Images Flashcards

(75 cards)

1
Q

Label the signs shown in A & B [2]
What pathology does these signs indicate? [1]

A

A: Cullens sign
B: Grey-Turners sign

Cullen’s and Grey-Turner’s signs are associated with severe necrotising pancreatitis

How well did you know this?
1
Not at all
2
3
4
5
Perfectly
2
Q

What does this yellow arrow depict in non-proliferative diabetic retinopathy? [1]

A

Hard exudates

How well did you know this?
1
Not at all
2
3
4
5
Perfectly
3
Q

What does the yellow arrow on the image of non-proliferative retinopathy depict? [1]

A

Lipid exudates

How well did you know this?
1
Not at all
2
3
4
5
Perfectly
4
Q

Describe what the arrows & circle depict on this image of non proliferative diabetic retinopathy [3]

A

intraretinal microvascular abnormality (IRMA; green arrow)

venous beading and segmentation (blue arrow)

cluster haemorrhage (red circle)

featureless retina suggestive of capillary non-perfusion (white ellipse)

How well did you know this?
1
Not at all
2
3
4
5
Perfectly
5
Q

What is the arrow pointing to on this NPDR? [1]

A

Cotton wool spots (severe NPDR

How well did you know this?
1
Not at all
2
3
4
5
Perfectly
6
Q

Which pathology is depicted? [1]

A

Diabetic maculopathy: hard exudates near to the macula

How well did you know this?
1
Not at all
2
3
4
5
Perfectly
7
Q

What is depicted in this image? [1]

A

Proliferative diabetic retinopathy:
extensive vitreous haemorrhage obscuring most of fundus (white circle)}

How well did you know this?
1
Not at all
2
3
4
5
Perfectly
8
Q

What is the arrow pointing to? [1]

A

Cotton wool spot

How well did you know this?
1
Not at all
2
3
4
5
Perfectly
9
Q

What is depicted in this image? [1]

A

Non-proliferative diabetic retinopathy: blot haemorrhage (white circle)}

How well did you know this?
1
Not at all
2
3
4
5
Perfectly
10
Q

Describe what is happening in this image [1]

A

Proliferative diabetic retinopathy: NVD new vessels on the optic disc

How well did you know this?
1
Not at all
2
3
4
5
Perfectly
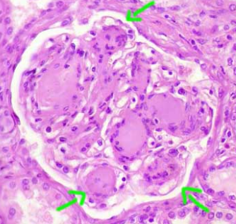
11
Q

What does the green arrows point to? [1]

A

Kimmelstein-Wilson lesion

How well did you know this?
1
Not at all
2
3
4
5
Perfectly
12
Q

What is this skin condition associated with diabetes? [1]

A

Necrobiosis Lipoidica Diabeticorum

How well did you know this?
1
Not at all
2
3
4
5
Perfectly
13
Q

What is the name of this skin complication of diabetes? [1]

A

Granuloma annulare

How well did you know this?
1
Not at all
2
3
4
5
Perfectly
14
Q

What is the name for this diabetic skin complication? [1]

A

Bullosis Diabeticorum

How well did you know this?
1
Not at all
2
3
4
5
Perfectly
15
Q

Name this complication of diabetes

A

Charcot neuroarthropathy

How well did you know this?
1
Not at all
2
3
4
5
Perfectly
16
Q

Name this sign [1] and disease [1] that is a complication of diabetes

A

Prayer sign; diabetic cheiroarthropathy

How well did you know this?
1
Not at all
2
3
4
5
Perfectly
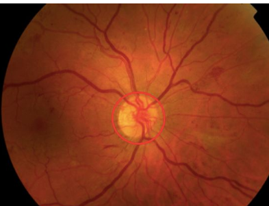
17
Q

What is the name of this treatment for diabetic retinopathy? [1]

A

Pan-retinal photocoagulation (PRP)

How well did you know this?
1
Not at all
2
3
4
5
Perfectly
18
Q

Patient with severe abdominal pain. What does the image show?

Ascites
Lead pipe colon
Normal gas pattern
Rigler’s/ double wall sign
Thumbprinting

A

Patient with severe abdominal pain. What does the image show?

Rigler’s/ double wall sign

Free gas (pneumoperitoneum) can be seen on both sides of the bowel wall. This is Rigler’s sign or the double wall sign.

Whenever sharp points or triangles of low density are seen adjacent to loops of bowel, pneumoperitoneum should be suspected.

