thorax Flashcards

(70 cards)

1
Q

key questions to ask

A

-Smoking History:
-Previous Cancers
-Personal and Family History of Cancer

-Current Lung Diseases:
-Chronic obstructive pulmonary disease (COPD)
-Emphysema
-Interstitial lung disease

-Travel History:
-Endemic TB Regions

-History of:
-rheumatoid arthritis -> rheumatoid lung
-Granulomatosis with polyangiitis
-Other autoimmune disorders

How well did you know this?
1
Not at all
2
3
4
5
Perfectly
2
Q

solitary pulmonary nodule/coin lesion

A

-Discrete lesion that is rounded and normal lung parenchyma surrounds it
-<3 is cm in diameter
-No associated findings such as:
-Lymphadenopathy
-Atelectasis
-Pneumonia

-When located in a patient > 50 high risk of it being lung cancer.
-General Population Screening: 2 – 24%
-High Risk Population Screening: 17 – 53%
-Vast majority are benign.
-Key to tx is making the correct diagnosis. Why?
-Fear of Malignancy!!!!

How well did you know this?
1
Not at all
2
3
4
5
Perfectly
3
Q

physical exam

A

-not usually helpful
-may help if there are assoc pulmonary diseases -> TB, COPD, emphysema, chronic bronchitis

How well did you know this?
1
Not at all
2
3
4
5
Perfectly
4
Q

diagnostic tools

A

-Computed Tomography (CT):
-Most Likely to Detect solitary pulmonary nodule!!!!
-Best Modality for Follow-up (subtle 1 – 2 mm changes in size)
-picks up small changes in size

-Chest Radiograph:
-Most Commonly! used
-Performed as an Initial Diagnostic Imaging Study
-incidental finding
-compare to previous images

-MRI:
-use if there is a Cystic of Ground-Glass Lesions

-PET Scan:
-use If SPN > 8mm
-likely cancer if larger

-Electromagnetic Navigation Bronchoscopy (ENB):
-$$$ Noninvasive Modality
-not really needed

-Tumor Markers:
-See Next Slide

-**Biopsy!!:
-Ultimately Need Tissue

How well did you know this?
1
Not at all
2
3
4
5
Perfectly
5
Q

tumor markers

A

-Carcinoembryonic Antigen (CEA):
-Colon and rectum(colorectal or bowel cancer)
-Prostate
-Ovary
-Lung
-Thyroid
-Liver
-Pancreas
-Breast

-Folate Receptor-Positive Circulating Tumor Cells:
-Ovarian
-Non-Small Cell Lung Cancer (NSCLC)

-tumor markers are not always present -> not used as screening bc of this
-useful for monitoring of reoccurrence of a tumor that was previously secreting a marker

How well did you know this?
1
Not at all
2
3
4
5
Perfectly
6
Q

tumor markers: galectin-3-binding protein

A

-Breast Cancer
-Lung Cancer
-Melanoma
-Ovarian
-HCC
-Pancreatic Cancer
-Prostate
-Oral Squamous Cell Cancer
-Neuroblastoma
-Glioblastoma Multiforme
-Gastric Cancer
-Lymphoma
-Colon Cancer
-Mesothelioma
-Ewing’s Sarcoma

How well did you know this?
1
Not at all
2
3
4
5
Perfectly
7
Q

C163A

A

-investigation for use in risk stratification for cancer
-shows promise in eval of benign lung lesions
-not yet developed
-expieremental

How well did you know this?
1
Not at all
2
3
4
5
Perfectly
8
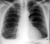
Q

x ray

A

-is this a nodule or a nipple shadow
-right lower

How well did you know this?
1
Not at all
2
3
4
5
Perfectly
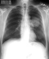
9
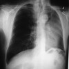
Q

x ray

A

-squamous cell carcinoma -> strip blood supply -> necrosis
-cyst or abscess
-air fluid level

