
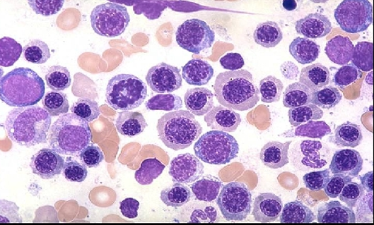
myeloblast

band neutrophils

megakaryocytes

platelets

aplastic anemia- look at the big fat gaps

lead Pb toxicity

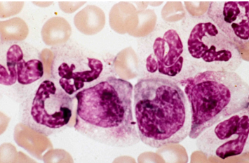
nuclear-cytoplasmic dyssynchrony as seen in megaloblastic anemia

toxic granulation.

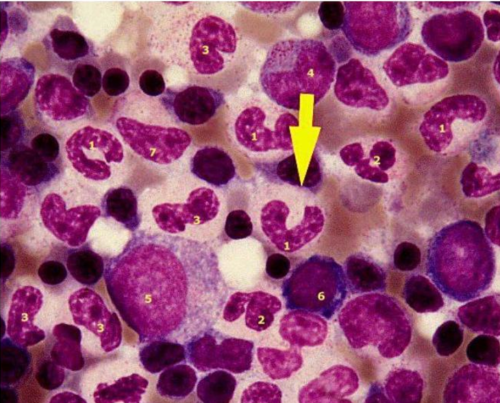
Dohle bodies as seen in may hegglin anomaly

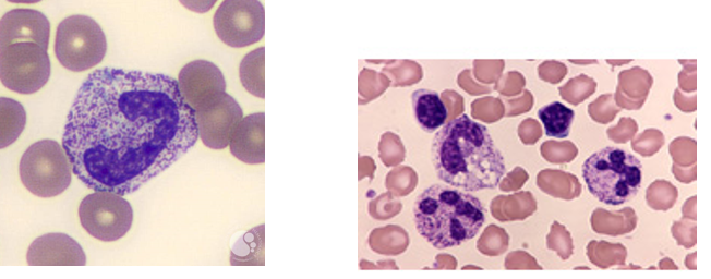
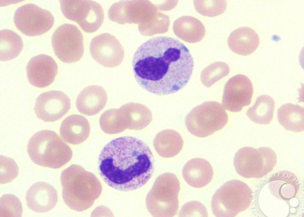
Pelger-Huet as seen in MDS

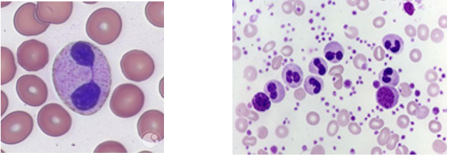
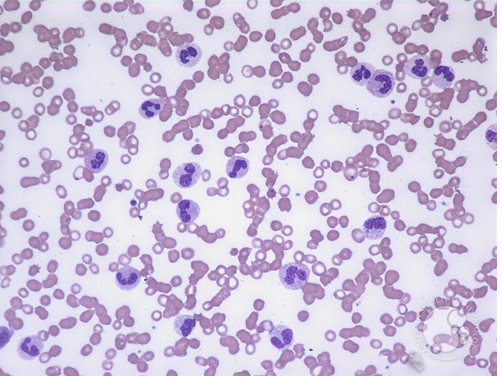
left shift in WBC- increase in immature granulocytic forms

leukemoid reaction- marked leukocytosis with immature granulocytes

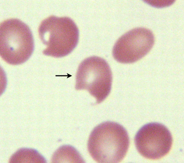
Bite cells as seen in G6PD

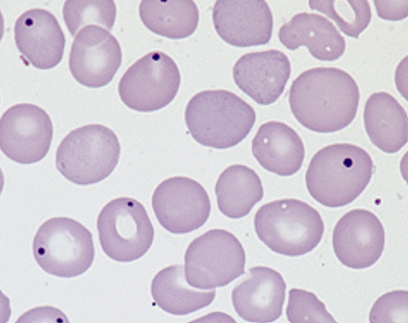
Heinz bodies-G6PD deficiency

Bite cell- see in G6PD due to the removal of Heinz bodies bodies by macrophages in the spleen

iron deficiency- note the profound central pallor of the hypochromic and microcytic RBC

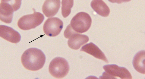
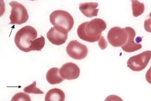
Howell-jolly bodies- seen in sickle cell anemia with a functional hyposplenia

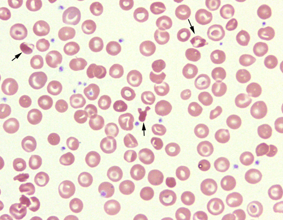
Peripheral smear from a patient with SC disease is shown. Note the presence of target cells, polychromatophilic

spherocyte- small spherical cells without central pallor as seein in thalassemia

The blue stained inclusions in the RBC are oxidatively denatured precipitates of HbH

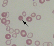
Howell-Jolly bodies are red cell inclusions that are residual nuclear fragments. They may be seen in hemolysis, megaloblastic anemia, or post-splenectomy.

Peripheral smear showing RBC fragmentation consistent with a microangiopathic hemolytic process

Heinz bodies as seen in G6PD

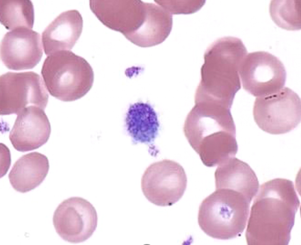
Giant platelet circulating in the peripheral blood of a patient with a myeloproliferative disorder