Heart Flashcards

(54 cards)

1
Q

How many cusps does an AV valve have and how many does an aortic and pulmonic valve have?

A

AV - 3

PV, AV - 2

How well did you know this?
1
Not at all
2
3
4
5
Perfectly
2
Q

What are the 2 layers of pericardium?

A

Fibrous (outer) and serous (inner)

How well did you know this?
1
Not at all
2
3
4
5
Perfectly
3
Q

Which arteries supply, which veins drain the heart?

A

Coronary

How well did you know this?
1
Not at all
2
3
4
5
Perfectly
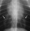
4
Q

What are these called?

A
How well did you know this?
1
Not at all
2
3
4
5
Perfectly
5
Q

Which of the following are associated with Kartagener’s syndrome?

A) Dextroversion
B) Dextrocardia with situs inversus
C) Dextroversion with situs inversus
D) Dextroposition with situs inversus

A

B) Dextrocardia with situs inversus

How well did you know this?
1
Not at all
2
3
4
5
Perfectly
6
Q

Dextrocardia is associated with which syndrome and conditions?

A

Kartagener’s syndrome, bronchiectasis, recurrent sinusitis

How well did you know this?
1
Not at all
2
3
4
5
Perfectly
7
Q

What is Kartagener’s syndrome?

A

It is a combination of situs inversus and primary ciliary dyskinesia, which leads to chronic sinusitis (due to lack of normal mucus clearance) and bronchiectasis.

How well did you know this?
1
Not at all
2
3
4
5
Perfectly
8
Q

_____ percentage of cats over _____ years old have a cranially sloping cardiac silhouette, with increased sternal contact, on a lateral radiograph.
____ of cats over ____ years have a redundant/tortuous aorta.

A

40% of cats over 10y

28% of cats over 10y

How well did you know this?
1
Not at all
2
3
4
5
Perfectly
9
Q

The heart is magnified in a VD/DV (choose one) radiograph.

A

VD, as it’s further from the detector

How well did you know this?
1
Not at all
2
3
4
5
Perfectly
10
Q

Max size (in intercostal spaces) of dog and cat hearts on lateral radiographs?

A

Dogs: 2.5 - 3.5

Cats <2.5

How well did you know this?
1
Not at all
2
3
4
5
Perfectly
11
Q

Approx. normal VHS in dogs

A

8.5 - 10.5

How well did you know this?
1
Not at all
2
3
4
5
Perfectly
12
Q

Normal VLAS in dogs

A

1.4 - 2.2

How well did you know this?
1
Not at all
2
3
4
5
Perfectly
13
Q

Arrow points to?

A

Pericardial fat stripe sign

How well did you know this?
1
Not at all
2
3
4
5
Perfectly
14
Q

Which CVC:Ao is suggestive of R-CHF?

A

> 1.5

How well did you know this?
1
Not at all
2
3
4
5
Perfectly
15
Q

Where does the thoracic duct usually empty

A

CrVC

How well did you know this?
1
Not at all
2
3
4
5
Perfectly
16
Q

On a lateral thoracic radiograph, which pulmonary artery is more dorsal - left or right?

A

Left

How well did you know this?
1
Not at all
2
3
4
5
Perfectly
17
Q

In which lateral projection are the cranial lobar arteries best differentiated?

A

Left lateral

How well did you know this?
1
Not at all
2
3
4
5
Perfectly
18
Q

What is the hallmark radiographic/US sign of a persistent left cranial vena cava?

A

Dilated coronary sinus

How well did you know this?
1
Not at all
2
3
4
5
Perfectly
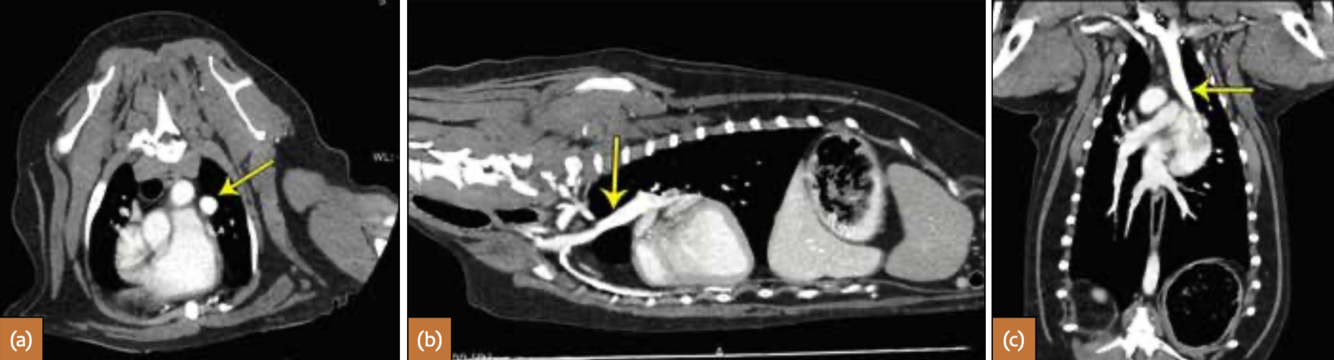
19
Q

What are these images showing?

A

A persistent left cranial vena cava

How well did you know this?
1
Not at all
2
3
4
5
Perfectly
20
Q

Which syndrome should be suspected here?

A

Marfan

How well did you know this?
1
Not at all
2
3
4
5
Perfectly
21
Q

DCM has impaired systolic/diastolic function?