Note: In patients with an acute abdomen an erect chest X-ray is more sensitive for small volumes of free gas.

How well did you know this?
1
Not at all
2
3
4
5
Perfectly
19
Q

Patient with severe abdominal pain. What does the image show?

What is the likely pathology?

Ascites
Lead pipe colon
Normal gas pattern
Rigler’s/ double wall sign
Thumbprinting

A

Patient with severe abdominal pain. What does the image show?

Ascites
Lead pipe colon
Normal gas pattern
Rigler’s/ double wall sign
Thumbprinting

Inflammation of the bowel wall leads to thickening of the haustral folds. This results in the radiological sign of thumbprinting, a characteristic finding in patients with active ulcerative colitis.

How well did you know this?
1
Not at all
2
3
4
5
Perfectly
20
Q

What is the cause of the abnormal calcification?

Adrenal calcification
Appendicolith
Gallstones
Pancreatic calcification
Staghorn renal calculus

A

What is the cause of the abnormal calcification?

Staghorn renal calculus

How well did you know this?
1
Not at all
2
3
4
5
Perfectly
21
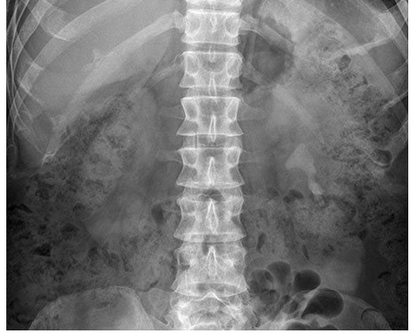
Q

24-year-old patient with suspected appendicitis. What does the image show?

Caecal volvulus
Normal appearances
Pneumoperitoneum
Small bowel obstruction
Toxic megacolon

A

24-year-old patient with suspected appendicitis. What does the image show?

Small bowel obstruction

Dilated loops of bowel with valvulae conniventes – lines crossing the full width of the bowel – indicates small bowel obstruction.

How well did you know this?
1
Not at all
2
3
4
5
Perfectly
22
Q

Patient with severe abdominal pain. What is the cause of pain demonstrated on this abdominal X-ray?

Caecal volvulus
Normal appearances
Pneumoperitoneum
Small bowel obstruction
Toxic megacolon

A

Patient with severe abdominal pain. What is the cause of pain demonstrated on this abdominal X-ray?

Caecal volvulus
Normal appearances
Pneumoperitoneum
Small bowel obstruction
Toxic megacolon

How well did you know this?
1
Not at all
2
3
4
5
Perfectly
23
Q

What is the artifact shown in this image?

Biliary stent
Colonic stent
External tubing
Percutaneous nephrostomy tube
Ureteric stent

A

What is the artifact shown in this image?

Biliary stent
Colonic stent
External tubing
Percutaneous nephrostomy tube
Ureteric stent

How well did you know this?
1
Not at all
2
3
4
5
Perfectly
24
Q

Patient with abdominal pain and vomiting. What is the radiological diagnosis?

Caecal volvulus
Large bowel obstruction
Small bowel obstruction
Bowel perforation
Normal

A

Patient with abdominal pain and vomiting. What is the radiological diagnosis?

Caecal volvulus
Large bowel obstruction
Small bowel obstruction
Bowel perforation
Normal

