Hydrops Flashcards

(94 cards)

1
Q

What is a hydrops? 2

A

One or the other of:

  1. An abnormal accumulation of serous fluid in at least 2 body cavities
  2. Serous fluid in only 1 body cavity with tissue edema
How well did you know this?
1
Not at all
2
3
4
5
Perfectly
2
Q

What are some examples of hydrops? 4

A
  1. Pleural effusion
  2. Abdominal ascites
  3. Pericardial effusion
  4. Edema
How well did you know this?
1
Not at all
2
3
4
5
Perfectly
3
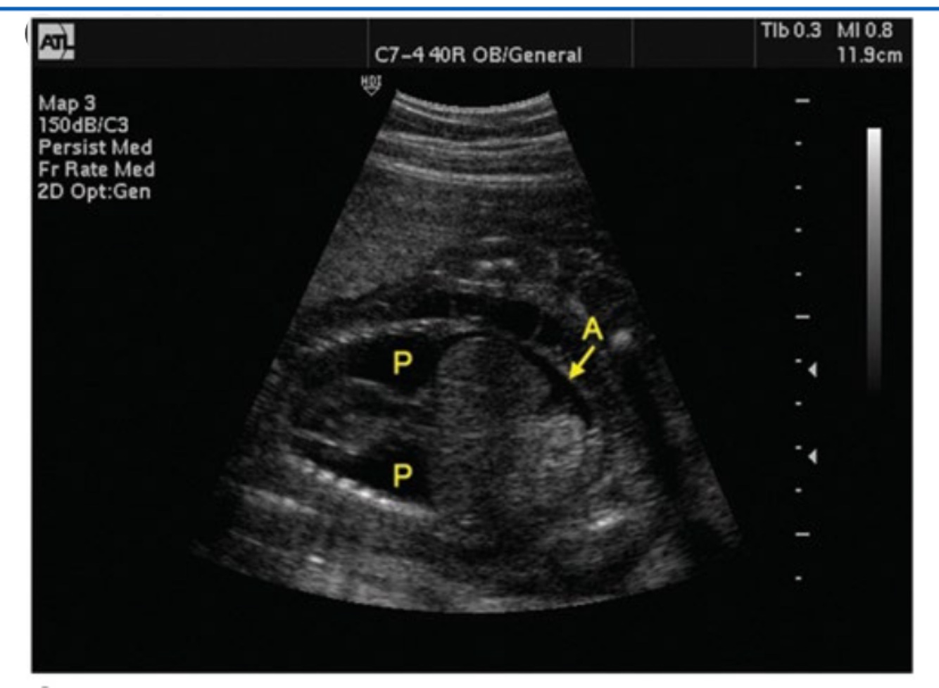
Q

What does this image demonstrate?

A

Fetal hydrops two body

How well did you know this?
1
Not at all
2
3
4
5
Perfectly
4
Q

What does this image demonstrate?

A

One body cavity with edema

How well did you know this?
1
Not at all
2
3
4
5
Perfectly
5
Q

Hydrops are based on two groups of ethologies, what are they?

A
  1. Immune hydrops
  2. Non-immune hydrops (NIH)
How well did you know this?
1
Not at all
2
3
4
5
Perfectly
6
Q

Hydrops is common but each specific etiology that causes them is how common?

A

Rare

How well did you know this?
1
Not at all
2
3
4
5
Perfectly
7
Q

Hydrops is usually involved in what stage for many conditions signifying what? 2

A
  1. Terminal stage
  2. Fetal decompensation
How well did you know this?
1
Not at all
2
3
4
5
Perfectly
8
Q

Once decompensation occurs, progression of hydrops is what?

A

Rapid and demise can occur within 24-48 hours

How well did you know this?
1
Not at all
2
3
4
5
Perfectly
9
Q

Investigation of hydrops is very important for what?

A

Management of the pregnancy

How well did you know this?
1
Not at all
2
3
4
5
Perfectly
10
Q

Sonographic documentation of the fetus aids in what?

