Histology practical Flashcards

(163 cards)

1
Q
A
How well did you know this?
1
Not at all
2
3
4
5
Perfectly
2
Q
A

rough endoplasmic reticulum

How well did you know this?
1
Not at all
2
3
4
5
Perfectly
3
Q
A

golgi apparatus

How well did you know this?
1
Not at all
2
3
4
5
Perfectly
4
Q
A
How well did you know this?
1
Not at all
2
3
4
5
Perfectly
5
Q
A
How well did you know this?
1
Not at all
2
3
4
5
Perfectly
6
Q
A

simple squamous

How well did you know this?
1
Not at all
2
3
4
5
Perfectly
7
Q
A

-Green arrow: 2 cell membranes
-Red arrow: Intercellular space
-Star: Cytoplasm

How well did you know this?
1
Not at all
2
3
4
5
Perfectly
8
Q
A

A. Structure outlined by red rectangle is → Cell
membrane of 2 adjacent cells

B. Give 1 visible character of A → 2 dark & 1
pale layers or trilamellar or ……

C. Mention the structure marked by blue star →
Cytoplasm.

D. Green arrow point to → Intercellular space.

How well did you know this?
1
Not at all
2
3
4
5
Perfectly
9
Q
A

• Mitochondria
• Blue arrows: cristae
• Red arrowhead: Matrix

How well did you know this?
1
Not at all
2
3
4
5
Perfectly
10
Q
A

A. Organelle pointed to by blue star is called →
mitochondrion.
B. - Red arrows point to → cristae
- Green arrow points to → matrix.
C. Organelle pointed to by yellow arrows is →
rER.
D. Any 1 visible character for C → parallel
tubules or covered by ribosomes

How well did you know this?
1
Not at all
2
3
4
5
Perfectly
11
Q
A
  • rER
  • Arrows: ribosomes, Function: protein synthesis
How well did you know this?
1
Not at all
2
3
4
5
Perfectly
12
Q
A
  • Red arrow: rER
  • Green arrow: Mitochondria
  • Stain: Iron hematoxylin or Janus green
  • Visible feature: Cristae, ……….
How well did you know this?
1
Not at all
2
3
4
5
Perfectly
13
Q
A
  • sER
  • Visible features: Smooth surface, no
    ribosomes, vesicles of different size and
    shape …..
How well did you know this?
1
Not at all
2
3
4
5
Perfectly
14
Q
A

A. Red arrow demonstrates → Golgi
apparatus in nerve cell.
B.One visible feature of organelle is → fine
fibrils or granules & its position is →
perinuclear.
C. It is stained → brown with → silver stain.
D. Green arrow points to → nucleus & 1
visible feature is → central or rounded

How well did you know this?
1
Not at all
2
3
4
5
Perfectly
15
Q
A

A. Red arrows demonstrate → Golgi
apparatus in → secretory cells.
B. Any one visible feature of organelle is →
fine fibrils or granules & its position is →
apical.
C. It is stained → brown with → silver stain.
D. Green arrows point to → cell membrane.

How well did you know this?
1
Not at all
2
3
4
5
Perfectly
16
Q
A

A. Organelle is called → Golgi apparatus & its
nickname is → secretory apparatus.

B.- Yellow star marks → Golgi saccules.
- Any 1 visible character for B → parallel OR
one above
the other OR form stack or ……..

C. Structure by blue star → Cytoplasm

D. - Red arrow points to → transfer vesicles
- green arrow points to → secretory vesicles.

How well did you know this?
1
Not at all
2
3
4
5
Perfectly
17
Q
A
  • Golgi apparatus
  • Green arrow: Secretory vesicle
  • Yellow arrow: Transfer vesicle
How well did you know this?
1
Not at all
2
3
4
5
Perfectly
18
Q
A
  • Centriole
  • Red arrow: Microtubules
  • Arranged as 9 triplets
How well did you know this?
1
Not at all
2
3
4
5
Perfectly
19
Q
A
  • Axoneme (Shaft) of cilium
  • Yellow arrows: microtubules as 9 doublets
  • Blue arrows: two singlets of microtubules
How well did you know this?
1
Not at all
2
3
4
5
Perfectly
20
Q
A

A.- Red square surrounds → shaft of cilium OR
axoneme,

  • Any 1 character → formed of microtubules OR
    formed of 20 microtubules or large.

