Diagnóstico e conduta

Leiomiossarcoma retroperitoneal - ressecção cirúrgica
Malformação cervical com íntima relação com osso hióide
Cisto tireoglosso
Paciente submetida à bypass em Y de roux com colocação de anel, qual complicação se vômitos de conteúdo alimentar?
Impactação gástrica (algum alimento não passa pelo anel) -> EDA
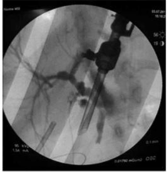
Qual o exame e o diagnóstico

Colangiografia intraoperatória (injeta no ducto cístico), mostrando coledocolitíase (interrupção do fluxo distal)
Imagem associado à fraqueza, unha e cabelo frágil e trombocitose, qual diagnóstico?

Coiloníquia e quelite angular, diagnóstico de anemia ferropriva (trombocitose reativa)

Paciente em uso de warfarina, qual a indicação de:
Qual o alvo de INR?
ALVO: INR 2-3
Paciente com CA de mama e QT curto, qual a provável causa?
HIPERCALCEMIA
Na hipercalemia teríamos inicialmente outras alterações no ECG.
Neurite oculomotor diabética, qual a clínica?
Oftalmoplegia
Estrabismo divergente
Diplopia
Ptose
Como é o derrame pleural da pancreatite?
Exsudato rico em amilase
Quando a trombólise está indicada na TEP?
Instabilidade hemodinâmica ou Insuficiência de VD
Atb para tratamento de celulite por staphy meticilina sensível IV
Oxacilina
(ou nafcilina ou cefazolina)
Tratamento celulite
Leve/moderado
Grave/purulenta
Na RPMO o objetivo do antibiótico é:
Aumentar período de latência até 32 semanas
= (quanto menor a idade gestacional, maior o período de latência)
Para uso de fórceps de Kielland para rotação, a primeira colher em criança OET deve ser a ________
Anterior, locada pela fronte
Cisto funcional ovariano menor do que ____ pode ser conservadora
8 cm
O pico de crescimento de acordo com classificação de turner ocorre em __ nas meninas e ____ nos meninos
III nas meninas
IV nos meninos
Rubor facial, mucosa seca, hipertermina, taquicardia, midríase e retenção urinária: intoxicação _____
COLINÉRGICA
(Antihistamínico, anti depressivo, atropina..)
*Para reversão: carvão, sorbitol, bicarbonato de sódio, vasopressores e antiarrítimicos
Sopro de Still
sopro inocente mais comum da infância (escolares), raramente lactente.
Anemia microcítica e hipocrômica com CHCM baixo e RDW normal
Talassemia -> eletroforese de hemoglobina
Seguridade social compreende direitos a:
Seguridade social compreende direitos a:
Colabora para a elaboração da lista de agravos e doenças do trabalho:
Entidades sindicais
Compõe a comissão bipartite
SES (Secretaria estadual de saúde)
e
COSEMS (Orgão de representação dos Secretários Municipais de Saúde)
Capacidade de um procedimento efetivar diagnósticos corretos da ausência de doença (verdadeiros negativos) é denominada?
ESPECIFICIDADE