Pathology Flashcards

(23 cards)

1
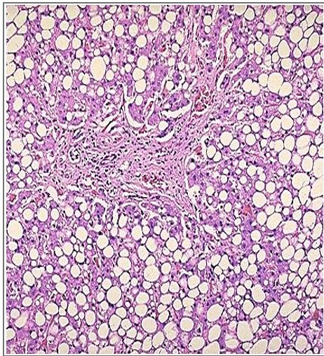
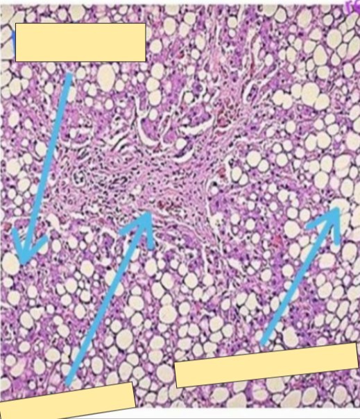
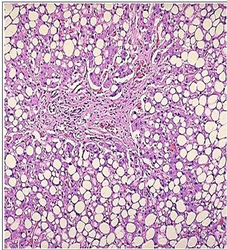
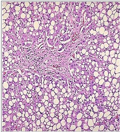
Q

The _______ are distended by _______ which were occupied by _____ that had dissolved in ______during the preparation of the _____ section.

A
hepatocytes
cytoplasmic vacuoles
Fat
Xyol + alcohol
paraffin
How well did you know this?
1
Not at all
2
3
4
5
Perfectly
2
Q

The _______ of some hepatocytes are _______ by the vacuole (accumulated fat) to one side against the cell membrane giving the cell a _______ appearance.

A

Nuclei
flattened
Signet ring

How well did you know this?
1
Not at all
2
3
4
5
Perfectly
3
Q

Diagnosis?

A

Steatosis

How well did you know this?
1
Not at all
2
3
4
5
Perfectly
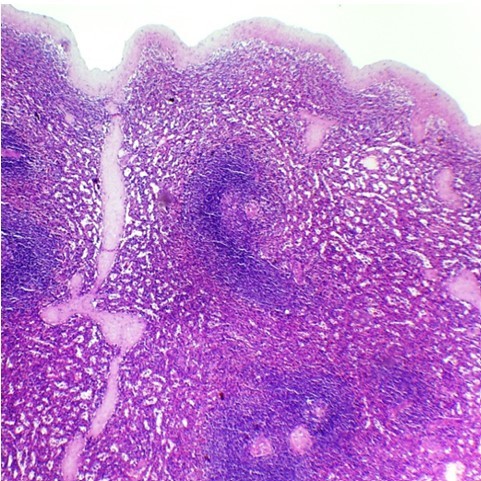
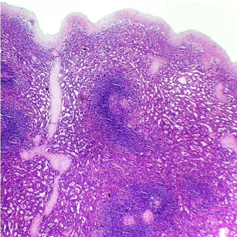
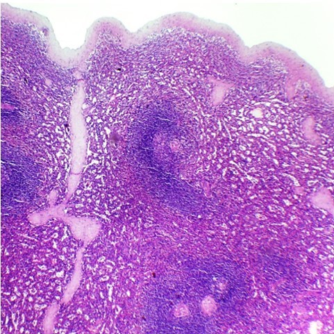
4
Q

This shows

______________ of the _______ of lymphoid follicles.

The arteriolar wall is ______ and their ______ is narrowed.

A

Hyaline degeneration
Central arterioles
Thickened
Narrowed

How well did you know this?
1
Not at all
2
3
4
5
Perfectly
5
Q

The ________ & ________ also show hyalinosis

A

splenic capsule

Trabeculae

How well did you know this?
1
Not at all
2
3
4
5
Perfectly
6
Q

diagnosis

A

hyalinosis of spleen

How well did you know this?
1
Not at all
2
3
4
5
Perfectly
7
Q

diagnosis?

A

liver steatosis

How well did you know this?
1
Not at all
2
3
4
5
Perfectly
8
Q
  1. Cut surface of the liver slice shows __________ coloration.
  2. The borders are ________ indicating ______ consistency.
A

diffuse yellow
rounded
soft

How well did you know this?
1
Not at all
2
3
4
5
Perfectly
9
Q

this is

A

heart with open chambers

How well did you know this?
1
Not at all
2
3
4
5
Perfectly
10
Q

The MYOCARDIUM is ______ in color
Columnae carneae has a ______appearance).
The LEFT VENTRICLE shows _______ and ______

The AORTA and mitral valve shows ____________

A

Yellow
Tabby cat appearance
hypertrophy, dilatation

atherosclerotic patches

How well did you know this?
1
Not at all
2
3
4
5
Perfectly
11
Q

diagnosis?

A

1- Fatty Change Of The Heart (Tabby Cat).

  1. Hypertrophy And Dilatation Of Left Ventricle.
  2. Atherosclerosis Of Aorta And Mitral valve
How well did you know this?
1
Not at all
2
3
4
5
Perfectly
12
Q

what is this

A

heart with open left side

How well did you know this?
1
Not at all
2
3
4
5
Perfectly
13
Q

HEART is reduced in _________ with _______

  1. The myocardium is _________ in color
  2. PERICARDIAL FAT is replaced by ___________.
  3. AORTA shows ____________.
A

size, tortuous coronaries
dark brown
edematous tissue
yellow atherosclerotic patches

How well did you know this?
1
Not at all
2
3
4
5
Perfectly
14
Q

diagnosis

A

brown atrophy of the heart
brown atrophy of pericardial fat
aortic atherosclerosis

How well did you know this?
1
Not at all
2
3
4
5
Perfectly
15
Q

this is

A

sectioned tumor mass

How well did you know this?
1
Not at all
2
3
4
5
Perfectly
16
Q

The Mass is rounded _______ well defined _______ in color. It shows _____________ of __________.

A

capsulated, greyish white
granular chalky white foci
calcification

17
Q

diagnosis

A

subcutaneous fibroma with dystrophic calcification

18
Q

from left to right

A

nucleus, portal tract, hepatocyte

19
Q

from up to dowm

A

aorta
serous atrophy of fat
deep brown myocardium

20
Q

up to down

A

aorta
yellow artheroosclerosis
Tabby cat appearance
left ventricle

21
Q

up to down

A

portal tract

rounded border

22
Q

up go down

A

fibrous capsule

calcification

23
Q

left to right

A
capsule
trabeculae
central arteriole 
white pulp
red pulp