B. - Blue arrow points to → 2 microtubules
- red arrow points to → peripheral microtubules.

C. - Blue square surrounds → microvilli,
- any 1 character → no microtubules

D. Yellow arrows points to → cell membrane.

How well did you know this?
1
Not at all
2
3
4
5
Perfectly
21
Q
A

A. Inclusions in fig. a → Glycogen & b lipid OR fat.

B. The used stains for fig. a →
PAS & b → Sudan III.

C. Any 1 visible character for fig. a → red granules
→ large droplet OR orange in color

D. The cell in fig. a → liver cells & b → fat cells OR
adipocytes
-Blue arrow: nucleolus

How well did you know this?
1
Not at all
2
3
4
5
Perfectly
22
Q
A

-Blue arrow: nucleolus
-Red arrow: nuclear membrane

How well did you know this?
1
Not at all
2
3
4
5
Perfectly
23
Q
A

A. The structure (be specific) → heterochromatic
nucleus.

B. - Red arrow → peripheral heterochromatin &
green arrow → chromatin island.

C. Yellow arrow → nucleolus associated
chromatin & yellow star → nuclear sap OR
euchromatin.

D. Arrowhead points to → nuclear membrane.

How well did you know this?
1
Not at all
2
3
4
5
Perfectly
24
Q
A

A. The structure (be specific) → euchromatic
nucleus.

B. Red arrow → peripheral heterochromatin &
green arrow → chromatin island.

C.Yellow arrow points to → nucleolus & yellow
star marks → nuclear sap or euchromatin.

