Hydrocephalus Flashcards

(59 cards)

1
Q

What are the normal values for CSF pressure?

A

Mean CSF pressure = 10mmHg >15mmHg represent abnormally high values

How well did you know this?
1
Not at all
2
3
4
5
Perfectly
2
Q

At what rate is CSD produced?

A

0.35ml/min = 20ml/hour = 500ml/day Largely independent of CPP (cerebral perfusion) and ICP Choroid plexus secretion is hypertonic to CSF (accounts for 3/4 of all CSF production)

How well did you know this?
1
Not at all
2
3
4
5
Perfectly
3
Q

CSF is produced in a circadian rhythm, at what time of day is it at it’s maximum and minimum respectively?

A

Maximum at 2am, minimum at 6pm

How well did you know this?
1
Not at all
2
3
4
5
Perfectly
4
Q

What can decrease CSF formation?

A

Production rate decreases in elderly. Acetazolamide reduced production by >50%

How well did you know this?
1
Not at all
2
3
4
5
Perfectly
5
Q

Where is CSF absorbed?

A

Via arachnoid granulations. Absorption is passive and depends upon the ICP being greater than the pressure in the sagittal sinus and on the resistance to outflow across the arachnoid granulations

How well did you know this?
1
Not at all
2
3
4
5
Perfectly
6
Q

What are the physical functions of CSF?

A

Buoyancy - reduces effective brain weight by 96% Accommodates physiological changes in vascular volumes in the head being displaced into the spinal canal ie. the mediator of compliance

How well did you know this?
1
Not at all
2
3
4
5
Perfectly
7
Q

What are the chemical functions of CSF?

A

Provides certain micro-nutrients to cerebral tissue e.g. vitamin C, thyroxine Clears some waste products of nerve cell metabolism e.g. 5HIAA Ionic homeostasis

How well did you know this?
1
Not at all
2
3
4
5
Perfectly
8
Q

What are some examples of CSF pathologies?

A

Hydrocephalus, spontaneous intracranial hypotension, syringomyelia, intracranial arachnoid cysts, Dandy Walker cysts, spinal arachnoid webs

How well did you know this?
1
Not at all
2
3
4
5
Perfectly
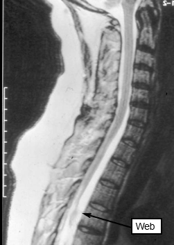
9
Q

What are the causes of spinal arachnoid webs?

A

May be idiopathic or secondary to previous inflammatory processes caused by infection or intracranial haemorrhage

How well did you know this?
1
Not at all
2
3
4
5
Perfectly
10
Q

What are some examples of pathologies where there is abnormal accumulation of water within the parenchyma of the CNS?

A

Cerebral oedema, benign intracranial hypertension, spinal dural arteriovenous fistulae, syringomyelia

How well did you know this?
1
Not at all
2
3
4
5
Perfectly
11
Q

How is hydrocephalus classified?

A

Obstructive vs communicating Infantile vs childhood/adult (acute or chronic)

How well did you know this?
1
Not at all
2
3
4
5
Perfectly
12
Q

What are the features of hydrocephalus from birth?

A

An unusually large head, a thin and shiny scalp with easily visible veins, a bulging or tense fontanelle, downward looking eyes

How well did you know this?
1
Not at all
2
3
4
5
Perfectly
13
Q

What can congenital hydrocephalus cause?

A

Poor feeding, irritability, vomiting, sleepiness, muscle stiffness and spasms in a baby’s lower limbs

How well did you know this?
1
Not at all
2
3
4
5
Perfectly
14
Q

When can congenital hydrocephalus be picked up?

A

Sometimes picked up before a baby is born during an ultrasound scan

How well did you know this?
1
Not at all
2
3
4
5
Perfectly
15
Q

What are some common causes of paediatric hydrocephalus?

A

Congenital - chiari malformation or spina bifida, aqueductal stenosis, Dandy-Walker complex, congenital arachnoid cysts, atresia of foramen of Munro Acquired causes - haemorrhage, infection, traumatic head injury, tumour

How well did you know this?
1
Not at all
2
3
4
5
Perfectly
16
Q

How long do ventriculoperitoneal shunt valves typically last?

A

Function satisfactory after insertion in 80% of cases but 80% are no longer functioning after 12 years 40% revision rate in first year!

