Histo Flashcards

(35 cards)

1
Q

What is the function of the cardiac skeleton?

A

Attachment site for myocardium and valves - also electrical insulation between chambers

How well did you know this?
1
Not at all
2
3
4
5
Perfectly
2
Q

What layer of the heart wall is a mesothelium that overlies dense irregular CT and adipose tissue (the visceral layer of the serous pericardium)

A

The epicardium

How well did you know this?
1
Not at all
2
3
4
5
Perfectly
2
Q

What layer of the heart consist of subendothelial dense irregular CT w/ some smooth muscle cells?

A

The endocardium

How well did you know this?
1
Not at all
2
3
4
5
Perfectly
3
Q

ID

A
How well did you know this?
1
Not at all
2
3
4
5
Perfectly
4
Q

ID

A
How well did you know this?
1
Not at all
2
3
4
5
Perfectly
5
Q
A
How well did you know this?
1
Not at all
2
3
4
5
Perfectly
6
Q

What layer of an arterial vessel contains smooth muscle?

A

Tunica media - elastic and collagen fibers are produced by SM cells and interspersed

How well did you know this?
1
Not at all
2
3
4
5
Perfectly
7
Q

What are vasa vasorum?

A

“vessels of the vessels”

How well did you know this?
1
Not at all
2
3
4
5
Perfectly
8
Q

What joins vascular endothelial cells?

A

Tight junctions - zonula occludens

Possess Weibel-Palade bodies (contain vWF factor and P-selectin)

How well did you know this?
1
Not at all
2
3
4
5
Perfectly
9
Q

Elastic arteries

A

i.e. the aorta and pulmonary arteries

aka conducting arteries

How well did you know this?
1
Not at all
2
3
4
5
Perfectly
10
Q

Muscular arteries

A

aka distributing arteries

Downstream of elastic arteries (i.e. hepatic, renal, and mesenteric arteries)

How well did you know this?
1
Not at all
2
3
4
5
Perfectly
11
Q

Resistance arteries

A

aka arterioles - located w/i organs or tissues

How well did you know this?
1
Not at all
2
3
4
5
Perfectly
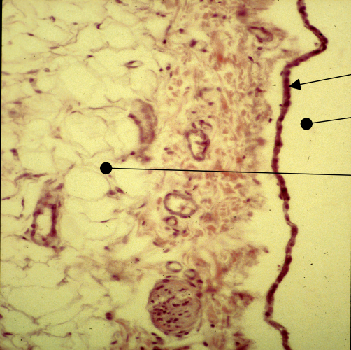
12
Q

What is shown in the red bracket?

A

The intimal cushion of the aorta’s tunic intima

How well did you know this?
1
Not at all
2
3
4
5
Perfectly
13
Q

What is typically the thickest layer in veins?

A

The tunica adventitia

Where smooth muscle is located in veins

How well did you know this?
1
Not at all
2
3
4
5
Perfectly
14
Q

What type of capillaries are found in the viscera and endocrine organs?

A

Fenestrate capillaries w/ diaphragms

How well did you know this?
1
Not at all
2
3
4
5
Perfectly
15
Q

Where are fenestrated capillaries w/o diaphragms found?

A

Only in the renal glomerulus

16
Q

Most permeable type of capillary and location?

A

Sinusoidal capillaries can be found in the liver, spleen, and marrow

17
Q

What capillaries are associated w/ pericytes?

A

Continuous capillaries and postcapillary venules

18
Q
A

5/6 - tunica media and lumen of artery

7/8 - tunica adventitia and lumen of vein

20
Q
A

Muscular artery

Internal elastic lamina is characteristic of muscular/elastic arteries

21
Q
A

Purkinje fibers

22
Q
A

Venule

Neutrolphils are not normally in capillary/venule

23
Q

Dysfunction of what tissue is likely to play a key role in the early development of atherosclerosis?

A

Vascular endothelium

24
A. Avascular dense irregular CT
25
C. A nerve fiber
26
Smooth muscle cells | Secretes collagen and elastic fibers
27
C. Muscular artery
28
A. Arteriole | Presence of internal elastic lamina and smooth muscle layers
29
E. Small vein
30
E. Smooth muscle ## Footnote In the largest veins - bundles of smooth muscle run paralell to the lumen within the tunic adventitia
31
A. Continuous endothelial cells w/ a continuous basal lamina ## Footnote Continuous endothelial w/ continuous basal lamina - BBB, CT, muscle, and lungs
32
E. Superficial veins
33
Arrow pointing at tight junction (zonula occludens) of a capillary
34
Diaphragm of fenestrated capillary