spells): -oxygen. -Knee to chest position, squatting -IM morphine -AVOID ACEi
51
isolated wrist pain
= cardiac ischemia -afib -> rate control most important (BB, digoxin) -bachmann's bundle -> diuresis -> decrease edema and atrial stress? -know how to do a ABI
52
tetralogy: risk/fu
-Sudden cardiac death ↑ 25-100 fold: -Risk can occur 2 decades after correction. -Related to QRS duration > 180msec. -? Due to Pulmonary insufficiency/RV conduction defect. -Atrial arrhythmias also common -Hemodynamic effects of Pulmonary insufficiency: -Chronic RV volume overload, RV dysfunction and exercise intolerance. -Pulmonic Valve Replacement can decrease QRS duration and stabilize RV fxn; timing unclear but earlier better than later. -RV fxn: ECHO or MRI. to prevent long-term complications, such as heart failure, arrhythmias (e.g., ventricular tachycardia), and neurodevelopmental impairment
53
transposition D-type
-Pulmonary artery arises from LV, Aorta from RV and anterior/right of pulmonary artery -Cyanosis!!! -RF- mothers with diabetes -dx- echo, CXR- egg on a string -tx- prostaglandin to keep ductus open at first -> and balloon atrial septostomy to open foramen ovale to improve systemic saturation -Repair via “atrial switch” Mustard procedure: -within first 2 weeks - SVC/IVC baffled to LA/LV/PA. -Pulm Veins baffled to RA/RV/Ao. -Symptom free survival until 2nd-3rd decade of life. -Repair via “arterial switch” -Long term data? -Pulmonic valve (neo-aortic valve). competence?, reimplanted coronaries may develop ostial stenoses
54
D transposition complications
-Arrhythmias/Sudden cardiac death -Only 18% maintain SR; most go on to SSS/Afib/Aflutter; pacemaker often needed. -Aystemic (tricuspid) atrioventricular valve regurgitation. -? TVR. -Aystemic (RV) ventricular failure: -15% have CHF sxs by 2nd-3rd decade. -Rx transplant or staged Arterial switch (pulm banding to “train” LV). -Baffle obstruction: -Rare (5%) but serious complication; venous more common. -Suspect if new upper extremity edema (venous) or new CHF sxs (pulm venous). -ECHO or Cath to eval, pulm venous obstruction Rx with surgery, systemic venous with angioplasty/stents
55
intracardiac pacemaker placement following atrial switch procedure
-pacer wire must go to LV via SVC baffle
56
L type transposition
-Atrial-ventricular AND ventricular-arterial discordance. -Physiologically correct, anatomically incorrect. -“Congenitally corrected” transposition. -RV is systemic ventricle, TV is systemic AV valve. -Asymptomatic for many years, often into adulthood.
57
L type transposition complications
-Although seemingly benign, survival is reduced with one study showing 25% of patients died by mean age 38. -Progressive Heart Failure -Arrhythmias: -Sudden cardiac death -AV block -Atrial arrhythmias -Severe AV (tricuspid) regurgitation – TVR: -Difficult to image using conventional ECHO. -MRI becoming test of choice for RV function (NOT ECHO)!!!!!
58
tricuspid valve atresia
-no tricuspid valve -can only survive if you have a ASD and VSD -RV hypotrophy and RA dilation -cyanosis -dx- echo -tx: -PGE1 infusion -inotropes, mechanical ventilation, oxygen -Surgical repair: 3 stage surgical palliation to isolate both pulmonary and systemic circulations -1. Norwood procedure (stage I): neonate -2. Glenn procedure (stage II): ∼ 3–6 months -3. Fontan procedure (stage III): performed after 2–3 years of age
59
the fontan patient
-Any congenital anomaly with an effective “single” or “common” ventricle may lead to a Fontan procedure. -Tricuspid Atresia – also any other form of right sided hypoplasia or atresia. -Double Inlet LV. -Hypoplastic Left Heart. -Some variations of Double Outlet RV -Staged Procedure: -Basic concept is to provide systemic venous return directly to pulmonary artery and bypass ventricle. -Systemic-pulm shunt to stabilize pulm blood flow. -Bi-directional Glenn or hemi-Fontan procedure -> SVC flow directed to PA and sys-pulm shunt ligated. -Finally, Fontan procedure with IVC directed to PA. -Older Fontan: includes RA in circuit; newer methods bypass RA
60
fontan complications
-Arrhythmias: Most pt develop SSS/tachy-brady -Heart Failure. -RA may become enlarged and source for thrombus (with older Fontan), can undergo Fontan revision with bypass of RA/extracardiac graft. -Uncorrected pts develop POLYCYTHEMIA and tx becomes palliative at this point -> irreversible stage -hypoxia -> EPO -> polycythemia
61
switch procedure
-thrombocytopenia after surgery (mechanical) The aorta and pulmonary arteries are cut off close to the base where they connect to the heart. The coronary arteries are also detached from the base of the aorta. 2) The aorta and coronary arteries are attached to the base of the original pulmonary artery. The pulmonary artery is moved in front of the new aorta. 3) The pulmonary artery is then attached to the base of the original aorta and holes from the removed coronary arteries are patched.