How well did you know this?
1
Not at all
2
3
4
5
Perfectly
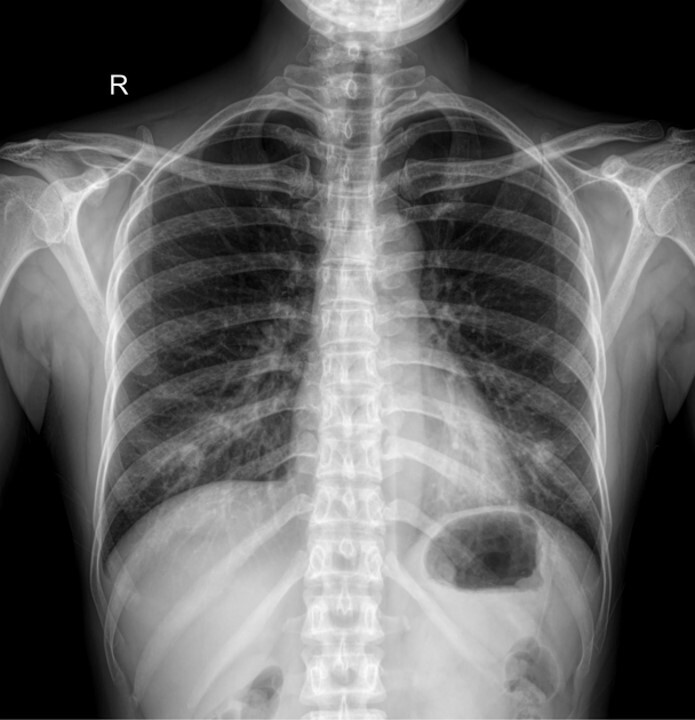
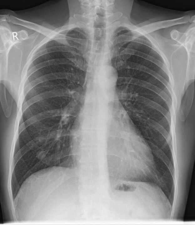
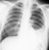
10
Q

x ray

A

-nipples

How well did you know this?
1
Not at all
2
3
4
5
Perfectly
11
Q

approach to a small pulmonary nodule

A

-SPN Found on CXR
-Look for prior films to collaborate finding
-If on an old film then interval surveillance is acceptable
-If it is a new lesion, go to CT scan evaluation
-High suspicion on CT Scan, move to PET scan
-PET-avid lesion in a smoker if they are a good candidate resection is suggested
-After PET still unclear or poor surgical candidate perform biopsy
-If biopsy attempt fails, then wedge resection via VATS

How well did you know this?
1
Not at all
2
3
4
5
Perfectly
12
Q

complication of SPN intervention

A

-Usually Attributed to Surgical Interventions:
-Bleeding
-PE
-Infections:
-Empyema
-Pneumonia
-Surgical site infections

-Pleural Effusion
-Pneumothorax
-Myocardial Infarction
-Central neurological events- stroke

How well did you know this?
1
Not at all
2
3
4
5
Perfectly
13
Q

lung cancer etiology

A

-Smoking***
-Passive Smoking
-Treatment of Non-Lung Cancer- Breast, Non-Hodgkins Lymphoma -> Radiation exposure
-Heavy Metal Exposure: Chromium, Nickel, Arsenic, and Polycyclic aromatic hydrocarbons
-Lung Diseases: Idiopathic Pulmonary FIbrosis
-Exposures: Asbestos, Radon

How well did you know this?
1
Not at all
2
3
4
5
Perfectly
14
Q

types of lung cancer

A

-Adenocarcinoma
-Squamous Cell Carcinoma
-Adenosquamous Carcinoma
-Large Cell Carcinoma
-Small Cell Carcinoma

How well did you know this?
1
Not at all
2
3
4
5
Perfectly
15
Q

NSCLC

A

-Adenocarcinoma
-can also be a Squamous Cell Carcinoma (women; central lesion, smokers 1st or 2nd hand)
-Surgical resection, chemotherapy, radiotherapy, and immunotherapy
-Potential Operability & Surgical Cure

How well did you know this?
1
Not at all
2
3
4
5
Perfectly
16
Q

SCLC

A

-Central Necrosis
-Sensitive to CTX but high recurrence rate
-MC with paraneoplastic syndromes
-Surgical Cure is NOT a Realistic Option but is Utilized
-Median Survival 7 Months
-toes, bones, and perio-osteo overgrowth -> hypertrophic pulmonary osteoarthropathy

How well did you know this?
1
Not at all
2
3
4
5
Perfectly
17
Q

tumor location

A

-central- sclc -> metastasize
-peripheral- nsclc

How well did you know this?
1
Not at all
2
3
4
5
Perfectly
18
Q

questions to ask

A

-Smoking History
-Work History
-Exposures
-Nothing specific exists to look for or ask on the history & physical examination
-perineoplastic signs?

