Histology Flashcards

(66 cards)

1
Q

From what kind of tissue does muscular tissue originate from?

A

Mesodermal (mesenchymal)

How well did you know this?
1
Not at all
2
3
4
5
Perfectly
2
Q

What are the 3 kinds of muscular tissue

A

skeletal striated
cardiac
smooth

How well did you know this?
1
Not at all
2
3
4
5
Perfectly
3
Q

Where are characteristics about the nucleus in the 3 kinds of muscular tissue?

A

skelatal = multiple and there are multiple per cell
cardiac= singular and centrally located
smooth = singular and centrally located

How well did you know this?
1
Not at all
2
3
4
5
Perfectly
4
Q

in which of the 3 muscular tissues can we not see the striation?

A

smooth

How well did you know this?
1
Not at all
2
3
4
5
Perfectly
5
Q

Which of the 3 musucular tissues has voluntary movement?

A

only skeletal

How well did you know this?
1
Not at all
2
3
4
5
Perfectly
6
Q

Which of the 3 muscular tissues has weaker contractions?

A

smooth

How well did you know this?
1
Not at all
2
3
4
5
Perfectly
7
Q

Which of the 3 muscular tissues has vigorous and rhythmic contractions

A

cardiac

How well did you know this?
1
Not at all
2
3
4
5
Perfectly
8
Q

What muscular tissue is known to hypertrophy?

A

cardiac

How well did you know this?
1
Not at all
2
3
4
5
Perfectly
9
Q

Which muscular tissue is known for hyperplasia?

A

smooth (since they are not terminally differentiated, they can easily divide)

How well did you know this?
1
Not at all
2
3
4
5
Perfectly
10
Q

Which muscular tissue is the most abundant?

A

Skeletal

How well did you know this?
1
Not at all
2
3
4
5
Perfectly
11
Q

What are the 3 layers of connective tissue found in skeletal muscle and where can we find them?

A

Epimysium = around muscle
perimysium = around fascicle
endomysium = around muscle fiber

How well did you know this?
1
Not at all
2
3
4
5
Perfectly
12
Q

What can we find in the endomysium?

A

basement membrane
fibrocytes
reticular fibers
capillaries

How well did you know this?
1
Not at all
2
3
4
5
Perfectly
13
Q

How do muscle fibers connect to other things (like tendons)?

A

they contain finger like projections made of actin (inside the muscular fiber) and the basement membrane (on the outside of the plasma membrane) that attaches to the collagen fibers of the tendon

How well did you know this?
1
Not at all
2
3
4
5
Perfectly
14
Q

What are myofibrils and how many can be found inside a muscle fiber?

A

the main unit that contracts, there are ruffly 1500 of them in 1 muscle fiber

How well did you know this?
1
Not at all
2
3
4
5
Perfectly
15
Q

What 2 kinds of filaments can be found in myofibrils and what are they made from?

A

3000 thin filaments (from actin)
1500 thick filaments (from myosin)

How well did you know this?
1
Not at all
2
3
4
5
Perfectly
16
Q

On this image, identify:
Z disk
h band
m line
A band
I band
Actin
Myosin
Tropomyosin

A
How well did you know this?
1
Not at all
2
3
4
5
Perfectly
17
Q

What is the smallest repetitive subunit of the muscle and what is it composed of?

A

Sarcomere, from one z line to the next one

How well did you know this?
1
Not at all
2
3
4
5
Perfectly
18
Q

Where can we find Creatine Kinase and why is it important?

A

in the M line
it helps produce ATP during contraction

How well did you know this?
1
Not at all
2
3
4
5
Perfectly
19
Q

What are the 2 subunits of Myosin, where can we find each of them and what are they used for?

A

LMM (light meromyosin) = is the tail end of myosin and it forms the backbone of the thick filament
HMM (heavy meromyosin) = is the head of the myosin filament and contains the ATPase site and is used during contraction

How well did you know this?
1
Not at all
2
3
4
5
Perfectly
20
Q

What are the 2 subunits of HMM and where can we find them?

A

HMMS-1 = head where the ATPase is and is used during contraction
HMMs-2 = where the hinger aspect of the filament is

How well did you know this?
1
Not at all
2
3
4
5
Perfectly
21
Q

What is troponin and what are it’s subunits?

A

A molecule that binds to actin and prohibits myosin attaches in it’s resting state?
TNI = inhibits actin myosin interaction
TNC = where Ca interacts
TNT = anchors to tropomypsin

How well did you know this?
1
Not at all
2
3
4
5
Perfectly
22
Q

How does contraction work, what are the various steps and what is the main molecule needed to start the process?

A
  1. influx of Ca from the ER
  2. Ca will bind with TNC which will move troponin (and therefore tropmyosin) away from the binding site
    3.Myosin binds to actin (uses ATP)
    4.Myosin bends and causes slidding (gets rid of ADP)
  3. ATP attaches again and removes myosin from actin
How well did you know this?
1
Not at all
2
3
4
5
Perfectly
23
Q

During contraction, which bands get smaller and which stay the same?

A

I band gets smaller
A band stays the same length

How well did you know this?
1
Not at all
2
3
4
5
Perfectly
24
Q

What is the role of Titan and Nebulin in the sarcomere?

