Postpartum Flashcards

(67 cards)

1
Q

What is the postpartum period?

A

Placental expulsion»_space;> restoration of uterus to pre pregnant state

How well did you know this?
1
Not at all
2
3
4
5
Perfectly
2
Q

How long is the postpartum period?

A

About 6-8 weeks

How well did you know this?
1
Not at all
2
3
4
5
Perfectly
3
Q

What happens during the postpartum period?

A

Biochemical and physiological changes occurring from the withdrawal of hormones from pregnancy

How well did you know this?
1
Not at all
2
3
4
5
Perfectly
4
Q

Where is the uterine fundus 1 week postpartum? How big is it?

A

The uterine fundus is just inferior to the umbilicus. About 1/2 the size it was immediately after delivery

How well did you know this?
1
Not at all
2
3
4
5
Perfectly
5
Q

Besides the Uterine fundus position, what are some things we will look at postpartum? 6

A
  1. Postpartum hemorrhage
  2. Retained products of conceptions
  3. Infection
  4. C-section
  5. Thrombophlebitis
  6. AVMs
How well did you know this?
1
Not at all
2
3
4
5
Perfectly
6
Q

What is the normal postpartum uterus size?

A

Length 15-25 cm

How well did you know this?
1
Not at all
2
3
4
5
Perfectly
7
Q

What will we see with the normal postpartum uterus? 2

A
  1. The uterus up to the maternal umbilicus
  2. Prominent vessels
How well did you know this?
1
Not at all
2
3
4
5
Perfectly
8
Q

What is the endometrium size postpartum?

A

5-13 mm

How well did you know this?
1
Not at all
2
3
4
5
Perfectly
9
Q

What does the adnexa look like postpartum? (what should we easily identify)

A

Broad ligaments identified

How well did you know this?
1
Not at all
2
3
4
5
Perfectly
10
Q

Should we see the ovaries postpartum?

A

Try to identify

How well did you know this?
1
Not at all
2
3
4
5
Perfectly
11
Q

What will the ovaries look like for mothers that are breast feeding?

A

Large due to hormones

How well did you know this?
1
Not at all
2
3
4
5
Perfectly
12
Q

What are the causes of postpartum hemorrhage? 2

A
  1. Acute- atony
  2. Lochia
How well did you know this?
1
Not at all
2
3
4
5
Perfectly
13
Q

What is acute atony?

A

Lack of uterine muscle tone

How well did you know this?
1
Not at all
2
3
4
5
Perfectly
14
Q

Why would we have acute Atony with postpartum hemorrhage?

A

Bleeding is controlled by uterine contractions. If the uterus has been stretched beyond its capabilities atony may occur resulting in hemorrhage

How well did you know this?
1
Not at all
2
3
4
5
Perfectly
15
Q

What is lochia?

A

Vaginal discharge of mucous, blood and tissue

How well did you know this?
1
Not at all
2
3
4
5
Perfectly
16
Q

Is lochia normal?

A

Yes

How well did you know this?
1
Not at all
2
3
4
5
Perfectly
17
Q

When a uterus is flaccid, and fails to return to pre-gravid tone what is the term?

A

Uterine atony

How well did you know this?
1
Not at all
2
3
4
5
Perfectly
18
Q

What is associated with uterine atony? 7 (what causes it)

A
  1. Multi fetal pregnancy
  2. More than 5 full term births
  3. Macrosomia
  4. Prolonged labour
  5. Rapid labour
  6. Polyhydraminos
  7. Chorioamnionitis
How well did you know this?
1
Not at all
2
3
4
5
Perfectly
19
Q

What raises the risk of postpartum hemorrhage risks? 6

A
  1. Prior C-section
  2. Prior placental abnormality
  3. Maternal age >35
  4. Prior myomectomy
  5. Endometrial defects
  6. Anterior placental previa with C-section
How well did you know this?
1
Not at all
2
3
4
5
Perfectly
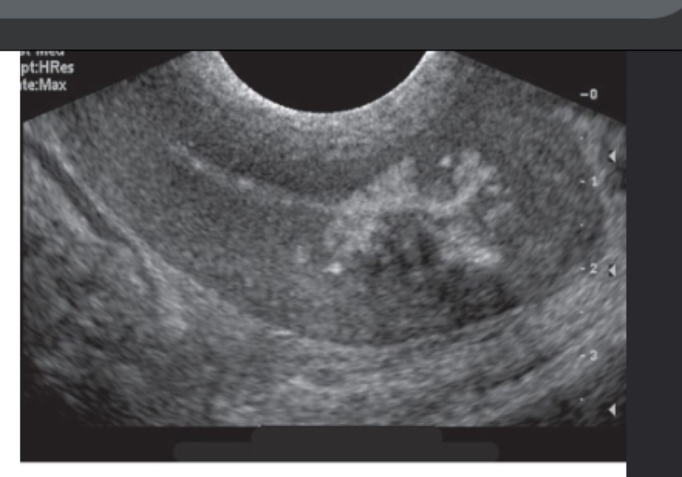
20
Q

What does this image demonstrate?

A

Normal postpartum uterus

How well did you know this?
1
Not at all
2
3
4
5
Perfectly
21
Q

What does this image demonstrate?