62
hypoplastic left heart syndrome
-several anomalies: -coarctation of the aorta -hypoplasia of LV -aortic and mitral valve stenosis or atresia -cyanotic defect -right heart pumps blood to body through PDA -closure of PDA results in hypotension, shock, and death -need PDA and ASD to survive -maintain hypoxemia with normalized CO2 levels -"40-40 club" -PO2-PCO2 -dx- echo -chronic hypoxia -> tissue damage
63
surgical tx of hypoplastic left heart syndrome
-PGE1 infusion -3 separate surgeries: -norwood procedure: first few days after birth -glenn shunt (Cavo pulmonary connection)- 3-9 months of age -fontan procedure- 2 years of age -less wait bc of damage from pulmonary HTN -surgical repair has to start at a early age
64
transposition of the great arteries (TGA)
-egg on a string
65
ebsteins anomaly
-Atrialization of RV, sail-like Tricuspid valve -> sig tricuspid regurgitation -extends into the RV -RA hypertrophy -50% ASD/PFO! -50% ECG evidence of WPW -RF- gestational lithium exposure -Age at presentation varies from childhood -> adulthood and depends on factors such as severity of TR, Pulm Vascular resistance in newborn, and associated abnormalities such as ASD
66
-CXR of pt with ebstein anomaly -massive cardiomegaly - box shape appearance -due to right atrial enlargement -right atrial hypertrophy -right side megaly = rotational changes in heart of RV or RA hypertrophy -left side megaly = LV hypertrophy -flat LA = LA hypertrophy -nike swoop on top left = normal
67
ebsteins: clinical presentation
-Pediatric: Murmur. -Adult (unrepaired with ASD) -Atrial arrhythmias. -Murmur. -Cyanosis -> R->L shunt NOT due to Pulm HTN but TR jet directed across ASD -Exercise intolerance! -respiratory distress, edema, hepatomegaly -Surgery in pts with significant TR/sxs -air fluid levels from abscess in endocarditis due to drugs -> tricuspid -> strep
68
eisenmengers syndrome
-Final common pathway for all significant L -> R shunting in which unrestricted pulmonary blood flow leads to pulmonary vaso-occlusive disease (PVOD); R -> L shunting/cyanosis develops. -Generally, need Qp:Qs >2:1. -reversal of flow is pressure is > systemic -surviorship is bad
69
eisenmenger complications
-Coagulopathy/platelet consumption. -Brain abscesses. -Cerebral microemboli. -Airway hemorrhage: -Especially moving from lower -> higher altitudes (air travel, mountains)
70
eisenmenger tx
-Sxs +polycythemia -> phlebotomy: -Careful if microcytosis, strongest predictor of cerebrovascular events. -RULE OUT CORRECTABLE DISEASE. -Once diagnosis established, avoid aggressive testing as many patients die during cardiovascular procedures. -Diuretics prn, oxygen. -Definitive: Heart Lung transplant: -Prostacyclin therapy may delay, expensive
71
72
coronary surgery: hx
1946 Vineberg: IMA implanted into myocardium. 1962 Sabiston: First CABG. 1967 Kolessov: IMA to LAD on beating heart. 1967 Cleveland Clinic: began series of coronary bypass grafts using cardiopulmonary bypass. 1990’s- present: minimally invasive/ robotics.