D. Black arrow → nuclear membrane &
arrowhead → nuclear pore.

How well did you know this?
1
Not at all
2
3
4
5
Perfectly
25
26
27
28
29
30
a- Mast cells b- numerous basophilic granules
31
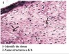
A. - Identify the tissue → Loose areolar C. T. B. - Blue arrow → Collagen fibers. - 1 character → Any character for collagen fibers as condensed fibers or bundle or acidophilic. C. - Green arrow → Elastic fibers. - 1 character → Any 1 character for elastic fibers as singly or thin or zigzag in shape or acidophilic. D. - Arrowhead → Fibroblast cell or nucleus. - Star → Matrix.
32
a- fibrocyte (or fibroblast) b- collagen bundles c- Irregular white fibrous C.T.
33
a- Reticular connective tissue (C.T.) b- Silver c- Brown / thin / anastomosing fibers (Any 2 visible characters for C.T.)
34
a- Regular white fibrous CT b- Regular fibers / thick bundles / acidophilic / presence of fibroblasts / …..…..
35
a- Yellow elastic C.T. b- Thin / zigzag / single fibers/ …… (any one visible character)
36
A. - Yellow circle → Mast cells - Green circle → Plasma cells. B. - yellow arrow → Granules - Green arrow → Nucleus. C. Black arrow → Negative (–ve) Golgi image OR Golgi apparatus. D. Two characters by red arrow → eccentric or single or cart wheel appearance (any 2 visible characters for nucleus of plasma cell)
37
A. - Identify C.T. type → White adipose C. T. - Formed of → Unilocular fat cells. B. Cells can be stained by → H&E & Sudan III. C. Two characters → Large or oval or has fat droplet or … (any 2 visible character for unilocular fat cell). D. - Blue stars → Fat droplet. - Red arrow → Thin rim of cytoplasm.
38
A. - Identify tissue → Brown adipose C. T. - Formed of multilocular fat cells. B. Cells stained by → H&E and Sudan III. C. Small or rounded cell or has many fat droplets (any 2 visible character for multilocular fat cell). D. - Blue arrows → Nuclei. - Black arrows → Blood vessels.
39
A. – Type of C.T. → Reticular C.T. - Stain → Silver B. – Red arrows → Reticular fibers. C. 1 character → Any 1 character for reticular fibers as brown or thin or branch & anastomose.
40
A. -Type → Elastic C.T. - Fresh state → Yellow B. - Stained → Brown. - with → Orcien stain C. Red arrows → Elastic fibers. D. Two visible characters → Singly or thin or zigzag shape or acidophilic. (any 2 visible character for elastic fibers).
41
A. - Type → Regular fibrous C.T. - Fresh state → White color B. Black arrows → Nuclei of fibroblasts (or fibrocytes). C. Red arrows → Collagen fibers. D. Two visible characters for C → Parallel / regular bundles / thick bundles /acidophilic fibers / ……………..… (any 2 visible character for collagen fibers).
42
A. - Type → Irregular fibrous C.T. - Fresh → White B. Black arrows → Nuclei of fibroblasts (or fibrocytes). C. Blue arrows → Collagen fibers. D. Two visible characters for C → Irregularly arranged bundles / thick bundles / acidophilic fibers / ……….. (any 2 visible character for collagen fibers).
43
a. Epithelial cells Type: simple squamous epithelium
44
- Simple cubical epithelium - Basement membrane
45
a. Stratified cuboidal epithelium Nickname: transitional epithelium b. Dome-shaped cells / binucleated … c. 1: dome cells / superficial layer 2: cuboidal cells / basal layer
46
- Pseudostratified columnar ciliated epithelium with goblet cells - Black arrow: cilia - Yellow arrow: goblet cells
47
A. Type of epithelium in rectangle → Simple squamous. B. Arrowhead → Nucleus. C. One visible feature for B → Any 1 visible feature for nucleus as flat, or single . D. Yellow arrow → Basement membrane.
48
A. Type of epithelium Simple cubical epithelium. B. Arrowheads Nuclei. C. One visible feature for B → Any 1 visible feature for nucleus as Rounded or central or single. D. Yellow arrow Basement membrane.
49
A. - Type of epithelium → simple squamous - Feature → Any 1 visible feature for epithelium as flat cells or one layer. B. - Blue arrows Nuclei - One visible feature → Any 1 visible feature for nucleus as flat or single or central. C. - Epithelium in B → simple cubical epithelium. - Feature → Any 1 visible feature for epithelium as square shape or short cells or single layer. D. One visible feature for Red arrow → Any 1 visible feature for nucleus as rounded or central or single
50
A. Type of epithelium Simple columnar. B. One visible feature for A → Any 1 visible feature for epithelium as Tall cells or one layer or oval nuclei. C. Yellow arrow Nuclei. D. One visible feature for B →Any 1 visible feature for nucleus as Oval or single or basal.
51