A

Counseling for future pregnancies

How well did you know this?
1
Not at all
2
3
4
5
Perfectly
11
Q

What modalities and techniques are important aspects for hydrops investigation? 2

A
  1. Ultrasound
  2. Fetal blood
How well did you know this?
1
Not at all
2
3
4
5
Perfectly
12
Q

What are some sonographic features of hydrops? 7

A
  1. Ascites
  2. Pleural effusions
  3. Subcutaneous edema
  4. Placenta edema
  5. Pericardial effusions
  6. Arterial or venous Doppler abnormalities
  7. Low BPP scores
How well did you know this?
1
Not at all
2
3
4
5
Perfectly
13
Q

What are ascites?

A

Fluid collecting in the fetal abdomen

How well did you know this?
1
Not at all
2
3
4
5
Perfectly
14
Q

Where might we see ascites first?

A

Pelvis first

How well did you know this?
1
Not at all
2
3
4
5
Perfectly
15
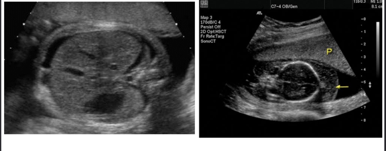
Q

Ascites can have fluid that can track down in males, this leads to what?

A

The fluid can track down into the scrotum causing hydrocele s

How well did you know this?
1
Not at all
2
3
4
5
Perfectly
16
Q

What is a pseudo ascites?

A

<2mm hypoechoic ring might be the hypoechoic muscular layer of the abdominal wall

How well did you know this?
1
Not at all
2
3
4
5
Perfectly
17
Q

If we see pseudo ascites what do we do?

A

Change probe angle to assess if this is in fact fluid

How well did you know this?
1
Not at all
2
3
4
5
Perfectly
18
Q

Ascites should always sit in what type of location?

A

Dependent location

How well did you know this?
1
Not at all
2
3
4
5
Perfectly
19
Q

What does this image demonstrate?

A

First location for hydrops to appear

How well did you know this?
1
Not at all
2
3
4
5
Perfectly
20
Q

What does this image demonstrate?

A

Hydroceles

How well did you know this?
1
Not at all
2
3
4
5
Perfectly
21
Q

What are pleural effusions?

A

Fluid in pleural space around the lung

How well did you know this?
1
Not at all
2
3
4
5
Perfectly
22
Q

The greater the pleural effusion, the greater the pressure on what? 3

A
  1. The mediastinum
  2. Thoracic vasculature
  3. Heart
How well did you know this?
1
Not at all
2
3
4
5
Perfectly
23
Q

What does pleural effusions cause? 3

A
  1. Upper body edema
  2. Polyhydramnios
  3. Pulmonary hypoplasia
How well did you know this?
1
Not at all
2
3
4
5
Perfectly
24
Q

What does this image demonstrate?