A

Morbidly adherent placenta

How well did you know this?
1
Not at all
2
3
4
5
Perfectly
22
Q

What is morbidly adherent placenta (MAP)?

A

Abnormal placental implantation into uterine wall

How well did you know this?
1
Not at all
2
3
4
5
Perfectly
23
Q

What is MAP used to describe? 3

A
  1. Placenta accrete
  2. Increta
  3. Precreta
How well did you know this?
1
Not at all
2
3
4
5
Perfectly
24
Q

How much blood is lost at delivery when there is MAP?

A

3-5 liters

How well did you know this?
1
Not at all
2
3
4
5
Perfectly
25
What is the mortality rate of MAP?
7%
26
How would we assist in a mom with MAP post delivery?
C-section followed by hysterectomy after delivery
27
What significantly decreases the mortality and morbidity for both mother and baby for MAP?
Diagnosis prior to delivery
28
How often does Placenta accrete occur?
~3 per 1000 deliveries
29
What is the placenta accreta spectrum?
1. Placenta accreta 2. Increta 3. Precreta
30
Placenta accreta is caused by what?
Damage to the endometrium myometrium interface
31
What increases the changes of placenta accreta? 2
1. Uterine scaring 2. Uterine pathologies
32
What are some uterine pathogens/patholgy that may lead to placenta accreata? 4 (what causes it)
1. Bicornuate uterus 2. Adenoma oasis 3. Submucssal fibroids 4. Myotonic dystrophy
33
With ultrasound what is the sensitivity rate for detecting placenta accreta spectrum?
89.5%
34
What is the positive and negative predictive value for placenta accreta spectrum?
68% positive and 98% negative predictive value
35
Label the image
1. Normal 2. Accreta 3. Increta 4. Precreta
36
What is the ultrasound features of MAPs? 5
1. Loss of hypoechoic plane in the myometrium beneath the placenta bed 2. Presence of multiple placenta lacunae 3. Loss of hyperechoic line separating the urinary bladder from the uterus 4. Thinning of the myometrium to less than 1mm 5. Buldging of placenta into organs adjacent to the uterus, causing a mass like lesion protruding out from the uterine wall
37
What does retained products of conception look like?
Variable amount of echogenic or heterogeneous material within the endometrial cavity
38
What happens if we see echogenic or heterogenous material within the endometrial cavity?
1. Echogenic = Tissue (placenta) 2. Heterogenous = Blood or infection
39
What may retained products of conceptions present as?
Endometrial or intrauterine mass
40
What supports the diagnosis of retained products of conception? Why?
1. Vascularity within the endometrial material 2. Absence of colour doppler flow has a low negative predictive value because retained products of conception may be avascualar
41
Can we see calcifications as a retained products of conceptions?
They may be present
42
What might we see with infections? 3
1. Temperature >38 degrees Celsius 2. Pain 3. Endometriosis
43
When would the mother contract an infection?
After rupture of membranes the vagina becomes alkaline, this encourages bacterial growth
44
How are infections combated?
Antibiotics or D and C
45
What is more typically associated with post C-Section?
Endometritis
46
What does this image demonstrate?
Gas in the endometrium
47
What are some C-section complication? 3
1. Uterine incision scarring 2. Infection at incision site 3. Hematoma
48
What does this image demonstrate?
C section scar
49
What does this image demonstrate?
A women with G20 P18 with 6 C-section
50
What does infections look similar to?
There is an overlapping appearance of endometritis and retained products of conception
51
What is the sonographic appearance of infections? 4
1. Completely normal endometrium and uterus 2. Dilated uterine cavity filled with fluid 3. Gas in the endometrium 4. Both fluid and gas in the endometrium
52
Where might hematomas present?
1. Potential space between the bladder and uterus 2. >2cm adjacent to scar
53
What will hematomas look like in the potential space?
Complex or anechoic mass
54
How will we find hematomas?
Search along the skin incision site
55
What does this image demonstrate?
Hematomas
56
What are abscesses?
Wound infections
57
What has a similar appearance to Abscesses?
Hematomas
58
What might we see in a abscess?
Gas bubbles
59
What would point to the idea of abscess vs a hematoma?
Patient febrile and increase white blood cell count
60
What does Thrombophlebitis - POVT occur from? 3
1. Venous stasis 2. Changes in blood clotting factors 3. Alteration in vessel walls due to uterine expansion and contraction
61
What does the PVOT stand for in thrombophlebitis -PVOT?
Postpartum ovarian vein thrombophlebitis
62
What increases the incidence of thrombophlebitis- PVOT?
C-section
63
Most thrombophlebitis - PVOT caused by?
Anaerobic streptococcus
64
Where does thrombophlebitis - PVOT start in?
Ovarian vein and can extend to pelvic and femoral veins
65
How severe is thrombophlebitis - POVT?
Life threatening
66
What are some signs and symptoms of thrombophlebitis? 6
1. Fever 2. Lower abdominal pain (right sided) 3. Nausea 4. Vomiting 5. Flank or groin pain 6. Sometimes bowel obstruction
67
What might we see on u/s in terms of thrombophlebitis?
Echogenic thrombus in ovarian vein