How well did you know this?
1
Not at all
2
3
4
5
Perfectly
19
Q

hx and PE

A

-Local Factors
-Compression Factors- SVC syndrome- plethoric face, edema -> radiation immediately (not surgery) -> this is a emergency -> need to restore blood flow
-Paraneoplastic Factors
-Cough 50 – 70% of patients- primary and metastatic pts

How well did you know this?
1
Not at all
2
3
4
5
Perfectly
20
Q

clubbing

A

-not exclusive to lung cancer

How well did you know this?
1
Not at all
2
3
4
5
Perfectly
21
Q

concerning presentations

A

-Cough
-lesion with Pneumonia
-Hemoptysis- can be tb
-Chest Pain
-Dyspnea
-SVC Syndrome

-Metastatic Disease:
-Bone (20% in NSCLC; 30 – 40% in SCLC)
-Brain (20% in SCLC)
-Liver (uncommon until advanced)

How well did you know this?
1
Not at all
2
3
4
5
Perfectly
22
Q

serious complications

A

-SVC Syndrome: Common in SCLC

-Pancoast Syndrome:
-Superior Sulcus Tumor of Wide Mediastinum
-Shoulder Pain
-Horner Syndrome- ptosis, miosis, anhidrosis -> Neurovascular involvement is bad prognosis -> involves stellate ganglion - sympathetic chains C6-C7 (numbness/tingling of hand/arm)

-Bone Erosion- clavicle
-Atrophy of Hand Muscles- innervation abnormalities

-Paraneoplastic Syndromes
-PTH-like Hormone
-SIADH-Like Hormone
-ACTH-Lile Hormone (SCLC)
-Lambert-Eaton Myasthenia Syndrome- myasthenia gravis

How well did you know this?
1
Not at all
2
3
4
5
Perfectly
23
Q

flow chart for lung cancer

A

-important for staging

How well did you know this?
1
Not at all
2
3
4
5
Perfectly
24
Q

staging workup for all lung cancer pts

A

-CT scan of chest and upper abdomen -> metastasize to adrenal glands -> Addisonian crisis!!!
-CBC w/ diff- leukocytosis, anemia
-serum chemistry - Cr, electrolytes, Ca, alk phos - hypercalcemia
-aspartate aminotransferase (AST)
-pulmonary function testing- required only if surgical resection is considered
-mediastinoscopy- required only if surgical resection is considered