A. Epithelium Pseudostratified columnar ciliated. B. Any two characters as Tall cells or 1 cell layer or crowded nuclei. C. - Blue arrow Cilia. - Green arrow Basement membrane. D. - Red arrow Goblet cell. - Red star Connective tissue.
52
A. Epithelium Keratinized stratified squamous. B. – Yellow arrow Horny layer or keratin. - Feature acidophilic or condensed layers. C. – Green arrow Intermediate layers. - Feature Polyhedral cells or rounded nuclei. D. Blue star Connective tissue.
53
A. Epithelium Non keratinized stratified squamous. B. – Yellow arrow Superficial layer. - Feature Flat cells or flat nuclei. C. – Green arrow Intermediate layers. - Feature Polyhedral cells or rounded nuclei. D. Blue star Connective tissue.
54
a. Non-keratinized stratified squamous epithelium b. 1: squamous cells / superficial layer 2: columnar cells / basal layer
55
A. Epithelium Transitional. B. – Yellow arrow Superficial layer. - Feature Cuboidal or dome shaped cells or rounded nuclei. C. – Green arrow Intermediate layers. - Feature Polyhedral cells or rounded nuclei. D. Blue star Connective tissue.
56
a. This is a → blood film, stained by → Leishman stain. b. Red arrow points to → Neutrophil which is characterized by any 1 visible feature as → segmented / multilobed nucleus ,while black arrow points to → Platelet. c. Green arrow points to → RBC, characterized by any 1 visible feature as → central pallor. d. Blue arrow points to → crenated RBC.
57
a.This is a → blood film, stained by → Leishman stain b. Red arrow points to → neutrophil which is characterized by any 1 visible feature as → segmented / multilobed nucleus, while green arrow points to → Barr body. c. Black arrow points to → RBC, characterized by any 1 visible feature as → central pallor. d. Yellow arrow points to → platelets.
58
a.This is a → blood film, stained with → Leishman stain. b. Blue arrow points to → eosinophil, characterized by any 1 visible feature as → eosinophilic granules & bilobed Nucleus. c. Black arrow points to → RBC, which is characterized by any 1 visible feature as central pallor, ……… d. Green arrow points to → platelet.
59
blood film, stained with Leishman stain basophil, by any 1 visible feature as → basophilic granules & nucleus is s shaped /masked by granules. c. Black arrow points to → RBC ,which is characterized by any 1 visible feature as → central pallor. d.Yellow arrow points to → platelet.
60
- A blood film, stained with Leishman stain. - Basophil
61
a.This is a → blood film, stained with → Leishman stain. b. Red arrow points to → Lymphocyte, characterized by any 1 visible feature as → dark nucleus / thin rim of / little cytoplasm. c. Yellow arrow points to → RBC, characterized by → central pallor. d. Black arrowheads point to → platelet.
62
- Arrow in A: platelets - Boxed area in B: lymphocytes
63
blood film, leishman stain monocyte, kidney shaped, frosted glass lymphocyte, RBC, central pallor
64
blood film, leishman stain basophils, basophilic RBC, central pallor Neutrophil, multilobed nuclues
65
- Bone marrow - Red arrow: fat cells (adipocytes)
66
- Bone marrow - Blue arrow: megakaryocyte
67
- Bone marrow - Red arrow: megakaryocytes
68
- Blood film Cresyl blue stain Supravital stain
69
elastic vs hyaline cartilage
70
Hyaline cartilage - Red arrow → Outer fibrous layer - Blue arrow → chondroblasts. C. - Yellow circle → Chondrocytes. - One feature → Any feature for chondrocyte as Rounded cell or rounded nuclei or may in group or in lacuna. D. - Green star → Matrix. - One feature → Any feature for matrix as Homogenous
71
A. Identify the tissue → Hyaline cartilage. B. - Black arrow → Outer fibrous layer of perichondrium - Feature → Acidophilic or condensed fibers or has fibroblasts C. - Blue arrow → Inner chondrogenic layer or chondroblasts. - One feature → Any feature for chondroblast as Oval cells or oval nuclei or basophilic cytoplasm. D. - Yellow circle → Isogenous groups of chondrocytes. - Red arrow → Matrix
72
A. Identify the tissue → Elastic cartilage B. - Green star → Outer fibrous layer - Blue arrow → Inner chondrogenic layer or chondroblast. C. - Yellow arrows → Elastic fibers. - One visible feature → Any feature for elastic fibers as Zigzag lines or stretchable or singly or thin fibers. D. – Red arrow → Chondrocytes. - One visible feature → Any feature for chondrocyte as Rounded cell or rounded nucleus or in lacuna.
73
A. Identify → White fibro cartilage. B. - Green arrow → Collagen bundles or fibers. - One visible feature → Any feature for collagen fibers as Condensed fibers or bundles or acidophilic. C. -Yellow circle → Chondrocytes. - One visible feature → Any feature for chondrocytes as Arranged in rows or rounded cell or rounded nucleus.