A

Pericardial effusion

How well did you know this?
1
Not at all
2
3
4
5
Perfectly
25
Subcutaneous edema can be affected where? 2
1. General 2. Local or limited to upper or lower body depending on etiology
26
What does anasarca stand for?
General edema
27
General edema is first seen where?
In the fetal scalp and face, then the abdomen and limbs
28
Placental edema is a late sign of what ?
Hydrops
29
What does Placental edema look like? (sonographic appearance)
“Ground glass” appearance on ultrasound
30
How thick is placental edema?
>4cm
31
If hydrops is from fetal etiology the whole placenta should be what?
Thick *Fetal long mass (CPAm), diaphragmatic hernia*
32
If hydrops is due to placenta vascular malformation than what happens?
The placenta looks hydropic
33
What does this image demonstrate?
Ground glass appearance
34
What is a pattern of hydrops with immune hydrops? 3 (stages)
Within immune hydrops 1. 1st Ascites 2. 2nd edema 3. 3rd pleural and pericardial effusion will occur
35
What patterns of hydrops will occur with thoracic abnormalities? 3
1. Chylothorax 2. Heart Abnormalities 3. Pleural and pericardial effusions usually occurring first
36
What is a chyle?
A milky fluid from food that is taken up during digestion.
37
What does chyle consist of?
Lymph and triglyceride fat
38
How is chyle passed?
Passed into the veins by thoracic duct and mixes with blood
39
Chylothorax is the presence of what?
Effused chyle in the pleural space
40
Immune hydrops occur when what happens?
A rhesus sensitized mother has antibodies to the + fetal red blood cells (maternal is rH-)
41
In terms of immune hydrops, Maternal immunoglobin antibodies cross the placenta and do what?
Attach antigen positive (Rh+), fetal red cells, hemolysis occurs
42
Hemolysis is what?
The separation of the hemoglobin from the red cells and is then found in the plasma (destruction of red blood cells)
43
What does this image demonstrate?
How the Rh in mother and baby occur
44
What is erythroblastosis?
Abnormal presence of erythroblasts in the blood
45
In terms of Rhesus factor how many are RH+ and RH-?
85% or + and 15 are -
46
The 85% that have Rh+ have what?
Red cell protein called rhesus factor
47
Of the 15% that are RH-, what does it lack?
Red cell protein called rhesus factor
48
80% of Immune hydrops is due to what? What about the other 20%?
1. Anti D antibodies 2. Other 20% is due to other antibodies
49
What are some causes for fetal red blood cell destruction? 3
1. Anemia in the fetus 2. Fetal Hepatosplenomegaly 3. Erythroblastosis fetalis
50
What is erythroblastosis fetalis? 2
1. Outpouring of many new immature blood cells to compensate for the RBC destruction 2. These immature RBCs do not support or carry oxygen well
51
What does fetal red blood destruction result in? (In order) 4
In order 1. Tissue hypoxia 2. Hydrops 3. Cardiac failure 4. Demise Basically, fluid does not get back to heart >>>> Heart works harder to compensate >>>>> cardiac failure >>>>>>>> demise
52
Why do we have tissue hypoxia with fetal red blood cell destruction?
Immature red blood cells can’t carry oxygen to tissues
53
Why do we have hydrops with fetal red blood cell destruction?
Fluid leaks out of cells causing hydrops
54
What does an assessment of immune hydrops include? 4
1. Assess maternal antibody concentration (blood test) 2. Detailed fetal sonographic assessment for signs of hydrops 3. MCA doppler 4. Optical density determination (ODD) amniocentesis
55
In terms of assessment of immune hydrops, With severe anemia the velocity increase in the arteries due to what?
Decreased viscosity of the blood.
56
In terms of assessment of immune hydrops, MCA doppler is asset why?
MCA doppler is reproducible and accurate
57
What is the treatment of immune hydrops? 2
1. Fetal blood sampling and blood transfusion in utero 2. Win intravascular transfusion
58
In terms of treatment of immune hydrops, how many fetuses with intravascular transfusion survive? 2
1. 70-75% of fetuses with hydrops will survive, 2. 85-05% of the fetuses without hydrops will survive
59
When is NIH (non immune hydrops) commonly seen?
1st and 2nd trimester with spontaneous aborted fetuses
60
Etiology of NIH varies with what?
Geography
61
What does NIH look like in North America and Europe? 3
1. Cardiovascular 2. Infection 3. Chromosomal
62
