Where does the corticospinal tract originate?
Primary motor cortex in the precentral gyrus
What are the 2 parts of the corticospinal tract and what are their functions?
Where does the corticobulbar tract originate from?
Primary motor cortex in the precentral gyrus
What is the function of the corticobulbar tract?
Where is the lesion in Bells palsy?
Lower motor neuron of CN VII causing forehead and lip droop
If there was an UMN lesion to CN VII e.g. stroke, how would that manifest itself in a patient?
Lip droop with forehead SPARING due to bilateral innervation
What is the origin and function of the rubrospinal tract?
What is the origin and function of the reticulospinal tract?
What are the features of decerebrate rigidity?
Plantar flexed, wrists and fingers flexed, forearms pronated, elbows extended and shoulders adducted
What are the features of decorticate rigidity?
Plantar flexed, legs internally rotated, wrists and elbows flexed, arms adducted
What is the function of the DCML pathway and where does it decussate?
What is the function of the spinothalamic tract and where does it decussate?
A 30 year old man presented with a stab wound in his back. He has right sided weakness starting at T5 and left sided loss of pinprick sensation and temperature starting at T7. What spinal cord compression syndrome did this man develop?
Brown-Sequard syndrome
A 39-year-old woman presented with severe headaches whenever she sneezed. She also had decreased sensation to pinprick over her upper back, shoulders, and upper arms. Her power in her arms was 2/5 but her lower body power was 5/5. What is the cause for patient’s sensation and motor weakness?
Syringomyelia
Where do extradural haemorrhages originate and how do they present?
How are extradural haemorrhages investigated and what would be the findings?
Where do chronic subdural haemorrhages originate and how do they present?
How are subdural haemorrhages investigated and what would be the findings?
Where do subarachnoid haemorrhages originate and how do they present?
How are subarachnoid haemorrhages investigated and what would be the findings?
What does cerebral herniation cause?
A patient presents unconscious with unilateral pupil mydriasis that does not constrict to light following a car accident. On CT, an intracranial hemorrhage with cerebral herniation. What is the most likely cause?
Uncal herniation
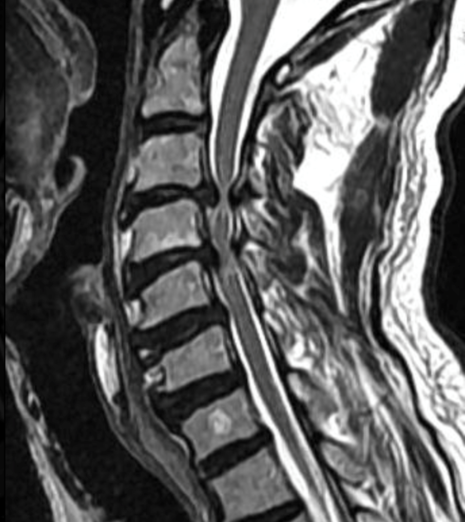
A 66-year-old man presented with several falls over the course of the past few months. On examination, he had symmetrical weakness of his legs and mild weakness of his hand. He had an abnormal gait. His reflexes were extremely brisk in his legs with upgoing planters bilaterally. He has positive Hoffman’s sign. What is the most likely diagnosis?

Degenerative cervical myelopathy due to cervical spondylosis
Label each of the arteries 1-9 (starting from top right and working anti-clockwise)

1 - middle cerebral 2 - ophthalmic 3 - internal carotid 4 - basilar 5 - vertebral 6 - posterior cerebral 7 - posterior communicating 8 - anterior cerebral 9 - anterior communicating