A

titan = provides structural support to myosin
Nebulin = stabilizes actin

How well did you know this?
1
Not at all
2
3
4
5
Perfectly
25
Where can we find the neuromuscular junction?
on the sarcolema, the part that covers each cell. Not to be confused with the endomysium which is the layer just outside the sarcolema
26
What neurotransmitter is used for muscle contraction?
Acetyl choline Ach
27
What is the shape of the Ach receptor and what happens once it is activated?
there are 5 barrel shaped subunits. once it is activated, Na+ will flow in and K+ will flow out which will depolarize the membrane and cause the ER to release Ca and cause contraction
28
What is the link between the sarcolema, t-tubules, cisternae and triad?
The t tubules are projections of the sarcolema that carry the action potential deep in the muscle to all the myofibrils. They are in close communication with the ER (also call cisternae when they are close to the t tubules) so they will release Ca when activated. Triad is the term used when talking about a t-tubule next to 2 cisternae
29
How does Ca2+ get back into the ER once the contraction finished?
using Calcium ATPase which will pump the Ca2+ into the ER
30
What are the 3 layers of the cardiac muscles?
epicardium (the most outer portion) Myocardium (the middle) the endocardium (the inside part)
31
What is another name for the epicardium?
the visceral pericardium (the innermost part of the pericardium)
32
What is the new structure found in between cardiac muscle cells not found in skeletal muscles cells
intercalated disk
33
What are the 3 sections if intercalated disks?
Fascia Adherence Macula Adherance Gap junctions
34
What is the fascia adherence? What is it made of?
the zone between 2 I bands (the Z line) composed of alpha-actinin that connect the actin filaments
35
What is the macula adherence? What are they made of?
places in between the myofibrils made from desmosomes and intermediate filaments
36
What is a gap junction and what is it made of?
A way for ions (Ca2+)to pass through the muscles fibers. Made from 2 connexons which are each made from 6 connexins (connexin 43)
37
True or false, we onle see triads in the cardiac muscle fibers
false. We see diads as well where the ER crosses directly over the T-tubules
38
True or false? smooth muscle cells, contract horizontally (like skeletal and cardiac cells)
false. since the actin is anchored everywhere in the cell. they compress in all directions
39
True or false? We can see endomysium in smooth muscle cells?
False, Smooth cells don't have layers like the skeletal ones
40
What is the comparison to T-tubules in smooth cells?
calveoli
41
What are dense bodies and what is there purpose? What are they made of?
They line the inside of the cell and act as an anchoring point for the actin filaments alpha-actinin and dystoppin
42
How do smooth cells contract?
1. Ca will attach itself to calmodulin 2. the Ca-Calmodulin (Ca++)will activated the Myosin light chain kinase 3. The MYCK will phophorylate the light chains on the myosin (LMM) which will stretch them out and activated them 4. Contraction continues like skeletal
43
Where can we find the actin and myosin in smooth muscles?
44
Where can we find fibrocytes in muscle fibers? and what do they do?
they are located at the edge of the endomysium, in between the muscle fibers, they maintain the connective tissue
45
Starting from the heart, describe the passage of blood (afferent and efferent) until the blood goes back to the heart?
46
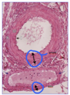
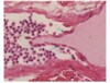
What are the 3 sections (seperations) in the vessels?
intima media adventitia
47
What can we find in the intima?
endothelium sub-endothelial layer (sometimes) internal elastic limiting membrane (only in afferent vessels)
48
What can we find in the media?
Elastic membranes (in elastic arteries) smooth muscle
49
What can we find in the adventitia?
Dense iregular connective tissue vasa vasorum (small capillaries that feed the outer layers)
50
what are the main characteristics of the elastic arteries and how can we recognize them?
Presence of IELM and layers of smooth muscle and elastic membranes in the media
51
How can we recognize muscular arteries?
presence of IELM and at least 4 layers of smooth muscle in the media. NO elastic fibers in media
52
How can we recognize arterioles?
No IELM Only 1-2 layers of smooth muscles in media
53
How can we recognize venules?
They do not have IELM or any smooth muscle, only a thin endothelium
54
How do we recognize middle or large veins?
by their size, none of them will have IELM and they will only have 1-2 layers of smooth muscle with some connective tissue in between
55
Between arteries and veins, which one tends to be more collapsed?
veins
56
Where can we find fibrocytes in vessels?
in the adventitia
57
true or false? The flow in the aorta in way less than in the capillaries and this causes there to be less volume in the capillaries as well
false 800 times more volume than in the aorta
58
What are the 5 functions of the capillaries?
exchange nutrition thermoregulation blood pressure regulation inflammation
59
How can we separate capillaries into groups?
permeable (fenestrated or sinusoids) impermeable or continuous
60
What is the difference between fenestrated and continuous capillaries?
continuous = the molecules can pass only thoughthe channels and pinocytic vesicles fenestrated capillaries = the molecules can directly pass in between the cells
61
What are sinusoid capillaries and where can we find them?
they are special capillaries found in the spleen that are not associated to a basement membrane. They have larger gaps in between the cells to allow for the passage of white and red blood cells
62
what are the 4 functions of the endothelium?
permeablity metabolic function production of vasoactive substances anti-thrombogenic function
63
What are 2 examples of metabolic function provided by the endothelium?
conversion of angiotensin 1 to angiotensin 2 inactivation of bradykinin, serotonin, protaglandins,...
64
What are products that the endothelium produces for vasocontriction/dilation?
(endothelin (vasocontriction) and nitric oxide (vasodilation)
65
Describe the lymphatic vessels
contain lymph veryt hin endothelial cells and no basement membrane anchored together with connective tissue fibers usually show valves and large vessles have smooth muscle cells in their walls
66