What are most common symptoms of GERD?
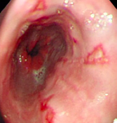
What do you see here?


What are some more severe symptoms of GERD?
What questions might you ask a pt who is not responding well to PPI tx for GERD?
How can pts optimize PPI administration?
Which pts with GERD should be referred to a gastroenterologist?
65-yo man with 10-yr hx of chronic GERD. Smoker. Takes PPI. Endoscopy 10 years ago w/grade B esophagitis. What should you do?
What histo changes are associated with reflux?

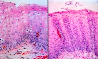
What is the difference b/t these 2 images?

Can weight loss help relieve GERD symptoms?
When should tx be initiated in pts w/typical GERD symptoms? By whom?
What is the role of endoscopy in patients with typical symptoms?
Can medical treatment be safely initiated before (or without) endoscopy?
What is the (limited) role of endoscopy in GERD?
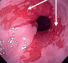
What is going on here?

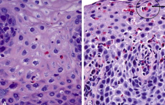
What is the difference b/t these 2 images? Arrow?

What is the role of diet in EoE?
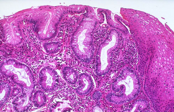
What is Barrett’s esophagus? Epi? Dx?
What do you see here?

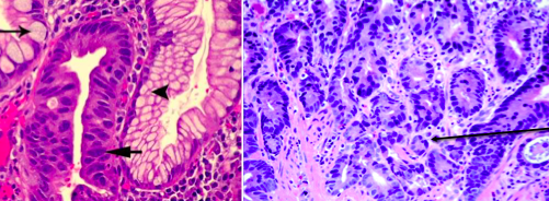
What do you see in this esophageal biopsy?

Describe the dysplasia in these two esophageal biopsies. How are they different?

What do you see in this esophageal biopsy? Arrow?

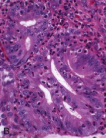
What is going on in this esophageal biopsy?

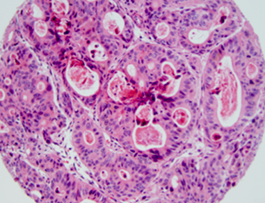
What are the risk factors for esophageal adenocarcinoma? Protective factors?
What is a major prognostic indicator for esophageal adenocarcinoma?
