Lungs Flashcards

(25 cards)

1
Q

Which lung has more volume - left or right?

A

right - 25% larger

How well did you know this?
1
Not at all
2
3
4
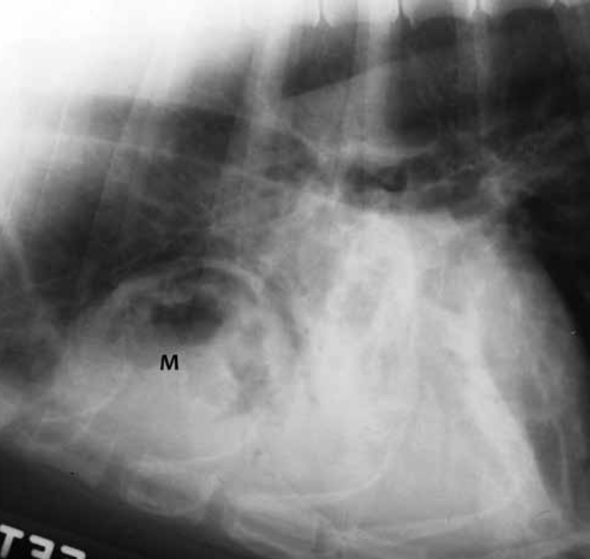
5
Perfectly
2
Q

A pulmonary lesion up to _____ (size/diameter) is termed a nodule; above this value is a mass.

A

3cm

How well did you know this?
1
Not at all
2
3
4
5
Perfectly
3
Q

A pulmonary mass with an alveolar pattern is suggestive of which type of growth - expansile or infiltrative?

A

Infiltrative; expansile masses deviate/displace bronchi rather than growing around them.

How well did you know this?
1
Not at all
2
3
4
5
Perfectly
4
Q

In which species is central mineralisation of primary lung neoplasia common?

A

Cats

How well did you know this?
1
Not at all
2
3
4
5
Perfectly
5
Q

How does pulmonary involvement of lymphoma differ between cats and dogs?

A

In cats, radiographs are usually not sensitive / could be normal.
In dogs, it’s more common to see diffuse disease (nodules would be rare).

How well did you know this?
1
Not at all
2
3
4
5
Perfectly
6
Q

How do typical metastatic pulmonary nodules differ between cats and dogs?

A

Less defined and variably-shaped in cats.
More classic, well-defined round shapes in dogs.

How well did you know this?
1
Not at all
2
3
4
5
Perfectly
7
Q

In lung-digit syndrome, what is the primary neoplasia?

A

Pulmonary adenocarcinoma, pulmonary SCC, bronchogenic carcinoma

How well did you know this?
1
Not at all
2
3
4
5
Perfectly
8
Q

Can dogs get lung-digit syndrome?

A

Not reported; lung tumours can metastasize to the humerus and femur.

How well did you know this?
1
Not at all
2
3
4
5
Perfectly
9
Q

What are the most prevalent digit tumours in dogs?

A

SCC and subungual melanoma. Melanoma has a high rate of pulmonary metastasis.

How well did you know this?
1
Not at all
2
3
4
5
Perfectly
10
Q

What should be suspected here in a 10y cat - this is the cranial lung?

A

Pulmonary neoplasia; mineralisation of tumours is common in cats.

How well did you know this?
1
Not at all
2
3
4
5
Perfectly
11
Q

How would differentials differ for this appearance in a dog vs. a cat?

A

This is a dog with subungual melanoma; another very common differential is SCC. Chest rads should be taken as metastatic disease is common in melanoma.
In a cat, a top differential for this digit should be a metastatic lesion from a primary pulmonary neoplasia (rather than a primary digital neoplasia, like in a dog).

How well did you know this?
1
Not at all
2
3
4
5
Perfectly
12
Q

Pulmonary abscesses are commonly associated with pleural effusion - true or false?

A

False

How well did you know this?
1
Not at all
2
3
4
5
Perfectly
13
Q

This is a typical appearance of what type of pulmonary lesion?

A

Abscess; thick wall with irregular inner luminal surface highlighted due to presence of central gas. Adjacent lobe affected by pneumonia.

How well did you know this?
1
Not at all
2
3
4
5
Perfectly
14
Q

Granulomas have poorly defined margins when active, and well-defined margins when resolving - true or false?

A

True

How well did you know this?
1
Not at all
2
3
4
5
Perfectly
15
Q

Which cause of pulmonary granuloma would commonly result in cavitation?

A

Lung fluke (paragonimiasis)

How well did you know this?
1
Not at all
2
3
4
5
Perfectly
16
Q

Mineralisation of pulmonary granulomas could suggest which etiology?

A

Histoplasmosis

17
Q

Which granuloma etiology would typically have absent tracheobronchial lymphadenopathy?
A. Parasitic e.g. lung fluke
B. Foreign body e.g. grass seed
C. Fungal e.g. histoplasmosis
D. Immune-mediated e.g. PIE

A

B. Foreign body e.g. grass seed

18
Q

Without relevant history or other findings, how could you differentiate a hematoma from another type of pulmonary lesion?

A

Re-radiograph / follow-up with a few days - should decrease in size.

19
Q

CT-guided biopsies of lung lesions with aerated peripheral lung commonly result in haemorrhage and pneumothorax - true or false?

A

True, but usually not clinically significant.

20
Q

What size does a pulmonary soft tissue nodule have to be to be detected on radiographs?

A

3-5mm

on CT - 1mm, less with hi-res

21
Q

What is a miliary nodular pattern?

A

lots of very small nodules 2-3mm diameter

22
Q

Which type of neoplasia (cell lineage) would typically produce a lot of small, ill-defined nodules (instead of fewer, well-defined nodules)?

A

Epithelial/lymphatically-spread neoplasia

However HSA for example, more commonly doesn’t follow this rule and produces ill-defined, coalescing smaller nodules.

23
Q

What is a ditzel?

A

Small pulmonary nodule with unknown relevance

24
Q

Metastases are typically located where?

A

Peripherally, subpleural

25
Findings and Dg?
Left cranial lung consolidation (Dg: anaplastic carcinoma) Unilateral bronchial wall thickening (Dg: peribronchial metastasis)