What is the standard for determining abnormal bowel movements?
20-yo man with 3-4 months of bloody diarrhea.
What is the differential diagnosis?
20-yo man with 3-4 months of bloody diarrhea.
What tests does he need?
What is going on in these 2 images?

What are the endoscopic features of ulcerative colitis?
How does smoking affect UC risk?
How does family history of colorectal cancer in a second-degree relative above the age of 60 effect an individual’s personal risk of colorectal cancer?
This has minimal effect on this person’s risk
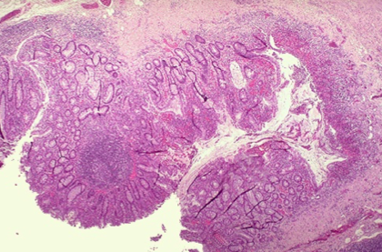
What do you see here?


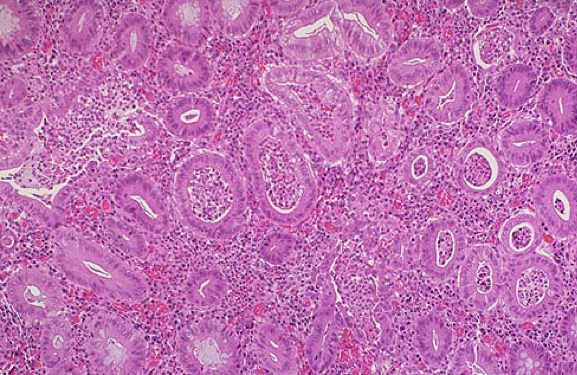
What do you see here?

What is this?

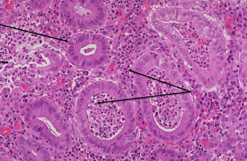
What is going on here? Arrows?

What is going on here?


What is this?

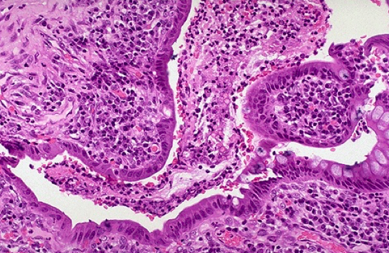
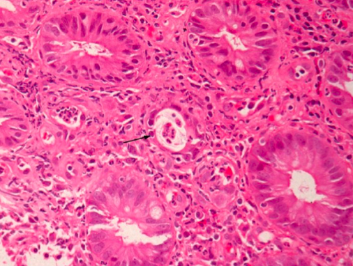
This is acute colitis in a UC patient; what else is present (arrow)?


What are the risk factors for dysplasia arising from UC and Crohn’s?
What is going on in this box? How can you tell? Arrows?

20-yo man with 3-4 months of bloody diarrhea. Dx’d with UC. Tx?
20-yo man with 3-4 months of bloody diarrhea. Dx’d with UC. What does the future hold?
When is a colectomy indicated in pts with UC?
What is likely going on here?

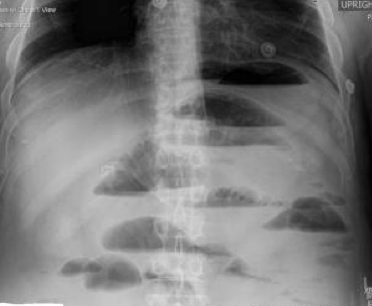
Young woman. Hx of abdominal pain and diarrhea. Now presents with worse pain, abdominal distension and vomiting.
What is going on? Tests?
What is going on here? Arrows?

What do you see here?

What is going on here?