How well did you know this?
1
Not at all
2
3
4
5
Perfectly
17
Q

What are complications of shunt valves?

A

Over-drainage - acute subdural haematomas (SDH), slit ventricles Under-drainage - blockage, displaced/disconnected catheter Infection - reduced by use of antibiotic or silver impregnated shunts., use iodine!! Intracerebral haemorrhage, seizures, craniosynostosis, umbilical fistula, ascites, hydrocele

How well did you know this?
1
Not at all
2
3
4
5
Perfectly
18
Q

What are the clinical features of a blocked shunt?

A

Headache and vomiting Sunsetting in children, lack of upward gaze in adults Blurred vision - papilloedema precedes blindness!

How well did you know this?
1
Not at all
2
3
4
5
Perfectly
19
Q

How is a blocked shunt managed?

A

Tap the shunt in extremes but can send CSF to microbiology CT head to show hydrocephalus Urgent surgery to replace shunt!

How well did you know this?
1
Not at all
2
3
4
5
Perfectly
20
Q

What can be used as an alternative to insertion of a shunt in some cases?

A

Endoscopic 3rd ventriculostomy (ETV)

How well did you know this?
1
Not at all
2
3
4
5
Perfectly
21
Q

What is the success rate for inserting an ETV?

A

Around 70% succeed with aqueduct stenosis and tumours. With hindbrain hernia group the success rate is only 50%. There is a high failure rate in vascular, congenital and post-meningitic groups

How well did you know this?
1
Not at all
2
3
4
5
Perfectly
22
Q

What is normal pressure hydrocephalus?

A

Enlarged cerebral ventricles with normal/intermittently raised ICP

How well did you know this?
1
Not at all
2
3
4
5
Perfectly
23
Q

What are the triad of symptoms associated with normal pressure hydrocephalus (NPH)?

A

Ataxia, memory decline and incontinence

How well did you know this?
1
Not at all
2
3
4
5
Perfectly
24
Q

How is NPH managed and why is it especially important to treat?

A

Potential to respond to CSF diversion - 70% success but not permanent It is one of very few potentially treatable causes of dementia