How well did you know this?
1
Not at all
2
3
4
5
Perfectly
25
What is the radiological diagnosis? Sigmoid volvulus Normal Ascites Small bowel obstruction Pneumoperitoneum
What is the radiological diagnosis? Sigmoid volvulus Normal **Ascites** Small bowel obstruction Pneumoperitoneum
26
What is the cause of the abnormal calcification in this image? Calcified gallstones Calcified mesenteric lymph nodes Pancreatic calcification Malignant calcification Calcified uterine fibroid
What is the cause of the abnormal calcification in this image? Calcified gallstones Calcified mesenteric lymph nodes **Pancreatic calcification** Malignant calcification Calcified uterine fibroid
27
Patient with abdominal pain, vomiting, and constipation. What is the radiological diagnosis? Caecal volvulus Sigmoid volvulus Small bowel obstruction Perforation Normal
Patient with abdominal pain, vomiting, and constipation. What is the radiological diagnosis? **Caecal volvulus** Sigmoid volvulus Small bowel obstruction Perforation Normal
28
What is the cause of the area of increased density in the pelvis? Calcified pelvic kidney Calcified abdominal lymph node Calcified uterine fibroid Ingested barium Calcified adrenal gland
What is the cause of the area of increased density in the pelvis? Calcified pelvic kidney Calcified abdominal lymph node **Calcified uterine fibroid** Ingested barium Calcified adrenal gland
29
History of abdominal surgery 7 years ago. Presented with a 24 hour history of severe abdominal pain and vomiting. What is the radiological diagnosis? Small bowel obstruction Post-operative ileus Normal Perforation Sigmoid volvulus
History of abdominal surgery 7 years ago. Presented with a 24 hour history of severe abdominal pain and vomiting. What is the radiological diagnosis? **Small bowel obstruction** Post-operative ileus Normal Perforation Sigmoid volvulus
30
If you saw these X-ray appearances in the setting of acute abdominal pain, what would be the most appropriate course of action? Place an abdominal drain Request abdominal ultrasound Request abdominal MRI Resuscitate the patient and inform the surgeons Take a break
If you saw these X-ray appearances in the setting of acute abdominal pain, what would be the most appropriate course of action? Place an abdominal drain Request abdominal ultrasound Request abdominal MRI **Resuscitate the patient and inform the surgeons** Take a break ## Footnote A large volume of free gas is present under the diaphragm. In the context of acute abdominal pain this finding indicates perforation. Emergency resuscitation and informing the surgeons would be the most appropriate action.
31
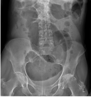
Patient with abdominal pain and vomiting. Which answer best describes the X-ray appearances? Pneumoperitoneum Ascites Psoas abscess Small bowel obstruction Normal
Patient with abdominal pain and vomiting. Which answer best describes the X-ray appearances? Pneumoperitoneum Ascites Psoas abscess Small bowel obstruction **Normal**
32
Patient with abdominal pain and absolute constipation. Which answer best describes the X-ray appearances? Large bowel obstruction Sigmoid volvulus Caecal volvulus Perforation Small bowel obstruction
Patient with abdominal pain and absolute constipation. Which answer best describes the X-ray appearances? Large bowel obstruction **Sigmoid volvulus** Caecal volvulus Perforation Small bowel obstruction
33
Describe what Rigler's double wall sign appears like [1] What does this indicate?
Normally **only the inner wall** of the bowel is visible If there is **pneumoperitoneum** **both** **sides** of the **bowel** **wall** may be visible
34
What may a liver edge silhouette indicate on an AXR? [1]
When **perforation** of a **duodenal** **ulcer** **occurs**, and results in a **pneumoperitoneum**: **Gas** collects in **Morison's pouch** (the hepato-renal space), and **rise on the supine film to the anterior abdominal wall outlining the edge of the liver** diagnostic of duodenal perforation.
35
What pathology is indicated in this AXR? [1]
**False Rigler's/double wall sign** * Be careful not to mistake the gas within two adjacent bowel segments for Rigler's sign. * Gas seen on both sides of the bowel wall is contained within adjacent bowel * There are no black triangles or sharp angles on the outside of the bowel wall
36
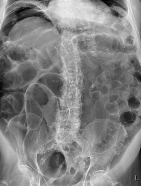
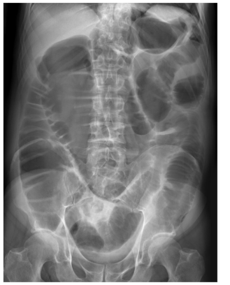
Describe what is seen in this AXR [3]
**Small bowel obstruction - features** **Centrally located** multiple dilated loops of gas filled bowel (arrowheads) **Valvulae conniventes** (arrow) are visible - confirming this is small bowel
37
Describe what is depicted in this AXR [1]
