IBD Flashcards

(43 cards)

1
Q
A
How well did you know this?
1
Not at all
2
3
4
5
Perfectly
2
Q

State the name of this symptom of Crohn’s [1]

A

Pyostomatitis vegetans: an inflammatory stomatitis

How well did you know this?
1
Not at all
2
3
4
5
Perfectly
3
Q

What sign of Crohn’s Disease are the arrows pointing to? [1]

A

Rosehorn ulcer

How well did you know this?
1
Not at all
2
3
4
5
Perfectly
4
Q

Describe the blood tests used to investigate Crohns [5]

A

Anaemia:
- is common and may be normocytic, normochromic of chronic disease.
- However, deficiency of iron/folate may occur.
- Despite common terminal ileum involvement, megaloblastic anaemia due to B12 deficiency is unusual

Raised ESR and CRP; raised WCC and platelets

Hypoalbuminemia is present in severe disease

Liver biochemistry may be abnormal

Serological testing; p-ANCA would be negative (ANCAs are more commonly found in ulcerative colitis)

How well did you know this?
1
Not at all
2
3
4
5
Perfectly
5
Q

Extra-intestinal manifestations (EIM) refer to the collection of clinical features that occur outside the gastrointestinal tract within CD.

What is the most common EIM? [1]
Describe this EIM of CD [2]

A

Musculoskeletal disease:
Two forms of arthritis are seen, type 1 and type 2.

  • Type 1 is a pauciarticular peripheral arthritis related to intestinal disease activity.
  • Type 2 is a polyarticular peripheral arthritis independent of intestinal disease activity.
How well did you know this?
1
Not at all
2
3
4
5
Perfectly
6
Q

Describe the management plan to induce remisison of Crohns in mild-moderate [2] and moderate-severe patients [3]

A

mild-to-moderate CD:
- a course of exclusive enteral nutrition (EEN) can be considered over an 8 week period
- oral prednisolone (40mg/d for 1 week, then 5mg every week for 7 weeks)

moderate-to-severe CD:
- IV steroids: IV hydrocortisone or methylprednisilone
- there should be consideration of early introduction of immunosuppressive therapy: azathioprine or methotrexate alongside budesonide, prednisilone or hydrocortisone (These medications help with long-term control, but are not useful at initially inducing remission, which is why they are combined with steroids)
- - Biologicals: inflximab, adalimubab (anti-TNF); Vedolizumab (anti-integrins); Ustekinumab (anti-IL12/13)

How well did you know this?
1
Not at all
2
3
4
5
Perfectly
7
Q

A patient has moved onto maintence therapy for Crohns.
Which one of the following drugs is the most appropriate to prescribe?

Azathioprine

Budesonide

Mesalazine

Methotrexate

Oral glucocorticoids

A

A patient has moved onto maintence therapy for Crohns.
Which one of the following drugs is the most appropriate to prescribe?

Azathioprine

Budesonide

Mesalazine

Methotrexate

Oral glucocorticoids

How well did you know this?
1
Not at all
2
3
4
5
Perfectly
8
Q

A 33-year-old man was admitted to the surgical ward due to an exacerbation of Crohn’s disease. He presented with a perianal abscess that has been surgically drained. An MRI confirms a complex perianal fistula.

In addition to an antibiotic and a biologic, what other management would be indicated?

Lidocaine gel
Rectal mesalazine
Seton placement
Surgical resection
Topical glyceryl trinitrate

A

A 33-year-old man was admitted to the surgical ward due to an exacerbation of Crohn’s disease. He presented with a perianal abscess that has been surgically drained. An MRI confirms a complex perianal fistula.

In addition to an antibiotic and a biologic, what other management would be indicated?

Seton placement

A seton is a piece of surgical thread that is run through the fistula to allow continuous drainage while the fistula is healing. This ensures that the fistula doesn’t heal containing pus within, which would result in further abscess formation.

How well did you know this?
1
Not at all
2
3
4
5
Perfectly
9
Q

If a Crohn’s patient has had an ileocacel resection, why may diarrhoea occur? [1]

Name a drug that can treat this [1]

A

The patient most likely has a diagnosis of bile acid malabsorption as a complication of the ileocecal resection.

Treat using: Cholestyramine - bile acid sequestrant with the potential to control diarrhoea induced by bile acid malabsorption.

How well did you know this?
1
Not at all
2
3
4
5
Perfectly
10
Q

Which drugs are first line to induce remission in CD? [3]

A

glucocorticoids:
* prednisolone; hydrocortisone oral, topical or intravenous) are generally used to induce remission.
* Budesonide is an alternative in a subgroup of patients

How well did you know this?
1
Not at all
2
3
4
5
Perfectly
11
Q

Inducing Remission:

Which drugs are used as second-line to glucorticosteroids for CD? [2]
Which drugs may be added alongside ^? [2]
What is important to note about this^ [1]

A

5-ASA drugs (e.g. mesalazine) are used second-line to glucocorticoids but are not as effective

azathioprine or mercaptopurine may be used as an add-on medication to induce remission but is not used as monotherapy.