73
CABG for CAD
-According to AHA every minute someone dies from complications of coronary heart dz. Number 1 cause of death of men and women in America. -Risk factors: gender ( begins to equalize with advanced age), HTN, DM, age, cholesterol, smoking, family history, obesity. -dx: gold standard- angiogram
74
CAD: who goes to the OR
-Triple Vessel Dz. -Left Main Dz. -Failed Medical Therapy -Thrombosis, post PTCA or in-stent restenosis -Emergently from cath lab (coronary dissection) from stent -failed surgery graft -> straight to OR
75
coronary anatomy
76
CABG
-Aim to restore flow from the aorta to the coronaries distal to obstruction. -N.B.- CABG does NOT rid pt of dz/ dz process (CAD). -Done using vascular “conduits” (veins, arteries) with distal anastomosis to coronary artery then proximal anastomosis to the aorta. -Can be done with/ without the assistance of cardiopulmonary bypass (“on-pump” or “off-pump”) -indication High-grade left main stem coronary artery stenosis (>50%) Significant stenosis (> 70%) of the proximal left anterior descending artery, with 2-vessel or 3-vessel disease Symptomatic 2-vessel or 3-vessel disease Disabling angina despite maximal medical therapy -failed PCI -multivessel ds + DM2 -On Pump vs. off pump. -Controversial topic. OPCAB may decrease cognitive/ neurologic dysfunction, post op AF, bleeding, operative time, ?mortality. -But surgeon skill set required. ?Decreased patency on beating heart? Difficult positioning for distals -anastomose distal to occlusion
77
cardiopulmonary bypass
-CPB machine diverts blood from the IVC/SVC, oxygenates blood, back to the body via aorta. -Advantages: Quiet, bloodless field, better distal anastomoses. Still the standard. -Disadvantages: Increase time in surgery, pt must be heparinized then reversed, platelet dysfunction, complications can include hypoperfusion, fluid retention, CVA. -has to be fully heparinized -> bleed risk
78
Differentiate between post cardiac surgery heparin induced thrombocytopenia and its general surgery variant
-Post-Cardiac Surgery HIT -Higher (~3-5%) -Delayed or early-onset -Milder thrombocytopenia (>50,000/μL) -Thrombosis Risk- Higher (~50%) -Confounded by post-op platelet drop -Prevent arterial & venous thrombosis -general varient -lower occurance -7-10 days later -moderate thrombocytopenia >50,000 -lower thrombosis risk -easy to identify -Focus on venous thrombosis prevention
79
CABG (Conduit choice)
-LIMA (LITA) to LAD: “gold standard” >90% patency rate at 10 years. -Radial Artery: 90% at 5 years. Pros: good patency, less infxn than leg, early ambulation. But contraindicated in renal failures pts, must be ulnar dominant, use depends on degree of stenosis and distance of distal. -Saphenous venous graph (SVG): 50% at 10 years (65-70% at 5 years) Pros: good supply- 2 legs worth, less vasospasm, less/no infxn w/EVH. -Other: right internal mammary (RIMA) (but B/L IMA’s assoc. w/ increased wound infection in obese and DM), gastroepiploic (small, difficult) -steel wire to close -cant take both the left and right internal mammary
80
aortic valve stenosis (AS)
-Aortic Stenosis from thickening, caclification, +/or fusion of aortic leaflets causing LV outflow obstruction. -Pressure overload of LV -> LVH, increased myocardial oxygen demand. -Seen in younger pt’s w/ congenital bicuspid valves. -Older pt’s with hx of rheumatic fever. -Symptoms may include angina, syncope, or CHF each with worsening prognosis if untreated -Dx: Echo +/- cardiac cath on PE systolic murmur (crescendo-decrescendo) 2nd right intercostal space. -Surgery indicated if symptomatic or based on cross sectional area of valve and gradient across the valve -LDH, LAH, wet lungs, edema, right ventricular failure
81
Aortic valve insufficiency (AI)
-Incompetence of the aortic valve, backflow causes LV dilatation, LVH -bobbing of the head, bobbing of the uvula -pistol shots over femoral artery -water hammer, corrigans pulse -Causes: Bacterial endocarditis, hx of rheumatic fever, aortic root dilatation, bicuspid valve predisposes. -Diagnosis: Echo, cath, on PE “blowing”, decrescendo diastolic murmur L sternal border. -Surgery indicated if symptomatic with severe AI, acute w/ heart failure, impaired LV fxn, persistent bacteremia/sepsis or annular abscess formation -mechanical valve lasts longer - pig needs another repair in the future -mechanical requires anticoagulation
82
AVI: indications for repair