**Large bowel obstruction** * Here the colon is dilated down to the level of the distal descending colon. There is the impression of soft tissue density at the level of obstruction (X). No gas is seen within the sigmoid colon. * Obstruction is not absolute in this patient as a small volume of gas has reached the rectum (arrow). * An obstructing colon carcinoma was confirmed on CT and at surgery.
38
Which of the following is a caecal and sigmoid volvulus? [2]
39
What sign does this AXR show? [1] What pathology does this indicate? [1]
**Mucosal thickening - 'thumbprinting'** This patient presented with an exacerbation of symptoms of **ulcerative colitis.**
40
What sign does this AXR show? [1] What pathology does this indicate? [1]
**Lead pipe colon** This patient with **ulcerative** **colitis** has a featureless segment of transverse colon with loss of the normal haustral markings. This 'lead pipe' appearance is associated with longstanding ulcerative colitis.
41
What sign does this AXR show? [1] What pathology does this indicate? [1]
**Toxic megacolon** The colon is very dilated in this patient with acute abdominal pain, sepsis, and a known history of **ulcerative colitis.** The clinical features and X-ray appearances are consistent with toxic megacolon.
42
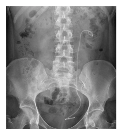
Where is the ureteric stone in this AXR? [1]
43
What is depicted here? [1] State a cause of this [1]
**Bladder stones** form in the bladder as a result of **urinary stasis**, e.g. **bladder outflow obstruction** (enlarged prostate) or in **patients with a neurogenic bladder** (loss of bladder function due to spinal cord injury/disease)
44
What is depicted in this AXR? [1] What does this indicate? [1]
**Vascular calcification** There is striking calcification of the aorta and iliac vessels **This is a sign of generalised atherosclerosis elsewhere in the body**
45
What is depicted in this AXR? [1] What does this indicate? [1]
**Abdominal aortic aneurysm - AAA** There is calcification of the dilated aortic wall Frequently only one side of the aneurysm is visible - as in this image - the other being projected over the spine
46
What is the cause of the abnormal calcification? Adrenal calcification Appendicolith Gallstones Pancreatic calcification Staghorn renal calculus
What is the cause of the abnormal calcification? **Adrenal calcification** Appendicolith Gallstones Pancreatic calcification Staghorn renal calculus
47
What is the cause of the abnormal calcification? Adrenal calcification Appendicolith Gallstones Pancreatic calcification Staghorn renal calculus
What is the cause of the abnormal calcification? Adrenal calcification Appendicolith Gallstones **Pancreatic calcification** Staghorn renal calculus
48
What is depicted in this AXR? [1] What does this indicate? [1]
**Appendicolith** Appendicoliths are highly predictive of appendicitis in patients presenting with right iliac fossa pain ## Footnote Appendicoliths are calcific masses in the appendix, formed as a result of the aggregation of faecal particulates and inorganic salts within the lumen of the appendix
49
**What is the artifact shown in this image?** **What pathology does it reduce the risk of?** Naso-jejunal tube Colonic stent Pig-tail (JJ) stent Percutaneous nephrostomy tube Inferior vena cava (IVC) filter
**Inferior vena cava (IVC) filter** An IVC filter may be used to reduce the risk of large pulmonary emboli
50
**What is the artifact shown in this image?** **What pathology does it reduce the risk of?** Naso-jejunal tube Colonic stent Pig-tail (JJ) stent Percutaneous nephrostomy tube Inferior vena cava (IVC) filter
**Colonic stent** Large bowel obstruction can be treated with placement of a metallic colonic stent This is often used as a temporary measure allowing a patient to recover from the effects of obstruction prior to definitive colonic resection
51
**What is the artifact shown in this image?** Naso-jejunal tube Colonic stent Pig-tail (JJ) stent Percutaneous nephrostomy tube Inferior vena cava (IVC) filter
**Pig-tail (JJ) stent** A ureteric stent has been placed to relieve ureteric obstruction The catheter has loops (pig-tails) at both ends which hold it in place
52
**What is the artifact shown in this image?** Naso-jejunal tube Colonic stent Pig-tail (JJ) stent Percutaneous nephrostomy tube Inferior vena cava (IVC) filter
**Naso-jejunal tube** Placed for the purpose of enteral feeding The tube passes through the stomach and forms a C-shape as it navigates the 4 parts of the duodenum (D1-4) The tube tip lies beyond the duodenojejunal flexure which lies on the left
53
What is depicted in this AXR? [1] What does this indicate? [1]
**Ascites** There is generalised hazy density of the entire abdomen In the presence of ascites gas within bowel is located centrally
54