A

Systolic

How well did you know this?
1
Not at all
2
3
4
5
Perfectly
22
Q

What are some types of secondary DCM? i.e. what can cause DCM

A
  • Tachycardia induced
  • Taurine deficiency, also grain-free diets
  • Myocarditis
23
Q

What did the PROTECT study about DCM in Dobermanns report, regarding timing of diagnosis and outcome?

A

Early diagnosis can extend lifespan because treatment delays onset of CHF, as they otherwise present in CHF

24
Q

What should be ruled out with an enlarged heart and predominantly signs of R-CHF?

A

Pericardial effusion, because DCM usually presents with L-CHF

25
DCM usually progresses into L or R CHF?
Left
26
What is ARVC an which breed is mostly predisposed?
Arrhythmogenic right ventricular cardiomyopathy, Boxers (bulldogs also)
27
Which part of the heart is primarily involved with feline HCM?
concentric hypertrophy of the LV > diastolic dysfunction > LA enlargenent
28
Which condition looks very similar to feline HCM?
TMT
29
Pulmonary hypertension may be secondary to left-sided heart failure in the cat - true or false?
True, this is why you should assess pulmonary arteries in cats with L-CHF pulmonary edema, and also why both arteries and veins can be enlarged and therefore similar in diameter.
30
How does the 'valentine heart' shape in cats happen?
LA enlargement +/- RA, although RA enlargement can be misinterpreted on radiographs, as it us usually just a mass effect from a large LA.
31
In an Abyssinian cat with this thorax, what should be considered?
DCM
32
What kind of cardiomyopathy can develop from hypothyroidism in dogs?
DCM
33
34
35
Which hormonal imbalance can cause DCM in dogs?
Hypothyroidism
35
what are the most common causes of pericardial effusion in dogs and cats?
Dogs - equally idiopathic and neoplastic Cats - biventricular CHF Other causes: LA tear, septic pericarditis, trauma, coagulopathy, hypoalbuminemia, uremia, SIRS; in cats: FIP, lymphoma
36
Pericardial effusion accumulates between which structures?
Heart and parietal pericardium
37
Why does pericardial effusion have such distinct cardiac margins on radiographs?
There is no movement blur (systolic/diastolic dysfunction).
38
What is the most common cardiac neoplasia and where does it occur most commonly?
hemangiosarcoma, right auricle or right AV groove
39
Where are cardiac myxomas usually located?
LA or RA
40
How does a traumatic diaphragmatic rupture/tear differ from a PPDH?
Traumatic ones don't (usually) involve the pericardium.
41
Which hemodynamic change could occur from a pericardial cyst?
R-CHF, compresses and causes decreased diastolic function
42
Which part of the heart is most frequently reported to herniate through pericardial defects?
RAA
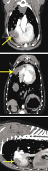
43
What is this showing?
Suspected LAA herniation (through a pericardial defect)
44
Which worm is the cause of heartworm and what is the vector?
Dirofilaria immitis, mosquito
45
Where does D.immitis live?
Pulmonary arteries +/- RV
46
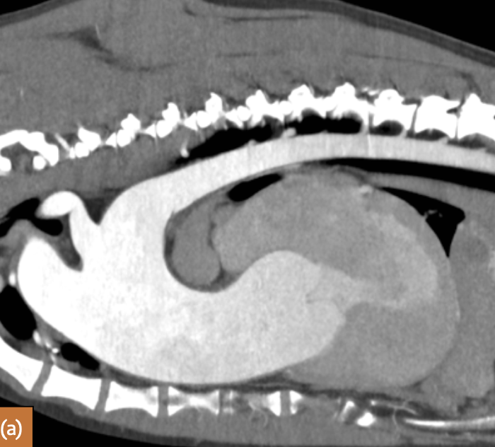
Which parasite could cause this in a dog?
Heartworm (dirofilaria immitis), massive pulmonary trunk, huge and tortuous pulmonary arteries
47
Which cut-off ratio (pulmonary artery measurement) in cats with heartworm indicates pulmonary hypertension?
>1.6x 9th rib
48
Which parasitic condition could you consider in a cat with this appearance?
Heartworm (Dirofilaria immitis), dilated pulmonary arteries - the worms live there
49
Which parasite could you find in the R heart, or pulmonary arteries nearer to the R heart - Angiostrongylus or Dirofilaria?
Dirofilaria immitis (aka heartworm), these guys are huge 15-25cm Angiostrongylus vasorum (aka lungworm) is much smaller (<2cm) and lives only in the periphery. They can still cause pulmonary hypertension though.
50
Which other congenital anomalies can occur in concurrence with PPDH in cats?
Midline defects: umbilical hernia, pectus excavatum, pericardial defects
51
Which parasite (D. immitis or A. vasorum) is likelier to show wider pulmonary arteries?
D. immitis; A. vasorum are small and the lung changes (bronchial with multifocal peripheral alveolar) are usually just associated with the reaction to the worms, e.g. inflammation from eggs and migrating larvae, coagulopathy.
52
What time frame is expected for an alveolar pattern to resolve after treatment of lungworm?
more than a month
53
If you inject agitated saline into a peripheral vein in a normal dog, where should it appear in the heart? Where should it not appear, and what does it suggest if it does appear there?
Normal - appears in the R heart (via CVC, etc.), and the bubbles are too big to cross the pulmonary capillaries, so wouldn't be seen coming back into the L heart. If they appear in the L heart though, they must have crossed earlier than the capillaries, i.e. there must be a shunt. One example would be foramen ovale (RA to LA; this would be immediate), or if it's slightly later, it could be a pulmonary arterivenous shunt/anastomosis (large enough to pass the bubbles).