Vad ökar detta sammantaget risken för?
IBD
Vad minskar detta sammantaget risken för?
IBD
Vad kan man säga angående mikrobiota hos friska, Crohns och ulcerös kolit?
Skiljer sig mkt åt
Vilka är de tre viktigaste faktorerna för utvecklingen av Crohns?
Vad kan man säga om inflammationen vid Crohns gällande lokal utbredning?
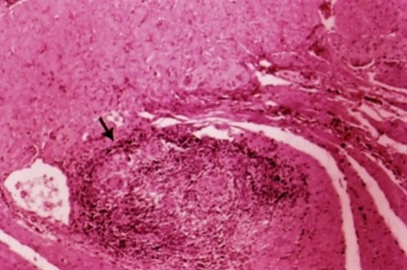
Vilken sjukdom och vad ses?

Crohns sjukdom med ett granulom
När kan detta ses vid mikroskopisk bild?
Crohns
Vad visar bilden och vad kan sjukdomen ge upphov med tiden?


Crohns sjukdom, geografi och utbredning?

Vad ökar risken för skov?
Är man botad efter borttagande kirurgi?
Ulcerös kolit, geografi och utbredning?

Vilken sjukdom och vad visar bilden?

Vilken sjukdom och vad är speciellt med sjukdomen i förhållande till bilden?

Ulcerös kolit
När kan man framför allt se en ökad risk för cancerutveckling i tarmen?
Vad visar dendritcellen upp utöver antigenet på MHC-II för att visa att något är farligt?
B7
Naturlig immunitet i tarmen
Vad utgör de tre första barriärerna och vilka egenskaper har dessa?
Vilka egenskaper har dessa receptorer?
Naturlig immunitet
Vilka egenskaper har dessa receptorer?
Påverkade gener vid IBD (CD och UC)
Vilka har man påvisat vid Crohns sjukdom?

Hur sker signaleringen vid Crohns som kan leda till störd barriär?

Hur sker signalering vid ulcerös colit som kan leda till störd barriär?
Vilken neuroimmun signalering kan ske vid IBD som kan leda till störd barriär?

Förvärvad immunitet i tarm – humoral tolerans
Hur sker transport av IgA genom epitel och vad ges?
B-lymfocyt utsöndrar IgA som dimerar och binder med J-kedja till receptorer på basalsidan av epitelceller varpå komplexet med receptor genom endocytos går in genom epitelcell och vid utpassering till apikalsidan klyvs komplexet och kan nu fungera som sIgA

Vilka egenskaper av sIgA?