How well did you know this?
1
Not at all
2
3
4
5
Perfectly
12
Q

Inducing Remission:

Which drug is used to treat refractory CD? [1]

A

infliximab .

How well did you know this?
1
Not at all
2
3
4
5
Perfectly
13
Q

Inducing Remission:

Describe the management plan for treating fistulaes [3]

A

patients with symptomatic perianal fistulae are usually given oral metronidazole
(+)
Infliximab
(+)
draining seton
a seton is a piece of surgical thread that’s left in the fistula for several weeks to keep it open. This is useful because persisting fistula tracks after premature skin closure predispose to abscess formation

How well did you know this?
1
Not at all
2
3
4
5
Perfectly
14
Q

Maintaining remission

Which drugs are used as first line maintainene for CD? [2]
What is second line? [1]

A

azathioprine or mercaptopurine is used first-line to maintain remission

methotrexate is used second-line

How well did you know this?
1
Not at all
2
3
4
5
Perfectly
15
Q

Fistulas

In a patient with CD fistulas, what drugs are used if:

Symptomatic peri-anal fisutlae? [1]
To help close and maintain perianal fistulas? [1]
For complex fistulae? [1]

A
  • patients with symptomatic perianal fistulae are usually given oral metronidazole
  • anti-TNF agents such as infliximab may also be effective in closing and maintaining closure of perianal fistulas
  • a draining seton is used for complex fistulae
How well did you know this?
1
Not at all
2
3
4
5
Perfectly
16
Q

What treatment is given for Crohn’s patients who develop a perianal fistula? [1]

A

Oral metronidazole

How well did you know this?
1
Not at all
2
3
4
5
Perfectly
17
Q

A 22-year-old lady has a long history of severe perianal Crohns disease with multiple fistulae. She is keen to avoid a stoma. However, she has progressive disease and multiple episodes of rectal bleeding. A colonoscopy shows rectal disease only and a small bowel study shows no involvement with Crohns.

What is the best surgical option? [1]

A

Proctectomy

How well did you know this?
1
Not at all
2
3
4
5
Perfectly
18
Q

Define short bowel syndrome [3]

A

Short bowel syndrome (SBS) refers to a condition wherein substantial portions of the small intestine are absent, either congenitally or due to resection

Typically, less than 200 cm of residual short bowel is present.

This results in a loss of surface area for fluid, nutrient, and medication absorption, causing an inability to maintain protein-energy, fluid, electrolyte, or micro-nutrient balance when ingesting a conventionally accepted, normal diet.

19
Q

Terminal ileal Crohns remains the commonest disease site. How might patients be treated surgically? [1]

A

Terminal ileal Crohns remains the commonest disease site and these patients may be treated with limited ileocaecal resections.

20
Q

What pathology may terminal ileal Crohns lead to? [1]

A

Terminal ileal Crohns may affect enterohepatic bile salt recycling and increase the risk of gallstones.

21
Q

Descricbe characteristic findings of colonoscopy in UC patients [4]

A
  • rectal involvement
  • continuous uniform involvement
  • loss of vascular marking
  • diffuse erythema
  • mucosal granularity
22
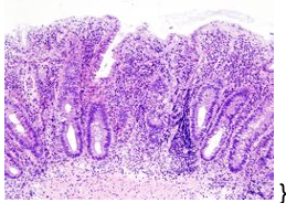
Q

How can you differentiate between UC and CD via endoscopy? [6]

A

UC:
- continuous inflammation:
- there is no areas of normal mucosa in-between areas of inflammation
- diffuse erythema
- friability, granularity
- loss of vascular pattern in the colon.

CD:
- incontinuous areas of inflammation normal bowel in-between inflammatory segments
- deep fissuring ulcers
- “cobblestonedmucosa are present.