How well did you know this?
1
Not at all
2
3
4
5
Perfectly
25
molecular testing
-Epidermal growth factor receptor ( EGFR) mutation (MC; Peripheral)!! -Anaplastic lymphoma kinase (ALK) rearrangement (MC, Central)!!! -use these to tell if its bronchogenic or non-bronchogenic / peripheral or central) DONT NEED TO KNOW: -BRAF V600E  mutation -RET rearrangement -ROS-1 rearrangement -NTRK 1/2/3 gene fusion -MET exon 14 skipping -KRAS G12C mutation -Programmed death ligand 1 (PD-L1) expression
26
tx recommendation of non small cell lung cancer
-know the stage and management
27
prognostic factors
28
-non small cell cancer -large central lesion -bronchoscopy -transbronchial bx
29
-non small cell lung cancer -left pleural effusion -nodule hidden in the fluid -tap the pleural effusion -> malignant cells -non operable - metastatic
30
-non small cell cancer -left upper lobe collapse -bronchogenic -> causes lung to collapse
31
-non small cell cancer -complete collapse -bronchogenic carcinoma of left main stem bronchus -trachea is not midline (to left) -> atelectasis pull towards affected side -bronchoscopy needed to clear blockage so lung can re-expand
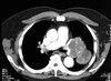
32
-CT -contrast enhanced -large left lung lesion -huge complex lesion -> different densities -invading the pulmonary artery -hilar mass -small cell lung carcinoma
33
PET -anterior -left lower lobe lung cancer -left adrenal gland tumor -addisonian crisis!
34
-bone scan -metastatic -non curable -spine, pelvis, scapula -poor prognosis
35
mediastinoscopy
-look for nodes in the sternum -mediastinoscopy -collar incision midline -put finger in -find innominate artery -can cause damage: -Right pneumothorax -Left recurrent nerve palsy -Significant bleeding- innominate artery -Bronchomediastinal fistula -Postoperative death
36
malignant pleural effusion
-pleurodesis- get the pleural layers (visceral and parietal) -> fuse -you can fuse with indwelling catheter -not curable -eliminates the potential space -chemical pleurodesis agents - painful -doxycyclin- burns
37
SCLC operative decision
38
Assessment of Pulmonary Function Preoperatively
-Rationale: Prevent creation of a pulmonary “cripple. -For all pts who may undergo radical surgery, it is recommended to measure both FEV1 and (diffusing capacity for carbon monoxide) DLCO and calculate and evaluate (predictive post op) PPO-FEV1 and PPO-DLCO according to the resection sizes -must make sure they have the pulmonary reserve to tolerate surgery (not as prevalent bc we do lobectomy now) -For all pts who may undergo radical surgery, no further evaluation is required if the PPO-FEV1 and PPO-DLCO are >60% predicted according to the resection size, and surgical resection can be scheduled. -For all pts who may undergo radical surgery, low-technology exercise tests [including stair climbing test (SCT) and shuttle walk test (SWT)] are recommended if either PPO-FEV1 or PPO-DLCO is < 60% predicted and both are greater than 30% predicted according to the resection size. -For all pts who may undergo radical surgery, CPET is recommended to measure VO2max if either PPO-FEV1 or PPO-DLCO is less than 30% predicted according to the resection size
39
characteristics of chemical pleurodesis agents
-chest tube -VERY painful -MC doxy
40
pleurX catheter
-drain the fluid
41
SCLS surgical options
-pneumonectomy -lobectomy- preferred surgical intervention!!! -segmentectomy or wedge resection -sleeve resection -VAT- video assisted thoracotomy
42
adjuvant therapy for lung cancer
-Immunotherapy, radiation therapy, chemotherapy, targeted therapy or a combination of them -pembrolizamab (Keytruda) -alone for advanced NSCLC if CTX with platinum did not or no longer works -Tumor tests positive for “PD-L1” and -Tumor has an abnormal “EGFR” or “ALK” gene -You have also received an “EGFR” or “ALK” inhibitor medicine that did not work or is no longer working
43
major (but rare) complication of pembrolizamab (keytruda)
-immunotherapy induced colitis with perforation -acute abdomen, stool peritonitis -severe pancreatitis -will kill you
44
chest wall mass flow chart
45
chest wall flow chart if dx is NOT clear
46
benign chest wall lesions
-Chondroma: Common in children and young adults -Fibrous Dysplasia: Young adults, posterolateral rib cage -Osteochondroma: MC BENIGN BONE TUMOR (PANCE)- anterior rib at costocartilage junction -Eosinophilic Chondroma: Painful and tender osteolytic tenderness -Desmoid Tumors: Surgical incisions abdomen and thorax, adenomatosis polyposis coli
