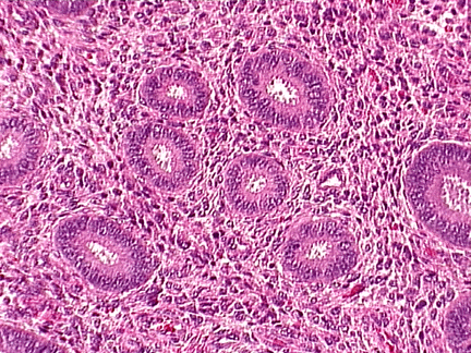
Has ovulation occurred yet? Which day is this?

Secretory endometrium - day 17
Uniform sub-nuclear cacuoles, single row of nuclei, edema in the stroma (1st evidence of ovulation)
Has ovulation occured yet? Which day is this?

No –> normal, proliferative endometrium
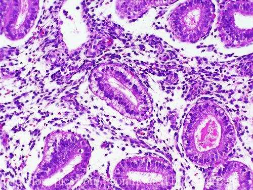
Has ovulation occurred yet? Which day is this?

Secretory endometrium day 20-21
MArked stromal edema (“naked nuclei”) vaculoses have gone into lumen
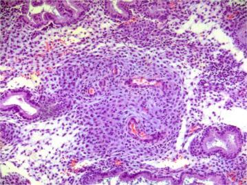
Has ovulation occurred yet? Which day is this?

Secretory endometrium day 23-24
Promoinent spiral arteries, pre-decidual change around arteries
Has ovulation occurred yet? Which day is this?

Secretory endometrium day 26-27 confluent sheets of predecidea, lumphocytes
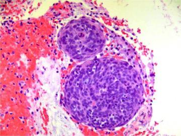
What is this?

Follicular atresia
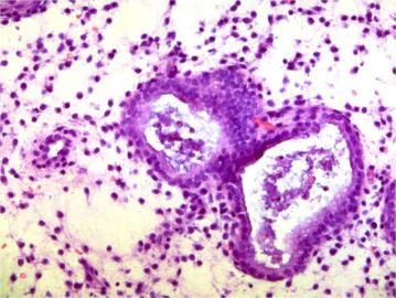
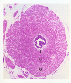
What is this?

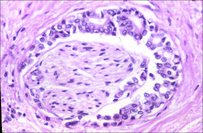
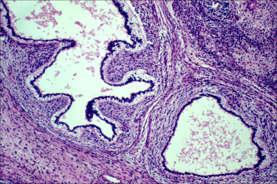
Vas deferens
Epithelium also pseudo stratified with stereocillia (like epididmis), contains 3 layers of smooth muscle the propel sperm

Secondary follicle
The zona granulosa (ZG) proliferates
& a fluid filled space (follicular
antrum, FA) appears
The theca folliculi differentiates
into two layers: theca interna (TI)
& theca externa (TE)
TI cells secrete androstenedione,
which is transferred to the follicular
cells for testosterone production,
testosterone is converted to estradiol
TE is connective tissue capsule-like
layer, continuous with ovarian stroma

Corpus Luteum

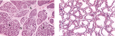
Breast tissue - pregnancy
The alveolar duct epithelium proliferates to form numerous secretory alveoli L, breast lobule; S, septa of interlobular tissue

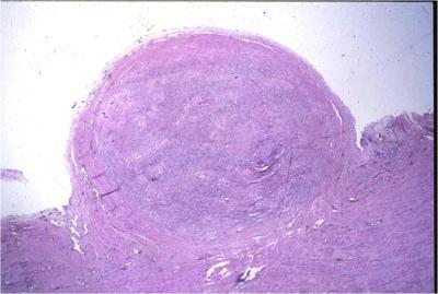
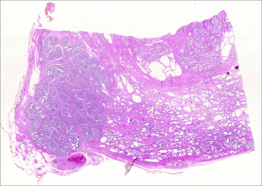
Benign prostatic hyperplasia - stromal hyperplasia
Hyperplasia of the stroma happens first

BPH - Nodular glandular hyperplasia

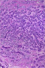
Carcinoma of prostate
key features - increased number of acini, acini grow in haphazard pattern, violates normal architecture

Perineural invasion - CAP

Immature testis
No germ cell epithelium, no puberty

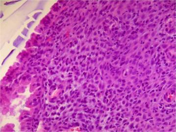
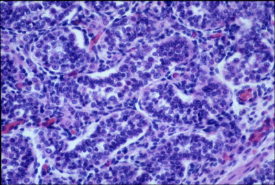
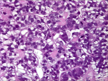
Seminoma - homogenous form, macroscopically heomogenous tumor, seminoma cells - prominnent nucleoli, cytoplasm clearing (glycogen)
tumor infiltrating lymphocytes

Teratoma - differentiated (looks like bronchois) organogenesis tumor

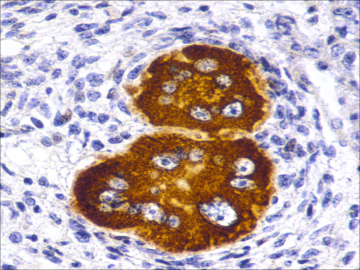
Choriocarcinoma staining for HCG

Choriocarcinoma
STGC = syncytiotrophoblastic giant cells

Yolk sack tumor
Key feature - stains for AFP (alpha fetal protein)

Glandular and stromal breakdown seen in DUB

Stromal blue balls – seen is dysfunctional uterine bleeding –> collapse of stroma

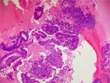
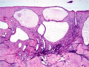
Cysti endometrial atrophy
Glands are cystically enlarged
Lining is flat and attenuated
without mitotic activity
Stroma is less cellular and
fibrotic

Biopsy of cystic atrophy of endometrium
Scant strips of bland epithelial
cells and blood