UC above, CD below
23
Q

Describe how you differentiate between recent v chronic UC via a histology sample? [1]

A

Chronic:
- crypt architecture distortion: they look twisted and disorganised

24
Q

(Zero to finals)

Mild to moderate acute ulcerative colitis is treated with [2]

Severe acute ulcerative colitis is treated with [1]

Other options for severe acute ulcerative colitis include: [3]

A

Mild to moderate acute ulcerative colitis is treated with:
* Aminosalicylate (e.g., oral or rectal mesalazine) first-line
* Corticosteroids (e.g., oral or rectal prednisolone) second-line

Severe acute ulcerative colitis is treated with:
* Intravenous steroids (e.g., IV hydrocortisone) first-line

Other options for severe acute ulcerative colitis include:

  • Intravenous ciclosporin
  • Infliximab
  • Surgery
25
# Zero to finals Options for maintaining remission in ulcerative colitis are? [3]
Options for maintaining remission in ulcerative colitis are: - **Aminosalicylate** (e.g., oral or rectal mesalazine) first-line - **Azathioprine** - **Mercaptopurine**
26
State acute [2] and chronic [1] risks of UC
Acute: - **Toxic megacolon** (diameter > 6cm) + risk of perforation - **VTE** Chronic: - **Colon cancer**
27
[] are the investigations of choice in primary sclerosing cholangitis. What sign would indicate a positive result? [1]
**ERCP/MRCP** are the investigations of choice in primary sclerosing cholangitis Multiple biliary strictures giving a '**beaded**' appearance
28
If a patient with ulcerative colitis has had a severe relapse or >=2 exacerbations in the past year they should be given either oral **[]** or oral **[]** to maintain remission
If a patient with ulcerative colitis has had a severe relapse or >=2 exacerbations in the past year they should be given either **oral azathioprine** or **oral mercaptopurine** to maintain remission
29
What would indicate that a UC flair up is: - Mild [1] - Moderate [1] - Severe [2]
- **Mild**: Fewer than four stools daily, with or without blood - **Moderate**: Four to six stools a day, with minimal systemic disturbance - **Severe**: More than six stools a day, containing blood & Evidence of systemic disturbance
30
In a mild-moderate flare of distal ulcerative colitis, the first-line treatment is [1]
In a mild-moderate flare of distal ulcerative colitis, the first-line treatment is **topical (rectal) aminosalicylates**
31
If a mild-moderate flare of distal ulcerative colitis doesn't respond to topical (rectal) aminosalicylates then what is the next treatment line? [1]
If a mild-moderate flare of distal ulcerative colitis doesn't respond to **topical (rectal) aminosalicylates** then **oral aminosalicylates should be added**
32
[] is not recommended for the management of UC (in contrast to Crohn's disease)
**methotrexate** is not recommended for the management of UC (in contrast to Crohn's disease)
33
Aminosalicylates are associated with a variety of haematological adverse effects, including **[]** What is a key investiation? [1]
Aminosalicylates are associated with a variety of haematological adverse effects, including **agranulocytosis** **FBC** is a key investigation
34
State a key finding of UC under endoscopy [1]
**Pseudopolyps**: widespread ulceration with preservation of adjacent mucosa which has the appearance of polyps
35
Describe a structural change that occurs as a response to active inflammation in UC patients [3]
**Crypt abscesses** form as a response to active inflammation. Crypt abscesses are the **accumulation of inflammatory cells within crypts,** which are tube-like glands found in the lining of the gastrointestinal system (i.e., digestive tract). The accumulation of inflammatory cells can **cause damage to the surrounding cells**, thereby **preventing the gland from functioning properly and secreting various substances**. The abscesses are **commonly neutrophilic** in UC.
36
Which cell types are depleted in UC? [1]
**depletion of goblet cells** and mucin from gland epithelium
37
The Truelove and Witts' severity index is recommended by NICE when assessing the severity of ulcerative colitis in adults. Ulcerative colitis is classified as 'severe' in which instances? [5]
TRUElove and Witt's when the patient has **blood** in their **stool**, or is passing **more than 6 stools** per **day** plus at least one of the following features: * T - Temp **> 37.8** * R - Rate **> 90** * U - (Uh)naemia **Hb < 105** * E - ESR **>30**
38
Sulphasalazine may be used to treat UC. Name a haematological SE of this treatment [1] and describe how this may present on blood smear [1]
Sulphasalazine may cause **haemolytic anaemia** this can present with**Heinz bodies** | Sulphasala**z**ine **Heinz body**
39
What is a proctocolectomy? [1]
the large intestine (the colon) and rectum are removed, leaving the small intestine disconnected from the anus.
40
What is an indication for proctocolectomy in UC patients? [1]
**Dysplastic transformation of the colonic epithelium** with associated **mass lesions** is an absolute indication for a proctocolectomy.
41
What would indicate sub total colectomy in UC patients? [1]
Emergency presentations of poorly controlled colitis that fails to respond to medical therapy
42
Patients with IBD have a high incidence of [] and appropriate [] is mandatory.
Patients with IBD have a high incidence of **DVT** and appropriate **thromboprophylaxis** is mandatory.
43
Name a restorative option in UC [1]
Restorative options in UC include an **ileoanal pouch**. This procedure can only be performed whilst the rectum is in situ and cannot usually be undertaken as a delayed procedure following proctectomy.