A 73-year-old male presents with a 2-hour history of sudden-onset abdominal pain, accompanied by a bowel motion and vomiting. He has a history of non-specific heart problems and takes antihypertensive medication. He also had a previous appendicectomy performed 45 years ago. Examination of the abdomen reveals a distended and generally tender abdomen with no guarding. There is a scar present in the right iliac fossa and bowel sounds are absent. Rectal examination is unremarkable. An ECG performed is shown below: What is the most likely diagnosis? Small bowel obstruction Large bowel obstruction Caecal volvulus Mesenteric ischaemia Ileus
A 73-year-old male presents with a 2-hour history of sudden-onset abdominal pain, accompanied by a bowel motion and vomiting. He has a history of non-specific heart problems and takes antihypertensive medication. He also had a previous appendicectomy performed 45 years ago. Examination of the abdomen reveals a distended and generally tender abdomen with no guarding. There is a scar present in the right iliac fossa and bowel sounds are absent. Rectal examination is unremarkable. An ECG performed is shown below: What is the most likely diagnosis? Small bowel obstruction Large bowel obstruction Caecal volvulus **Mesenteric ischaemia** Ileus
55
What does this chest CT depict? [1]
Figure 4 – CT Chest of Stanford Type B Aortic Dissection
56
What is the DeBakey classification this aortic dissection? Type I Type II Type IIIa Type IIIB
What is DeBakey classification for aortic dissection is this? Type I **Type II** Type IIIa Type IIIB The Aortic dissection classified as involving the aorta proximal to the left subclavian artery and requires further surgical intervention to avoid coronary artery occlusion or cardiac tamponade.
57
What is the most likely aetiology of the vascular abnormality shown? atherosclerosis hypertension trauma vasculitis
This is a case of aortic dissection: **hypertension** is the most likely etiology for a dissection.
58
What is the DeBakey classification this aortic dissection? Type I Type II Type IIIa Type IIIB
This aortic dissection is essentially limited to the ascending aorta making it a Stanford type A / **DeBakey type 2.**
59
What is the DeBakey classification this aortic dissection? Type I Type II Type IIIa Type IIIB
**DeBakey type 2.**
60
What is the DeBakey classification this aortic dissection? Type I Type II Type IIIa Type IIIB
Type IIIa
61
What is the DeBakey classification this aortic dissection? Type I Type II Type IIIa Type IIIB
Type IIIa
62
What is this complication of varicose veins? Lipodermatosclerosis Thrombophlebitis Haemosiderin Varicose eczema
What is this complication of varicose veins? Lipodermatosclerosis Thrombophlebitis **Haemosiderin** Varicose eczema
63
What is this complication of varicose veins? Lipodermatosclerosis Thrombophlebitis Haemosiderin Varicose eczema
What is this complication of varicose veins? Lipodermatosclerosis **Thrombophlebitis** Haemosiderin Varicose eczema
64
What is this complication of varicose veins? Lipodermatosclerosis Thrombophlebitis Haemosiderin Varicose eczema
**Lipodermatosclerosis**
65
What treatment is suggested for this pathology? [1]
**Laser photocoagulation therapy is performed to stop the growth of new blood vessels.** *The white circular lesions represent focal laser surgery for proliferative diabetic retinopathy. Cotton wool spots, microhaemorrhages and neovascularisation can be seen across the remaining retina.*
66
Describe your findings of this fundoscopy [3]
Extensive new vessel proliferation / **neovascularisation** **Cotton wool spots** **Microhaemorrhages**
67
What is the exacct name for this sign? [1]
Icteric sclera
68
What is this most likely a diagnosis of? [1]
**Pseudomembrane colitis**: inflammation of the colon associated with an overgrowth of the bacterium Clostridioides difficile
69
A patient undergoes a barium swallow of their oesophagus after presenting with dysphagia. What is the most likely diagnosis? [1]
**Achalasia** * bird beak sign * esophageal dilatation
70
**Presentation** History of chronic alcohol abuse with long time chest pain, dysphagia and nocturnal cough. **Patient Data** Age: 60 years Gender: Male What is the most likely diagnosis? [1]
Findings are most suggestive of **achalasia**. There is a classic bird beak sign at the gastro-esophageal junction.
71
A 40-year-old female presents with dysphagia and barium swallow is performed. What is the most likely diagnosis? achalasia diffuse oesophageal spasm gastro-oesophageal reflux disease non-specific oesophageal motility disorder presbyoesophagus scleroderma
**achalasia**
72
What pathology does this drawing imitate? [1]
**eosinophilic oesophagitis**
73
What pathology is likely shown? [1]
**eosinophilic oesophagitis** Sometimes, multiple rings may occur in the esophagus, leading to the term "corrugated esophagus"
74
What pathology is likely shown? [1]
**eosinophilic oesophagitis** Sometimes, multiple rings may occur in the esophagus, leading to the term "corrugated esophagus"
75