What does the etiology of NIH look like in Southeast Asia/
Homozygous thalassemia
63
What is homozygous thalassemia?
Blood disorder not compatible with life
64
If both parents pass the homozygous thalassemia gene what happens?
If both parents pass the gene to the fetus, the fetus as profound anemia resulting in death in utero
65
If one parent pass the homozygous thalassemia gene what happens?
Then the fetus would have relatively mild red blood cell anomalies
66
What are some causes of NIH? 3
1. Maternal 2. Placental 3. Fetal
67
What are some causes of maternal NIH? 3
1. Severe diabetes mellitus 2. Severe anemia 3. TORCH infections
68
What are some causes of Placental NIH? 3
1. Chorioangioma (shunting) 2. Venous thrombosis 3. Cord torsion
69
What are some fetal causes of NIH? 8
1. Cardiac 2. Thorax and neck 3. Urinary 4. Chromosomal 5. Infection 6. Skeletal dysplasia 7. Fetal hypokinesis 8. Idiopathic
70
In terms of fetal causes of NIH, cardiac issues are what? 3
1. Malformations of the heart 2. Arrhythmia 3. High output failure (from fetal shunts) TTS
71
In terms of fetal causes of NIH, Thorax and neck are usually what?
Any anomaly of the chest that causes compression
72
In terms of fetal causes of NIH, Urinary issues are due to what?
Prune belly syndrome
73
In terms of fetal causes of NIH, chromosomal causes are what? 3
1. Turner syndrome 2. T21, 18 and 13 3. Triploidy
74
In terms of fetal causes of NIH, infection causes are what? 3
1. Cytomegalovirus 2. Parvovirus 3. Toxoplasmosis
75
In terms of fetal causes of NIH, skeletal dysplasia causes are what? 3
1. Achondroplasia 2. Achondrogenesis 3. Thanatophoric dysplasia
76
In terms of fetal causes of NIH, Fetal hypokinesis causes are what? 2
1. Decreases mobility 2. Arhtrogryoposis
77
As a sonographer, what do we do to investigate for NIH? 9
1. History 2. Detailed scan for markers and anomalies 3. Fetal echocardiography 4. Karyotype for chromosomal abnormalities and for management 5. Fetal blood sampling 6. A fetal blood transfusion will be performed at the same time 7. Cavity aspiration 8. Pathology 9. Autopsy
78
In terms of investigations for NIH, what exam do we do too identify karyotypes for chromosomal abnormalities and for management?
FISH - Fluorescent in Situ hybridization
79
In terms of fetal blood sampling how long will it take to get results?
48 hours
80
Why do we take a fetal blood transfusion at the same time of fetal blood sampling?
Avoids second procedure or poke
81
If we see NIH what do we do? 4
1. Assess change in degree of hydrops 2. Cardiothoracic ratios for cardiomegaly 3. Doppler for cardiac failure 4. Colour doppler over the right atria to assess tricuspid regurgitation
82
What are some etiologies that relate to NIH? 5
1. Arrhythmias 2. Aneuploidy 3. Non immune anemia 4. Chylothorax and CCAM type 1 5. Infections
83
What it’s the therapy for NIH If the baby has arrhythmias?
Digoxin can be administered via maternal administration
84
What is the therapy if the baby has aneuploidy?
No therapy
85
What is the therapy for NIH if the baby has non immune anemia?
Due to parvovirus or fetal hemorrhage a fetal blood transfusion is performed
86
In terms of therapy for NIH, what do we do with Chylothorax and CCAM type 1? What might we do as a result? Why is it performed?
Pleural drainage 1. Done in utero 2. May even leave shunts in 3. Performed to prevent pulmonary hypoplasia
87
What do we do in terms of therapy for NIH, if there is a fetal infection?
Maternal or fetal antibiotics administered
88
What are some adverse affects of administering antibiotics as therapy for NIH? What are some examples?
Some fetuses may still have long term adverse effects if not caught soon enough Examples 1. Toxoplasmosis 2. Cytomegalovirus
89
What is the prognosis for NIH?
Mortality is high
90
What is the process of counselling for NIH?
Counselling is a challenge as it is impossible to be specific
91
What happens if NIH is identified in the 1st or early 2nd semester?
Termination is offered
92
What are two types of antenatal therapies? 2
1. Thoracentesis 2. Paracentesis
93
What is thoracentesis? Why is it performed?
1. Removing of fluid form the fetal chest 2. May be performed to aid in fetal respiration
94
What is Paracentesis? Why is it done?
1. Removing fluid from the fetal abdomen 2. May be done to drain ascites to prevent dystocia