47
malignant chest wall lesions
-Chondrosarcoma- MC- wide resection -Osteosarcoma- neoadjuctive chemo -> will have high alk phos -Malignant Fibrous Histiocytoma -Liposarcoma -Fibrosarcoma -Rhabdomyosarcoma- neoadjuctive chemo -sarcomas: -metabolic needs- hypoglycemia!!!! -retroperitoneal tumors
48
-right chest wall mass -CT -invading -leiomyosarcoma
49
mediastinum
-anteriorsuperior- thyoma, teratoma, terrible lymphoma, thyroid tumors -thyoma assoc with myasthenia gravis -middle -posterior- neuroblastoma (kids), schwannomas (adults) -3 parts
50
-thyoma -superioranterior lesion
51
-middle mediastinum -mediastinal lymph node metastases to aortopulmonary window area -ex. pericardial cyst
52
-neuroblastoma -posterior mediastinum -dumbbell -neurogenic tumor
53
pericardial cyst -round -delineated -not malignant
54
infections -mediastinitis -deadly -perforated esophagus -irrigated -operated -antibiotics -chest tube -drainage
55
pleura
-parietal - where the pain fibers are -can cause shift in mediastinum -pressure on heart -kinking of inferior vena cava -> no return to right side of heart -> no return to left -> MI -excess fluid in pleural cavity
56
-blunting of the costophrenic angles
57
-large pleural effusion -chest tube or thoracentesis -> needle at most inferior portion
58
tx flow chart for malignant pleural effusion
59
pleural fluid analysis
60
causes of pleural effusions
-TRANSUDATE: -CHF -cirrhosis -nephrotic syndrome -peritoneal dialysis -EXUDATE -infections -malignancy -connective tissue diseases -inflammatory disorders -movement of fluid from abdomen to pleural space -coronary artery bypass surgery -pulmonary embolism (usually) -hitting the thoracic duct during surgery -> chyle -> chylothorax
61
pleural effusion tx
-if fluid is not moving -> loculated -non-loculated -> tube thoracostomy -loculated -> refer to IR -> if they cant drain -> VATS -dont take more than 1L at a time -> can cause unilateral pulmonary expansion edema
62
meigs syndrome
-ovarian tumor that causes pleural effusion and ascites
63
pulmonary embolism
-usually exudative pleural effusion -westermark sign- diminished vascular marking -hamptons hump- infarction sign- wedge shaped
64
trachea
-at the level of T3-T4 -T3- carina -> same as innominate artery -tracheostomy complication -> tracheal innominate artery fistula -MC issue with intubation -> tracheoesophageal fistula -ET tube must be 2.5cm above carina -> if too low will only ventilate right lung -baby first feeding is dextrose and water in case there is a tracheoesophageal fistula -> aspirating this is better than formula
65
tracheal innominate artery fistula
-due to prolonged intubation -ET balloon erodes through trachea and then innominate artery -due to continuous pulsations against trachea -pt presents with herald bleed → sudden gush of bright red blood from trachea -need to hyperinflate balloon and shove it down along with emergency surgery -usually not a survivable injury → pt will exsanguinate
66
low pressure endotracheal tube balloons
stop macroaspiration -pt can still have microaspiration
67
endotracheal tube
-2.5cm above carina -need to place a feeding tube -> give protein -> otherwise catabolic and muscles waste away -> no diaphragm -oral care - chlorhexidine and mouth emollient -> pt can aspirate bacteria-laden saliva -> anaerobic bacterial pneumonia -head is 50 degrees or higher to prevent ventilator associated pneumonia -1 day = 1% chance of developing pneumonia -can cause tracheomalacia (softening) -> pts can end up with tracheal stenosis and need surgery -check cuff pressure everyday! -> balloon over inflated causes ischemia/necrosis, stenosis -balloon underinflated -> oral secretions go into lungs -> ventilator associated pneumonia
68
tracheal neoplasm
-investigate through bronchoscopy -mediastinoscopy -> collar incision at suprasternal notch -> scope nodes -PET scan
69
passy-muir valve
-allows pts to speak with trach
70
adenocarcinoma
-Associated w/ pleural effusions and distant metastases -Could present w/ back pain -invades the lung, visceral pleura, parietal pleura, innermost intercostals to the chest wall -pleuritic chest pain -Premalignant lesion = atypical alveolar hyperplasia -Smaller PERIPHERAL airways -phrenic nerve palsy → paralyzed hemidiaphragm -pancoast tumor and horner syndrome -Requires En Bloc resection → removes the tumor and involved segment of chest wall and reconstructs it