74
1- yellow elastic cartilage 2- a: chondrocytes b: elastic fibers
75
1- hyaline cartilage 2- matrix metachromatically 3- isogenous group (cell nest)
76
1- decalcified compact bone 2- yellow arrow: Haversian canal blue arrow: osteocyte 3- interstitial lamellae
77
1- bony trabeculae 2- blue arrow: osteoblast green arrow: osteocyte
78
a- 1: Haversian canal 2: Volkmann's canal b- red arrow: lacunae yellow arrow: canaliculi
79
1- yellow outline: Haversian system 2- red arrow: Haversian canal blue arrow: osteocyte
80
1- yellow arrow: osteoclast Blue arrow : Bone trabecula 2- green arrow: osteoblast 3- Spongy bone
81
1- A: Volkmann’s canal B: Haversian canal 2- Blue arrows: Lacunae 3- Ground compact bone
82
A. Identify tissue → ground compact bone. B. Identify structure surrounded by red circle → Haversian system or osteon. C. Name canals pointed by red arrow → Haversian canal & yellow arrow → Volkmann’s canal. D. Blue arrow points to → lacunae.
83
A. Identify tissue → Decalcified compact bone B. Yellow arrow → Periosteum C. – Layers by green arrow → Outer fibrous & - Blue arrow → inner osteogenic D. – Red arrow → osteocyte - Red star → Bone matrix or bone lamellae
84
A Identify tissue → Decalcified compact bone. B – Red circle → Haversian system or osteon. - Yellow star → Interstitial bone lamellae. C – Blue arrow → Haversian canal. - Green arrow → concentric bone lamellae. D – Red arrow → Osteocyte - 1 Feature → Any 1 feature as Oval or basophilic or in lacuna.
85
A. Identify the tissue → Decalcified compact bone. B. - Red circle → Haversian system or osteon. - Yellow star → Interstitial bone lamellae. C. - Blue arrow → Haversian canal. - Green arrow → Concentric bone lamellae. D. - Red arrow → Osteocyte. - 1 feature → Oval or basophilic or in lacuna.
86
A. Identify tissue → Spongy bone. B. - Yellow star → Bony trabeculae. - green star → Bone marrow cavity (or bone marrow). C. - Blue arrow Osteoblasts. - its feature → Any 1 feature as oval shape or basophilic cytoplasm. D. - Red arrow Osteocytes. - 1 feature → Any 1 feature as Flat shape or basophilic cytoplasm or flat nuclei
87
Red arrow: Proliferative stage Yellow circle: Zone of chondrocyte hypertrophy Green circle: Zone of calcification
88
T.S. skeletal muscle Red curved arrow: perimysium Green arrow: muscle fiber Blue arrow-head: epimysium
89
A)Moderator band (purkinje fibers) B) Larger, paler cells than ordinary cardiac muscle fibers
90
A: L.S. skeletal muscle B: L.S. cardiac muscle
91
a) This is a section in → skeletal muscle / T.S. (be specific). b) The red arrow points to C.T → endomysium. c) The blue arrow points to C.T. → perimysium. d) The green arrow points to → nucleus characterized by being → peripheral & multiple. e) The blue circle surrounds → muscle fiber.
92
a) This is a section in → skeletal muscle / L.S. b) Red arrow points to C.T. → endomysium. c) Green arrow points to → nuclei characterized by (any 2 visible features of nuclei as) → multiple & peripheral d) Blue rectangle limits a part of → a muscle fiber, while yellow arrow points to one of the characteristics of this tissue that is → transverse striations.
93
a)This is a section in → cardiac muscle / L.S. b) Mention two visible features (Any 2 visible features of cardiac muscle as) → branching muscle fibers & central nuclei or intercalated discs c) Blue arrow points to → intercalated disc. d) Black circle surrounds an inclusion named → lipofuscin granules. e) Red arrow points to C.T. → endomysium & yellow arrow points to → nucleus.
94
a) Blue circle surrounds Purkinje muscle fibers. b) Mention three visible characters Any 3 visible features of Purkinje muscle fibers as muscle fibers are larger , paler & myofibrils are peripherally located. c) Black rectangle surrounds ordinary cardiac muscle fibers.
95
Red arrow: stratum corneum Blue arrow: stratum granulosum Green arrow: stratum spinosum Yellow arrow: stratum basale
96
a.This is a section in → Thick skin & black line traverses → epidermis. b. Yellow star demarcates → keratin, the white arrow points to → granular cell layer. c. Blue arrow indicates → prickle cell layer and the green arrow points to → basal cell layer. d. Black triangle is in → dermal papilla, the red star is in → dermis.
97
A- thin skin B- Blue arrow → Epidermis Red arrow → sebaceous gland C- yellow star → Dermis
98
a. A is a section in → thick skin & B is a section in → thin skin b.Two visible features for A : Any 2 visible features of thick skin as → thick keratin and no hair follicles, ………… c. Two visible features for B : Any 2 visible features of thin skin as → hair follicles and sebaceous glands, ………… d.White star demarcates → keratin , while yellow arrows point to → sebaceous glands.