25
What are some of the causes of NPH?
Idiopathic Post-inflammatory - SAH, meningitis, trauma, craniotomy
26
What are some of the features of NPH dementia?
Delay in answering questions, loss of spontaneity, may progress to akinetic mutism, often fluctuates in severity, urinary incontinence
27
What are some of the features of NPH ataxia and why is it so important?
Difficulty rising from a chair, tendency to fall backwards, difficulties initiating gait, broad based, shuffling gait Essential to the diagnosis, precedes all other symptoms
28
What are some of the differential diagnoses for NPH?
Causes of ataxia - cerebellar, myelopathy Causes of dementia - Huntington's, Wilson's, syphilis, encephalitis, hypothyroidism, alcohol, cerebral tumours, cerebrovascular disease, Alzheimer's, frontotemporal, Parkinson's, major head injury, demyelination
29
How is NPH investigated?
Diagosis is made with hydrocephalus in the context of one or more of the classic triad i.e. clinical + CT MRI, tracer diffusion studies, ICP measurement, LP tap-test, lumbar drainage tests, infusion studies
30
How is treatment method decided and what are the treatment options for NPH?
Tap test LP or lumbar drain + measure NPH triad pre and post CSF drainage. If there is an improvement -\> shunt. Lumboperitoneal shunts, VP shunt, endoscopic ventriculostomy
31
What is used to safeguard against over-drainage and subdural haematoma formation in the use of VP shunts for NPH?
Valves - anti-syphon, adjustable pressure
32
How effective a treatment is shunting in NPH?
If gait problems predominate or the underlying cause is known - good prognosis If there is pronounced dementia the prognosis is poor so NPH patients are best treated before cognitive decline is too great
33
What are some conditions associated with idiopathic intracranial hypertension (IIH)?
Female sex, obesity, sleep apnoea, hypothyroidism, Addison's disease, uraemia, SLE, vitamin A, antibiotics, steroid withdrawal, lithium
34
What symptoms are associated with IIH?
Headaches, visual losses - intervene wen visual field loss before patient develops visual acuity loss
35
What are some of the signs associated with IIH?
Papilloedema, constriction of visual fields, loss of visual acuity
36
How is IIH investigated?
LP pressure \>25cm Normal CSF chemistry and cytology Normal CT and MRI findings No evidence of venous sinus thrombosis
37
How is IIH treated?
Treat underlying cause (heparin), diuretics, LP, LP or VP shunt, optic nerve sheath fenestration, sub-temporal decompression, venous stents, WEIGHT LOSS! Tends to resolve spontaneously but there is a lifetime predisposition to raised pressure
38
What are some of the potential complications of LP shunts?
Blockage, infection, nerve root irritation, low pressure headaches, subdural haemorrahges, arachnoiditis, tonsillar herniation (TH)
39
What are the symptoms associated with spontaneous intracranial hypotension (SIH)
Orthostatic headaches, neck/interscapular/arm pain, diplopia/visual field defects, dizziness, muffled hearing, galactorrhoea, impaired sphincter control, symptomatic subdural haematomas
40
What can cause SIH?
Idiopathic, collagen disorders, dural diverticula, trauma
41
How is SIH investigated?
MRI head - meningeal enhancement, chronic SDH, hindbrain herniation Lumbar puncture - low pressure, pleocytosis, raised protein, xanthochromia CT myelography, spinal MRI, isotope myelography
42
How is SIH treated?
Conservative - bed rest, fluids, analgesics Epidural blood patches Surgical repair
43
What causes galactorrohea in SIH?
Hyperaemia through the pituitary gland (increased blood flow)
44
When does syringomyelia typically present?
Mean age - 31-35
45
When is syringomyelia common?
In cases of traumatic paraplegia victims
46
What is the morphology of syringomyelia?
Dilated central canals, spindles, holocord (whole spinal cord), tethered conus medullaris
47
How is syringomyelia classified?
Craniovertebral junction e.g. chiari type 1 malformation, hindbrain hernia., spinal canal e.g. arachnoiditis, trauma and idiopathic Conus medullaris syrinxes in association with tethered cords form a sub-group of their own
48
How common are persisting central canal of spinal cords?
Persisting central canal of cord is seen in 1.5% of spinal MR scans. Patency rate is 100% under 12 months of age. Marked reduction in 2nd decade, occlusion takes place with advancing age
49
How does syringomyelia classically present?
Dissociated sensory loss, cuts + burns on hands, small muscle wasting, clawed hands, loss of upper limb reflexes, increased lower limb reflexes
50
What is a feature of early stage syringomyelia?
Hyperhidrosis - indicates hyperactivity in pre-ganglionic neurons
51
How else might syringomyelia present?
A wide variety of involuntary movements are seen as presenting features of syringomyelia Segmental myoclonus, paroxysmal arm posturing, isolated Horner's, orofacial pain, limb hypertrophy, orthostatic hypotension, reduced intestinal motility
52
How do hindbrain hernias commonly present?
Headaches following coughing, sneezing, straining, bending forward. Visual disturbances, dizziness, deafness/tinnitus, dysarthria/dysphagia, somatic sensory disturbances, sleep apnoea (72% of people with craniovertebral junction abnormalities have sleep apnoea)
53
What proportion of patients with hindbrain hernia have an associated syrinx?
65%
54
What is the outlook for syringomyelia like?
Poorly defined, progression to quadraplegia is rare, 50% remain stable for long periods, occasional sudden deterioration, ageing exacerbates burden
55
How is syringomyelia treated?
Open up obstructed CSF channels e.g. craniovertebral decompression, laminectomy + duroplasty., drain syrinx cavity, lower overall CSF pressure, conservative management
56
What can happen as a result of craniovertebral decompression surgery?
Blood and other products released into the CSF pathways during surgery lead to recurrent adhesion formation and persistence of the syrinx cavity
57
When would a syrinx be drained instead of creating a conduit?
When the syrinx is particularly large
58
Where can fluid from a syrinx be diverted to?
Spinal subarachoid channels, pleural cavity, peritoneal cavity
59
What are the outcomes of craniovertebral decompression (CVD) in the mangement of hindbrain hernia related syringomyelia?
Pressure dissociation headaches usually relieved. 80% rate of syrinx collapse following CVD. Motor deterioration commonly stopped but dysaesthetic pains commonly persist.