-ACC/AHA guidelines recommended AVR or aortic valve repair in asymptomatic patients with chronic severe AR who have reliable evidence of LV systolic dysfunction (eg, LVEF <50 percent). -In addition, the guidelines indicated that aortic valve replacement is reasonable in asymptomatic patients if LVEF is >50 percent and LV end-systolic dimension >55 mm, or LV end-diastolic dimension >75 mm. IIa -Lower threshold values for LV end-systolic (>50 mm) and end-diastolic )>70m) IIb. -Dimensions recommended by the ESC guidelines and ACC/AHA guidelines, could be considered in patients of small stature
83
root repair guidelines
-Positive aortic valve replacement or repair, concurrent repair of the aortic root or replacement of the ascending aorta is indicated if the aortic root and ascending aorta diameter is greater than 45 mm. -Independent of the need for aortic valve replacement or repair, repair of the aortic root or replacement of the ascending aorta is indicated if the aortic root and ascending aorta diameter is greater than 50 mm or the rate of increase is ≥5 mm per year
84
aortic valve surgery
-Aortic valve repair possible in AI if leaflet coaptation is only problem. Valve “sparing” good for young pt’s. -AVR- tissue valve, mechanical valve, Ross procedure (under 50y/o)
85
AVR: choice of prosthesis
-Patients’ age is probably the most important factor in recommending tissue or mechanical valve. -Bioprosthetic valves are ideally suitable for older patients (>70 years) or those who are not likely to outlive the valve (co-morbidities). -Mechanical valves should be recommended to younger patients (<60 years). -If anticoagulation is a perceivable problem, tissue valves can be used in younger patients but the probability of reoperation is high
86
TAVR
-indications- society of thoracic surgeons operative risk score >8% or at a >15% risk of mortality at 30 days)
87
TAVR presentation
88
most important anastamosis
-aortic -then the target -> distal to blockage
89
mitral valve stenosis (MS)
-Thickening of the mitral leaflets and narrowing of the valve. Almost always due to rheumatic fever. -Symptoms may include dyspnea from increased LA pressures causing pulmonary edema, afib from dilated LA. -Diagnosis by echo/cath- transvalvular gradient. On PE diastolic murmur at apex “rumble.” -Indication for surgery based on symptoms/ degree of MS, percutaneous balloon valvuloplasty not indicated or failed -Surgical tx: open commissurotomy but if leaflets are calcified or degree of fusion is too great then replacement
90
mitral valve regurgitation (MR)
-Incompetence of the mitral valve from mitral prolapse, rheumatic fever, papillary muscle dysfxn (post MI), ruptured chordae, dilatation of the annulus. -Diagnosis: Echo/cath. On PE holosystolic murmur from apex to axilla. -Symptoms may include dyspnea, palpitations, fatigue. Late onset. -Indication for surgery based on cath/ echo findings -Surgical treatment: for degenerative MR, dilated annulus, flail leaflet mitral repair or ring annuloplasty possible. Otherwise Mitral replacement. -biphasic P waves -afib, enlargement of atrial appendage
91
valve replacement considerations
-Mechanical valve: pros- likely last forever -cons- lifelong anticoaggulation, if infected will likely need reop, can’t use in pt’s w/ bleeding disorder. -Good for younger pt’s (<65y/o), avoid reop. -Tissue valve: gluteraldehyde treated bovine or porcine pericardium. pros- no need for coumadin -cons- last only ~10-15 years. -Good for older pt’s w/ risk of bleeding from anticoagulation
92
aortic dissection
-A tear in the intima which enables blood to flow into the media creating a false lumen. Causes include HTN, bicuspid aortic valve, atherosclerotic dz, Marfan’s syndrome. -Presents w/ severe chest pain “tearing” sensation which can radiate to the back. -Diagnosis: cxr- widened mediastinum -TEE, CT, Aortography. -Considered acute if diagnosed within 2 weeks of onset. -MC cause of death is rupture -> hemopericardium
93
aortic dissection types
-2 classification types: -DeBakey Type I involves ascending and descending, Type II ascending, Type III descending. -Stanford Type A involves ascending +/- descending (= DeBakey Types I & II) -> surgery -Type B descending only (= DeBakey Type III) -> medical management -esmolol, cardiazem, clevaprex -hydralazine - increases sheer forces -> increase risk for aneurysm rupture -Surgery indicated for Type A (I & II). -Type B (III) can be managed medically (control of HTN) unless complicated- uncontrollable HTN, persistent pain, rupture.