99
hyaline cartilage
100
Elastic cartilage
101
Decalcified compact bone
102
Cardiac Muscle and valve
103
Growing epiphyseal plate
104
compact bone ground section
105
Skeletal muscle LS
106
Spongy bone
107
Skeletal muscle TS
108
Thick skin
109
Thin skin
110
111
112
113
114
115
116
a. Lymph node -Yellow triangle: capsule b. -Black arrow: subcapsular sinus c. -Letter A: lymphatic follicle d. -Letter B: cortex
117
a. Secondary follicle b. Green star: medulla c. Lymph node
118
a.This is a section in → lymph node. b.The yellow arrow points to → capsule. c. The space pointed to by black arrow is → subcapsular sinus while that pointed to by the red arrow is → trabecular sinus. d.Blue arrow points to → a trabecula. e.Blue line traverses → cortex while the yellow one traverses → medulla. f. Green circle surrounds → a secondary follicle. g.Letters A, B & G denote → medullary cords , medullary sinuses & germinal center.
119
a. This is a section in → spleen. b. Red arrow points to → capsule. c. Blue circle surrounds → white pulp ( Malpighian corpuscle). d. Green arrow points to → central arteriole. e. Numbers denote: 1- germinal center, 3- marginal zone, 2- follicular zone, 4- Thymus dependent zone, 5- central arteriole , 7- Trabeculae. 6- red pulp
120
a. This is a section in → Thymus. b. The black arrow points to C.T. → capsule while the yellow one points to C.T. → trabecula c. Red line traverses → cortex while green one traverses → medulla. d. Blue circle surrounds Hassall’s corpuscle & cells outside the circle are T- lymphocytes.
121
a.This is a section in tonsil. b.Epithelium pointed to by blue arrow is non keratinized stratified squamous. c. Red arrow lies in the crypt. d.Black arrow points to mucus glands & yellow arrow points to capsule. e.Red circle surrounds a lymphatic follicle & Green star marks diffuse lymphatic tissue.
122
-Yellow arrow: crypt -Red arrow: non-keratinized stratified squamous epithelium
123
- Trachea - 1: Epithelium (pseudostratified columnar ciliated epithelium with goblet cells) 2: Perichondrium 3: Hyaline cartilage
124
1. Adult lung 2. Alveolar space 3. Alveoli 4. Interalveolar septum
125
A. Trachea B. Pseudostratified columnar ciliated epithelium with goblet cells & motile cilia C. - Submucosa - loose C.T., lymphoid follicles, mucous & serous glands D. Fibrocartilaginous coat
126
1. Adult lung 2. Intrapulmonary bronchus 3. Black arrow: Pseudostratified columnar ciliated epithelium with goblet cells & motile cilia Blue arrow: smooth muscle fibers Red arrow: cartilage plate Green arrow: alveoli
127
1. Adult lung 2. A bronchiole 3. Smooth muscle fibers 4. Simple columnar ciliated epithelium with Clara cells
128
A. Adult lung B. 1: Terminal bronchiole 2: Respiratory bronchiole 3: Alveolar duct 4: Alveolar sac
129
A. Pneumocyte type I B. Pneumocyte type II C. Alveolar macrophage D. Blood capillary
130
- Aorta , Orcein - 1: tunica intima 2: tunica media 3: tunica adventitia
131
A) Aorta B) Any one visible feature as presence of numerous elastic fibers, thick wall, ….. C) Blue line: The tunica media Green line: The tunica adventitia D) Yellow arrow: endothelium (or tunica intima) Black arrow: Vasa vasorum
132
A) Aorta B) Orcein – elastic fibers C) Yellow arrow: endothelium (or tunica intima) D) Blue line: Tunica media Red arrows: Elastic fibers
133
A: - Medium sized artery - Presence of internal elastic lamina, thick wall, ….. B: Medium sized vein Thin wall, wide lumen, ….
134
- Medium sized artery - Internal elastic lamina - 1: tunica media 2: tunica adventitia
135
A) Medium sized artery B) Presence of internal elastic lamina, thick wall, ….. C) Black line: The tunica media D) Black arrow: Endothelium Yellow arrow: Internal elastic lamina Green arrow: nucleus of smooth muscle fiber Blue arrow: elastic fiber
136
A-Medium sized artery B- 1: Tunica media C- 2: Tunica adventitia D- Black arrow: external elastic lamina Blue arrow: internal elastic lamina
137
Lymph node
138
palatine tonsil
139
A) Medium sized vein B) Thin wall, wide lumen, …. C) Black line: The tunica media D) Yellow line: The tunica adventitia
140
Spleen
141
Spleen
142
Thymus
143
Trachea
144
Trachea
145
Lung
146
Aorta
147
Medium sized artert
148
Medium sized vein
149
Spleen
150
Palatine tonsil
151
ground compact bone
152
Decalcified compact bone
153
Haversian system
154
Hyaline cartilage
155
Spongy bone
156
Growing end of long bone
157
Thick skin
158
thin skin
159
Elastic cartilage
160
Cardiac muscle and valves
161
Medullary cords and sinuses
162
Trachea
163
Thymus