94
aortic aneurysm
-Dilatation of the thoracic aorta usually from atherosclerosis. -Many pt’s are asymptomatic, may have chest pain. -Diagnosis: CXR, CT, MRI -2x the lumen of the natural aorta -Indications for surgery: symptoms, >5.5 cm in diameter, rapid increase in diameter (>0.5 cm per year). -Surgery: replace with a graft. Ascending repair, Bentall (if root involved), hemiarch, arch, elephant trunk (2 stage arch/descending), descending
95
frozen elephant trunk
-replace it with a graft -must perfuse the patient
96
redundant aorta??
-not actually enlarged -
97
cardiac surgery post op complications
-hemodynamic monitoring -vent dependence /respiratory failure -> want to get off vent as soon as possible -10 days on vent 10% chance of VAP -stroke -pericardial tamponade -afib - 25% -sternal wound infection (or conduit site infection) -post op MI / acute graft closure -early ambulation, deep breathing -cardiovert to fill chambers normally
98
central venous catheters
-Vascular access when peripheral IV access is poor or unavailable. -Rapid administration of IV fluids. -Infusion of Ionotropes, vasopressors, or vasodilating agents. -Infusion of total parenteral nutrition (TPN). -Monitoring of central venous pressure (CVP) or access for Pulmonary artery catheter monitoring (swan-ganz).
99
arterial catheters
-continuous blood pressure monitoring -frequent arterial blood gas sampling
100
pulmonary artery catheter
-Continuous hemodynamic monitoring in an unstable or potentially unstable patient. -For use in the guidance of fluid management in complex clinical situations. -For Mixed venous sampling. -For preoperative assessment and optimization prior to cardiac surgery. -To assess right sided heart pressures and the presence of pulmonary hypertension.
101
seldinger technique
102
swan ganz catheter
103
104
transvenous pacemaker
-Heart block 2nd or 3rd degree. -Symptomatic sick sinus syndrome (tachy-brady syndrome). -Drug induced heartblock. -Electrolyte induced heartblock.
105
chest tube/pigtail catheter
-Reexpansion of the lung due to pneumothorax. -Drainage of a hemothorax (not pigtail catheters). -Drainage of a pleural effusion.
106
thoracentesis
-To obtain pleural fluid sampling for diagnosis. -Drainage of serous pleural effusions.
107
sternal wound infection
PREVENTION: -Identification and correction of risk factors -antibiotic prophylaxis with cephalosporins and/or vancomycin -Optimization of glycemic control and nutritional status- 140-180 -Smoking cessation -Instability of the sternum -Pain, chest wall discomfort at rest -Audible click during chest movements (e.g., coughing) -Increased wound drainage -tx- STABLE -rewire or sternal plate fixation -muscle flap -tx- INFECTION -debridement and drain -antibx -delay wound closure
108
post op afib
-rate control- BB, CBB, digoxin -rhythm control if rate fails or >48 hrs -> cardioversion (amiodirone) -anticoagulation if throbosis risk or >48hrs
109
mediastinal bleed
Treatment: raising the airway pressure for artificial ventilation; surgical exploration of the mediastinum
110
ejection fraction
Normal EF: 55-70% Borderline EF: 50-55% Reduced EF: <50% Severely Reduced EF: <35% -<35- defib -preserve- diastolic HF -low- systolic HF